부산치아교정잘하는곳 키다리아저씨치과에서 시행한 미세 돌출 + 미세 주걱턱 + 뻗친 앞니 교정 치료사례
- 키다리아저씨치과

- 4월 7일
- 3분 분량
"미니스크류를 이용한 투명교정장치에 관한 논문"으로 2023년도 Angle orthodontist(미국의 교정학회지) SCI 저널에 제 1저자로 게재되었습니다.
"2023년 대한치과 교정학회에서 표창장을 수여하였습니다."
"2023년 세계 구순구개열 학회에서 포스터 발표를 하였습니다."
항상 공부하고 노력하는 키다리아저씨치과가 되겠습니다.
안녕하세요.
오늘 부산치아교정잘하는곳 키다리아저씨치과에서 소개해 드릴 환자분은 앞니가 틀어지고, 미세돌출이 있으며, 약간의 주걱턱 경향이 있었던 환자분입니다.
나이 : 27세
총 치료기간 : 1년 8개월(총 20개월)
사용한 장치 : 자가결찰 세라믹 + 메탈(엠파워 클리어 + 메탈) + 미니스크류
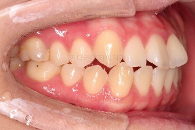
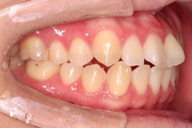
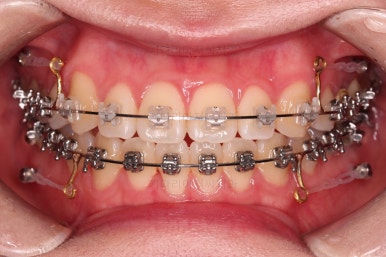
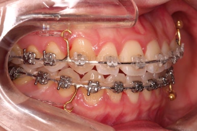
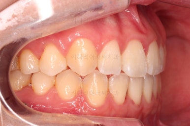
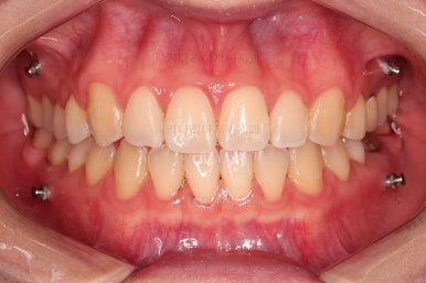
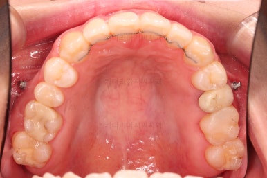
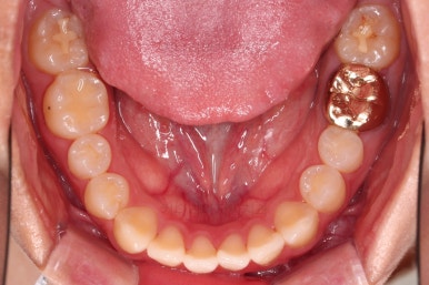
1. 처음 내원 시의 입안의 모습
부산치아교정잘하는곳 키다리아저씨치과에 처음 내원하셨을 당시의 입안 모습입니다.
얼핏 보면 많이 삐뚤어지지는 않은 편인데, 눈에 바로 띄는 앞니가 뻗쳐 있으면서 획 돌아있는데요. 정렬이 필요한 상황이었습니다.
어금니쪽은 많이 삐뚠 편은 아니었으며, 윗니 앞니가 많이 앞으로 뻗쳐 있는 상태였습니다.
이런 뻗침이 왜 생겼는지는 아래에서 다시 한 번 말씀 드릴게요.
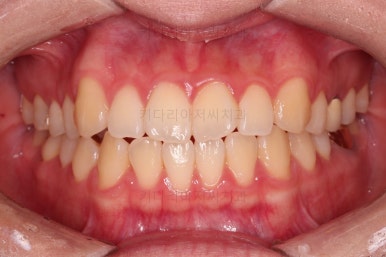
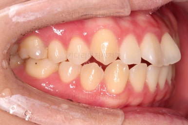
2. 처음 내원 시의 얼굴모습
마찬가지로 초진 시의 얼굴 모습인데요.
