부산연산역치아교정치과 키다리아저씨치과에서 시행한 비발치 돌출입 교정 치료사례(feat. 유학생 교정)
- 키다리아저씨치과

- 4월 13일
- 3분 분량
"미니스크류를 이용한 투명교정장치에 관한 논문"으로 2023년도 Angle orthodontist(미국의 교정학회지) SCI 저널에 제 1저자로 게재되었습니다.
"2023년 대한치과 교정학회에서 표창장을 수여하였습니다."
"2023년 세계 구순구개열 학회에서 포스터 발표를 하였습니다."
항상 공부하고 노력하는 키다리아저씨치과가 되겠습니다.
안녕하세요.
오늘 부산연산역치아교정 키다리아저씨치과에서 소개해 드릴 환자분은 돌출입으로 입매를 개선하고자 했던 환자분입니다.
나이 : 22세
총 치료기간 : 11개월
사용한 장치 : 자가결찰 세라믹(엠파워 클리어) + 미니스크류
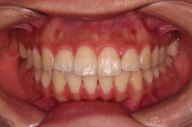
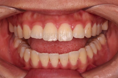
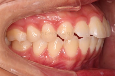
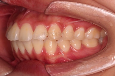
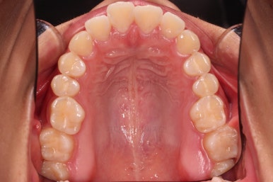
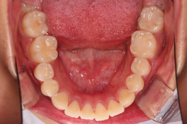
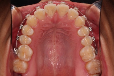
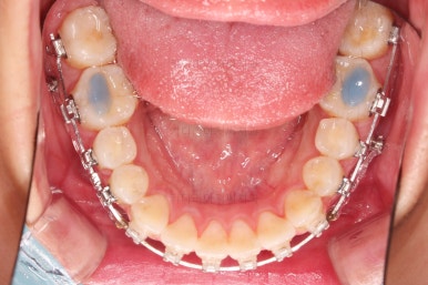
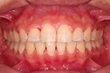
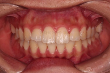
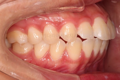
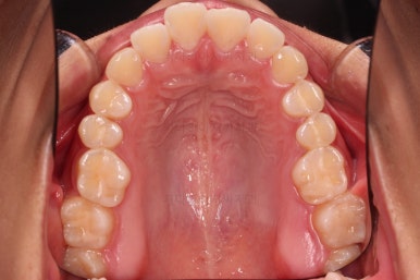
1. 초진 시 입안의 모습 평가
부산연산역치아교정 키다리아저씨치과에 처음 내원했을 당시의 입안의 모습이비다.
앞니 약간, 어금니쪽 약간 삐뚤어진 것, 그리고 위아래 앞니가 약간 뻗쳐 보이는 양상 이외에는 매우 가지런해 보여서 교정치료를 굳이 왜 하시려고 하지? 라고 생각될 정도의 치열 상태였습니다.
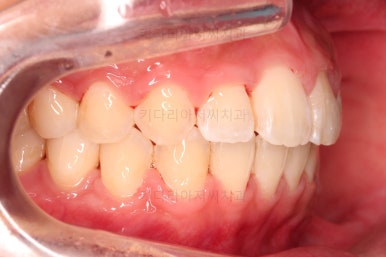
2. 초진 시 얼굴 모습 평가
마찬가지로 초진 시 얼굴모습인데요.
이제서야 왜 교정치료를 하고자 하는지 이유가 밝혀집니다.
웃거나 말할 때 드러나는 치열의 모습도 굉장히 가지런한 편에 속하는데요.
앞니쪽이 뻐드러진 느낌, 그래서 부각되어 보이는 양상이었고요.
입을 다물었을 때, 특유의 돌출감으로 입술 주위 ~ 턱끝 주위에 힘이 들어가서 입매가 어색해 보이는 특징이 있었습니다.
그리고 입을 다물었을 때 입술 부위가 튀어 나와서 미적으로 좋지 못한 양상이었습니다.
그래서 환자분이 교정치료를 하고자 하는 원인도 매우 심플했습니다.
"입 들어가고 싶어요."
3. 치료계획의 수립 및 목표 설정
🦷 발치 vs 비발치
앞서 여러 포스팅에서도 말씀 드린 바 있는데요.
발치를 하는 이유는 거의 대부분 "공간확보" 목적입니다.
그러면 공확보를 왜 하느냐?
