연산동치아교정치과 발치교정 시 옥니, 재교정, 역교정을 방지하는 방법은?
- 키다리아저씨치과

- 15시간 전
- 3분 분량
"미니스크류를 이용한 투명교정장치에 관한 논문"으로 2023년도 Angle orthodontist(미국의 교정학회지) SCI 저널에 제 1저자로 게재되었습니다.
"2023년 대한치과 교정학회에서 표창장을 수여하였습니다."
"2023년 세계 구순구개열 학회에서 포스터 발표를 하였습니다."
항상 공부하고 노력하는 키다리아저씨치과가 되겠습니다.
안녕하세요.
오늘 연산동치아교정치과 키다리아저씨치과에서 소개해 드릴 환자분은 약간의 돌출입과 삐뚤어진 치열을 가지런하게 하고자 발치교정을 했던 환자분입니다.
나이 : 20세
총 치료기간 : 2년 8개월(총 32개월)
사용한 장치 : 자가결찰 세라믹 + 메탈(엠파워 클리어 + 메탈) + 미니스크류
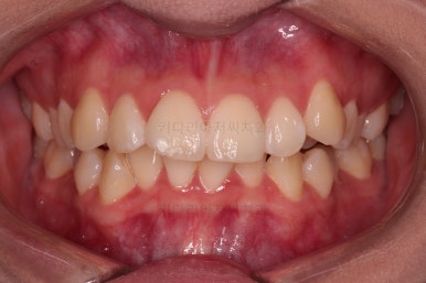
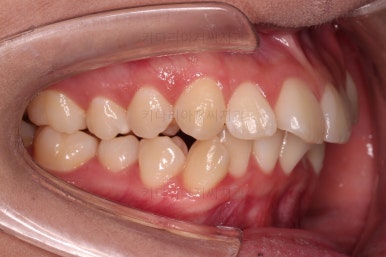
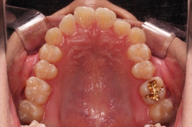
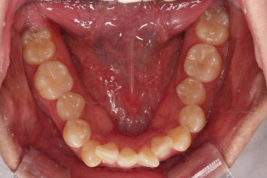
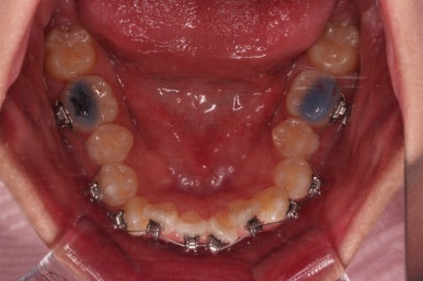
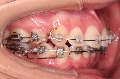
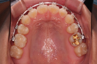
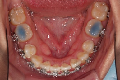
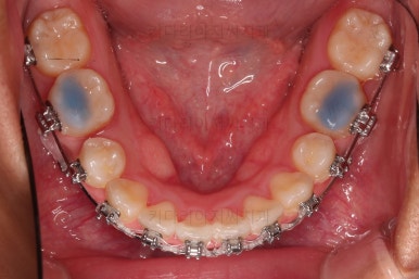
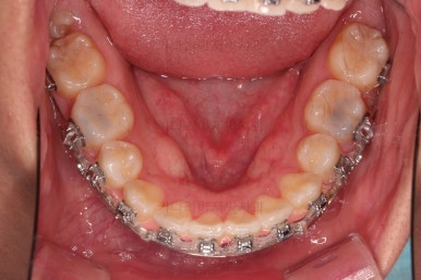
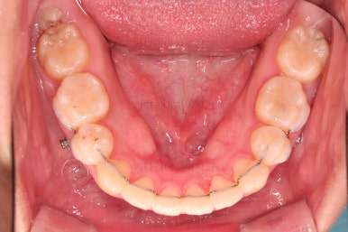
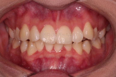
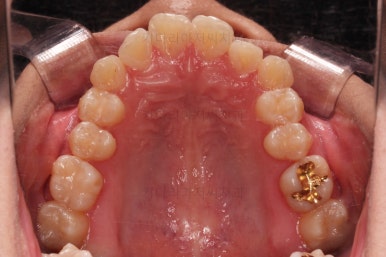
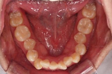
1. 초진 시 입안의 모습 평가
연산동치아교정치과 키다리아저씨치과에 처음 내원했을 당시의 입 안의 모습입니다.
