부산어린이치아교정 키다리아저씨치과 어금니가 나오지 못할 경우(맹출장애)의 교정 치료사례(Halterman 할터만 장치)
- 키다리아저씨치과

- 2025년 4월 2일
- 2분 분량
안녕하세요.
오늘 부산어린이치아교정 키다리아저씨치과에서 소개해 드릴 분은 한 쪽 어금니가 나오지 않고 있어 교정치료를 원하셨던 분입니다.
나이 : 7세 11ㅐㄱ월
총 치료기간 : 3개월
사용한 장치 : 할터만 장치(Halterman)

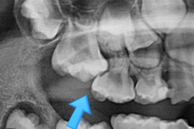
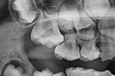
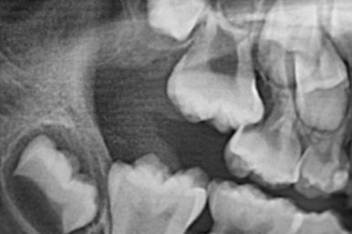
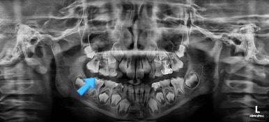
부산어린이치아교정 키다리아저씨치과에 처음 내원하셨을 당시의 X-ray 사진입니다.
이 때는 7세 3개월 때였습니다.
보통 만 6세 부터 아래 앞니 부터 영구치가 나기 시작하며, 비슷한 시기에 유치보다 더 뒤에 영구치 어금니가 나오게 됩니다.
이번 환자분은 제 나이보다는 치아나이가 어린편이어서 다른 부위의 어금니도 나오지 않았긴 하지만 치과 검진에서 우연히 해당부위(화살표)의 치아가 문제가 있음을 발견하셨던 경우입니다.
만 6세 이후 반드시 X-ray 찍어보시기를 추천드립니다.
여러 가지 치아 문제를 조기 발견하고 혹은 골격의 문제를 개선하기 위해서는 이 시기에 검진을 받아보는 것은 매우 중요합니다.
만약 저 상태로 방치한다면 어금니에 걸려있는 유치가 조기에 발치되어 더 큰 문제가 생깁니다.

이 X-ray는 다른 어린이의 사진인데, 위와 같은 경우를 방치했을 때 유치가 제 시기보다 조기에 빠지게 되고 그러면 어금니가 앞쪽으로 쏠려서 나고, 해당 부위의 영구치가 나올 자리를 아예 없애버립니다. 문제가 복잡해 지지요.
다시, 원래 환자분으로 돌와와서..
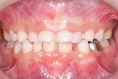
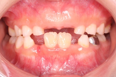
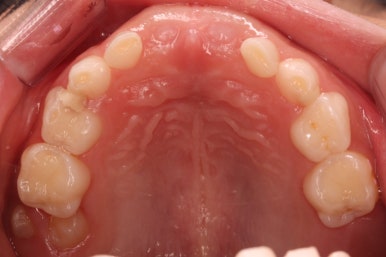
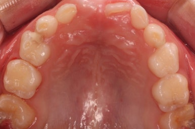
부산어린이치아교정 키다리아저씨치과에 처음 내원하셨을 당시의 입안의 모습입니다. 네 군데 모두 어금니는 보이지 않습니다.
입 안에서 문제점이 발견되지 않는 경우 일이 커지는 경우가 많은데 이번 환자분은 X-ray를 찍어봄으로써 문제를 조기에 발견하고 치료를 할 수 있었습니다.
X-ray 촬영이 신의 한수 였던 것이지요.
얼굴 모습입니다.
아래턱이 크다거나 하는 턱뼈의 문제점은 보이지 않았습니다.
만 6세 이후 검진이 중요한 또다른 이유는 이 시기에 골격의 문제가 발견된다면 "성장교정", 즉 턱뼈가 자라는 것을 양호하게 조절해 줄 수 있습니다.
만 6세 이후 검진 및 X-ray!! 다시 한 번 말씀드리지만, 반드시 필요합니다.
어금니를 개선해 주는 치료만 해주면 되는 경우였고, 현재 입 안에서 해당 어금니가 일부라도 보이지 않기 때문에 여러 가지 치료옵션을 염두에 두고 몇 달 간격으로 체크해 보기로 하였습니다.
몇 달 후에,
치아가 일부라도 보인다면? -> 장치를 부착하여 개선해준다.
치아가 전혀 보이지 않는다면? -> 잇몸을 절개하여 장치를 부착하거나
-> 유치를 뽑고 치아가 쏠려 나오더라도 일단 자연스럽게 나오도록 한다 -> 이 후에 바로 세워준다.
등으로 대략의 치료계획을 잡았습니다.
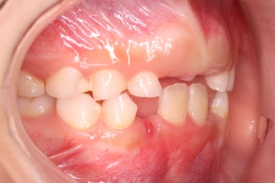
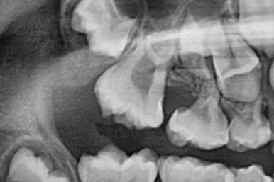
7개월 뒤 사진입니다.
해당 부위 어금니가 약간 나왔씁니다. 가장 간단하게 치료를 할 수 있는 상황이 되었네요.
매우 운이 좋았던 경우입니다.