치열이 많이 삐뚤 때
돌출입 정도가 많을 때
앞니 각도가 많이 뻗쳐 있을 때
정도의 이유가 있습니다.
이 분 같은 경우는 돌출입 정도가 많아 원하는 위치까지 입을 넣으려면 발치교정이 정답에 가까웠습니다.
그러나 변수가 생겼습니다.
1년 뒤에 유학갑니다. 한국에 잘 못올 것 같아요.
발치교정은 대부분 2년 ~ 2년 반 정도는 잡아야 하는데요.
1년 뒤에 유학을 간다면 1년 안에 교정을 끝내야 한다는 뜻인데요.
간혹 유학을 간 이후에도 상황에 따라 몇 달에 한 번씩 입국하시는 경우에는 아주 큰 탈 없이 교정치료를 이어가는 경우가 있지만, 이번 환자분의 경우에는 유학간 이후에는 몇 년간 한국에 입국을 거의 안할 계획이어서 무조건 1년 안에 교정치료를 끝내야 했던 상황이었습니다.
어쩔 수 없이 비발치로 계획을 잡았고, 치료 목표는 1년의 D-day를 정해 놓고 하는데까지 최선을 다 해 입을 넣어보자. 대신 발치교정한 만큼의 결과를 원하지는 마시고 1년치의 결과는 수용하자. 라고 환자분과 보호자분까지 말씀을 나누고 부산연산역치아교정 치료를 진행하였습니다.
4. 치료과정 및 경과
철사 교정의 경우 일반적으로 3단계로 진행이 구분되는데요.
가지런하게 한다 - 뒤로 당긴다 - 디테일한 마무리를 한다 인데요.
이번 환자분은 3단계 구분이고 뭐고 거의 처음부터 뒤로 밀어줘야 그나마 최대한 입을 넣을 수 있었습니다.
내원주기도 간으한 타이트하게 조절해 드렸고요.
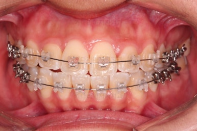
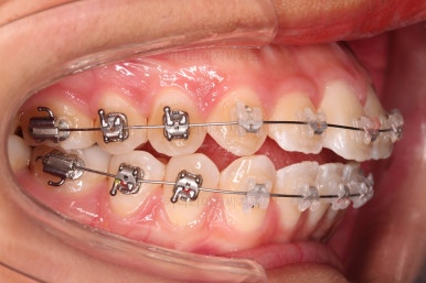
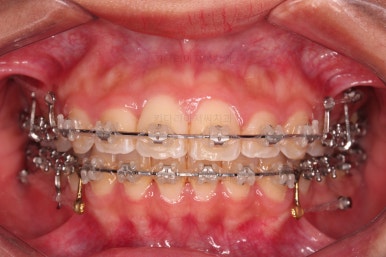
이번 환자분이 선택한 장치는 엠파워 클리어라고 하는 자가결찰 세라믹 장치입니다.
흔히들 아시는 클리피씨 장치와 동일한 종류의 장치인데, 제조국이 일본(클리피)이냐 미국(엠파워)이냐의 차이가 있습니다.
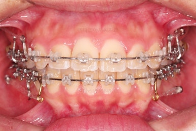
장치 부착 직후의 얼굴 모습입니다.
장치가 주는 느낌과 장치를 부착해서 변하는 입매의 느낌 참고 바랍니다.
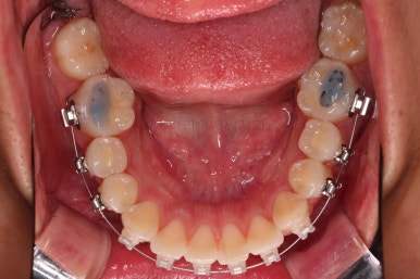
부산연산역치아교정 치료한지 5개월째 사진입니다.
빠른 시일 내에 가지런하게 되었고, 사랑니도 발치를 했으며, 통째로 뒤로 밀어주기 위한 미니스크류 세팅도 끝난 상황입니다.
주기적으로 내원하면서 뒤로 당기는 힘 조절만 해주면 되는 단계입니다.
8개월째 사진입니다.
이제 약 4~5개월의 시간만 남았을 뿐입니다.
분명 처음보다는 좋아지고는 있으나 많이 아쉽습니다.
여기서 약간의 변화만 생기고 종료할 수 밖에 없다면,(물론 모두 수용하기로 하고 시작하였고, 환자분은 만족하실 수 있겠지만) 매우 아쉬움이 큰 치료였을 법 합니다.
