부산교정 키다리아저씨치과에서 시행한 비수술 비발치 주걱턱 치료사례
- 키다리아저씨치과

- 2025년 12월 10일
- 2분 분량

"미니스크류를 이용한 투명교정장치에 관한 논문"으로 2023년도 Angle orthodontist(미국의 교정학회지) SCI 저널에 제 1저자로 게재되었습니다.
항상 공부하고 노력하는 키다리아저씨치과가 되겠습니다.
안녕하세요.
오늘 부산교정 키다리아저씨치과에서 소개해 드릴 환자분은 약간의 주걱턱 경향으로 앞니끼리 맞물리는 부정교합을 치료했던 분입니다.
나이 : 26세
총 치료기간 : 1년 3개월(총 15개월)
사용한 장치 : 자가결찰 세라믹(엠파워 클리어, Empower clear) + 미니스크류
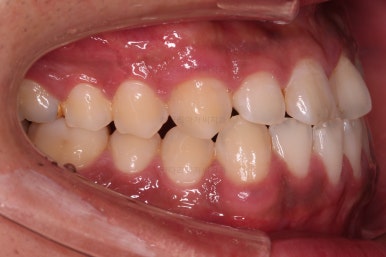
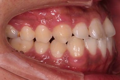
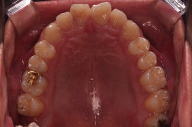
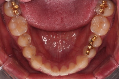
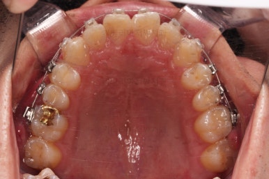
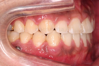
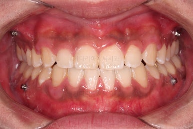
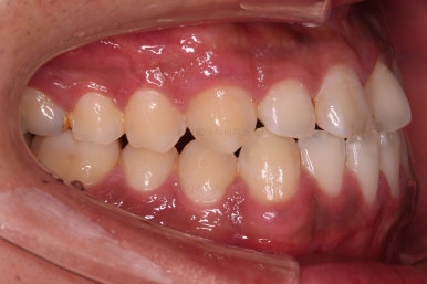
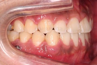
초진 시 입안의 모습입니다.
비교적 고른 편이긴 하나 아랫니가 전반적으로 밀려 나오면서 앞니끼리 부딪혀 있는 양상이고요.
어금니 맞물림도 긴밀하게 톱니바퀴처럼 위아래가 맞물려 있는게 아니라 엉성한 모습이죠.
앵글씨 3급 부정교합이라고 하는데요.
왜 고쳐주는게 좋으냐?
앞니 관점에서
위아래가 부딪히게 되면 마모가 빨리 됩니다. 심지어 조금씩 부러져 나가는 경우도 생깁니다.
아래 앞니는 약하기 때문에 잇몸이 빨리 퇴축이 돼요.
씹어 먹는 기능도 좋지 못하고요.
웃을 때도 아랫니가 부각되어 보이면서 특유의 주걱턱 느낌을 만들게 돼요.
어금니 관점에서
교합이 좋지 못하면 기능적인 면에서도 불리하지만 마모가 굉장히 빨리 되고요.
잇몸도 상대적으로 빨리 퇴축되는 경향이 있어요.
치아 목부분이 패여나가는 증상(모든 사람들이 겪게 되는)도 남들보다 빨리 진행되면서 시림 증상의 원인이 되기도 한답니다.
따라서 정상교합 상태로 만들어주는 건 여러모로 도움이 됩니다.
교정을 무조건 안하면 안돼 라는 개념보다는 해주면 더 좋다고 보시면 되겠습니다.
얼굴 모습인데요.
많이 심하진 않지만 아래턱이 나와 보이는 그래서 코밑 ~ 턱끝까지 이어지는 선이 후방으로 가는게 아니라 앞쪽을 향하는 약간의 주걱턱 느낌을 보이고요.
웃을 때도 윗니는 살짝 뻗쳐있고 웃을 때 아랫니가 나오다 보니 강조되어 보이는 양상이네요.
또한 코밑 ~ 윗입술 사이의 각도가 작다보니 특유의 입술이 약간 나온 느낌도 보이고요.
어쨌든 아랫니는 윗니 뒤로 넣어야 되고, 가능한 선에서 윗니도 뒤로 넣으면서 코밑~윕입술의 각도라던지 약간 나와보이는 느낌 등을 개선해 보기로 했습니다.
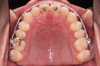
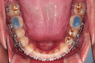
