부산임플란트 전 교정 키다리아저씨치과의 임플란트 + 교정치료 사례
- 키다리아저씨치과

- 2025년 4월 28일
- 3분 분량
안녕하세요.
오늘 부산임플란트 전 교정 키다리아저씨치과에서는 치아가 몇 개 없어서 임플란트치료를 하셔야 되는 분이셨는데, 앞니도 많이 삐뚤어서 하는 김에 치아교정까지 같이 하고자 하신 분입니다.
나이 : 33세
총 치료기간 : 2년(총 24개월, 교정 + 임플란트 완료시까지)
사용한 장치 : 자가결찰 세라믹(데이몬 클리어, Damon clear)
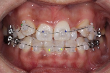
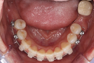
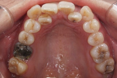
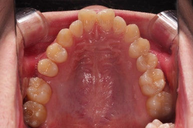
부산임플란트 전 교정 키다리아저씨치과에 처음 내원하셨을 당시의 입 안의 모습입니다.
치아가 썩은 부위도 보이고, 이미 발치가 된 부위도 보이네요.
앞니가 많이 삐뚤어 덧니처럼 보이고 작은 앞니는 안쪽으로 들어가 있어서 앞에서 보면 마치 치아가 없는 것처럼 보이기도 하네요.
우선 치아가 없는 부위는 임플란트를 하셔야 하기 때문에 먼저 임플란트 상담을 받고 오셨어요.
여기서 주의할 점은 임플란트와 교정을 함께 고민하시거나 적어도 교정에 대한 고민이 약간이라도 있으시다면
반드시 임플란트 하기 전에, 교정치과에서 상담을 받아보세요.
아주 간단한 이유 때문입니다. 임플란트는 움직이지 않는답니다.
한 번 임플란트를 하면 다른 치아만 움직여서 개선하기 힘든 경우가 많기 때문에 심한 경우 잘 쓰고 있는 임플란트를 제거해야 하는 상황동 생길 수 있습니다.
이번에 오신 분도 만약 임플란트를 먼저 하시고 나중에 치아교정을 해야지 마음 먹으신다면 상황이 굉장히 복잡해지고 심지어는 임플란트를 하자마자 제거해야 되는 수가 생겨요.
처음 내원 당시의 얼굴 모습입니다.
입술을 다물었을 때의 돌출감이나 옆 라인은 좋으신 편이세요.
대신 앞니가 많이 삐뚤고 옥니(앞니가 안쪽으로 쓰러져 있는 형태) 양상이어서 웃거나 말할 때 미적으로 좋지 못했어요.
따라서 여러 가지 상황을 설명 드리고 치료계획을 세우고 임플란트는 잠시 미루고 교정치료를 먼저 하기로 했습니다.
치아를 움직이면서 임플란트가 더 좋은 위치에 올 수 있도록 준비작업도 같이 해주었어요.
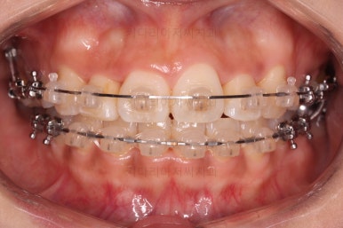
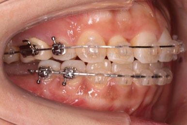
장치를 처음 부착했어요.
총 치료기간을 단축 시키기 위해서 충치치료를 받는 치아는 내버려두고 다른 치아들만 먼저 진행했습니다.
이번 환자분이 사용한 장치는 "데이먼 클리어"라고 하는 세라믹 자가결찰인데, 현재 시중에 나와있는 장치들 중 가장 심미적이에요.
흔히 많이 사용하는 엠파워클리어, 클리피씨 장치도 물론 세라믹이라 심미적이지만 자세히 보면 보이는 금속클립이 달려있는 반면에 데이몬 클리어는 아예 클립까지 세라믹으로 되어 있어서 가장 심미적입니다.
장치 부착 직후의 모습을 보시면 브라켓이 매우 치아 색에 가깝게 되어있어 심미적인 것을 알 수 있습니다.
