부산교정병원 키다리아저씨치과에서 시행한 옥니, 과개교합, 앵글씨 2급 부정교합 치료사례
- 키다리아저씨치과

- 2025년 8월 11일
- 2분 분량
안녕하세요.
오늘 부산교정병원 키다리아저씨치과에서 소개해 드릴 환자분은 옥니 + 과개교합 + 앵글씨 2급 부정교합이였던 환자분입니다.
나이 : 10세
총 치료기간 : 2년 1개월(총 25개월)
사용한 장치 : 자가결찰 메탈(엠파워 메탈, Empower metal) + 성장교정장치(트윈블락, twinblock)
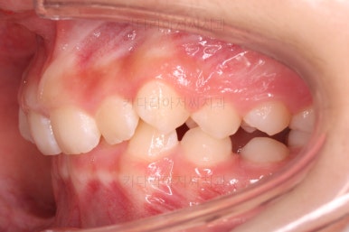
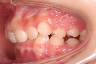
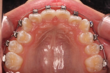
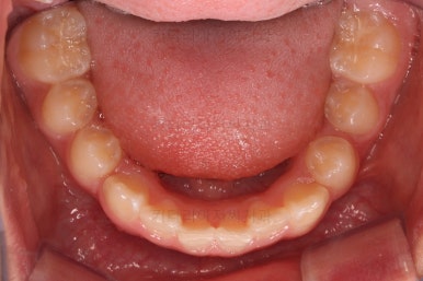
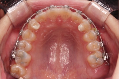
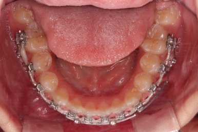
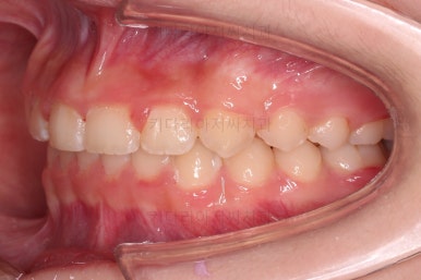
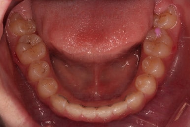
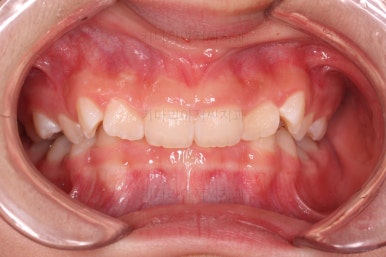
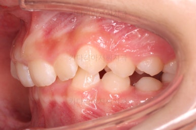
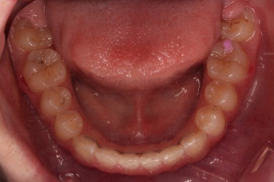
초진 시 입안의 모습입니다.
앞니가 안으로 굽어 들어간 양상인데요. 흔히 "옥니"라고 표현합니다.(뻐드렁니의 반대개념)
전반적으로 치열이 삐뚤삐뚤하고요.
오른쪽 상단 사진을 보시면 어금니의 높이와 앞니의 높이가 차이가 많이 납니다.
앞니가 솟구쳐 있는 양상인데요.
그 이유 때문에 어금니로 다물었을 때의 위아래 앞니가 많이 겹쳐서 아래 앞니가 아예 보이지 않는 상황이었어요.
이를 "과개교합"이라고 표현합니다.
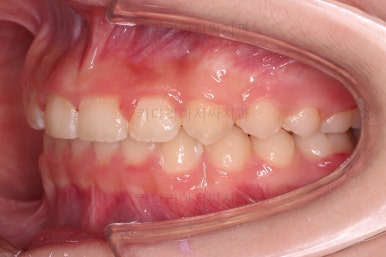
그리고 전반적으로 아래 치열이 윗니에 비해 뒤로 밀려 있어서, 어금니의 맞물림이 좋지 못하고 듬성듬성해 보이는 상황이었어요.
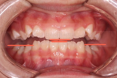
마찬가지로 초진 시 얼굴모습인데요.
아래턱이 굉장히 작아요. 그래서 윗입술 때문에 아랫입술이 많이 뒤로 들어간 양상이에요.
이를 "앵글씨 2급" 부정교합이라고 합니다.
턱끝은 윤곽이 잡혀 있어서 아래턱이 작다라고 못느끼시는 분들도 있지만 입술과 입술 주위를 보면 윗입술에 비해 아랫입술이 위치 차이가 많이 나죠.
그리고 코아래 ~ 턱끝까지 수직 길이가 굉장히 짧은 타입의 얼굴이었어요.

