연산동치아교정 2급 부정교합 및 과개교합 사례
- 키다리아저씨치과

- 2025년 1월 17일
- 3분 분량
안녕하세요.
오늘 연산동치아교정 소개해 드릴 환자분은 2급 부정교합 및 과개교합으로 개선을 하고자 한 여중학생입니다.
나이 : 13세
총 교정기간 : 1년 4개월(총 16개월)
교정장치 : 데이몬클리어 + 미니스크류
초진 때의 얼굴 모습인데요.
웃거나 말할 때 보여지는 앞니가 삐뚤해서 배열을 가지런하게 하고자 했습니다. 특히 우측 대문니가 많이 삐뚤어지고 툭 튀어나오며 돌아가 있기 때문에 자신감 있게 말하거나 웃지 못하고 입모양이 어색했습니다.
입을 다문 상태를 봐도 옆모습은 돌출도 아닌 굉장히 옆라인이 예쁘게 보이고 있었지만 툭 나온 대문니로 정면은 입이 잘 다물어지지 않아 뭔가 볼록하고 어색한 느낌이 듭니다.
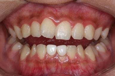
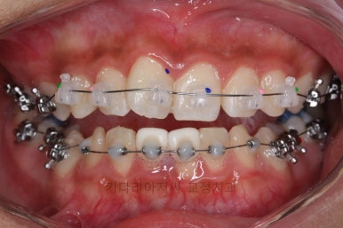
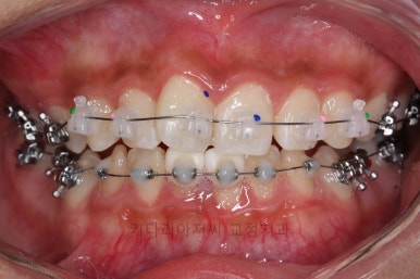
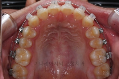
입 속의 모습입니다.
우측 대문니 외에는 크게 문제가 없다고 볼 수 있지만 과개교합이라는 문제가 있었습니다.
과개교합은 윗니가 아랫니를 과도하게 덮어 아랫니를 많이 가려지게 하는 상태입니다. 다양한 요인이 있지만 아래 앞니가 위로 솟구쳐 올라가 있다거나 위쪽 앞니가 밑으로 처진 경우로 보이게 됩니다.
또한 앞니가 솟구쳐 올랐다거나 쳐져있는 더욱 근본적인 2급 부정교합 이라던가 저작하는 힘이 강한 유형으로 얼굴뼈의 특징적인 패턴에서 나타나는 경우가 많습니다.
입을 살짝 벌리면 그 때서야 아래 앞니가 잘 보이네요.
아래 앞니 2개는 더 어릴 때 크라운으로 치료를 한 적이 있고 성장을 하면서 경계선의 형태가 예쁘게 되어 있지 않았어요. 이와 같은 경우는 연산동치아교정 하고 성장 완료 후에 하는 것이 더욱 예쁜 치아를 만들 수가 있습니다.
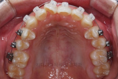
측면에서 바라본 모습입니다.
역시 과개교합의 양상이 보입니다. 위아랫니의 맞물림을 보면 뭔가 엉성한 것을 볼 수가 있는데요.
톱니바퀴처럼 교차해서 맞물리는 것이 아니라 1대1 정면으로 물리고 있습니다.
2급 부정교합의 양상을 보이는 교합으로 앞니가 삐뚤거나 과개교합이 나타나는 이유도 2급부정교합 때문으로 생각됩니다.
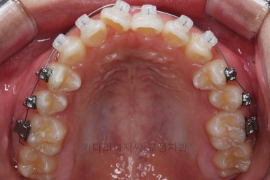
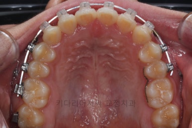
만 13세의 여학생이였기 때문에 영구치는 모두 맹출이 되어 있었습니다.
역시 우측 위 대문니가 삐뚠 것을 볼 수 있습니다.
키다리아저씨치과에서 세운 교정계획은 비발치를 통해 배열을 맞추면서 솟구쳐 올라온 아래쪽 앞니는 아래로 다시 밀어넣기로 했습니다. 2급 부정교합이기 때문에 상대적으로 앞에 나와있는 윗니들을 뒤로 밀어넣고자 미니스크류를 사용하기로 했습니다.
장치 부착한 모습입니다.
데이먼 클리어라는 자가결찰 세라믹 장치로써 스스로 철사를 붙잡을 수 있또록 클립이 달려 있습니다. 색이 자연치와 유사하여 티가 별로 나지 않습니ㅏㄷ.
대게 자가결찰 세라믹하면 클리피씨를 먼저 떠올리시는데 외적으로의 큰 차이는 클립까지 세라믹이냐 또는 금속이냐 입니다. 클리피씨는 클립이 금속으로 되어있으나 데이먼 클리어는 전부 세라믹으로 되어있어 훨씬 티가 덜 나는 점이 있습니다.
아래 사진으로 참고해 보시면 될 것 같습니다.
데이먼 클리어는 브라켓 부피가 큰 편에 속하기 때문에 부착 후에 입이 나와보이지 않을까 하는 걱정을 할 수 있는데요. 사람마다 차이는 나지만 이번 환자분은 크게 나오지 않는 상태였습니다.
장치 부착을 하기 전과 후의 측면 모습인데요.
약간 입술이 튀어나오는건 당연하지만 크게 표시가 날 정도가 아닙니다.
엠파워클리어 좌측과 데이먼 클리어 우측의 모습인데요.
둘 다 공통점은 세라믹으로 되어있지만 전체냐 아니냐의 차이가 있습니다. 보다 심미적인 장치는 데이먼 클리어쪽이 확실히 더 낫습니다.