대신 단점은 다른 장치들보다 약간 부피가 크다는 점인데, 이래나 저래나 장치 부착을 하면 약간 입술이 나와 보일 수 있기 때문에 큰 차이를 주는 요소는 아니긴 합니다.
왼쪽이 부산임플란트 처음 내원했을 때의 옆모습, 오른쪽이 장치를 처음 부착했을 대의 옆모습입니다.
입술이 약간 돌출되는 느낌이 있긴 하죠?
이는 사람마다 매우 차이가 커서 거의 안나와 보이는 분도 있고 더 심하게 나와 보이는 분도 있고 그래요.
다른 장치 부착시의 모습이 궁금하시다면 블로그 내 다른 글들을 참고해 주시면 됩니다.
이 분은 삐뚤한 정도가 매우 컸기 때문에 추가적으로 몇 개 더 발치를 하기로 했습니다.
이런 경우 발치 없이 가지런하게 하면 입이 툭 튀어나올 수 있어요.
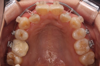
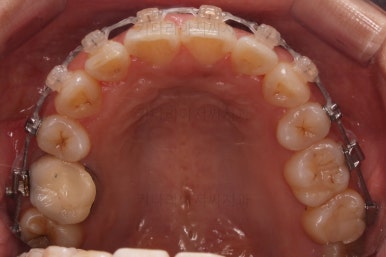
윗니 작은 어금니를 발치했고, 쏙 들어가 있던 작은 앞니들을 꺼내줄려고 옆에 송곳니들을 열심히 옮겨주고 있습니다.
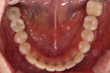
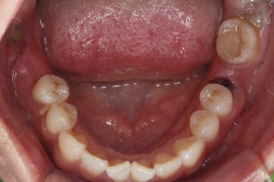
아랫니는 벌써 교정이 단 된 듯이 보이고 임플란트를 위한 자리배치도 다 완료되었습니다.
윗니도 이 뽑은 자리가 벌써 다 없어졌고 작은 앞니가 나올 수 있는 넉넉한 공간이 마련되었어요.
이 시점까지 대략 10개월쯤 걸린 것 같습니다.
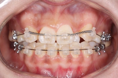
이제 앞니도 많이 가지런해졌네요.
이 시점부터는 디테일한 마무리 과정에 들어가게 됩니다. 미묘한 각도차이, 높낮이 등 교합과 심미를 동시에 고려해서 조절해주게 됩니다.
특히 안에 들어가 있다가 밖으로 나온 작은 앞니는 약간 뻐드러져 보이는 경향이 있는데, 각도 조절에 시간을 많이 소요했었어요.
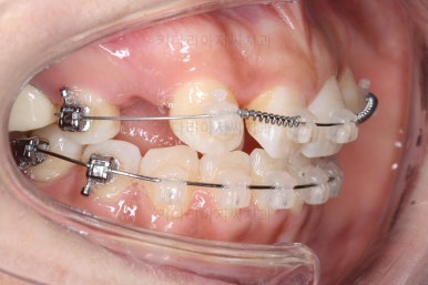
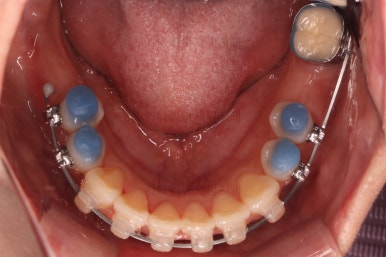
그리고 오른쪽 아래 사진에 동그라미 표시를 보시면 임플란트가 하나 식립이 된 것을 보실 수 있을거에요.
교정치료 모두 마치고 부산임플란트를 하면 최종적으로 완성되기까지 몇 달이 더 소요가 되니 교정치료가 끝날 시점에 예측을 해서 미리 임플란트 식립부터 진행했습니다.
이렇게 해야 교정치료랑 부산임플란트 치료랑 동시에 끝내면서 치료 기간도 최소화 할 수 있거든요.
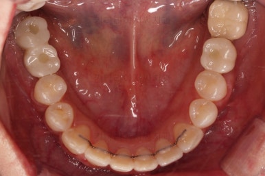
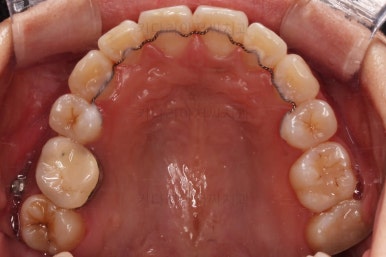
이제 이가 없던 부위에 부산임플란트가 다 올라갔어요.
