부산군인교정 키다리아저씨치과에서 시행한 비수술, 비발치 주걱턱 교정 치료사례(feat. 군인교정)
- 키다리아저씨치과

- 3월 30일
- 3분 분량
"미니스크류를 이용한 투명교정장치에 관한 논문"으로 2023년도 Angle orthodontist(미국의 교정학회지) SCI 저널에 제 1저자로 게재되었습니다.
"2023년 대한치과 교정학회에서 표창장을 수여하였습니다."
"2023년 세계 구순구개열 학회에서 포스터 발표를 하였습니다."
항상 공부하고 노력하는 키다리아저씨치과가 되겠습니다.
안녕하세요.
오늘 부산군인교정 키다리아저씨치과에서 소개해 드릴 환자분은 주걱턱과 부정교합을 개선하고 싶어했던 환자분이며, 수술이나 발치 없이 교정을 진행했던 분입니다.
나이 : 19세
총 치료기간 : 2년 10개월(총 34개월)
사용한 장치 : 자가결찰 메탈(엠파워 메탈, Empower metal) + 미니스크류
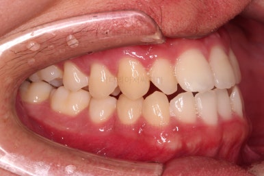
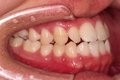
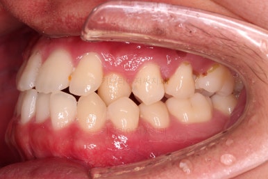
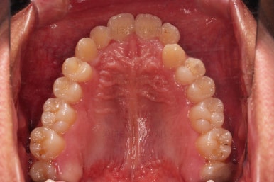
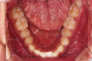
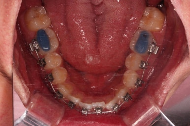
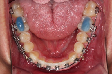
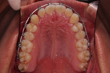
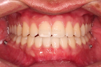
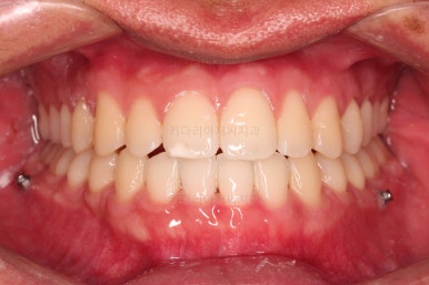
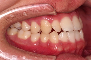
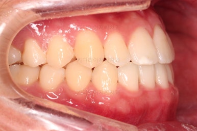
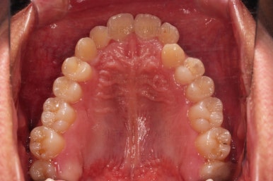
1. 초진
처음 내원 시의 입 안의 모습입니다.
주걱턱이신 분들의 전형적인 특징이 나타나는데요.
아래 앞니가 위 앞니보다 앞으로 나와 있거나 비슷하게 물린다.
어금니 교합이 듬성듬성 부정교합이다.
윗니 앞니가 매우 뻐드러져 있고, 아래 앞니는 뒤로 뉘어있다.
위턱뼈의 폭이 좁거나 아치의 형태가 V자 형태인 경우가 많다.
이 분도 거의 대부분의 특징을 다 갖고 있었습니다.
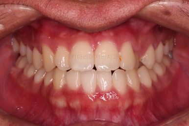
마찬가지로 초진 시 얼굴 모습입니다.
특히 옆모습에서 아래턱으로 내려올수록 앞으로 나와있는 주걱턱의 모습이고요.
앞에서 봤을 때도 입을 다물면 입꼬리가 아래로 쳐지고, 웃을 때도 아랫니가 많이 보이는 전형적인 주걱턱 환자분의 모습이었습니다.
보통 주걱턱이신분들이 비대칭도 같이 있는 경우가 많고, 이번 환자분도 마찬가지였습니다.
2. 치료계획
✅ 수술 vs 비수술
결론부터 말하면 이번 부산군인교정 환자분은 비수술로 진행했습니다.
