부산연산동치과 키다리아저씨치과의 교정치료 + 임플란트 치료사례
- 키다리아저씨치과

- 2025년 12월 3일
- 3분 분량

"미니스크류를 이용한 투명교정장치에 관한 논문"으로 2023년도 Angle orthodontist(미국의 교정학회지) SCI 저널에 제 1저자로 게재되었습니다.
항상 공부하고 노력하는 키다리아저씨치과가 되겠습니다.
안녕하세요.
오늘 부산연산동치과 키다리아저씨치과에서 소개해 드릴 환자분은 결손치아가 몇 개 있어서 교정치료와 임플란트를 병행치료 받으셨던 환자분입니다.
나이 : 33세
총 치료기간 : 1년 10개월(총 22개월, 임플란트 최종 완료까지)
사용한 장치 : 자가결찰 세라믹(데이몬 클리어, Damon clear) + 미니스크류 + 오스템 임플란트

부산연산동치과 초진 시 파노라마 X-ray 사진입니다.
화살표 부분이 결손치아 부분입니다.
우측의 화살표 부분은 임플란트를 하면 되는데, 좌측의 화살표 부분은 임플란트를 못합니다.
뒤쪽 어금니들이 앞으로 쓰러져서 그런데요.
그렇다고 그냥 두면 뒷치아들은 더 기울어져 쓰러지게 돼요.
쓰러진 치아는 씹는 힘이 제대로 전달되지 못해 치아 수명이 굉장히 짧아지게 됩니다.
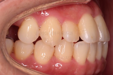
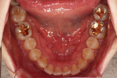
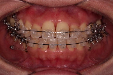
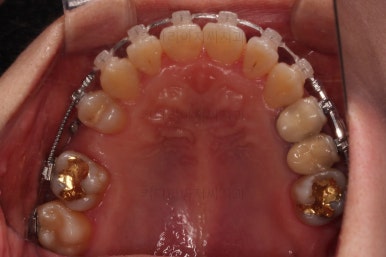
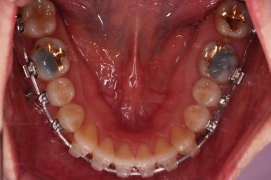
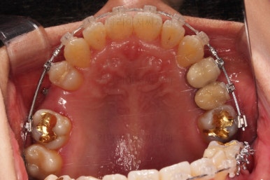
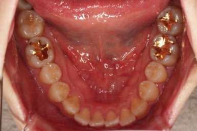
초진 시, 입안의 모습이에요.
결손부위가 눈에 띄고요.
결손부위가 양쪽에 있다보니 윗니 중간에 틈새가 벌어졌네요.
뒤쪽의 빈공간으로 치아들이 도미노처럼 쓰러져서 그렇습니다.
따라서 치아를 상실하게 되면 임플란트 등 적절한 조치를 즉시 취해주는 것이 가장 좋습니다.
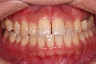
앞니의 약간의 틈새, 약간의 삐뚤어짐, 약간의 중앙선 틀어짐 등 심하진 않으나 약간씩의 문제점들이 있네요.
얼굴모습입니다.
약간의 돌출감 특히 아랫입술의 돌출감이 눈에 띄고요.
웃거나 말할 때 약간의 삐뚤어짐과 약간의 틈새가 심미성을 떨어뜨립니다.
치아가 없으면 임플란트? NO!!
저희 부산연산동치과 키다리아저씨치과에서는 제한된 치료계획만을 세우진 않습니다.
만약 이 환자분이 교정치료를 안하시는 치과에 갔담ㄴ?
우측 결손부위는 바로 임플란트, 좌측 결손부위는 앞뒤 치아를 깎는 브릿지? 혹은 공간을 약간 넓혀주는 부분교정 후 임플란트
정도의 치료계획을 수행했을텐데요.
임플란트는 한 번 식립되면 제거하기 전까지는 교정치료가 불가능하기 때문에, 임플란트 이후에 앞니쪽을 비롯한 교정치료를 하려면 한계까 많은 치료를 할 수 밖에 없습니다.
이번 환자분께 제시해 드린 치료계획은 다음과 같습니다.