교정치료도 부족해 보이는 부분만 더 마무리를 하고 종료하기로 했습니다.
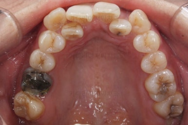
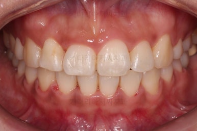
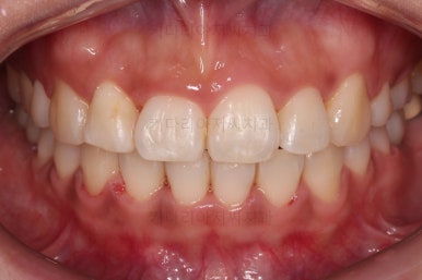
부산임플란트 키다리아저씨치과에서 치료한 이번 사례의 마무리 사진입니다.
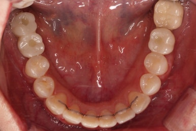
유지장치를 부착하고 마무리를 했고, 이가 없던 부분은 예쁘게 보철들이 올라갔어요.
앞니의 잇몸 라인이 달라 아쉽긴하지만 원하시면 잇몸 성형도 간단하게 해주면 될 것 같아요.
전후 사진을 비교해 보겠습니다.
왼쪽 사진이 치료 전, 오른쪽 사진이 치료 후라고 보시면 됩니다.
매우 삐뚤었던 앞니가 가지런해졌고, 이 없는 부분이 보철들로 깔끔하게 메꿔졌어요.
옥니 경향도 사라져 미적으로 기능적으로 모두 만족하셨던 치료가 되었습니다.
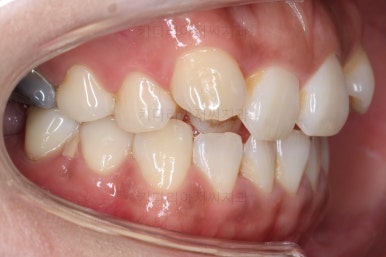
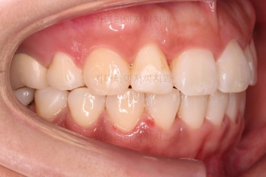
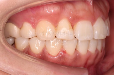
부산임플란트 전 교정 치료의 전후 사진 비교입니다.
임플란트는 얼굴 모습에서는 알기 힘들지만 매우 삐뚤었던 앞니가 바로 되고 옥니가 개선되니, 웃는 모습이 엄청 좋아지셨어요.
환자분도 매우 만족하셨답니다.
옆라인은 처음에도 나쁘지 않았기 때문에 모습을 거의 그대로 유지했어요.
이상 치아가 다수 없어서 임플란트를 앞둔 분의 삐뚤한 치아 및 옥니 교정, 임플란트 치료 사례였습니다.
키다리아저씨치과에 오시는 길은 연제구 연산동 연산역 17번출구 바로 앞 건물 5, 6층입니다.
치과교정과 전문의(부산대 외래교수)와 치과보철과/통합치의학과 전문의(부산대 외래교수) 2명이 상주하며 교정치료와 일반치과치료를 협진하여 진료합니다.
<위 사진은 환자분의 동의를 구한 후 공개하는 사진자료입니다. 사진은 과장이나 조작이 없는 원본사진입니다. 교정치료로 인한 부작용으로는 치근흡수, 충치, 치아변색, 실활 등이 있을 수 있으며, 치료 전후 사진은 의료법 제 23조, 제 56조에 의거하여 게재합니다. 개인의 상태에 따라 치료결과는 달라질 수 있으므로, 교정전문의와 상의를 요합니다.>



































































































































댓글