성장판 검사
만약 이 환자분이 성장이 완료된 뒤에 왔다면 치료방법은 단 하나 "발치교정" 이었을거에요.
그러나 아직 만으로 10세, 학년으로는 5학년인 여학생이어서 과연 성장교정이 가능할까 의문이 되는 상황이긴 하였으나 가능하면 조금이라도 턱뼈 성장을 도와줄 수 있다면 그렇게 해 보는게 좋겠다고 생각했습니다.
손-손목 X-ray 사진을 찍어서(수완부 X-ray) 골연령을 평가해 봅니다.
부산교정병원 저희 키다리아저씨치과에서는 Greulich-Pyle법을 이용해서 성장판 검사를 하고 있으며(아마 이 방법으로 분석하는 치과는 저희치과가 유일할 겁니다😄)
이번 환자분의 경우, 성장조절을 통해 앵글씨 2급 부정교합을 조금이라도 개선해보고자 했어요.
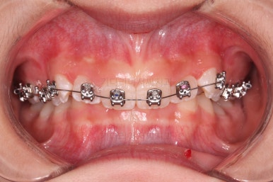
우선 윗니에만 교정장치를 부착했습니다.
성장치료라더니 교정치료? 하실 수 있지만 윗니를 가지런하게 해준 이유는 아래턱을 앞으로 성장시켜줄려니 윗니 앞니가 옥니처럼 가로막고 있어서 아래턱이 앞으로 나올래야 나올 수 없는 상황이었어요.
그래서 앞니의 각도를 먼저 개선해주기로 했죠.
일반적인 교정장치이긴 하지만 그 목적이 달랐던 거에요.
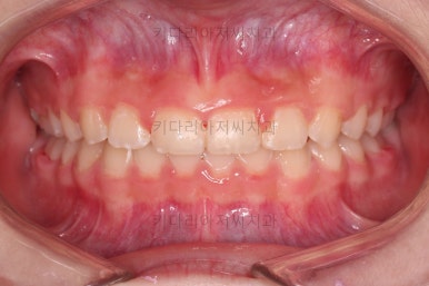
앞니의 각도가 앞으로 살아난 것이 보이실 거에요.
자연스럽게 과개교합 경향도 개선되어 어금니로 물었을 때 아래 앞니가 점점 보이기 시작하네요.
지금부터 트윈블록(twin block)이라는 장치를 이용해 아래턱을 성장시키기로 했어요.
협조도 부족
뺐다가 꼈다가 하는 마우스피스와 같은 장치인데 안끼게 되면 효과가 없겠죠.
가뜩이나 성장교정을 할 수 있는 나이도 거의 끝나가는데, 잘 끼지도 않았어요.
저만 속이 타 들어가는 상황이었죠.
교정치료에서 가장 중요한 요소는 동기부여와 협조도가 아닌가 싶어요.
어쨋든, 협조도에만 기대하기 힘든 상황이어서 다음 단계로 재빠르게 넘어갔어요.
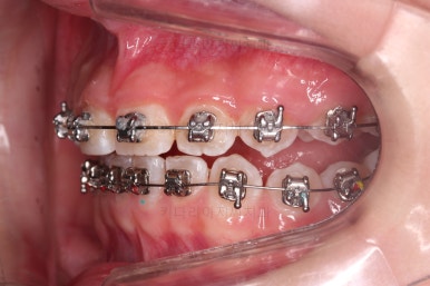
아랫니도 바로 교정장치를 부착하고, 교정장치를 통해 윗니와 아랫니를 끌어주고 철사를 이리저리 디자인해서 힘을 주고, 다양한 부가적인 부착물들을 활용하기로 했어요.
이렇게 협조도가 안좋을 경우에는 제 머리가 많이 복잡해 진답니다.
어떤 장치가 중간중간 활용되고 있는지는 틀린그림찾기처럼 찾아보시길 바랍니다😄
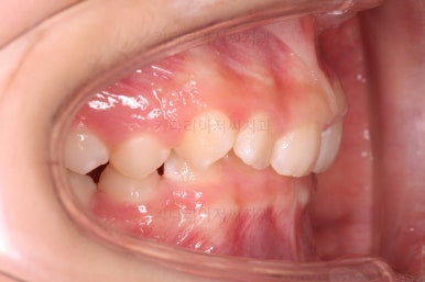
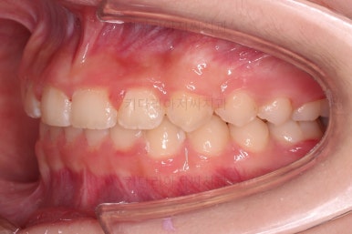
과개교합, 옥니, 앵글씨 2급 부정교합 모두 좋아지고 있어요.
얼굴모습도 중간중간 확인해 주고요.
아래턱이 처음보다는 조금씩 살아나는 느낌이 들지 않으신가요?ㅎㅎ
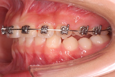
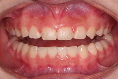
마무리를 해줍니다.
앞니 각도가 매우 좋아졌고요.(옥니 개선) 위아래 앞니가 덮는 정도도 개선이 되었어요.(과개교합, 딥바이트)
엉성했던 어금니 맞물림도 매우 좋아졌어요.(앵글씨 2급 부정교합 개선)
특히 옆라인에서 아래턱이 살아나면서 입매가 매우 예뻐졌어요.
전후사진을 비교해 볼게요.
협조도가 요구되는 장치를 잘 못끼는 바람에 중간에 우여곡절이 있었고, 힘든 과정이 있었지만 비교적 부산교정병원 만족스러운 치료를 할 수 있었어요.
충치치료를 해야 하는데, 잘 오려나 모르겠네요 ㅎㅎ
이상 일정부분만 성장교정과 치아교정을 통해 옥니, 과개교합, 앵글씨 2급 부정교합을 치료한 부산교정병원 치료사례였습니다.
키다리아저씨치과에 오시는 길은 연제구 연산동 연산역 17번출구 바로 앞 건물 5, 6층입니다.
치과교정과 전문의(부산대 외래교수)와 통합치의학과 전문의(서울대학교 졸업) 2명이 상주하며 교정치료와 일반치과치료를 협진하여 진료합니다.
<위 사진은 환자분의 동의를 구한 후 공개하는 사진자료입니다. 사진은 과장이나 조작이 없는 원본사진입니다. 교정치료로 인한 부작용으로는 치근흡수, 충치, 치아변색, 실활 등이 있을 수 있으며, 치료 전후 사진은 의료법 제 23조, 제 56조에 의거하여 게재합니다. 개인의 상태에 따라 치료결과는 달라질 수 있으므로, 교정전문의와 상의를 요합니다.>































































































































댓글