부산어린이교정치과 키다리아저씨치과의 무턱, 돌출입 치료
- 키다리아저씨치과

- 2025년 1월 9일
- 3분 분량
최종 수정일: 2025년 1월 16일
오늘 부산어린이교정치과 키다리아저씨치과의 무턱과 돌출입 치료 사례입니다.
턱뼈의 크기에 비해 치아가 날 자리가 매우 부족하여 치열이 삐뚤해졌고 앞으로 뻗쳤습니다. 당연히 입술도 나오게 되고 상대적으로 아래턱이 들어가 보이는 무턱도 보였습니다.
나이 : 12세
부정교합 : 무턱, 돌출입
교정장치 : 자가결찰 금속(엠파워 메탈)

윗니와 아랫니 모두 매우 삐뚤한 것을 볼 수 있습니다.
특히 삐뚤함의 정도가 심한 부위는 양치질이 힘들기 때문에 치석, 플라그, 잇몸염증이 보였습니다.
나이에 비해 아직 치아 나이가 어려 유치도 존재하고 있었습니다. 조만간 영구치로 모두 전환이 될 것으로 예상되었습니다.
치아가 삐뚤하다 보니 앞으로도 많이 나와있는 모습입니다. 그리하여 옆에서 보게 되면 돌출입 경향이 매우 강한 것을 볼 수 있습니다. 돌출입에 의해 상대적으로 아래턱이 뒤로 들어가 보이는 무턱경향도 함께 나타납니다.
돌출입인 경우 나타나는 특징은 여러 가지가 있습니다.
억지로 입을 다물어야 되기 때문에 입 주위가 부자연스럽습니다.
입술주위, 턱끝에 힘이 들어가기 때문에 아랫입술 부터 턱끝까지 이어지는 곡선이 사라져 무턱경향이 더 강해집니다.
턱 끝에 힘이 들어갑니다.
이 외에도 여러 특징이 있으며 입이 나왔을 뿐임에도 미적으로 악영향을 많이 줍니다.
입을 억지로 다물지 않게 되면 보시는 바와 같이 입술이 다물어지지 않습니다.
아랫입술이 위아랫니 사이에 말려 들어가고 앞니는 두드러져 보입니다. 앞니를 다쳐서 오는 경우가 많은 편에 속합니다.
말하거나 웃을 때 드러나는 치열이 매우 삐뚤다 보니 예쁘다고 보기는 힘듭니다.
부산어린이교정치과 키다리아저씨치과에서는 발치교정을 계획하였습니다.
치열을 가지런하게 하기 위한 공간이 매우 부족했고 입까지 많이 튀어나와 있기 때문에 발치를 하지 않고는 도저히 목표를 달성할 수 없는 상태였습니다.
12세의 유치도 아직 존재하고 있는 어린이교정이지만 필요 시에는 먼저 발치를 하고 영구치가 맹출이 되길 기다리는 치료도 합니다.
보통은 송곳니 뒤쪽의 작은어금니 1쌍(2개) 중 1개를 선택적으로 발치하면 상하좌우 총 4개를 뽑게 됩니다. 뽑은 자리는 충분히 공간을 채울 수가 있기 때문에 걱정하지 않으셔도 됩니다.
특히 성인 보다 잇몸 적응을 잘 하고 마무리도 예쁘게 되기 때문에 뽑은 자리가 다 메워지지 않는다거나 벌어지는 부작용도 덜한 편입니다.
간혹 소중하고 멀쩡한 생니를 발치해야 된다는 거부감이 들 수 있는데, 치아 4개를 희생하고 더 큰 목표를 달성할 수 있다면 뽑는게 당연히 더 좋다고 생각됩니다.
부산어린이교정치과 키다리아저씨치과에서 사용한 장치는 자결찰 금속장치인 엠파워메탈입니다. 자가결찰은 철사와 브라켓을 묶어주는 뚜껑이 달려있고 하나하나 철사와 고무줄을 묶고 풀어야 했던 이전 방식 보다 매우 장점이 많습니다.
요즘 클리피씨 등 세라믹 장치를 선호하시긴 하지만 메탈은 부피도 작고 단단함 등 여러 장점이 있습니다.
불과 1년도 채 안된 시점임에도 덧니느 거의 없어졌고 치열도 가지런해졌습니다.
이제는 돌출입만 더 개선이 되면 될 것 같네요.
발치를 한 자리를 앞뒤 서로 고무나 기타 등등의 방법으로 당겨주면 앞니가 서서히 뒤로 들어가게 되면서 돌출입이 개선됩니다.
정면, 측면에서 바라본 진행단계 입니다.
점점 치열이 가지런해지고 뻐드러진 앞니가 들어가는 것이 보입니다.
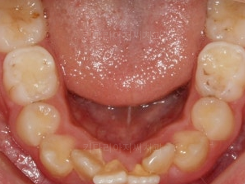
씹는면 위아래에서 본 모습입니다.
배열이 가지런해졌으며 앞쪽 및 뻐드러져 있던 앞니가 뒤로 들어오고 발치를 한 부위도 점점 메워진 것을 알 수 있습니다.
걱정한 만큼의 발치한 공간이 텅 비게 남아있는 것도 아니고 자연스럽게 치아가 이어져 있으니 얼핏 봤을 때 뽑았는지도 잘 모릅니다. 기능적으로도 미적으로도 문제가 되지 않습니다.
어린이 및 청소년 교정의 경우 치아의 움직이는 속도도 성인 보다 빠르고 뽑은 자리도 매우 자연스럽게 리모델링이 됩니다.
따라서 부산어린이교정치과 키다리아저씨치과에서는 성장이 아직 남아있는 어린이/청소년 교정을 권해드립니다.
실제 턱이 자란 것이 아님에도 돌출입이 개선 되면서 입을 다물기가 편해졌고 아랫입술에서 턱끝에 이르는 곡선이 자연스러워지니 무턱도 자연스레 개선이 된 것을볼 수 있습니다.
부산어린이교정치과 키다리아저씨치과에 오시는 길은 연산역 17번출구 바로 앞 건물 5, 6층입니다.
치과교정과 전문의(부산대 외래교수)와 치과보철과/통합치의학과 전문의(부산대 외래교수) 2명이 상주하며 교정치료와 일반치과치료를 협진하여 진료합니다.
<위 사진은 환자분의 동의를 구한 후 공개하는 사진자료입니다. 사진은 과장이나 조작이 없는 원본사진입니다. 교정치료로 인한 부작용으로는 치근흡수, 충치, 치아변색, 실활 등이 있을 수 있으며, 치료 전후 사진은 의료법 제 23조, 제 56조에 의거하여 게재합니다. 개인의 상태에 따라 치료결과는 달라질 수 있으므로, 교정전문의와 상의를 요합니다.>













































































댓글