부산연산동치아교정 키다리아저씨치과의 청소년기 성장교정 + 치열 + 충치치료
- 키다리아저씨치과

- 2025년 9월 8일
- 2분 분량
안녕하세요.
오늘 부산연산동치아교정 키다리아저씨치과에서 소개해 드릴 환자분은 청소년기 환자분으로 앞니가 고르지 못하고 튀어나와있다고 내원하신 분입니다.
나이 : 15세
총 치료기간 : 2년(총 24개월)
사용한 장치 : 자가결찰 메탈(엠파워 메탈, Empower metal) + 트윈포스
초진 때의 얼굴 모습이에요.
얼굴 모습만 보면 크게 문제가 없어보여요.
옆 모습에서 윗입술 + 아랫입술이 모두 뒤로 약간 들어간 형태지만 크게 나쁘지 않아요.
이번 환자분의 경우는 아빠가 서양인(백인), 엄마가 한국인이었는데요.
(인종을 굳이 언급드리는 이유는 입술 위치에 대한 인종별 기준이 약간 차이나기 때문이죠. 억지로 동양인의 옆 라인에 맞출 이유가 없고, 동양인의 관점으로 보면 어색할 수도 있지만 가려진 코~눈까지 모두 고려하면 나쁘지 않은 입매입니다.)
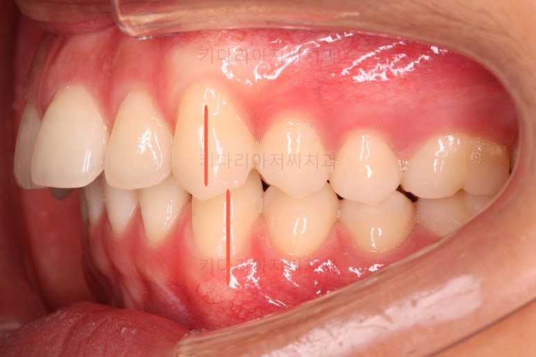
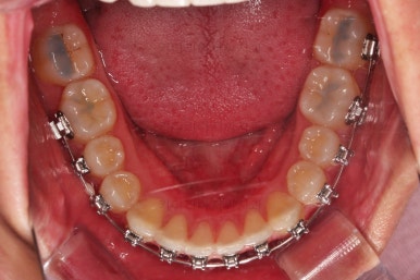
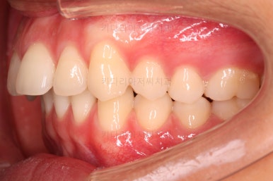
이번에는 입 안의 모습인데요.
얼굴만 봤을 때는 잘 안보이던 모습이 보이네요.
윗니는 살짝 삐뚤어져 있고요. 아래 앞니는 듬성듬성 틈이 있네요.
두번째 줄 오른쪽 사진을 보시면 윗니~아랫니가 서로 앞뒤로 멀어서 윗니가 툭 튀어나온듯한 느낌을 줘요.
결국 문제의 출발은 위턱과 아래턱의 위치가 조화롭지 못한 앵글씨 2급 부정교합 이었기 때문입니다.
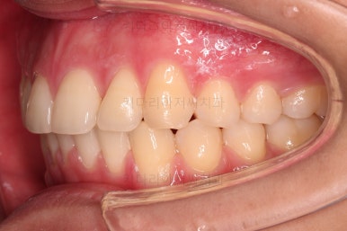
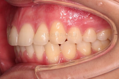
옆 사진만 따로 볼게요.
교합에서 중요한 치아의 송곳니의 위치를 보면 윗니 송곳니가 아래 송곳니보다 앞에 나와있는 걸 볼 수 있어요.
원래 정상은 어디냐?
윗니 송곳니 위치 = 아래 송곳니와 그 다음 치아의 사이
즉, 윗니가 아래 보다 반치아 정도 뒤에 있어야 교합이 맞아요.
그런데 이번 환자분은 거꾸로죠?
이러한 교합을 앵글씨 2급 부정교합이라고 해요.
윗니가 앞쪽에 혹은 아랫니가 뒤쪽에 위치해서 그런데요.
결과적으로는 윗니 앞니가 굉장히 튀어나와 보이죠.