치열이 전반적으로 삐뚤어져 있는 상태였고, 윗니들이 전반적으로 아랫니에 비해서 앞으로 나와있어 돌출된 느낌을 주고 있습니다.
어금니 맞물림도 위아랫니들이 깍지끼듯 물리지 않아 부정교합이 있으며, 아래 앞니는 약간 솟구쳐 올라 과개교합의 양상을 띕니다.
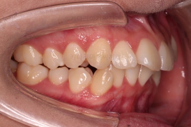
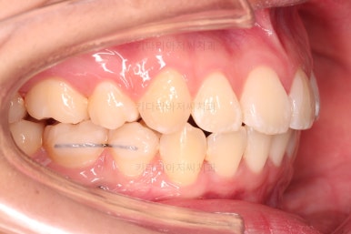
2. 초진 시 얼굴 모습 평가
교정치료는 당연히 치열의 위치와 균형을 맞춰주기 때문에 얼굴모습에서의 변화도 만들어낼 수 있습니다.
따라서 현재 얼굴모습을 정확히 평가하여 교정치료 계획 수립에 반영을 해야 되는데요.
이번 환잡누은 입을 다물었을 때의 돌출감이라던지 부자연스러운 느낌은 별로 없었지만, 웃거나 말할 때 보이는 치아의 위치가 튀어나온 양상이었고, 치열이 보일 때 이가 가득차 보이는 양상이었습니다.
이러한 느낌도 결국 돌출입의 한 양상이므로 앞니를 뒤로 밀어주는 방향의 교정치료가 필요하다고 판단되었습니다.
3. 치료계획의 수립 및 목표 설정
🦷 발치 vs 비발치
발치치료와 비발치치료의 결과물이 똑같다면 과연 발치치료를 선택할 환자분이 있을까요?
당연하게도 발치를 한다는건 비발치치료로 달성할 수 없는 목표를 만들어내기 때문에 선택하게 되는 것인데요.
발치는 다음과 같을 때 선택하게 됩니다.
치열이 많이 삐뚤 때(공간 부족)
돌출입일 때(공간 부족으로 치아가 앞으로 밀려나온 유형)
앞니가 많이 뻐드러졌을 때
부정교합의 양이 커서 많은 치아 움직임이 필요할 때
등등의 이유로 발치를 택하는데요.
요약하면 "치아 움직임이 많이 필요할 때" 발치를 선택하게 됩니다.
이번 환자분의 경우는 입매는 돌출이 심하지 않지만, 치열의 전반적인 위치가 앞쪽에 위치함으로 인해 주는 치아의 돌출 느낌을 개선하고자 발치를 택하게 되었습니다.
다만, 이렇게 입이 많이 나오지 않은 경우에 자칫 옥니가 되거나 입이 너무 들어갈 수 있기 때문에 중간평가를 철저히 하여 입매에 대한 목표치와 환자분의 의견을 조율해 나가는 과정이 매우 중요합니다.
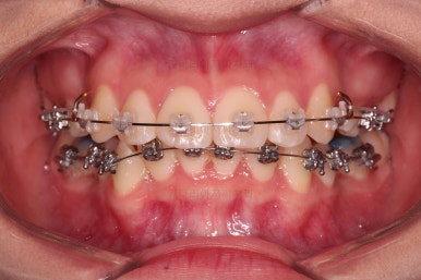
4. 치료 과정 및 경과
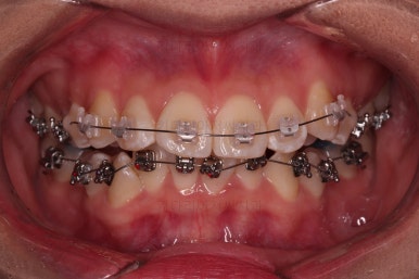
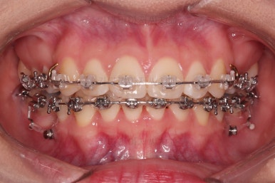
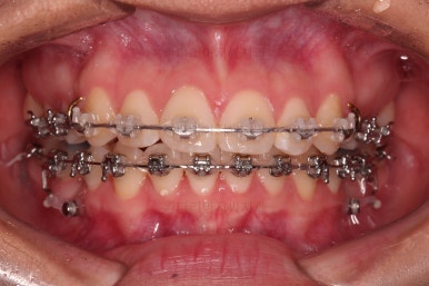
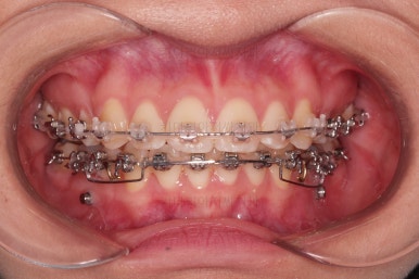
통상적인 방법으로 브라켓을 부착하였습니다.
