부산비수술교정 키다리아저씨치과의 주걱턱 및 반대교합의 비수술적 치료사례
- 키다리아저씨치과

- 2025년 4월 18일
- 4분 분량
안녕하세요.
오늘 부산비수술교정 키다리아저씨치과에서 소개해 드릴 환자분은 주걱턱으로 인한 앞니 반대교합 때문에 치아교정을 하고 싶어 하셨던 분으로 수술 이외에 비수술적 방법으로 개선하길 원하셨습니다.
나이 : 23세
총 치료기간 : 2년 2개월(총 26개월)
사용한 장치 : 자가결찰 세라믹(Empower clear. 엠파워 클리어)
키다리아저씨치과에서 처음 내원하셨을 당시의 얼굴 모습입니다.
아래턱이 주걱턱처럼 앞으로 나온 양상입니다. 하관이 강해 보이는 인상을 줘요. 아래턱이 나왔기 때문에 아랫니가 윗니보다 앞에 있을 수 밖에 없어 미적으로 좋지 못합니다.
주걱턱의 경우 입술에서의 느낌도 특징적인데요.

이렇게 입꼬리가 아래쪽으로 쳐지게 됩니다.
그래서 뒤집어진 U자 형태를 대부분 보이게 되죠.아래턱이 앞으로 나오면서 입꼬리를 앞으로 잡아당기기 때문입니다.
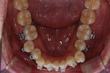
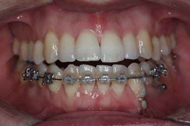
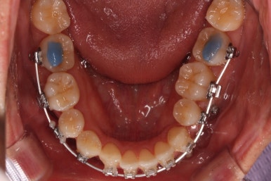
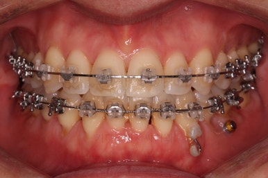
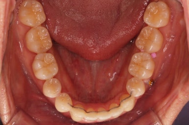
부산비수술교정 키다리아저씨치과에 처음 내원하셨을 당시의 입 안의 모습입니다.
아래 앞니에 결손치아가 하나 있네요. 송곳니-송곳니 사이에 앞니가 4개가 있어야 정상이지만 이 분은 3개에요. 의외로 아래앞니 하나 혹은 두개가 없는 경우가 굉장히 많답니다.
갯수가 맞지 않다보니 치열의 중앙도 맞지 않고 비대칭이 됩니다.
그리고 주걱턱이기 때문에 당연히 아랫니들도 앞으로 나올 수 밖에 없어 윗니보다 앞에 나와있어요.
이를 반대교합이라고 합니다.
반대교합의 경우 문제점들이 있는데요.
아래턱을 앞뒤로 움직이면서 앞니로 끊어먹는 동장이 안됩니다.
반대교합 상태로 앞니로 음식을 먹다보면 윗니는 안쪽으로 아랫니는 바깥쪽으로 미는 힘을 점점 받게 됩니다. 그런데 원래 구조상 윗니는 밖으로 미는 힘에 강하고, 아랫니는 안쪽으로 들어오는 힘에 강해요. 말이 어렵지만 결국 이상태로 장기간 사용하다보면 앞니 잇몸이 약해져요.
어금니의 맞물림도 연쇄적으로 몇 칸씩 밀려있는 양상이라 효율도 좋지 못하고 치아의 건강에도 좋지 못해요.
이 분의 경우에도 전반적으로 잇몸이 약해져있을 수 밖에 없어요. 보시면 아시겠지만 잇몸 퇴축이 심해서 치아들이 길쭉길쭉해 보이죠.
이런 주걱턱의 경우 큰 틀에서 두 가지 치료계획이 있어요.
1. 수술
2. 비수술 치아교정
수술을 하게 되면 당연히 큰 아래턱을 한 번에 정상적인 크기를 만들어 줄 수 있기 때문에 근본적인 치료가 될 수 있어요.
대신, 수술의 위험성, 비용, 부작용, 회복에 걸리는(일상생활이 힘든) 기간 등 여러 가지 이유로 꺼리시게 되죠.