아직 중학생이라 구강의 위생이나 청결관리에 대한 필요성을 크게 느끼지 못하고 있었습니다.
연산동치아교정 하게 되면 장치 때문에 양치가 더욱 힘들어지게 되면서 충치가 생길 가능성이 높아집니다.
양치질이 잘 되지 않는 것으로 보여 키다리아저씨치과에서 세균을 직접 확인할 수 있는 약품을 발라 시각적으로 상기 시켜줬습니다. 양치질을 나름 꼼꼼하게 했음에도 부족한 부분이 많이 보였어요.
색이 보이는 부분이 세균덩어리가 있는 부분입니다. 브라켓 주위가 양치질이 잘 되지 않는 것을 볼 수 있습니다.
다각도로 살펴 보겠습니다.
세라믹 장치이지만 씹는 부위는 힘이 많이 들어가기 때문에 메탈로 되어 있습니다. 어금니쪽에 메탈장치를 붙인다고 하더라도 심미적으로는 전혀 문제될 것이 없습니다.
아래쪽 앞니는 과개교합으로 데이먼 클리어 장치를 초기 부터 붙이지는 못했는데 부피가 좀 크다는 점 때문이였습니다.
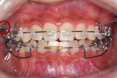
과개교합의 원인으로 봤던 솟구친 아래쪽 앞니는 다시 원래의 위치로 밀어 넣기 위해 입안에 철사를 넣었습니다. 철사가 이중으로 들어가 있는 것을 볼 수 있는데요. 원래 아래앞니에도 미니스크류를 식립할 계획이였으나 환자분이 너무나 이를 무서워하여 아쉽지만 차선책으로 철사를 사용하였습니다.
치열이 고르게 될 수록 2급 부정교합 양상이 드러나기 시작을 하고 교합양상 등등이 눈에 보이기 시작합니다. 2급 부정교합을 개선하기 위함으로는 미니스크류가 거의 필요한데 무서워서 안하고자 할까봐 걱정이 많았습니다.
위쪽에는 미니스크류를 성공했습니다. 두렵고 무서움을 잘 참고 이겨내줬는데요.
실제로 크게 아프다거나 힘들지는 않은데 잇몸에 나사를 식립해야 한다고 생각을 하면 무서울 수 있습니다. 그러나 막상 하면 힘들어하지 않는 경우가 많습니다.
이렇게 될 줄 알았다면 아래쪽 앞니에도 할 걸 그랬습니다. 좌측 사진을 보면 빨간 동그라미가 미니스크류입니다.
우측 사진을 보면 아직 교합이 엉성한데요. 위아래 송곳니가 아직 맞부딪히는 양상입니다.
아래 앞니도 많이 보이기 시작했습니다.
진행과정을 정면에서 본 모습입니다.
치열이 가지런해지고 정중선도 맞아지고 아래쪽 앞니도 많이 보이게 되었습니다.
측면 모습입니다.
윗니를 뒤로 당겨 넣어 교합이 많이 좋아졌고 깍지를 꼈던 교합 관계도 많이 좋아졌습니다.
윗니 치열도 가지런하게 되엇습니다.
총 치료기간 중 초기 3~4개월 만에 가지런하게 되었으나 윗니를 전체 뒤로 후방이동 해야 했기 때문에 대부분 시간이 소요되었습니다.
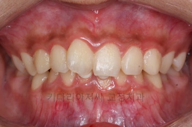
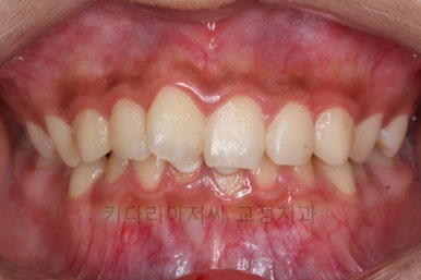
연산동치아교정 통해 2급 부정교합과 과개교합을 개선한 모습입니다.
당연히 치열은 가지런해졌고, 애매한 교합관계도 좋아졌습니다.
입매는 어떤게 전후일지 모를 정도로 큰 변화가 없었습니다.비발치교정의 장점이죠. 애초에 입이 나오지 않았기 때문에 최대한 옆라인을 유지하는 것이 중요했습니다.
어떤 분들은 애초에 입매가 괜찮으면 윗니를 뒤로 넣을 때 입이 꺼져보이지 않을지 걱정을 합니다. 그러나 2급부정교합, 과개교합 등이 미치는 악영향이 개선되는 것이 더해져 미적으로 전혀 나빠지지 않고 오히려 좋아질 수 있으니 걱정 하실 필요가 없습니다.
연산동치아교정 키다리아저씨치과에 오시는 길은 연산역 17번출구 바로 앞 건물 5, 6층입니다.
치과교정과 전문의(부산대 외래교수)와 치과보철과/통합치의학과 전문의(부산대 외래교수) 2명이 상주하며 교정치료와 일반치과치료를 협진하여 진료합니다.
<위 사진은 환자분의 동의를 구한 후 공개하는 사진자료입니다. 사진은 과장이나 조작이 없는 원본사진입니다. 교정치료로 인한 부작용으로는 치근흡수, 충치, 치아변색, 실활 등이 있을 수 있으며, 치료 전후 사진은 의료법 제 23조, 제 56조에 의거하여 게재합니다. 개인의 상태에 따라 치료결과는 달라질 수 있으므로, 교정전문의와 상의를 요합니다.>























































































































댓글