이번 환자분이 선택한 장치는 자가결찰 장치인데, 많이 보이는 윗니는 세라믹으로 하고, 아랫니는 메탈로 했습니다.
같은 회사의 동일한 세팅값을 가진 브라켓이므로 이렇게 혼용해서 써도 무방하고요.
혼용할 때의 장점은 다음과 같습니다.
비용이 좀 더 저렴해진다.
보이는 부분은 세라믹으로 구성할 수 있다.
아랫니는 튼튼하게 메탈로 구성할 수 있다.
등이 있으며, 세라믹이든 메탈이든 좋은 장치이므로 연산동치아교정치과 키다리아저씨치과에서는 환자분의 선택에 맡기는 편입니다.
장치 부착 직후의 장치가 보이는 느낌 및 옆라인의 변화는 참고 바랍니다.
상하좌우 총 4개의 작은 어금니를 발치하고요.
발치 공간을 활용해 치열을 가지런하게 해 나갑니다.
일단 가지런하게 한 뒤에 몇 가지 주의할만한 특이사항들을 신경 써가면서 치아 뽑은 자리를 앞뒤로 당겨줍니다.
이 과정에서 앞니가 적극적으로 뒤로 들어가게 되면서 돌출입도 개선이 되는데요.
지금부터가 이번 환자분에 대해 특별히 신경쓰고 주의를 기울였던 시점입니다.
애초에 입매 자체는 많이 튀어나온 입이 아니다.
치열만 들어가면서 입매는 최소한으로 들어가는 지점을 찾아야 한다.
윗니는 발치공간이 거의 다 모였고, 아랫니는 발치 공간이 많이 남았다.
아직 부정교합은 여전하다.
아랫니가 공간이 많이 남았음에도 아래 앞니가 윗니보다 더 뒤에 있다. 그냥 공간을 모으면 아래 앞니는 지금보다 훨씬 뒤로 들어가게 된다.
향후 치료계획에서의 키 포인트는 현재 입매를 환자분이 만족하는지, 입을 더 넣고 싶은지에 대한 여부입니다.
얼굴모습에서 윗니 앞니의 위치 나쁘지 않고요.
옆라인은 처음부터 나쁘지 않았고, 지금도 많이 들어간 수준이 아니라 굉장히 예쁜라인이네요.
✅ 지금부터는 입이 뒤로 들어가지 말아야 한다.
입이 안들어가면 남은 공간을 모으고, 부정교합을 개선하는 방법?
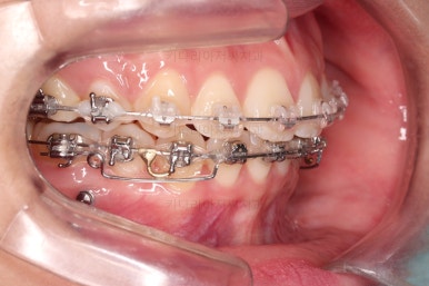
미니스크류를 이용해서 어금니를 순수하게 앞으로 당겨오는 방법을 사용하게 됩니다.
테크닉적으로 까다롭고 신중하게 시행되어야 합니다.
공간이 남아서 어금니를 앞으로 당겨와야 하는 아래 치열에 미니스크류를 구성하고요.
어금니를 앞으로 당겨줍니다.
만약 이러한 중간평가 과정이나 환자분과의 입매에 대한 논의가 없었다면 입이 매우 들어간 상태가 되었거나 옥니가 되었거나 합죽해 보여서 재교정이나 역교정의 사례가 되기 쉬웠을 겁니다.
일반적인 발치교정보다는 시간이 더 소모되긴 하지만 최적의 결과를 위해서 연산동치아교정치과나 환자분이나 기간에 대해서는 수용하기로 했습니다.
얼굴모습이 진짜 변화가 없는지 반복적으로 체크해 주고요.
필요한 디테일링을 더 하고 마무리를 하게 됩니다.
