연산동임플란트 교정 + 임플란트 + 크라운 치료사례
- 키다리아저씨치과

- 2025년 8월 6일
- 2분 분량
안녕하세요.
오늘 소개해 드릴 환자분은 어금니가 빠져서 임플란트가 필요했던 환자분으로 교정 + 임플란트 + 충치치료 + 크라운치료 등 종합적인 치료를 시행했던 환자분입니다.
나이 : 32세
총 치료기간 : 1년 2개월(총 14개월)
사용한 교정 장치 : 자가결찰 메탈(엠파워 메탈)
일반치료 : 크라운, 임플란트
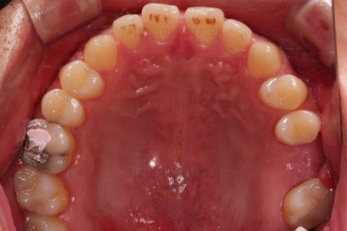
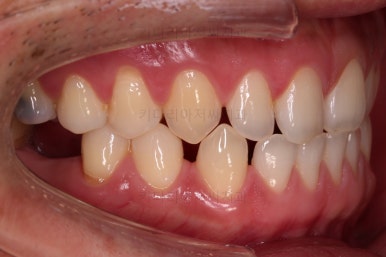
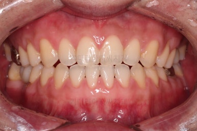
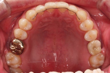
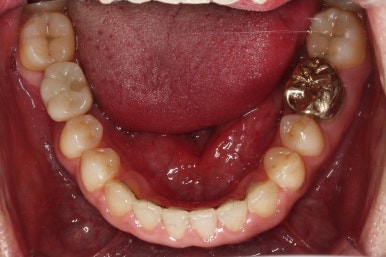
초진 시의 입안 모습입니다.
어금니가 빠져서 결손치아가 있고 치아 사이에 틈새도 있어서 교정치료도 함께 원한다고 내원해 주셨어요.
사진에서 보시는 바와 같이 윗니 1개, 아랫니 1개의 결손 부위가 보입니다.
윗니 어금니 중에는 신경치료를 마무리 못하고 임시재료로 메꿔뒀던 부위도 보이고요.
환자분 : "원래 틈새가 없었는데 점점 치아 사이가 벌어져요."
키다리 : "치아의 결손 상태가 오래될 수록 주위 치아들이 해당 부위로 움직이고 쓰러지게 되어 치아 사이에 틈이 생기게 됩니다."
환자분 : "그럼 어떻게 치료해야 되나요?"
키다리 : "위아래 하나씩 임플란트는 지금도 바로 가능하십니다. 다만, 임플란트를 한 번 하고나면 해당 임플란트는 움직이지 않기 때문에 추후에 교정치료를 하고싶어도 약간의 제약이 생긴답니다."
환자분 : "그럼 교정치료도 같이 하고 싶어요."
임플란트를 한 번 하고나면 그 임플란트는 움직일 수 없기 때문에 추후 교정치료를 한다면 어려운 점이 많이 생깁니다.
따라서 치열이 삐뚤거나 부정교합이 있거나 돌출입이 있는 경우 등 한 번 쯤 교정치료를 생각해 볼 법한 환자분께서 임플란트를 해야 하는 상황이 생긴다면 반드시 치아교정을 먼저 상담 받아보시는 것을 추천드립니다.
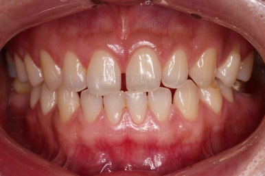
연산동임플란트 초진시의 얼굴 모습입니다.
치아가 드러날 때 틈새가 보이는 점 외에는 옆라인 등은 매우 양호했습니다.
따라서 치아교정을 통해 틈새를 모으고 적절히 임플란트 공간을 마련하여 빠른 시일 내에 기능 + 심미적 목표를 충족시키기로 했습니다.
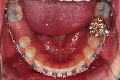
교정장치를 부착하고 충치치료는 별개로 진행되었어요.
이번에 선택하신 장치는 자가결찰(철사를 잡아주는 뚜껑이 자체적으로 달려있는) 메탈(금속)장치이며 엠파워 메탈이라고 하는 장치입니다.