부산교정 장치를 부착했습니다.
이번에 선택하신 장치는 자가결찰 세라믹 장치에요. 스스로 철사를 묶는(결찰) 뚜껑이 달린(자가) 세라믹 성분의 장치인데요.
기능적으로도 우수하고, 세라믹이다 보니 미적으로도 장점이 있습니다.
더 밝은 세라믹인 데이몬 클리어라고 하는 장치도 있는데요.
이번 환자분은 엠파워 클리어라고 하는 장치를 사용했으며 흔히 아신느 클리피씨와 동일한 계열의 장치입니다.
장치 부착 직후의 느낌 참고해 주시고요.
아무ㅐㄹ도 장치로 인해 입은 약간 나와보이는 경향이 있습니다.
얼마나 입이 나오는지는 사람마다 매우 차이가 큽니다.
우선 치열이 가지런해졌으면 우리의 목표인 치열을 통째로 뒤로 미는 과정을 진행합니다.
잇몸뼈에 미니스크류라고 하는 아주 작은 임플란트를 식립하고요.
미니스크류를 이용해서 뒤로 당겨주게 됩니다.
어느 정도 아랫니가 뒤로 와서 위아래의 교합이 맞춰졌다 생각들면 윗니도 함께 뒤로 당겨줍니다.
그래야 뻗쳐있던 앞니의 각도도 좋아지고, 코-입술 각도(비순각)도 좋아지기 때문이죠.
얼굴모습도 평가하여 목표치를 함께 의논해 가면서 결정합니다.
원래 포항에서 내원하셨던 분인데, 서울로 취업을 하시는 바람에 내원거리가 더 멀어지게 되었는데요.
그래서 내원 약속이 다른 분들처럼 주기적으로 딱딱 맞지는 않았지만 큰 무리없이 진행되었고요.
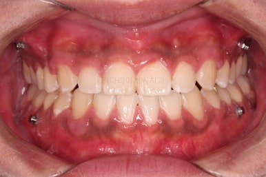
적절한 수준에서 만족하시어 마무리를 하게 되었습니다.
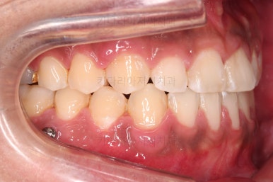
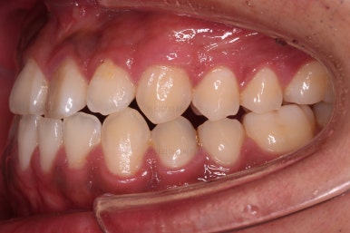
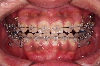
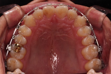
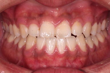
가지런한 느낌, 앞니 뻐드러짐을 좋게 했고요.
교합도 맞춰 위아래가 톱니바퀴처럼 맞물리게 했고, 앞니도 위아래 관계를 잘 맞추고 마무리를 했습니다.
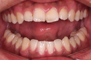
전후 비교해 볼게요.
1년 3개월이라는 비교적 짧은 기간안에 적절한 교합, 심미성 등 여러 가지를 달성했던 만족스러운 치료였습니다.
이상 비수술, 비발치로 주걱턱 및 앵글씨 3급 부정교합을 개선했던 부산교정 치료사례였습니다.
키다리아저씨치과에 오시는 길은 연제구 연산동 연산역 17번출구 바로 앞 건물 6층입니다.
치과교정과 전문의(부산대 외래교수)가 상주하며 교정치료 합니다.
<위 사진은 환자분의 동의를 구한 후 공개하는 사진자료입니다. 사진은 과장이나 조작이 없는 원본사진입니다. 교정치료로 인한 부작용으로는 치근흡수, 충치, 치아변색, 실활 등이 있을 수 있으며, 치료 전후 사진은 의료법 제 23조, 제 56조에 의거하여 게재합니다. 개인의 상태에 따라 치료결과는 달라질 수 있으므로, 교정전문의와 상의를 요합니다.>























































































































댓글