부산연산동교정치과 키다리아저씨치과의 재교정(역교정) 치료 사례
- 키다리아저씨치과

- 2025년 1월 22일
- 3분 분량
안녕하세요.
오늘 부산연산동교정치과에서 소개해 드릴 환자분은 타치과에서 교정 중 마무리를 제대로 하고 싶어 하셨던 분입니다. 재교정, 역교정이라고 불리는 사례입니다.
나이 : 26세
총 교정기간 : 1년 4개월(키다리아저씨치과 내원 이 후의 기간)
교정장치 : 자가결찰 세라믹(클리피씨) + 미니스크류
타치과에서 삐뚤한 치열과 돌출입을 개선하기 위해 발치교정을 했다고 하였습니다. 교정을 하던 도중에 기존에서 하던 치과에서 마무리를 하기에 힘든 상황이 되었고 제대로 치료를 마무리를 하고자 부산연산동교정치과 찾아주셨어요.
키다리아저씨치과에서의 초진 때 얼굴 모습은 위와 같아요. 치아가 얼핏 보면 가지런해 보이며 돌출입은 약간 남아있으며 앞, 옆모습도 나쁘진 않았습니다.
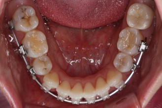
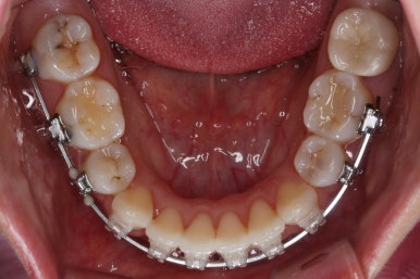
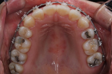
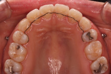
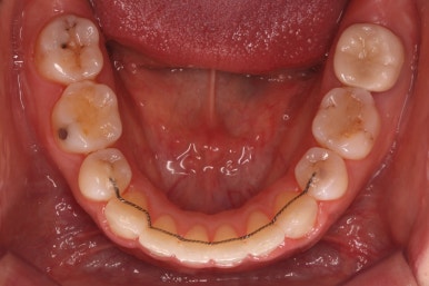
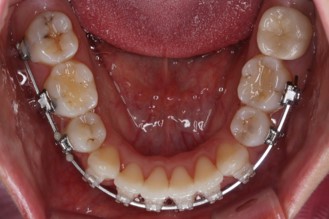
입안 모습입니다.
윗니와 아랫니 모두 각각 보면 가지런해 보이며 발치를 했던 자리도 거의 다 메워져서 양호해 보입니다. 훑어 보면 굳이 더 교정을 해야할 부분이 있을까? 싶겠지만 다음 사진을 보면 알 수 있습니다.
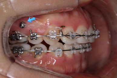
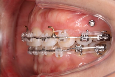
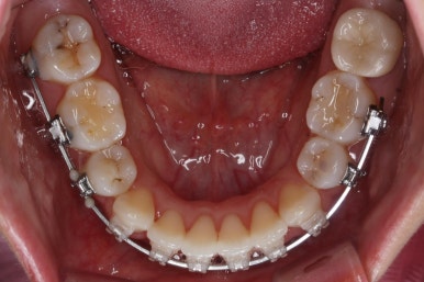
입 속 좌우 모습인데요. 문제점은 다음과 같이 있었어요.
윗니와 아랫니의 교합이 톱니바퀴처럼 맞물리지 않고 1대1 정면으로 맞닿고 있었습니다.
앞니쪽도 보면 윗니와 아랫니의 앞뒤 간격이 크게 차이나는 것을 볼 수 있습니다.
발치교정을 하였을 때, 흔히 나타나는 문제인데 앞니의 각도가 안으로 매우 굽어져 있습니다. 옥니라고 하며 발치를 한 공간을 너무 당겨 넣다보면 발생할 수 있습니다.
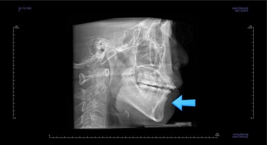
3번과 관련하여 더 큰 문제는 다음 사진에서 볼 수 있습니다.
X-ray상에서의 아래 앞니 부분 쪽을 보겠습니다.
발치교정을 한 후에 무리하게 앞니를 뒤로 당겨 넣게 되면서 사진처럼 입안의 각도가 안으로 굽는 옥니가 되기 쉬운데요.
더 큰 문제는 잇몸뼈에서 벗어난 위치에 치아가 있었습니다.
겉으로 보면 잇몸에 덮혀 있으나 내부를 보면 뼈가 덮지 못하고 있기 때문에 매우 불안정하죠.
이와 같은 분석을 통해 교정 계획을 세웠습니다.
아래 앞니는 약하기 땜누에 무리하게 움직이지 않도록 합니다. 단, 굽어있는 각도는 정상적으로 세워줍니다.
교합이 맞지 않아 위아래쪽 앞니가 떠있으므로 통째로 윗니를 뒤로 당겨옵니다.
돌출입 경향을 2번 방법을 통해 개선을 해봅니다.
이렇게 계획을 세웠고 이를 위해 미니스크류를 필요로 하였습니다.