따라서 수술 없이 치아의 맞물림, 반대교합만 개선하고자 하는 분들이 많아요.
단, 수술과 비수술의 결과가 완전히 같진 않아요. 비수술로도 수술과 똑같은 결과를 낸다면 양악수술이라는 치료는 아예 세상에서 없어졌겠죠.
비수술의 경우 얼굴모습의 드라마틱한 개선은 없을 수 있어요 뼈 길이는 그대로이기 때문이죠.
간혹 비수술로도 뼈길이를 줄일 수 있다고 말씀하시는 분들이 있는데 잘못된거에요. 내가 가진 뼈 안에서 치아를 움직이는데 어떻게 뼈 길이가 줄어들겠어요. 치료시에는 할 수 있는 부분과 할 수 없기 때문에 받아들여야 하는 점을 명확히 하고 들어가셔야 후회나 실망을 안하시게 됩니다.
어쨌든 이번 환자분의 경우는 비수술로 교합을 개선해주기로 했어요.
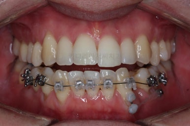
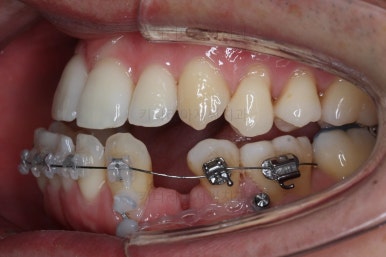
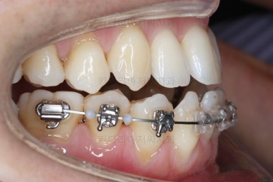
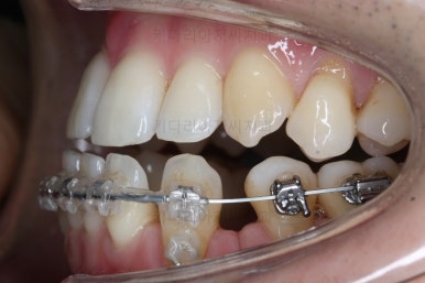
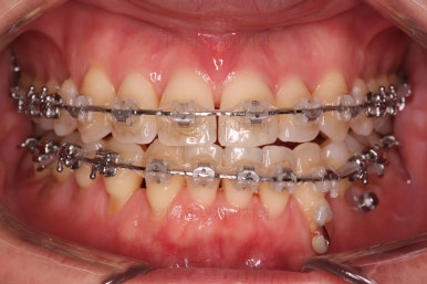
장치를 처음 부착했을 때의 입안 모습입니다.
아랫니가 해야될 작업이 많고 기간이 오래 걸리기 때문에 윗니는 최대한 늦게 장치를 부착하여 불편감을 최소화 하기로 했어요.
이번에 사용한 장치는 자가결찰 세라믹장치입니다. Empower clear(엠파워 클리어)라는 장치이고 흔히 많이들 알고계신 클리피씨와 동일한 유형의 장치에요.
클리피씨, 엠파워 등은 제품 이름일 뿐이죠. 클리피씨는 일본회사 장치, 엠파워는 미국회사 장치에요. 부산비수술교정 키다리아저씨치관느 여러 가지 이유로 엠파워 장치를 클리피씨보다 더 선호해요.
장치를 부착한 직후의 얼굴 모습입니다.
장치 때문에 아랫입술이 약간 앞으로 나온 느낌이 있지만 심하진 않네요. 교정장치 때문에 입술이 더 튀어나오는지 여부는 사람마다 굉장히 차이가 크답니다.
왼쪽은 교정치료 전, 오른쪽은 아랫니에 장치를 부착한 직후의 사진입니다.
약간의 차이는 느껴지시죠?
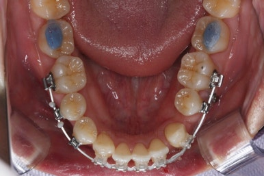
아래 앞니 갯수가 이미 1개 모자라고 좌우 비대칭도 있고 아래앞니도 뒤로 당겨넣어야 하기 때문에 이를 1개 뽑았어요.
