부산임플란트교정 교정 중 결손 부위에 임플란트 식립한 치료사례
- 키다리아저씨치과

- 2025년 7월 8일
- 2분 분량
안녕하세요.
오늘 부산임플란트교정 키다리아저씨치과에서 소개해 드릴 환자분은 교정 중 충치 때문에 부분 보철(세라믹 인레이)과 결손된 치아 부위에 교정으로 배열 및 공간확보 후 임플란트를 식립한 환자분입니다.
나이 : 37세
치료 시작 : 2023년 12월 26일
치료 종료 : 2024년5월 9일
총 치료기간 : 5개월
보철재료 : 세라믹 인레이, 임플란트

부산임플란트교정 키다리아저씨치과에 처음 내원하셨을 당시의 X-ray 사진입니다.
교정으로 치열을 바르게 배열한 뒤, 공간을 확보해 임플란트를 식립하기로 했습니다.
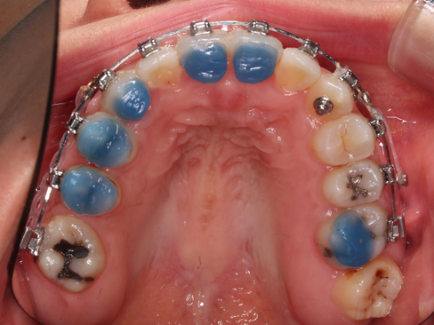
교정 중 안쪽 어금니 부위(씹는면)에 충치가 생겨있는 부위도 치료를 병행했습니다.
충치의 범위가 넓은 편이라 부분보철을 진행하였는데요.
여기서 사용한 재료가 세라믹 인레이 입니다.
세라믹 인레이란?
레진 인레이와 흡사한 치료법으로 보다 강도가 크게 개선이 되어 최근에 가장 주목을 받고 있습니다. 골드 인레이를 대체할만한 치료법으로 인지되고 있습니다.
충치 부위를 제거한 후 본을 떠서 모형을 만듭니다.
본 뜬 모형을 기공소에 보내게 되고 세라믹 인레이가 제작이 되면 수령 받아 충치 부위에 조각을 붙여 넣게 됩니다.

교정적으로 치아배열이 된 후 임플란트를 진행하기로 했습니다.
임플란트란?
다양한 요인에 의해 결손된 치아를 대신하여 치조골(잇몸뼈)에 임플란트(나사)를 식립한 후 보철(크라운)을 연결합니다.

임플란트 수술 직후의 촬영한 X-ray 사진입니다.
보통 하악의 경우 임플란트 나사(픽스처)를 식립하게 되면 약 3개월 정도의 골유착을 기다리게 됩니다. 골유착이 충분히 완료가 되면 보철(크라운)을 열리게 되죠.
골질의 상태나 뼈 이식량에 따라 기간은 달라질 수 있습니다.
임플란트를 식립해 두고 약 3개월 정도의 기간이 지나면 2차 수술을 진행하여 임플란트와 잇몸을 연결하기 위한 2차 수술과 나사 뚜껑을 올리는 작업을 합니다.

환자분의 경우는 뼈 상태가 나쁜 편이 아니었어요.
그리하여 1차 수술부터 잇몸 위로 나사 뚜껑을 바로 올려 잇몸성형을 도와줄 수 있게 하였습니다.
임플란트 식립체(나사)와 뼈가 단단하게 잘 유착이 되었는지 확인을 하고자 임플란트 고정도 측정기라는 디지털 장비를 이용해 ISQ(골유착) 수치를 측정합니다.
일정 수치 이상 높게 나오면 뼈와 나사가 잘 유착이 되었다고 보고 보철을 올릴 준비를 합니다.

임플란트 지르코니아 보철(크라운)이 올라간 구내 씹는 면 사진입니다.
임플란트 식립체(픽스처)와 보철은 나사로 연결이 되어 있습니다.
따라서 추후 문제가 생기면 나사를 풀어 보철을 제거하고 임플란트 상태를 확인하는 작업이 필요한데요.
이를 위해 임플란트 보철에는 나사 구멍이 작게 있습니다.
보철이 들어가면 음식 섭취가 편할 수 있고자 교합을 조정하고 나사구멍에도 음식물이나 이물질이 들어가지 않도록 치아 색과 동일한 레진을 통해 메워줍니다.
지르코니아 보철이란?
지르코니아라는 재료는 자연친화적인 재료이며 다른 크라운 보다 잇몸이 자연스럽게 어울릴 수 있습니다.

임플란트 보철 마무리 후 파노라마 사진이빈다.
임플란트 치료도 중요하지만 이 후 정기검진이 더 중요합니다.
불편하다거나 통증, 이물감이 없다고 하더라도 정기적으로 검진을 받아 보는 것이 좋습니다.
이상 부산임플란트교정 교정과 병행하며 충치치료와 결손된 치아 부위에 교정으로 배열 및 공간을 확보해 임플란트를 심은 치료사례였습니다.
키다리아저씨치과에 오시는 길은 연제구 연산동 연산역 17번출구 바로 앞 건물 5, 6층입니다.
치과교정과 전문의(부산대 외래교수)와 통합치의학과 전문의(서울대학교 졸업) 2명이 상주하며 교정치료와 일반치과치료를 협진하여 진료합니다.
<위 사진은 환자분의 동의를 구한 후 공개하는 사진자료입니다. 사진은 과장이나 조작이 없는 원본사진입니다. 교정치료로 인한 부작용으로는 치근흡수, 충치, 치아변색, 실활 등이 있을 수 있으며, 치료 전후 사진은 의료법 제 23조, 제 56조에 의거하여 게재합니다. 개인의 상태에 따라 치료결과는 달라질 수 있으므로, 교정전문의와 상의를 요합니다.>






댓글