연산동주걱턱교정 앞니가 거꾸로 물린다면
- 키다리아저씨치과

- 2024년 12월 20일
- 2분 분량
최종 수정일: 2025년 1월 16일
오늘은 어린이 주걱턱을 치료한 케이스입니다.
위턱이 작은 경우라거나 혹은 아래턱이 큰 경우, 두 가지를 합친 복합적인 경우라면 다음과 같습니다.
입 속(교합)
앞니가 거꾸로 물리게 됩니다.
얼굴 모습
입술꼬리가 아래로 쳐져 보인다거나 뚱해 보일 수 있습니다.
아래턱이 앞으로 나와 보이게 됩니다.
코 주위와 위턱이 꺼져보이게 됩니다.
위와 같이 여러 문제가 발생할 수 있습니다.
나이 : 7세 6개월
총 치료기간 : 5개월
장치 : 페이스마스크 + 프랑켈
앞니가 반대로 물리고 있는 상태입니다. 거꾸로 물리게 되면 치아의 맞물림이 문제일 수 있거나 아니면 골격의 문제로 이와 같은 증상이 나타날 수 있습니다.
원인이 무엇인지를 구별하는 것이 매우 중요하며 핵심이라고 볼 수 있습니다.
치료 방법이나 유지, 장치의 사용도 달라지기 때문입니다.
해당 환자분은 뼈의 크기가 좋지 못한 상태였습니다. 위턱은 약간 작고 아래턱은 반대로 약간 큰데요.
즉 뼈에 대한 성장치료가 들어가는 연산동주걱턱교정 치료가 적합한 경우입니다.
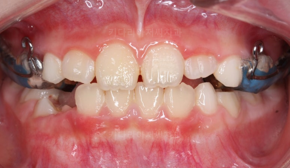
입 속에서 보면 아래 앞니가 위쪽 앞니 보다 나와있는 반대교합의 상태입니다.
아태럭이 크다고 하더라도 턱의 크기를 작게 만들 수 없기 때문에 위턱을 크게 만들어 주는게 필요합니다. 이 때 가장 많이 사용 되는 장치가 페이스마스크입니다.
위 사진에 나와있는 장치가 페이스마스크 입니다.
얼굴에 쓰는 마스크로써 입속에 장치를 부착하고 앞으로 당겨줄 수 있도록 고리가 달려있습니다.
턱과 이마에서 지지 받는 마스크를 쓰고 입속의 장치와 고무줄로 연결함녀 당기는 힘에 의해 위턱이 앞으로 나오게 되는 원리입니다.
고무줄로 힘을 주는 방식이 중요한데요.
스스로 꼈다가 뺐다가 할 수 있으며 장치를 잘 껴줘야 합니다. 시간도 잘 지켜야 하죠. 연산동주걱턱교정 개선을 위해 하루 12~14시간 착용을 권장하고 있습니다.
시간을 준수하지 않을 시, 개선이 잘 되지 않으며 부작용이 나타날 수 있습니다.
사진을 살펴 보시면 어느순간 부터 윗니가 아랫니 보다 나와있는 것을 볼 수 있습니다.
협조만 잘 된다면 연산동주걱턱교정 을 통해 좋은 결과를 얻을 수가 있죠.
환자분과 보호자분 모두 만족을 하였지만 앞으로의 유지가 더 중요합니다.
어린이 주걱턱은 재발이 될 가능성이 높기 때문이죠.
원래대로 돌아가려는 성향, 성장에 따라 아래턱이 더 자라 주걱턱이 될 수 있는 등의 경우 때문입니다.
유지를 하고자 프랑켈이라는 장치를 사용했습니다.
커다란 마우스피스 같은 장치입니다. 입 안에 끼게 되며 유지장치 역할 외에도 연산동주걱턱교정 반대교합 직접 하는데도 사용하기도 합니다.
경우에 따라 페이스마스크가 좋을 때도 있고 프랑켈이 좋을 때가 있습니다.
현재 1년 째 착용 중이고 상황에 따라 종료를 할 계획입니다.
코 주위의 위턱 부분이 볼륨감이 있게 살아났고, 입술꼬리의 방향도 개선이 되었습니다.
환자분 사진 공개에 동의하에 사용하였습니다.
연산동주걱턱교정 키다리아저씨치과는 연산역 17번 출구 바로 앞 5, 6층입니다.
치과교정과 전문의(부산대 외래교수)와 치과보철과/통합치의학과 전문의(부산대 외래교수) 2명이 상주하며 교정치료와 일반치과치료를 협진하여 진료합니다.
<위 사진은 환자분의 동의를 구한 후 공개하는 사진 자료입니다. 사진은 과장이나 조작이 없는 원본사진입니다. 교정치료로 인한 부작용으로는 치근흡수, 충치, 치아변색, 실활 등이 있을 수 있으며, 치료 전후 사진은 의료법 제 23조, 제 56조에 의거하여 게재합니다. 개인의 상태에 따라 치료결과는 달라질 수 있으므로, 교정전문의와 상의를 요합니다.>













































댓글