그렇다면 모든 주걱턱 환자분을 비수술로 하는게 가능할까요? No.
수술과 비수술의 결과는 같을까요? No.
결국은 비수술이 갖는 한계점을 명확히 인지하고 수용한 뒤에 적절한 목표를 설정하는 과정이 필요한데요.
이번 환자분은 비수술이므로 당연히 턱의 크기나 위치는 개선이 안된다는 점을 인지하고 시작했고, 교합을 개선함으로써 가지는 장점에만 포커스를 맞추기로 했습니다.
다만, 아랫니가 뒤로 들어가면서 생기는 입술의 변화로 얼굴 모습에서는 긍정적인 반응이 나타날 수 있다는 점은 말씀을 드렸습니다.
✅ 발치 vs 비발치
결론부터 말하면 이번 환자분은 비발치로 진행했습니다.
그렇다면 모든 환자분들은 비발치로 하는게 가능할까요? No.
발치와 비발치의 결과는 같을까요? No.
수술 vs 비수술을 결정하는 의사결정 과정과 비슷하죠?ㅎㅎ
발치했을 때의 장점은 입이 들어갈 수 있고, 뻗친 앞니 각도를 더 잘 세울 수 있다는 점인데요.
그럼 왜 비발치로 진행하는가?
들어가는 입이 마냥 좋지 못할 때도 있고요. 현재의 앞니 위치를 지나치게 뒤로 넣으면 안정성이나 기능에서 문제가 생길 때도 있어서 비발치를 추천드리기도 합니다.
어쨌든 이번 환자분은 비발치, 비수술로 교합을 맞추는 선에서 끝내기로 했습니다.
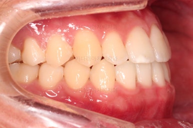
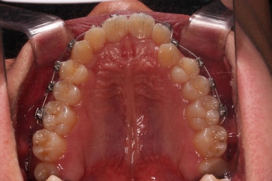
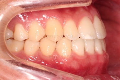
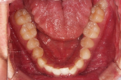
3. 치료 경과
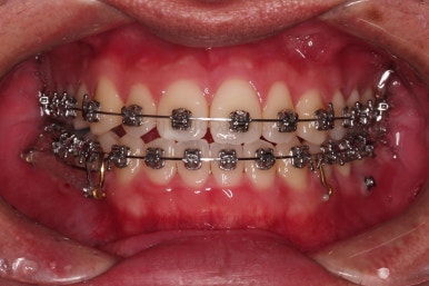
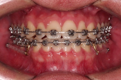
장치를 부착했고요.
가지런하게 하기 시작합니다.
이번 부산군인교정 환자분이 선택한 장치는 자가결찰 메탈 장치의 한 종류인 엠파워 메탈 장치로 진행을 했습니다.
장치 부착 직후의 입매의 변화나 눈에 보이는 브라켓의 시각적인 느낌 참고해 주세요.
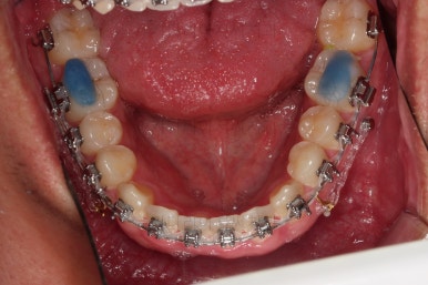
가지런하게 되었다면 아랫니를 뒤로 계속 당겨줍니다.
윗니보다 아랫니가 뒤로 오도록 계속 당겨줍니다.
반드시 미니스크류가 필요하고요.
비대칭으로 중앙선이 맞지 않던 부분도 좌/우 힘 조절을 통해서 점점 맞아지고 있습니다.
안으로 뉘어있던 아래 앞니의 각도를 개선하기 위해서 아래 앞니는 뿌리 부분을 많이 움직여줘야 합니다.
뿌리가 확실히 뒤로 들어와야 각도 개선과 심지어는 얼굴모습 개선에도 효과가 생기게 됩니다.
