부산어린이돌출입교정 키다리아저씨치과에서 시행한 어린이돌출, 무턱, 앵글씨 2급 부정교합 치료사례
- 키다리아저씨치과

- 2025년 8월 13일
- 3분 분량
안녕하세요.
오늘 소개해 드릴 환자분은 11세 남학생이었고 입이 튀어나와 보여 치료를 받고 싶어하셨던 분입니다.
나이 : 11세
총 치료기간 : 1년 9개월(총 21개월, 치아배열 5개월 + 성장교정 16개월)
사용한 장치 : 헤드기어 + 액티베이터
부산어린이돌출입교정 키다리아저씨치과에 처음 내원하셨을 당시의 얼굴 모습입니다.
보통 보호자분은
"우리 아이 입이(앞니가) 튀어나왔어요."
라고 생각하시면 내원하세요.
과연 윗니가 튀어나와서 이런 얼굴 모습이 된 것이 맞을까요?
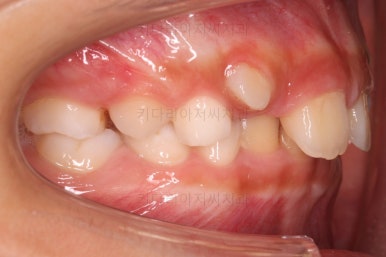
마찬가지로 초진시의 입안 모습입니다.
보호자분 말씀처럼 윗니가 아랫니에 비해서 나와보이는게 사실이네요.
그럼 정말 윗니가 튀어나온게 맞을까요?

우선 저희 키다리아저씨치과에서는 다양한 분석법으로 윗니가 튀어나온건지 다른 원인으로 "윗니가 튀어나와 보이는건지"를 파악하게 됩니다.
이번 환자분의 경우 골격 자체가 위턱(코주위~윗니부분을 아우르는 골격)이 약간 앞으로 발달하고 아래턱이 성장이 모자라 뒤로 들어간 상태였어요.
따라서 상대적으로 위턱이 크고 상대적으로 아래턱이 작았던거죠.
이런 부조화된 모습때문에 입을 어색하게 다물게 하고 입을 튀어나와 보이게 만드는거였어요.
언제 치료해야 하나요?
만약 이런 모습으로 성인이 되어서 내원을 했다면 매우 높은 확률로 발치교정을 해야 합니다.
하지만 환자분의 나이는 11세였고 지금은 치열은 모두 완성되지 않았지만 턱뼈의 성장을 적절히 활용해서 정상범주로 만들어줄 수 있는 찬스가 있는거죠.

성장판 검사
11살이라고 모두 11살이 아니에요. 응??
나이는 11살이지만 뼈의 성숙도, 정말로 신체의 나이는 개인별로 모두 차이가 나기 때문에(늦게 크는 아이가 있고 조기에 크는 아이가 있듯이 같은 나이라도 신체나이는 제각각입니다.) 성장치료하기에 적절한 나이를 찾아야 해요.
위턱이 크고 아래턱이 작아서 앞뒤로 차이가 많이 나는(돌출입 + 무턱) 경우 앵글씨 2급 부정교합이라고 하며 이러한 부정교합 치료의 최대 성장기(키가 한창 크기 시작하는 2차성징의 시기)보다 조금 일찍 시작해 주는 것이 좋답니다.

