부산수술교정 키다리아저씨치과의 주걱턱교정 사례
- 키다리아저씨치과

- 1월 10일
- 2분 분량
최종 수정일: 1월 16일


안녕하세요. 오늘 키다리아저씨치과에서 소개해 드릴 분은 주걱턱으로 고민 중이신 분으로 관점에 따라 나빠보이지 않는 모습을 보이셨지만 적극적으로 아래턱을 뒤로 많이 넣고 싶어 부산수술교정 하셨던 분입니다.
나이 : 30세
부정교합 : 주걱턱 + 악궁확장
교정장치 : 자가결찰 메탈(엠파워 메탈)
아래턱이 미약하게 나와 있었습니다. 턱이 크게 나오지 않았다고 느끼시는 분은 치아만 움직여 약간의 입매를 양호하게 해주는 비수술교정으로 진행을 하기도 하지만 이번 환자분은 적극적으로 보다 아래턱을 작게 만들고 싶어 하셨기에 치아교정 + 양악수술(턱수술)을 진행하기로 했습니다.
아래턱이 나오게 되면 앞모습에서의 다음과 같은 인상을 줄 수가 있는데요.
입꼬리가 아래로 쳐지게 됩니다.
강해보이고 뚱해 보이는 인상을 줍니다.
입을 다무는게 힘들다 보니 힘이 들어가고 입매가 어색해집니다.
따라서 양악수술을 동반해 치아교정을 하게 되면 심미적으로나 기능적으로 매우 좋아질 것으로 예상되었습니다.
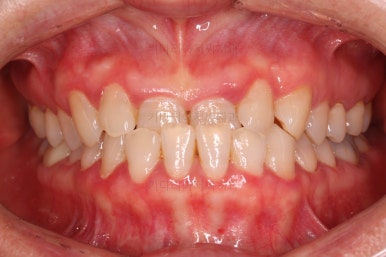
치료 전의 입안 모습입니다.
치열은 크게 나쁘진 않았으나 아래턱이 크다 보니 아랫니들이 앞쪽으로 전반적으로 밀려나온 모습입니다. 위아래 앞니가 덮히지 않고 1대1 정면으로 딱 맞물려 있습니다.
또한 위턱이 아래턱 보다 가로 넓이가 좁아 위쪽의 어금니가 아래쪽 어금니를 담아주지 못하고 있었습니다. 이러한 상태는 교합을 맞추는데 있어서 굉장히 힘들어 지는 경우가 많습니다.
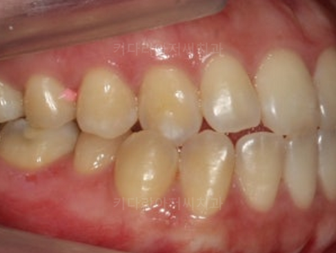
악궁확장을 통해 위턱의 가로 넓이를 넓혀줍니다.
윗니의 입천장에 장치를 넣어주고 주기적으로 돌려주며 악궁확장을 합니다. 성인은 악궁확장이 잘 일어나지 않기 때문에 미니스크류를 이용하기도 하나 이번 환자분은 30세 성인이였으나 원하는 악궁확장을 미니스크류 없이 만들었습니다.
성인도 무조건 악궁확장이 가능하지 않기 때문에 키다리아저씨치과에서는 3차원 CT를 이용해 뼈분석을 정확하게 한 뒤 시행하였습니다.
교정치료 전과 부산수술교정 턱뼈수술을 하기 직전의 입안 모습입니다.
수술직전까지는 지속적으로 아래턱이 더 앞으로 나올 수 있는게 수술교정의 특성입니다. 심미적으로 아랫니들이 점점 앞으로 나가게 되니 보기 싫다고 느껴지실 수 있습니다.
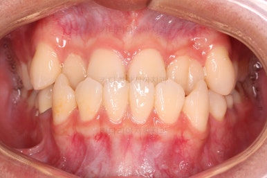
부산수술교정까지 다 마치고 교정치료도 모두 끝낸 모습입니다.
확실히 아래턱이 뒤로 들어가게 되면서 아랫입술에서 부터 턱끝까지의 라인이 살아난 것을 볼 수 있습니다.
얼굴 길이도 전체적으로 짧아지게 되면서 브이라인이 살아났습니다.
심미적으로 많은 개선이 되었습니다.
치아의 맞물림이나 배열이 훨씬 좋아진 것을 볼 수 있습니다.
부산수술교정 키다리아저씨치과에 오시는 길은 연산역 17번출구 바로 앞 건물 5, 6층입니다.
치과교정과 전문의(부산대 외래교수)와 치과보철과/통합치의학과 전문의(부산대 외래교수) 2명이 상주하며 교정치료와 일반치과치료를 협진하여 진료합니다.
<위 사진은 환자분의 동의를 구한 후 공개하는 사진자료입니다. 사진은 과장이나 조작이 없는 원본사진입니다. 교정치료로 인한 부작용으로는 치근흡수, 충치, 치아변색, 실활 등이 있을 수 있으며, 치료 전후 사진은 의료법 제 23조, 제 56조에 의거하여 게재합니다. 개인의 상태에 따라 치료결과는 달라질 수 있으므로, 교정전문의와 상의를 요합니다.>



















































댓글