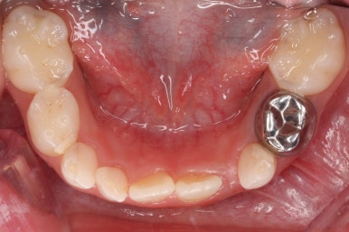
장치를 부착했습니다.
할터만 장치(Halterman)는 굉장히 간단한 컨셉의 장치인데 매우 효율적입니다.
앞쪽 치아에서 반지처럼 둘러싸고 이를 이용해 어금니를 뒤로 쭈욱 당겨주면 끝.
어금니 방향이 서서히 변해가는 것을 보실 수 있을 것입니다.
단 3개월만에 제대로 못나오던 어금니 위치가 바로 잡혔습니다.
왼쪽이 부산어린이치아교정 키다리아저씨치과에서 치료하기 전 사진, 오른쪽이 후 사진입니다.
어금니가 잘 나온것을 확인할 수 있습니다.
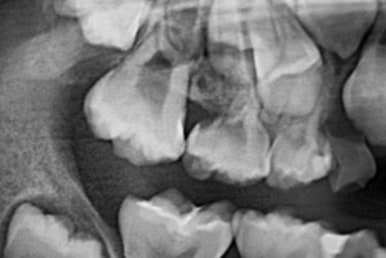
왼쪽이 부산어린이치아교정 시행 전 X-ray, 오른쪽이 시행 후 X-ray 입니다.
3개월만에 많이 좋아졌습니다.

치료를 무난히 종료했지만 주의점은 있습니다.
이미 앞쪽 유치의 뿌리 일부가 어금니 때문에 녹은 상태이기 때문에 수명이 짧아질 수 있다는 점. 만약에 제 시기보다 조기에 뽑힌다면 공간유지장치 등으로 뒤쪽 어금니가 다시 앞으로 쏠리지 않도록 막아줘야 된다는 점 등이 주의점이 되겠습니다.
이상 어금니가 유치에 막혀서 나오지 못하는 어린이에게 Halterman 할터만 장치를 이용해서 간단하게 부산어린이치아교정 해주었던 치료사례였습니다.
키다리아저씨치과에 오시는 길은 연산역 17번출구 바로 앞 건물 5, 6층입니다.
치과교정과 전문의(부산대 외래교수)와 치과보철과/통합치의학과 전문의(부산대 외래교수) 2명이 상주하며 교정치료와 일반치과치료를 협진하여 진료합니다.
<위 사진은 환자분의 동의를 구한 후 공개하는 사진자료입니다. 사진은 과장이나 조작이 없는 원본사진입니다. 교정치료로 인한 부작용으로는 치근흡수, 충치, 치아변색, 실활 등이 있을 수 있으며, 치료 전후 사진은 의료법 제 23조, 제 56조에 의거하여 게재합니다. 개인의 상태에 따라 치료결과는 달라질 수 있으므로, 교정전문의와 상의를 요합니다.>








































댓글