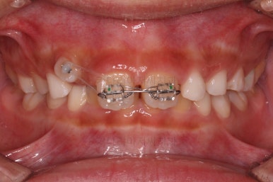
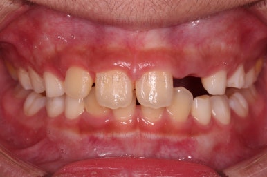
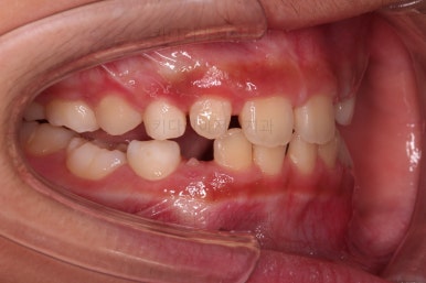
이번 환자분은 무턱 + 돌출입 성장교정이 목표였지만 그전에 치아의 맹출경로가 엉켜서(화살표) 치아의 손상 혹은 매복치아의 우려가 있는 부분을 먼저 개선하기로 했습니다.
간단하게 장치를 부착하고 경로가 심하게 벗어나 있는 치아를 원위치로 당겨줍니다.
성장교정에 앞서 이러한 치아배열 작업을 약 5개월 정도 해주었어요.
문제가 되었던 치아를 제위치 시켜준 뒤에 본격적인 성장교정을 시작했어요.
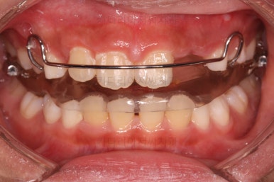
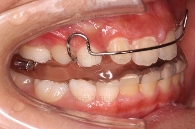
입안에 착용한 장치는 식사시간 제외 20시간 이상 사용이 추천되는 액티베이터라는 장치입니다.
앵글시 2급 부정교합에 사용하는 장치는 매우 다양해요.
프리올소, 트윈블락, 프랑켈, 액티베이터 등 각각의 특징이 조금씩 다른 여러 종류의 장치들이 있는데요.
이번 환자분에 가장 적합하다고 판단되는 장치를 사용했습니다.
이 장치는 성장이 부족한 아래턱을 앞으로 내밀어주게 되는 장치입니다.
또 다른 장치를 함께 사용해 주었는데요.
머리에 착용하는 헤드기어라는 장치입니다. 이 장치는 잘 때 위주로 해서 12시간 가량을 사용하게 됩니다.
이 환자분은 위턱이 크고 + 아래턱이 작은 즉, 위턱과 아래턱의 복합ㅈ거인 문제가 있었던 케이스였어서 각각에 대한 치료를 동시에 진행한거죠.
헤드기어는 과잉성장이 있는 위턱의 성장을 억제하고 가능한 범위에서 약간 뒤로 당겨주는 장치입니다.
성자교정은 정확한 시기에 정확한 진단으로 정확한 장치를 매우 잘 사용해줘야 효과가 좋습니다.
치과에 주기적으로 내원할 때마다 변화하는 치열과 턱뼈의 위치에 따라 장치를 조금씩 수정하게 돼요.
그 외에는 결국 본인이 치료하는 셈입니다.
얼마나 잘 착용하느냐에 따라 부산어린이돌출입교정 결과가 천차만별이에요.
이번 환자분은 스스로의 동기부여와 협조도가 매우 좋았기 때문에 결과물도 매우 좋은 편이었어요.
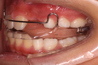
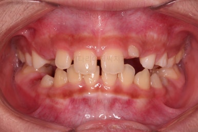
점점 아랫니-윗니가 가까워지고 있어요.
특히 아래턱이 작을 경우 거의 필연적으로 생기는 과개교합(아래 앞니가 윗니에 매우 많이 가려져 있는 증상)도 상당히 많이 개선이 됩니다.
보통 앵글씨 2급 부정교합의 치료는 1년 ~ 1년 반 가량 해주게 됩니다.
충분히 뼈에 반응이 나타나야 되기 때문인데요.
뼈의 위치가 안정적으로 자리 잡았다고 생각되면 치료를 종료하게 됩니다.
이번 환자분의 경우 총 21개월이 소요되었는데요.
초기 치아배열 5개월, 성장교정 16개월이 걸렸어요.
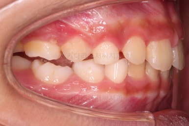
전후사진을 비교해 보겠습니다.
왼쪽이 부산어린이돌출입교정 치료 전, 오른쪽이 치료 후 입니다.
위치가 나빴던 앞니가 제위치로 갔고, 위아래 앞니도 서로 가까워졌어요.
앵글씨 2급 부정교합이 개선된거죠.
아래턱-위턱이 차이날 때 필연적으로 생기는 과개교합(앞니가 서로 깊게 맞물리는 교합)도 개선되었고요.
입이 튀어나와 보이던 모습도 완벽히 개선되었어요.
아래턱이 작아보이던 모습독 개선되었고 입도 편안하게 다물어져요.
턱의 위치가 잘못되어 결과적으로 보이던 "입이 튀어나온 모습, 윗니가 튀어나온 모습"이 턱뼈의 위치를 바로 잡아줌으로써 개선이 된거죠.
이런 모습이라면 영구치가 모두 나온 뒤에 과연 돌출입을 이유로 발치교정을 하게 될까요?
전혀 아니죠.
1년 반 정도 시간 들여서 발치교정 확률을 없애준다면 너무나도 좋은 치료가 아닐까요?😊
이상 헤드기어와 액티베이터를 사용하여 어린이 돌출입, 무턱, 과개교합 및 앵글씨 2급 부정교합을 부산어린이돌출입교정 개선한 치료사례였습니다.
키다리아저씨치과에 오시는 길은 연제구 연산동 연산역 17번출구 바로 앞 건물 5, 6층입니다.
치과교정과 전문의(부산대 외래교수)와 통합치의학과 전문의(서울대학교 졸업) 2명이 상주하며 교정치료와 일반치과치료를 협진하여 진료합니다.
<위 사진은 환자분의 동의를 구한 후 공개하는 사진자료입니다. 사진은 과장이나 조작이 없는 원본사진입니다. 교정치료로 인한 부작용으로는 치근흡수, 충치, 치아변색, 실활 등이 있을 수 있으며, 치료 전후 사진은 의료법 제 23조, 제 56조에 의거하여 게재합니다. 개인의 상태에 따라 치료결과는 달라질 수 있으므로, 교정전문의와 상의를 요합니다.>































































































댓글