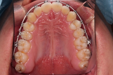
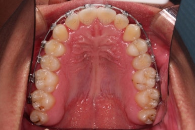
중앙선은 충분히 잘 개선되었고, 교합이 맞아질 때까지 아랫니를 계속 뒤로 당겨줍니다.
이 시점에서 얼굴모습에 대해 중간평가를 해서 향후 과정을 논의합니다.
당연히 주걱턱에서는 윗니 앞니는 뻗쳐 보이는게 사실입니다.
다만, 가능한 수준에서는 뒤로 당겨봐도 되기 때문에 윗니도 추가로 더 당겨볼지 여부를 상의합니다.
환자분과 보호자분은 이 정도면 괜찮다고 판단하여서 교합만 좀 더 맞추고 치료를 종료하기로 했습니다.
✅ 변수? 군입대!
이번 환자분의 총 부산군인교정 치료기간은 24개월인데요. 2년 내외의 치료 기간이 걸리는 일반적인 상황보다는 많이 걸렸죠.
중간에 군입대를 하게 되서인데요.
아무래도 주기적으로 내원하는 것이 힘들다 보니 내원간격과 내원횟수가 비정기적여지고, 또 장치가 떨어진다던지, 고무줄이 빠진다던지 기타 등등 상황에서도 대처가 힘들다보니 치료가 더뎌지게 되긴 합니다.
다만, 고민의 여지가 있는 것은 군입대 기간동안, 고립되어 있는 동안 교정을 그래도 어느 정도 하고 싶어하시는 분들이 있고요.
반면에 위와 같은 문제로 제대 후에 하고자 하는 분들도 있습니다.
본인의 상황과 가치관에 따라 선택하시면 되겠습니다.
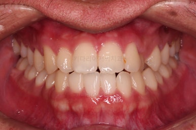
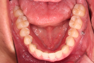
4. 마무리
교합이라던지, 배열, 아래 앞니 각도, 아치의 형태 등등 모든 점이 좋아졌네요.
추후에는 아랫니가 뒤로 들어오면서, 혀가 좁아진 공간에 얼마나 잘 적응을 하고 연습을 해가냐에 따라 장기적인 유지의 성패가 달렸다고 보면 되겠습니다.
부산군인교정 전후 비교를 해보겠습니다.
아래 앞니의 각도(뿌리 위치)를 신경쓰며 뒤로 당겨주니, 아랫 입술 부위의 옆모습도 많이 개선된 것을 볼 수 있습니다.
물론 큰 틀에서의 턱뼈의 주걱턱은 그대로지만요.
군대라는 특수한 상황이라 치료기간이 좀 길어진 점을 제외하고는 매우 만족스러운 부산군인교정 치료였습니다.
이상 군입대가 교정치료 중 있었던 군인 환자분을 발치 없이, 수술 없이 주걱턱 교정했던 사례였습니다.
부산 연산동 교정치과 키다리아저씨치과에 오시는 길은 연제구 연산동 연산역 17번출구 바로 앞 건물 6층입니다.
치과교정과 전문의(부산대 외래교수)가 상주하며 교정치료 합니다.
<위 사진은 환자분의 동의를 구한 후 공개하는 사진자료입니다. 사진은 과장이나 조작이 없는 원본사진입니다. 교정치료로 인한 부작용으로는 치근흡수, 충치, 치아변색, 실활 등이 있을 수 있으며, 치료 전후 사진은 의료법 제 23조, 제 56조에 의거하여 게재합니다. 개인의 상태에 따라 치료결과는 달라질 수 있으므로, 교정전문의와 상의를 요합니다.>





































































































































댓글