연산동교정치과 키다리아저씨치과의 비발치 돌출입 교정사례
- 키다리아저씨치과

- 2025년 2월 18일
- 3분 분량
안녕하세요.
오늘 연산동교정치과 키다리아저씨치과에서 소개해 드릴 환자분은 과개교합 및 약간의 돌출입을 가진 분의 비발치 사례입니다.
나이 : 18세
총 교정기간 : 1년 11개월(총 23개월)
교정장치 : 자가결찰 세라믹(데이몬 클리어) + 미니스크류
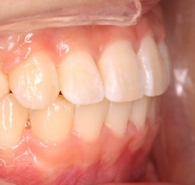
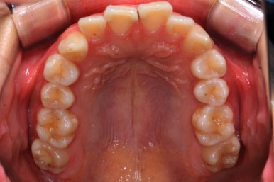
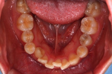
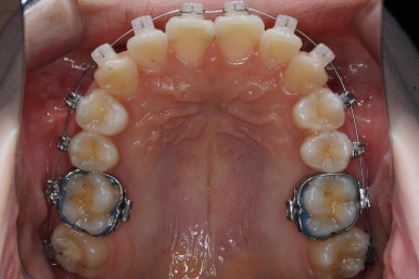
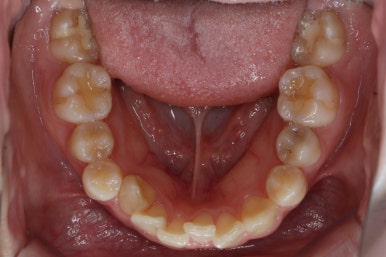
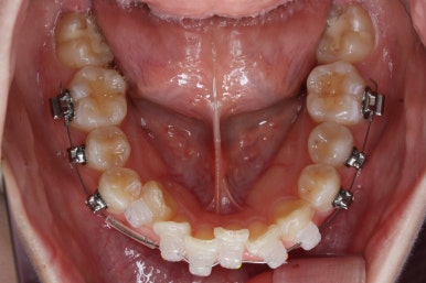
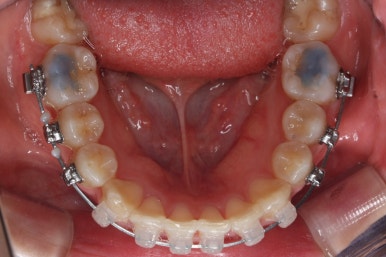
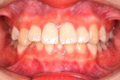
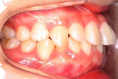
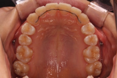
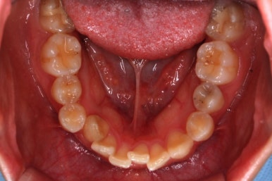
위 사진은 연산동교정치과 처음 내원하셨을 때의 입안 모습입니다. 몇 가지 모습이 관찰됩니다.
치아가 삐뚤삐뚤합니다.
위~아래 앞니가 많이 겹쳐서 아랫니가 많이 모이지 않는 "과개교합" 입니다.
앞니가 앞으로 뻐뜨러져 있습니다.
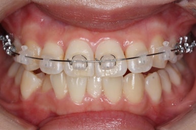
연산동교정치과 처음 오셨을 때의 얼굴 모습입니다.
또한 몇 가지 문제점들이 있습니다.
치아가 삐뚤하여 활짝 웃지를 못합니다.
앞니가 뻐드러져 약간의 돌출감이 보입니다.
앞니가 뻐드러져 입을 다물었을 때 어색함이 느껴지고 입 주위 근육들이 부자연스럽습니다.
입안과 얼굴 모습을 종합하여 보면 삐뚤함의 정도도 심하고, 과개교합 및 돌출감도 있어서 이 때 흔히 선택하는 방법은 발치교정입니다.
그러나! 이번 환자분의 경우에는 미니스크류를 이용해서 "비발치교정"을 하기로 하였습니다.
발치를 하는 대신에 상하좌우 미니스크류를 이용해서 모든 치아를 전체 뒤로 당겨 넣는다면 뻐드러진 치아, 돌출입, 삐뚤어진 치아를 가지런하게 할 자리를 마련할 수 있겠다는 계획에서였습니다.