부산연산동교정치과에서는 턱관절 부위쪽을 정밀하게 진단하고 치료를 시작하였는데요.
해당 환자분은 입을 크게 벌릴 때 통증, 걸림증상이 있었다고 하며 불편했다고 했습니다.
CT촬영으로 분석을 하니 턱관절의 방향이 다른 분들과는 구조적으로 달랐으며 운동범위가 제한이 될 수 밖에 없었어요. 이 부분을 충분히 설명 드린 후에 재교정을 시작했습니다.

윗니를 뒤로 더 당겨야 하는 상태였기 때문에 호흡기 분석도 매우 중요하죠.
부산연산동교정치과에서는 기도의 넓이, 부피, 코 안쪽 부분의 생김, 면적 등을 파악했습니다.
기다고 좁은 상태였다면 앞니를 뒤로 더 당겼을 때 기도가 좁아질 수 있기 때문에 교정 목표를 조절합니다.
다행히도 평균치를 보였기 때문에 안심하고 시작합니다.
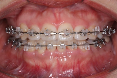
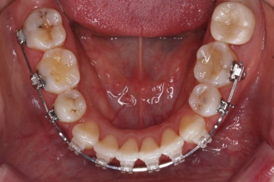
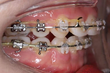
우선 재배열 부터 하였습니다.
브라켓의 위치가 교정을 하는데 있어서 매우 중요하기에 일부분은 먼저 재부착을 하였습니다.
이 후에는 미니스크류를 심어주었어요.
해당 장치를 활용해 윗니를 뒤로 당겨왔습니다.
점점 개선이 되고 있는 모습이 보입니다.
정면으로 맞물렸던 교합도 좋아지고 있으며 이로 인해 자연스레 위아래의 앞뒤 간격도 맞닿게 되고 좁아지고 있습니다.
좌측에서 본 모습도 마찬가지입니다.
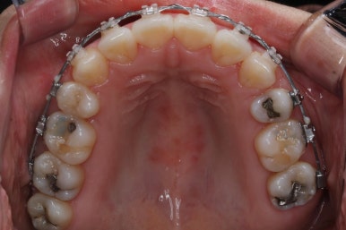
발치 후에 남아있던 미세한 공간도 없어졌고 윗니도 후방 이동 되면서 교합이 좋아지고 있습니다.
윗니를 봐도 미세하게 남았던 발치를 했던 공간이 없어졌습니다.
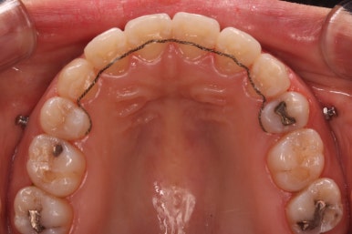
마무리 후에 다시 벌어질 수 있는 틈을 유지장치를 붙여 놓았습니다.
아랫니 모습입니다.
남아있는 발치의 공간이 없어졌으며 큰 이동이 없이 마무리가 되었습니다. 안쪽에는 발치공간이 다시 벌어지지 않도록 유지철사를 길게 연장해서 붙였습니다.
아래쪽의 앞니에는 잇몸뼈가 없기에 자칫 뿌리가 다 드러날 수 있는 위험한 상태였습니다.
다행히도 잇몸이 덮고 있었고 조심스레 마무리를 했기 때문에 추가적인 악화는 없었습니다. 그래도 아래앞니 쪽은 잇몸뼈가 약하기 때문에 평생 조심을 해야 한다며 거듭 말씀드리고 당부 드렸습니다.
앞니, 어금니 맞물림이 좋아진 것을 볼 수 있습니다.
안으로 굽었던 옥니의 각도가 역교정으로 다시 회복이 되었습니다.
가장 눈에 띄는 점은 윗니를 후방이동 시켰기 때문에 돌출감이 있었던 부분이 개선이 되었다는 점입니다.
앞니의 간격이 있으면 위쪽 입술은 나와보이고 아래쪽 입술은 말려 들어가는 등으로 입술선이 부자연스럽다거나 심미적으로 좋지 못하는데 이 부분이 좋아졌죠.
특히 옆모습에서 부터 턱끝까지 이르는 S라인이 살아나게 되면서 입술선이 훨씬 예뻐졌습니다.
아랫니의 위치를 크게 변화시키지 않고 거의 윗니만 조절했음에도 불구하고 전체적으로 좋아졌죠.
이상 부산연산동교정치과 사례였습니다.
부산연산동교정치과 키다리아저씨치과에 오시는 길은 연산역 17번출구 바로 앞 건물 5, 6층입니다.
치과교정과 전문의(부산대 외래교수)와 치과보철과/통합치의학과 전문의(부산대 외래교수) 2명이 상주하며 교정치료와 일반치과치료를 협진하여 진료합니다.
<위 사진은 환자분의 동의를 구한 후 공개하는 사진자료입니다. 사진은 과장이나 조작이 없는 원본사진입니다. 교정치료로 인한 부작용으로는 치근흡수, 충치, 치아변색, 실활 등이 있을 수 있으며, 치료 전후 사진은 의료법 제 23조, 제 56조에 의거하여 게재합니다. 개인의 상태에 따라 치료결과는 달라질 수 있으므로, 교정전문의와 상의를 요합니다.>












































































































댓글