top of page


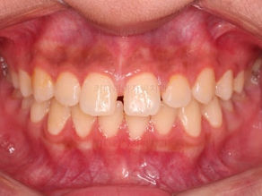
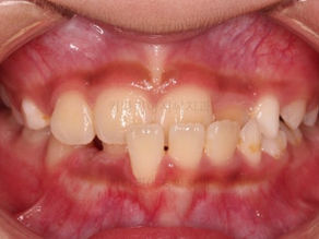
부산구순구개열교정 키다리아저씨치과에서 시행한 성인 구순구개열 환자의 교정치료와 보철치료 사례
부산구순구개열교정 키다리아저씨치과에서 시행한 성인 구순구개열 환자의 교정치료와 보철치료 사례

키다리아저씨치과
18시간 전3분 분량


부산치아교정잘하는곳 키다리아저씨치과에서 시행한 미세 돌출 + 미세 주걱턱 + 뻗친 앞니 교정 치료사례
부산치아교정잘하는곳 키다리아저씨치과에서 시행한 미세 돌출 + 미세 주걱턱 + 뻗친 앞니 교정 치료사례

키다리아저씨치과
2일 전3분 분량


부산앞니부분교정 키다리아저씨치과에서 시행한 과개교합 및 나비치아 부분교정 치료사례
부산앞니부분교정 키다리아저씨치과에서 시행한 과개교합 및 나비치아 부분교정 치료사례

키다리아저씨치과
4월 1일3분 분량


부산교정 키다리아저씨치과에서 시행한 덧니교정 치료사례(feat. 비대칭적 발치)
부산교정 키다리아저씨치과에서 시행한 덧니교정 치료사례(feat. 비대칭적 발치)

키다리아저씨치과
3월 31일3분 분량


부산군인교정 키다리아저씨치과에서 시행한 비수술, 비발치 주걱턱 교정 치료사례(feat. 군인교정)
부산군인교정 키다리아저씨치과에서 시행한 비수술, 비발치 주걱턱 교정 치료사례(feat. 군인교정)

키다리아저씨치과
3월 30일3분 분량


부산어린이교정 키다리아저씨치과에서 시행한 앞니 반대교합 주걱턱 교정(프리올소) 치료사례
부산어린이교정 키다리아저씨치과에서 시행한 앞니 반대교합 주걱턱 교정(프리올소) 치료사례

키다리아저씨치과
3월 26일2분 분량


부산개방교합 키다리아저씨치과에서 시행한 고난도 교정(개방교합, 오픈바이트, 앞니 임플란트) 치료사례
부산개방교합 키다리아저씨치과에서 시행한 고난도 교정(개방교합, 오픈바이트, 앞니 임플란트) 치료사례

키다리아저씨치과
3월 19일3분 분량


부산사랑니교정 키다리아저씨치과에서 시행한 결손치아 교정 치료사례(feat. 사랑니 교정)
부산사랑니교정 키다리아저씨치과에서 시행한 결손치아 교정 치료사례(feat. 사랑니 교정)

키다리아저씨치과
3월 18일3분 분량


부산부분교정 키다리아저씨치과에서 시행한 벌어진 앞니 부분교정 치료사례
부산부분교정 키다리아저씨치과에서 시행한 벌어진 앞니 부분교정 치료사례

키다리아저씨치과
3월 17일3분 분량


부산교정치료 키다리아저씨치과에서 시행한 주걱턱 비수술 교정 치료사례(feat. 악궁확장장치 MARPE)
부산교정치료 키다리아저씨치과에서 시행한 주걱턱 비수술 교정 치료사례(feat. 악궁확장장치 MARPE)

키다리아저씨치과
3월 16일3분 분량


부산청소년교정치과 키다리아저씨치과에서 시행한 비발치 2급 부정교합 치료사례
부산청소년교정치과 키다리아저씨치과에서 시행한 비발치 2급 부정교합 치료사례

키다리아저씨치과
3월 12일3분 분량


부산인비절라인 키다리아저씨치과에서 시행한 비발치 덧니교정 + 주걱턱 치료사례
부산인비절라인 키다리아저씨치과에서 시행한 비발치 덧니교정 + 주걱턱 치료사례

키다리아저씨치과
3월 11일3분 분량


부산비발치교정 키다리아저씨치과에서 시행한 비발치 덧니교정 치료사례
부산비발치교정 키다리아저씨치과에서 시행한 비발치 덧니교정 치료사례

키다리아저씨치과
3월 10일2분 분량


부산어린이교정 키다리아저씨치과에서 시행한 앵글씨 3급 부정교합의 프리올소 치료사례
부산어린이교정 키다리아저씨치과에서 시행한 앵글씨 3급 부정교합의 프리올소 치료사례

키다리아저씨치과
3월 9일2분 분량


부산치아교정잘하는치과 키다리아저씨치과에서 시행한 돌출입 교정 치료사례
부산치아교정잘하는치과 키다리아저씨치과에서 시행한 돌출입 교정 치료사례

키다리아저씨치과
3월 6일3분 분량


부산옥니교정 키다리아저씨치과에서 시행한 옥니, 덧니, 왜소치 치료사례(feat. 바른이 봉사회)
부산옥니교정 키다리아저씨치과에서 시행한 옥니, 덧니, 왜소치 치료사례(feat. 바른이 봉사회)

키다리아저씨치과
3월 5일2분 분량


부산치아교정비용 키다리아저씨치과에서 시행한 임플란트, 부분교정 치료사례
부산치아교정비용 키다리아저씨치과에서 시행한 임플란트, 부분교정 치료사례

키다리아저씨치과
3월 4일3분 분량


부산부정교합 키다리아저씨치과에서 시행한 매복치아 및 2급 부정교합 치료사례
부산부정교합 키다리아저씨치과에서 시행한 매복치아 및 2급 부정교합 치료사례

키다리아저씨치과
2월 25일3분 분량


부산비대칭교정 키다리아저씨치과의 비수술 안면비대칭 및 돌출입 교정 치료사례
부산비대칭교정 키다리아저씨치과의 비수술 안면비대칭 및 돌출입 교정 치료사례

키다리아저씨치과
2월 24일4분 분량


연산동교정치과 키다리아저씨치과에서 시행한 결손치아 대신 사랑니를 교정한 치료사례(feat. 임플란트 없이 마무리)
연산동교정치과 키다리아저씨치과에서 시행한 결손치아 대신 사랑니를 교정한 치료사례(feat. 임플란트 없이 마무리)

키다리아저씨치과
2월 23일3분 분량
bottom of page