성장판 검사
저희 부산연산동치아교정 키다리아저씨치과에서는 Greulich-Pyle법을 이용해서 성장판 검사를 하고 있습니다.(아마 이 방법으로 분석하는 치과는 저희 치과가 유일할 것입니다. ^^)
이번 환자분의 경우 만약 성장이 남아있었다면 아래턱을 약간 앞으로 키워주는 방식으로 교합을 맞춰주었을텐데요.
아쉽게도 성장이 거의 끝나가고 있었답니다.
따라서 턱뼈의 성장은 힘들고 최대한 남아있는 성장을 활용해주면서 치여를 적극적으로 서로서로 끌어당겨주어 교합을 개선하기로 했어요.
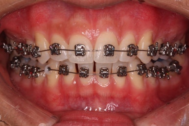
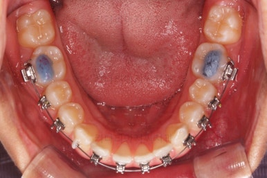
우선 치열교정을 위해서 장치를 부착했어요.
이번에 사용한 장치는 엠파워 메탈이라고 하는 자가결찰 금속 장치였어요.
치열을 빠른 시일 내에 어느 정도 가지런하게 해주고요.
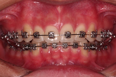
이번에는 위아랫니를 서로 끌어주어 교합을 맞춰주는 과정이에요.
일반적인 성장교정장치와는 다른데요.
장치 이름은 "트윈포스"라고 하는 장치이며 비슷한 컨셉의 다양한 종류의 장치가 있어요.
착탈이 가능한 장치는 아니고, 부착형 장치입니다.
입을 벌리면 위아래를 가로지르는 커다란 금속 구조물이 있죠.
보호자분 : "이걸 끼고 식사가 가능한가요?"
키다리 : "당연하죠. 아이들은 위대하답니다."
당연히 없는 것 보다는 불편하겠지만 생각보다 적응을 잘 해요.
보호자분 : "불편해서 안하고 싶어하면 어떻게 하죠?"
키다리 : "불편하면 제거해야죠. 대신에 잇몸뼈에 나사못(미니스크류)을 여러 개 하면 됩니다.
환자분 : "잘할께욧!"
격한 움직임으로 식사를 하시는 분들은 한 번씩 장치가 빠지거나 끊어져서 오기도 하지만 효과는 좋은 장치에요.
윗니 송곳니가 아래 송곳니보다 서서히 뒤로 가고 있는게 보이실거에요.
좀 더 개선되면 되겠네요.
교합이 거의 개선되어서 트윈포스 장치는 제거하고요.
좀 더 디테일을 맞춰고 끝내기로 했습니다.
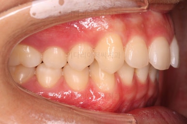
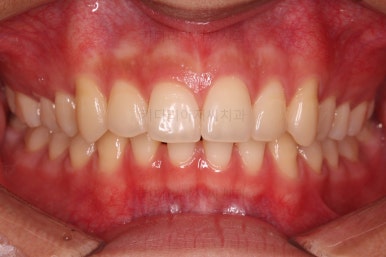
치료 종료시의 모습이에요.
교합도 매우 좋아졌고 앵글씨 2급 부정교합은 완벽히 개선되었어요.
치열도 가지런해졌고, 앞뒤로 멀던 앞니도 가까워졌어요.
아래쪽 맨 뒤 어금니에 교정기간동안 충치가 생겼는데 간단히 치료 후 마무리를 하였습니다.(치료 후 사진은 없네요.)
치아교정과 충치치료 병행 진료가 가능한 부산연산동치아교정 치과라서 큰 장점이에요.
전후 사진을 보실게요.
앵글씨 2급 부정교합 때문에 아랫입술 하방이 꺼져보이던 형태가 개선되었어요.
교합도 좋아졌고, 가지런해졌으며 튀어나와 보이던 윗니 앞니의 느낌도 많이 좋아졌네요.
이상 부산연산동치아교정 성장이 완료되어가는 청소년 성장기 환자분의 치열교정 및 충치치료 사례였습니다.
키다리아저씨치과에 오시는 길은 연제구 연산동 연산역 17번출구 바로 앞 건물 5, 6층입니다.
치과교정과 전문의(부산대 외래교수)와 통합치의학과 전문의(서울대학교 졸업) 2명이 상주하며 교정치료와 일반치과치료를 협진하여 진료합니다.
<위 사진은 환자분의 동의를 구한 후 공개하는 사진자료입니다. 사진은 과장이나 조작이 없는 원본사진입니다. 교정치료로 인한 부작용으로는 치근흡수, 충치, 치아변색, 실활 등이 있을 수 있으며, 치료 전후 사진은 의료법 제 23조, 제 56조에 의거하여 게재합니다. 개인의 상태에 따라 치료결과는 달라질 수 있으므로, 교정전문의와 상의를 요합니다.>





























































































댓글