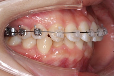
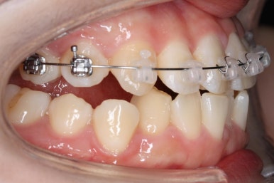
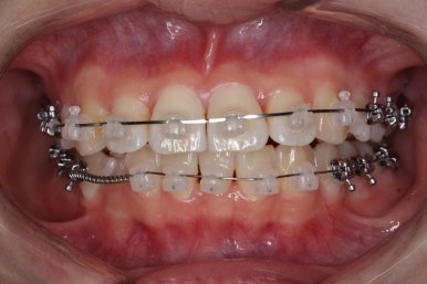
연산동교정치과에서 이번에 사용한 장치는 데이몬 클리어라고 하는 자가결찰 세라믹 장치입니다. 현재 붙이는 장치 중에서 세라믹의 비율이 가장 높아 치아색과 가장 유사한 장치입니다.
매번 포스팅 때 말씀을 드리지만 각 장치는 바깥으로 붙이는 장치, 설측, 투명교정장치든 고유의 장단점이 있기 때문에 기호에 따라 선택하시면 됩니다. 교정전문의와의 상의를 통해 결정하시면 될 문제이며 특정 장치가 100% 좋다는 건 없습니다.
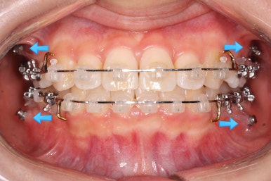
우선 윗니부터 가지런하게 합니다. 그리고 아랫니는 가지런하게 할 준비를 하죠.
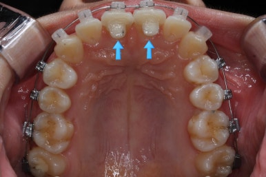
화살표에 보이는 부착물의 이름이 바이트터보 입니다.
깊게 맞물리는 앞니, 즉 과개교합을 개선하기 위해 일시적으로 이용하는 장치입니다.
굉장히 효율적으로 과개교합을 개선할 수 있습니다.
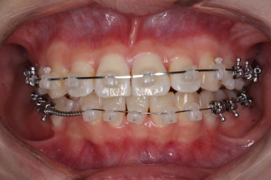
아랫니에도 이제 장치를 붙였습니다.
과개교합인 채로 아랫니에도 장치를 붙이게 되면 아랫니 장치가 깨물려서 다 떨어지거나 부서지기 쉽습니다. 따라서 바이트터보는 굉장한 역할을 하게 됩니다.
눈으로 보기에는 과개교합이 개선이 된 것처럼 보이지만 아직은 아닙니다. 바이트터보가 남아있는 채로도 어금니가 맞물려야 진짜로 개선된 것이죠.
과개교합 개선에 관한 내용을 많이 언급했네요.
다음 과정을 보시겠습니다.
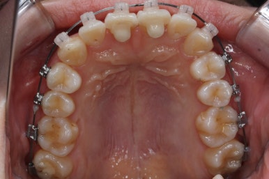
점점 치열이 가지런해지고 있습니다.
이제 치열은 거의 가지런해졌습니다.
치열이 가지런해졌다는 뜻은 이제 곧 뒤로 당기기가 가능해졌다는 뜻이기도 합니다.
우선 윗니가 먼저 가지런해졌기 때문에 윗니부터 뒤로 당기기 시작합니다.
연산동교정치과에서 이번에 진행한 방법은 비발치교정이기 때문에 미니스크류를 잇몸뼈에 식립합니다.
위 사진에서 화살표 부분이 미니스크류인데요.
어금니쪽 잇몸에 아주 작은 나사가 보이실텐데요. 이것을 이용해서 전체 치열을 뒤로 당겨넣습니다. 물론 사랑니는 제거가 된 상태입니다.
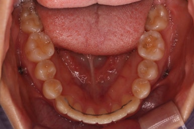
아랫니도 어느 정도 많이 가지런해졌습니다.
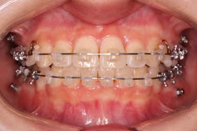
윗니를 계속 당겨 넣습니다.
만족을 하실 때까지 계속계속 넣고 그리고 입 안에서는 허락하는 만큼 계속 당겨 넣습니다.
이제 아래쪽도 당겨 넣습니다.
원하는 만큼, 허락하는 만큼 계속 당겨 넣습니다. 연산동교정치과에서는 비발치 돌출입 교정을 위해 총 4개의 미니스크류를 식립했습니다.