이를 뽑은 위치로 앞니도 뒤로 밀어넣어주고 좌우 균형도 맞춰주기로 했습니다.
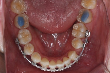
이 뽑은 자리로 앞니를 쭈욱 밀어넣으며 비대칭도 맞춰주기 위해서 미니스크류(마이크로 임플란트)라고 불리는 작은 나사를 잇몸뼈에 식립했어요.
이를 지지대로 삼아서 치아를 움직이게 됩니다.
아랫니를 계속 당겨주면서 가지런하게 하고 있어요.
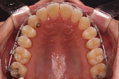
어느 정도 진행이 되었다 싶으면 윗니도 장치를 부착해서 가지런하게 해줘요.
윗니도 장치를 부착했어요.
아랫니보다 해야 할 작업이 많지 않기 때문에 이렇게 시간차를 두어 진행을 했고, 이렇게 하면 교정장치가 눈에 띄는 기간이 줄어들어 환자분의 만족도는 더 올라가게 되죠.
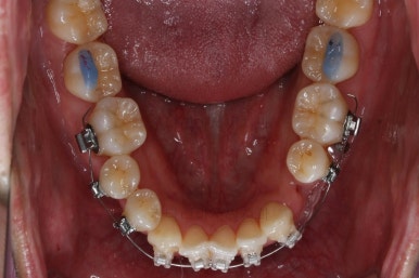
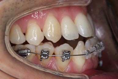
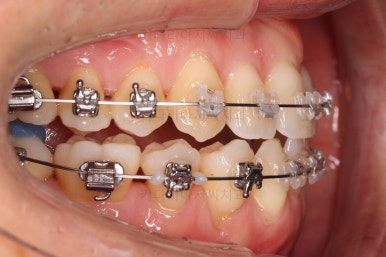
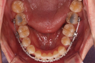
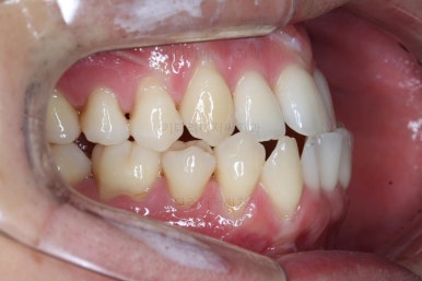
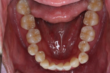
아랫니 이 뽑은 자리는 거의 다 다물렸어요.
거꾸로 물리는 앞니도 어느 정도 많이 개선이 되었고요.
이 정도 진행되면 입매에 대해서 평가를 합니다.
아랫입술이 상당히 많이 들어갔죠? 치료의 목표가 턱뼈를 짧게 만드는 것도 아니고 교합을 맞춰주는 것인데 치료를 하다보면 얼굴모습도 좋아져요.
거꾸로 물리던 아래 앞니가 뒤로 들어가면서 튀어나왔던 아래입술이 뒤로 들어가게 되면 옆 라인이 훨씬 자연스러워지게 되죠. 턱뼈가 짧아지지 않더라도 주걱턱이 개선되어 보이는 효과를 주게 됩니다. 바로 이게 비수술교정의 핵심이라고 보시면 되요.
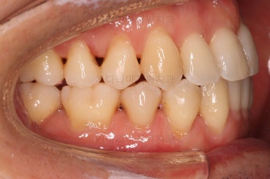
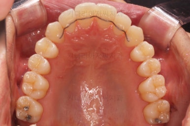
외모도 좋아졌고 교합도 개선되어 가고 있기 때문에 좀 더 정교한 마무리를 하고 치료 종료하기로 했어요. 모자렀던 부분도 더 가지런하게 하고 있어요.
점점 마무리에 가까워지고 있습니다.
