부산충치치료 교정 시작 전 충치치료한 치료사례
- 키다리아저씨치과

- 2025년 7월 7일
- 2분 분량

안녕하세요.
오늘 부산충치치료 키다리아저씨치과에서 소개해 드릴 환자분은 교정 시작 전, 충치치료를 먼저 진행하여 하이브리드 인레이(부분 보철), 레진, 실란트 치료를 진행한 환자분입니다.
나이 : 18세
치료 시작 날짜 : 2024년 9월 6일
치료 종료 날짜 : 2024년 12월 5일
사용한 장치 : 하이브리드 인레이, 레진, 실란트
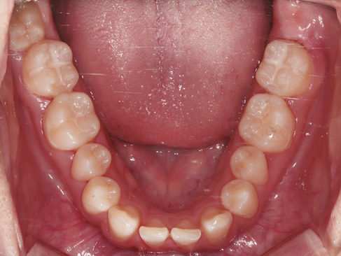
초진 시 씹는 면 구내사진 입니다.
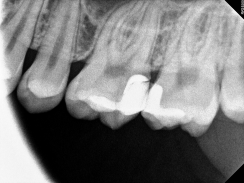
X-ray상으로는 치아 사이의 인접면에 충치가 의심되는 부위들이 있었습니다.
정확한 진단을 위해 작은 X-ray사진을 추가로 촬영했습니다.
부산충치치료 X-ray 사진 입니다.
치아 사이 면에 검게 충치가 진행되고 있는 것을 확인할 수 있습니다.
충치의 범위가 넓기 때문에 레진으로는 치료할 수 없어 오른쪽 첫 번째, 왼쪽 두 번째 어금니는 하이브리드 인레이(부분보철)로 진행하였습니다.
왼쪽 첫 번째 어금니는 범위가 넓어 단단한 재료로 메운 뒤 덮어 씌우는 크라운으로 치료를 설명 드렸습니다.
사이 충치들도 치료가 필요한지 체크 후 범위에 따라 레진 또는 인레이 가능성을 설명 드렸습니다.
크라운 계획이었던 치아 충치를 제거했을 당시의 사진입니다.
충치가 많이 깊긴 했으나 신경이 비치지 않은 모습이었습니다.
인레이로도 가능할 것으로 보여 크라운에서 인레이로 계획이 변경되었습니다.
치료 후 지내는 동안 증상이 있거나 통증이 생길 경우 신경치료 가능성을 설명드렸고, 인레이 보철을 붙이기 전까지는 한 번 더 증상을 체크하기로 했습니다.
보철 셋팅 후 찍은 photo, X-ray 사진입니다.
임시 약재 상태일 때 증상이 있긴 하였으나 신경치료를 들어갈 정도는 아니라 인레이 보철을 넣었고, 붙이고 나서도 증상을 한 번 더 체크해 보기로 하였습니다.
셋팅 초기 시, 민감성이 있을 수 있음을 설명드렸습니다.
치료 시 발견된 충치와 치료 후 photo, X-ray 사진입니다.
오른쪽 첫 번째 어금니는 하이브리드 인레이 치료를 진행하였고, 치아 사이로 충치가 생기는 경우는 양 옆이 치아들도 같이 썩어있는 경우가 많아 꼼꼼하게 체크 후 진행했습니다.
두 번째 어금니는 충치가 생겨 있어 레진으로 치료를 같이 했습니다.

보철 셋팅 후 X-ray 사진입니다.
부산충치치료 깔끔하게 보철이 들어간 걸 확인할 수 있습니다.

아래쪽 두 번째 큰 어금니는 충치가 생기기 전 깊은 열구, 소와 부위가 노출되게 되면 오랫동안 사용해야 할 영구치에 충치가 생길 수 있으므로 부산충치치료 치과 전용 재료로 홈을 메워 세균 및 음식물 찌꺼기에 노출되지 않도록 만들어 충치를 예방하는 실란트(홈메우기)를 하였습니다.
실란트(홈 메우기)는 만 18세 이하의 충치가 없는 영구치 제 1, 2큰 어금니만 해당됩니다.
치료 전후 구내사진 입니다.
치료 후 완벽하게 수복하여 치아 내부를 보호하고 있는 모습을 볼 수 있습니다.
이상 충치로 인해 부분보철을 진행한 환자의 부산충치치료 사례였습니다.
키다리아저씨치과에 오시는 길은 연제구 연산동 연산역 17번출구 바로 앞 건물 5, 6층입니다.
치과교정과 전문의(부산대 외래교수)와 통합치의학과 전문의(서울대학교 졸업) 2명이 상주하며 교정치료와 일반치과치료를 협진하여 진료합니다.
<위 사진은 환자분의 동의를 구한 후 공개하는 사진자료입니다. 사진은 과장이나 조작이 없는 원본사진입니다. 교정치료로 인한 부작용으로는 치근흡수, 충치, 치아변색, 실활 등이 있을 수 있으며, 치료 전후 사진은 의료법 제 23조, 제 56조에 의거하여 게재합니다. 개인의 상태에 따라 치료결과는 달라질 수 있으므로, 교정전문의와 상의를 요합니다.>
































댓글