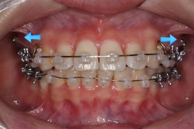
이제 거의 다 되감을 알 수 있습니다. 앞니의 뻐드러짐도 많이 좋아졌고 전반적으로 들어간 양도 적절해 보입니다.
이 쯤 되면 얼굴모습을 보고 환자분과 상의하게 됩니다. 앞으로 더 가능한 양, 더 들어가길 원하는 양, 그 간극의 차이가 크다면 조율을 하고 협의를 하게 됩니다.
이 쯤에서 연산동교정치과에서는 마무리를 하기로 환자분과 협의했습니다.
몇 달간의 마무리과정을 거치고 드디어 장치를 제거하였습니다.
위아래 앞니는 다시 틀어지지 말라고 유지철사를 붙였습니다.
위에는 탈착이 가능한 유지장치도 사용합니다. 2중으로 안전장치를 하는 것이죠.
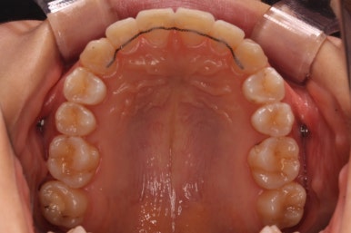
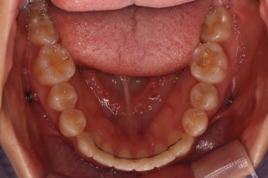
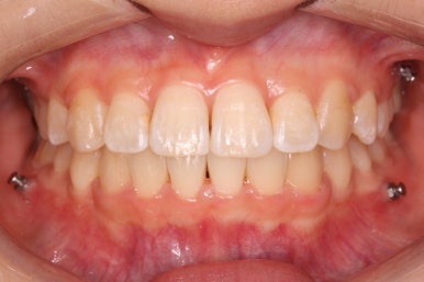
치아는 매우 가지런해졌고, 과개교합도 개선이 되었으며 뻐드러진 앞니 각도도 정상적으로 회복이 되었습니다.
전후사진을 비교해 보겠습니다.
나란히 놓고 보면 차이가 극명하게 납니다.
치아가 가지런해졌습니다.
뻐드러진 앞니가 정상적인 각도로 회복되었습니다.
전반적인 치아들의 위치가 뒤로 이동하였습니다.
이 쯤되면 얼굴의 모습의 변화도 궁금하실텐데요.
입술을 다물었을 때의 입 주위가 매우 자연스러워졌습니다.
활짝 웃니 못하였는데 환하게 웃을 수 있는 자신감이 생겼습니다.
뻐드러진 치아가 뒤로 들어가면서 돌출감이 개선되었습니다. 옆모습에서 인중 라인의 형태 및 아랫입술 ~ 턱끝까지 이어지는 S라인의 느낌이 좋아졌습니다.
삐뚤어진 양도 꽤 되고, 과개교합, 치아 뻐드러짐도 있었는데 비발치 교정으로 충분히 원하는 목표를 당성했다고 생각합니다.
이상 연산동교정치과에서 시행한 비발치 과개교합,돌출입 교정치료 사례였습니다.
키다리아저씨치과에 오시는 길은 연산역 17번출구 바로 앞 건물 5, 6층입니다.
치과교정과 전문의(부산대 외래교수)와 치과보철과/통합치의학과 전문의(부산대 외래교수) 2명이 상주하며 교정치료와 일반치과치료를 협진하여 진료합니다.
<위 사진은 환자분의 동의를 구한 후 공개하는 사진자료입니다. 사진은 과장이나 조작이 없는 원본사진입니다. 교정치료로 인한 부작용으로는 치근흡수, 충치, 치아변색, 실활 등이 있을 수 있으며, 치료 전후 사진은 의료법 제 23조, 제 56조에 의거하여 게재합니다. 개인의 상태에 따라 치료결과는 달라질 수 있으므로, 교정전문의와 상의를 요합니다.>























































































































































댓글