입술을 다물었을 때의 모습이 나쁘지 않으나 아랫입술 ~ 턱끝 부위가 약간 앞으로 나와 보이는 미세 주걱턱 양상이었습니다.
그리고 웃을 때 보이는 치열이 삐뚤고, 앞니가 뻗친 부분이 강조되어 보입니다.
아까 말씀 드렸던, 왜 윗니 앞니만 뻗칠까?에 대한 대답은 "주걱턱의 골격구조를 가지셔서" 입니다.
아래턱이 앞으로 나오면 나올수록 윗니는 앞에 있는 아래턱과 만나기 위해 앞으로 뻗치는거죠.
그렇다면 뻗친 앞니를 수직으로 세워주기 위한 전제조건은? 당연히 아랫니가 뒤로 들어가야 합니다.
3. 치료 목표 및 계획의 수립
이번 환자분의 치료 목표는 미세 돌출을 해결하고, 아랫입술이 나온 부분을 해결하며, 앞니를 가지런하게 하고 앞니의 각도를 조절한다 입니다.
✅ 비수술, 비발치 미세 돌출, 미세 주걱턱 교정
약간의 주걱턱 골격까지 확실하게 개선하려면 양악수술이 답이겠으나 그 정도를 원하지는 않으셨고 약간의 개선 정도를 목표로 했기 때문에 당연히 비수술로 계획했고요.
앞니의 각도를 개선하기 위해서는 뒤로 치아를 밀어야 될 양이 꽤나 많긴 했으나, 발치가 필요한 정도까지는 아니라서 사랑니만 뽑아내고 모든 치아를 뒤로 밀면서 개선하기로 했습니다.
4. 치료 진행 상황
부산치아교정잘하는곳 키다리아저씨치과에서 사용한 장치는 엠파워라고 하는 자가결찰 장치인데요.
이번 환자분은 윗니는 세라믹, 아랫니는 메탈로 선택을 하셨습니다.
웃을 때 더 많이 보이는 부분은 좀 더 심미적인 세라믹으로 하고, 아랫니는 메탈도 상관없다고 하여 조합해서 사용했는데요.
동일한 회사의 동일한 규격의 장치라 혼용해서 써도 무방합니다.
장치 부착 직후의 얼굴모습이며 장치가 보이는 느낌과 장치 부피로 인해서 입술이 약간 나오는 느낌을 참고 바랍니다.
장치 때문에 입술이 나오는 정도는 사람마다 매우 차이가 큰데, 이번 환자분 정도가 평균적인 모습인 것 같습니다.
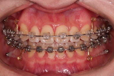
장치 부착한지 얼마 안되어 치열은 매우 고르게 되었는데요.
치료 목표는 그것 뿐만 아니라 입을 조금이라도 넣고, 앞니 각도도 개선해야 되었으므로 사랑니는 모두 뽑아내고 미니스크류를 활용해서 뒤로 뒤로 밀어넣습니다.
중간중간 얼굴모습 평가도 필요하고요.
여전히 앞니 뻗침과 미세 돌출, 미세 주걱턱 느낌은 그대로네요.
더 진행합니다.
부산치아교정잘하는곳 내원 시마다 고무줄로 조여주고, 뒤로 당겨주고, 철사로 앞니 각도를 조절합니다.
특히나 주의행야 할 점은 주걱턱이신 분들은 아랫니를 뒤로 밀 때 그냥 밀면 안되고 뿌리까지 뒤로 같이 와야하는데요.
그래야 아랫입술의 변화가 드라마틱하게 됩니다.
해당 부분을 매우 신경써서 진행했습니다.
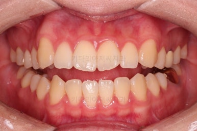
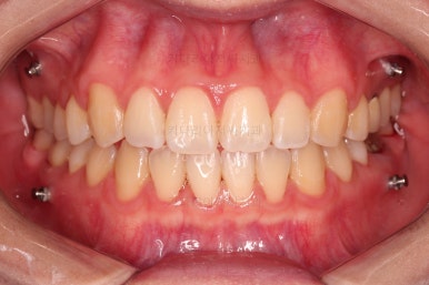
전반적인 느낌이 많이 좋아졌죠?