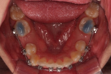
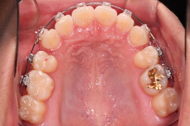
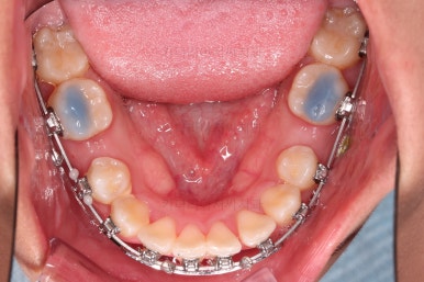
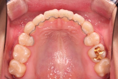
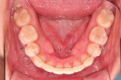
5. 마무리와 치료 종료
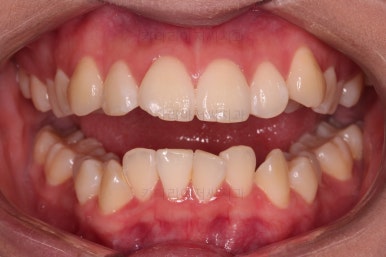
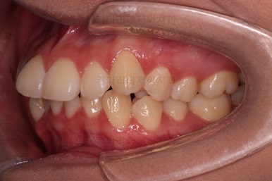
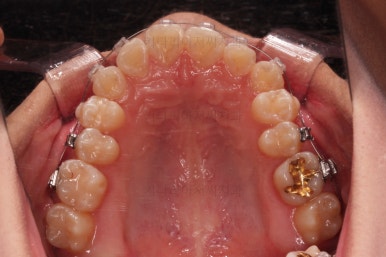
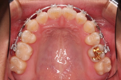
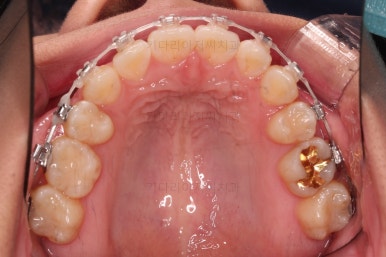
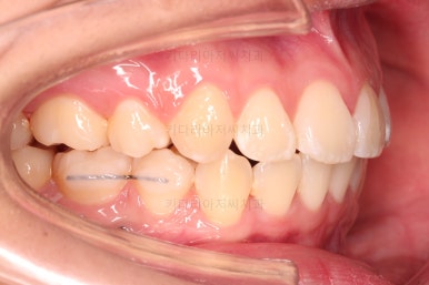
연산동치아교정치과 마무리를 했을 때의 치열의 모습입니다.
치열만 봐도 옥니나 꺼진 느낌 없이 적절한 교합을 맞추고 앞니 각도를 맞추고요.
치열이 다시 틀어지지 않도록 유지철사를 구성하고 종료합니다.
아무래도 어금니만 앞으로 당겨오는 치료가 오래걸리다 보니, 총 32개월이라는 비교적 긴 기간의 교정기간이 걸리긴 했지만 결과물은 매우 만족스럽게 나왔습니다.
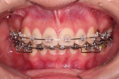
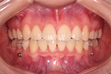
6. 전후 비교 사진
치열, 교합, 앞니각도 모두 좋아졌고요.
얼굴모습에서도 웃거나 말할 때 보이는 앞니의 위치 매우 좋네요.
입매도 적절하게 환자분이 원하시는만큼 잘 세팅이 되었고요.
자칫 주의를 기울이지 않았으면 옥니/합죽이 입매가 될법한 케이스를 매우 신중하게 잘 마무리하게 되었습니다.
이상 발치교정임에도 옥니가 합죽이가 되지 않도록 신중하게 치료를 마무리한 연산동치아교정치과 치료사례였습니다.
부산 연산동 교정치과 키다리아저씨치과에 오시는 길은 연제구 연산동 연산역 17번출구 바로 앞 건물 6층입니다.
치과교정과 전문의(부산대 외래교수)가 상주하며 교정치료 합니다.
<위 사진은 환자분의 동의를 구한 후 공개하는 사진자료입니다. 사진은 과장이나 조작이 없는 원본사진입니다. 교정치료로 인한 부작용으로는 치근흡수, 충치, 치아변색, 실활 등이 있을 수 있으며, 치료 전후 사진은 의료법 제 23조, 제 56조에 의거하여 게재합니다. 개인의 상태에 따라 치료결과는 달라질 수 있으므로, 교정전문의와 상의를 요합니다.>



























































































































































댓글