세라믹에 비해 많이 보인다는 단점이 있지만 저렴하고 튼튼한 관리가 약간은 더 편하다는 장점이 있어요.
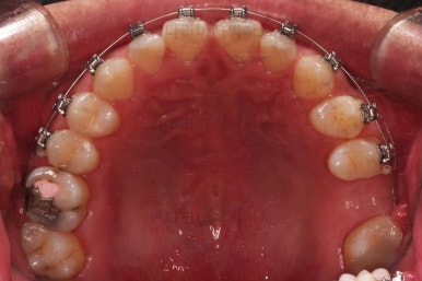
틈새는 서서히 조여서 없애주고요.
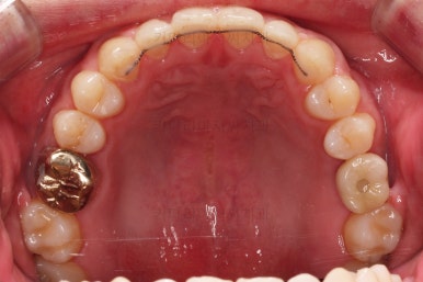
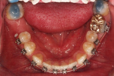
충치치료가 완료된 부위는 골드 크라운(금니)이 씌워졌어요.
임플란트를 하기에 적절한 사이즈로 공간은 맞춰줍니다.
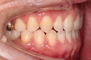
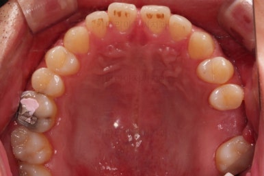
거의 모습이 완성되었습니다.
임플란트는 언제 하게 되나요?
가장 많이 하시는 질문 중 하나인데요. 교정치료가 완료된 뒤에 임플란트를 하면 시간상 효율이 떨어져요.
임플란트는 뿌리 부분부터 머리 부분까지 완성되려면 몇 달의 시간 소요가 있을 수 있기 때문에 교정치료가 완료되기 몇 달 전인 즉, 임플란트 자리만 적절히 마련되면 임플란트를 하게 됩니다.
그 뒤에 임플란트의 완료와 교정치료의 완료가 동시에 되도록 시간세팅을 하면 환자분이 소모하는 시간이 가장 단축되죠.
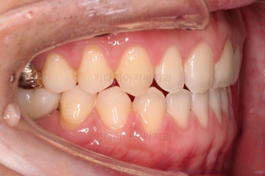
교정치료도 종료 되었고 연산동임플란트 잘 완성이 되었어요.
총 14개월이 걸린 치료였는데 비교적 짧은 기간 내에 틈새도 모으고, 임플란트 및 충치치료도 다 완료를 할 수 있었습니다.
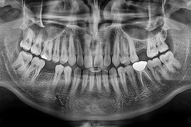
왼쪽이 치료 전, 오른쪽이 연산동임플란트 치료 후 X-ray 사진입니다.
전후 사진을 비교해 볼게요.
비교적 짧은 시간 안에 환자분이 만족하는 치료를 할 수 있었어요.
이상 어금니 결손 부위의 연산동임플란트, 틈새 부위의 치아교정치료 및 충치치료가 한 곳에서 가능한 키다리아저씨치과의 치료사례였습니다.
키다리아저씨치과에 오시는 길은 연제구 연산동 연산역 17번출구 바로 앞 건물 5, 6층입니다.
치과교정과 전문의(부산대 외래교수)와 통합치의학과 전문의(서울대학교 졸업) 2명이 상주하며 교정치료와 일반치과치료를 협진하여 진료합니다.
<위 사진은 환자분의 동의를 구한 후 공개하는 사진자료입니다. 사진은 과장이나 조작이 없는 원본사진입니다. 교정치료로 인한 부작용으로는 치근흡수, 충치, 치아변색, 실활 등이 있을 수 있으며, 치료 전후 사진은 의료법 제 23조, 제 56조에 의거하여 게재합니다. 개인의 상태에 따라 치료결과는 달라질 수 있으므로, 교정전문의와 상의를 요합니다.>



















































































댓글