턱끝의 위치는 바뀌지 않더라도 인중~입술~턱끝을 잇는 곡선이 부드러워지면서 미적으로 좋아지고 있고요.
웃을 때 드러나는 앞니가 이제는 뻗쳤다는 느낌이 크게 들지 않습니다.
환자분과 치료 목표지점에 대해서 조율한 뒤 마무리를 하게 됩니다.
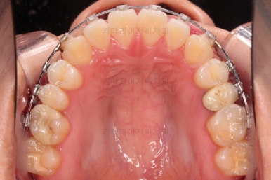
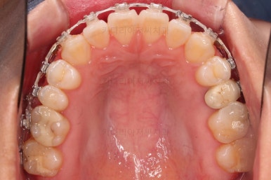
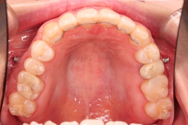
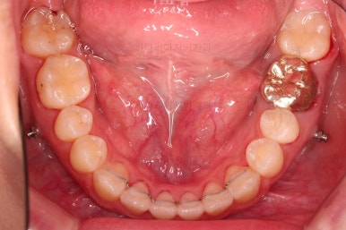
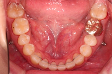
5. 치료의 종료
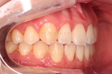
부산치아교정잘하는곳 키다리아저씨치과에서 치료를 종료했을 때의 사진입니다.
위아랫니가 가지런해졌고요.
다시 틀어지지 말라고 적절한 유지장치를 구성합니다.
보철 치아의 위치/크기로 인해 100% 중앙선은 맞기 힘드나 가장 잘 맞추어 놨고, 앞니의 각도도 매우 좋아졌습니다.
아래 앞니도 단순히 머리 부분만 뒤로 눕힌 것이 아니라 뿌리까지 뒤로 당겨왔고요.
일반적으로 치료 전의 모습이 매우 나쁜 경우가 아니라 지금처럼 "미세 OO", "미세 XX"의 증상으로 치료를 하시는 분들은 전후의 차이가 크지 않다고 느끼시는 경우가 많으나, 이번 환자분의 경우는 목표치의 완성도를 끌어올림으로 인해 매우 만족스럽게 마무리가 잘 되었습니다.
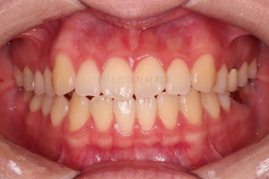
6. 전후 사진 비교
교합, 가지런함, 앞니 각도 모두 좋아졌습니다.
얼굴 모습에서의 변화도 웃을 때 앞니의 느낌, 웃을 때 보이는 앞니의 각도, 아랫입술의 변화 등 모든 면에서 다 좋아진 치료였습니다.
이상 미세 돌출/주걱턱 그로 인한 뻐드러진 치아를 비수술, 비발치로 개선한 치료사례였습니다.
부산 연산동 교정치과 키다리아저씨치과에 오시는 길은 연제구 연산동 연산역 17번출구 바로 앞 건물 6층입니다.
치과교정과 전문의(부산대 외래교수)가 상주하며 교정치료 합니다.
<위 사진은 환자분의 동의를 구한 후 공개하는 사진자료입니다. 사진은 과장이나 조작이 없는 원본사진입니다. 교정치료로 인한 부작용으로는 치근흡수, 충치, 치아변색, 실활 등이 있을 수 있으며, 치료 전후 사진은 의료법 제 23조, 제 56조에 의거하여 게재합니다. 개인의 상태에 따라 치료결과는 달라질 수 있으므로, 교정전문의와 상의를 요합니다.>









































































































































댓글