일단 무조건 당깁니다.
1, 2, 3단계고 뭐고 디테일한 마무리고 뭐고 전부 동시에 진행합니다.
당기기-마무리 같이 진행하면서 할 수 있는 최선을 다해 뒤로 당겨줍니다.
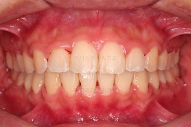
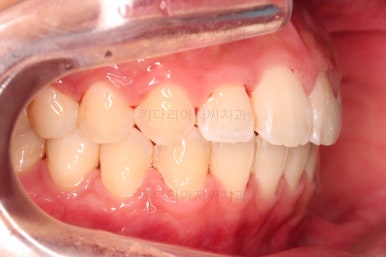
5. 마무리와 치료 종료
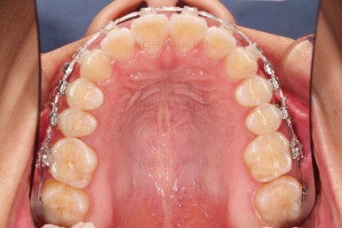
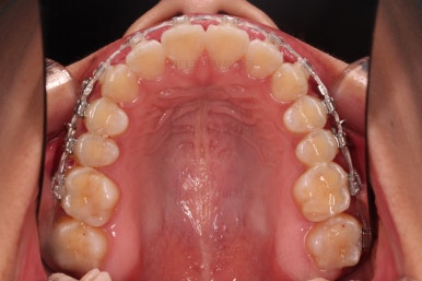
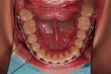
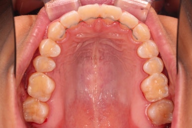
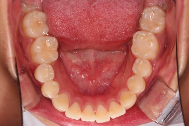
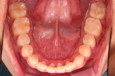
마무리가 잘 되었습니다.
큰 문제는 없었지만, 약간 삐뚤었던 치열이 가지런하게 정렬이 잘 되었고요.
맞물림도 매우 좋고, 뻗친 앞니 각도도 매우 좋아졌습니다.
입 안의 모습만 보면 최상급의 마무리가 되었고요.
이제 얼굴모습 변화 비교해 보겠습니다.
6. 전후 사진 비교
입매가 매우 좋아졌습니다.
과연 11개월의 치료결과가 맞나 싶을 정도로 깜짝 놀랄만큼 만족스러운 치료결과였는데요.
환자분은 모르겠지만, 특정 한 포인트만 개선되면 매우 좋아질 수 있다는 중요 포인트가 있었는데 그 부분이 완벽해졌습니다.
그래서 입이 실제로 발치교정만큼 많이 들어가지는 않았는데, 그 포인트 위주로 치료를 하니 결과물이 굉장히 좋아졌던거죠.(그 포인트가 뭔지는 영업비밀입니다😀)
마무리 후에 사진을 같이 보며, 환자분께는 농담 반 섞어서 상황때문에 어쩔 수 없이 비발치로 결정했지만, 오히려 발치를 안하길 잘했다는 생각이 든다라는 말씀까지 드릴 정도로 만족스러운 치료결과를 얻을 수 있었습니다.
앞으로의 유학생활과 창창한 앞날을 기원합니다.
이상 부산연산역치아교정 키다리아저씨치과에서 시행한 비발치 돌출입 교정치료였으며, 유학을 앞두고 매우 짧은 기간안에 치료를 성공적으로 마무리를 한 치료사례였습니다.
부산 연산동 교정치과 키다리아저씨치과에 오시는 길은 연제구 연산동 연산역 17번출구 바로 앞 건물 6층입니다.
치과교정과 전문의(부산대 외래교수)가 상주하며 교정치료 합니다.
<위 사진은 환자분의 동의를 구한 후 공개하는 사진자료입니다. 사진은 과장이나 조작이 없는 원본사진입니다. 교정치료로 인한 부작용으로는 치근흡수, 충치, 치아변색, 실활 등이 있을 수 있으며, 치료 전후 사진은 의료법 제 23조, 제 56조에 의거하여 게재합니다. 개인의 상태에 따라 치료결과는 달라질 수 있으므로, 교정전문의와 상의를 요합니다.>

























































































































댓글