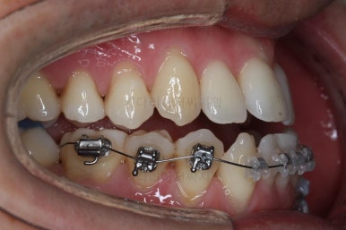
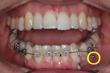
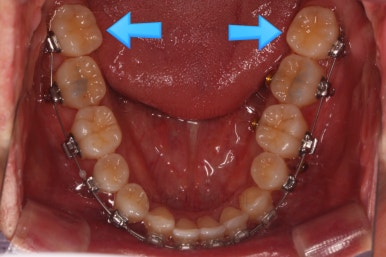
화살표는 사랑니인데요. 이 분의 경우 아래 앞니가 1개 없고, 1개를 추가로 뽑아서 윗니 대비 아랫니가 총 2개 모자란거죠.
운이 좋게도 이 분은 사랑니까지 잘 나와있던 상태라 내버려두기 아까워 함께 가지런하게 해주고 사용하실 수 있게 해드렸어요.
좀 더 마무리를 하고 치료 종료하기로 했어요.
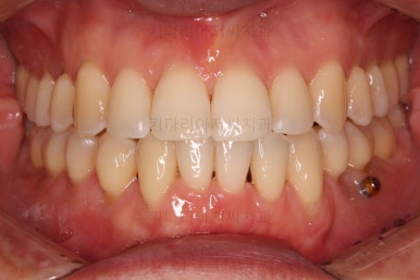
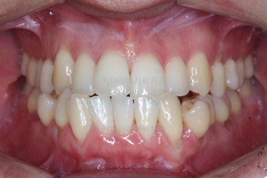
부산비수술교정 키다리아저씨치과에서 시행한 이번 치료의 결과입니다.
옆모습이 주걱턱 느낌이 많이 없어졌고 볼록하던 아랫입술도 뒤로 들어갔어요. 앞니가 거꾸로 물리지 않게 되어 웃거나 말하는 모습도 자연스러워졌어요.
아랫니 갯수가 모자라고 중앙이 맞지 않았고 짝이 안맞는 상황이었으나 비교적 잘 마무리를 했어요.
거꾸로 물리는 상황이 개선되었기 때문에 앞니나 어금니의 교합은 이전과 비교할 수 없을만큼 좋아졌지요.
전후 모습을 비교해 보겠습니다.
왼쪽이 치료 전, 오른쪽이 치료 후 모습입니다.
얼굴모습을 비교해 보겠습니다.
얼굴모습의 변화입니다.
아랫입술이 들어가서 훨씬 더 자연스러운 옆모습이 되었고 미소가 훨씬 밝아졌어요.
또 하나의 중요한 변화는 가만히 입을 다물었을 때의 입술이 입꼬리가 쳐진 뒤집어진 U자 형태가 많이 개선되었다는 점이에요. 가만히 있을 때의 느낌이 굉장히 좋아졌어요.
이상 부산비수술교정 키다리아저씨치과에서 주걱턱, 반대교합, 결손치아, 비대칭이 있는 환자분을 비수술적 방법으로 치아교정을 한 사례였습니다.
키다리아저씨치과에 오시는 길은 연산역 17번출구 바로 앞 건물 5, 6층입니다.
치과교정과 전문의(부산대 외래교수)와 치과보철과/통합치의학과 전문의(부산대 외래교수) 2명이 상주하며 교정치료와 일반치과치료를 협진하여 진료합니다.
<위 사진은 환자분의 동의를 구한 후 공개하는 사진자료입니다. 사진은 과장이나 조작이 없는 원본사진입니다. 교정치료로 인한 부작용으로는 치근흡수, 충치, 치아변색, 실활 등이 있을 수 있으며, 치료 전후 사진은 의료법 제 23조, 제 56조에 의거하여 게재합니다. 개인의 상태에 따라 치료결과는 달라질 수 있으므로, 교정전문의와 상의를 요합니다.>



















































































































































































댓글