1번 옵션 : 작은 어금니 부분교정으로 공간확보 후, 임플란트 + 반대쪽 최후방 어금니 임플란트(하거나 말거나)
-> 장점 : 기간이 빠르다 / 단점 : 임플란트를 해야한다. 앞니 등 교정은 못한다.
2번 옵션 : 전체교정 + 작은 어금니 임플란트 + 반대쪽 최후방 어금니 임플란트(하거나 말거나)
-> 장점 : 전체교정 가능, 그 중에 가장 빠름 / 단점 : 임플란트를 해야한다.
3번 옵션 : 아랫니 작은 어금니 추가 발치 후 모든 공간폐쇄
-> 장점 : 입매 들어갈 수 있다. 임플란트 안해도 된다. / 단점 : 기간이 길 수 있다.(2년 이상?)
4번 옵션 : 작은 어금니 부분은 사랑니까지 당겨와 공간폐쇄 + 반대쪽 최후방 어금니 임플란트(하거나 말거나)
-> 장점 : 임플란트 갯수 줄일 수 있다. / 단점 : 기간 가장 오래 걸림
5번 옵션 : 교정 아예 없이 작은 어금니 브릿지 + 반대쪽 최후방 어금니 임플란트(하거나 말거나)
-> 장점 : 기간이 교정에 비할 수 없을만큼 빠르다. / 단점 : 치아 삭제량이 많다.
당연히 복잡할 수 있고 어떤 걸 선호하시는지를 파악합니다.
기간을 중요시 하느냐? 임플란트를 안하는게 좋으냐? 기타 부위도 교정하고 싶으신가?
사랑니까지 당겨와서 공간을 모아본 시뮬레이션도 보여드리고, 사랑니 발치 후 공간확보 한 모습도 시뮬레이션으로 해서 보여드립니다.
다양한 논의와 시각적 시뮬레이션을 통해 의사결정을 해 나갑ㄴ디ㅏ.
전체교정은 하고 싶고, 비교적 기간은 짧았으면 좋겠고, 임플란트는 해도 상관없어요. 대신 중앙선은 맞췄으면 좋겠어요.
환자분의 니즈를 가장 만족하는 치료 옵션은 2번 옵션이였습니다.
공간확보를 한 뒤 임플란트 1개 혹은 2개를 합니다.
왜 1개 혹은 2개냐?
사실 윗니는 아랫니에 비해 1개 갯수가 모자라도 아주아주 큰 문제는 없이 교합을 맞출 수 있어요.
대신에 중간에 치아가 없으면 주위 치아들이 쓰러지고 수명이 짧아지니 뭔가를 무조건 해야 되는 것이고요.
마무리 시점에서의 상황, 선호도, 경제적 상황 등 모든 것을 종합적으로 고려해서 1개 혹은 2개를 하기로 여지를 남겨두었습니다.
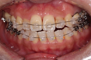
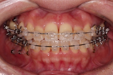
환자분이 선택하신 장치는 데이몬 클리어라고 하는 자가결찰 세라믹 장치입니다.
자가결찰 세라믹 중에 가장 심미적으로 우수한 장치가 데이몬 클리어인데요.
철사를 제외한 모든 파트가 세라믹으로 되어있습니다.
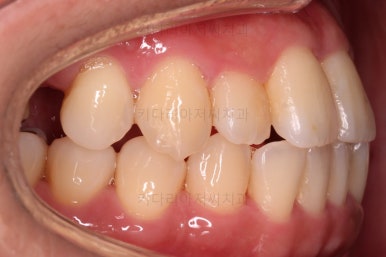
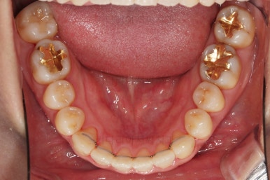
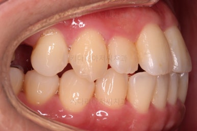
장치를 부착한 모습 참고해 주시고요.
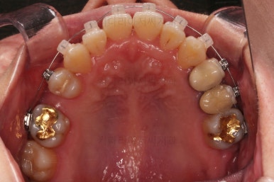
아랫니는 중앙선을 맞추기 위해서 미니스크류를 이용해 한 쪽으로 당기는 중이고요.
이 과정에서 아랫니들이 약간은 뒤로 들어가져서 아랫입술 부위의 돌출감을 아주 약간은 줄일 수 있습니다.
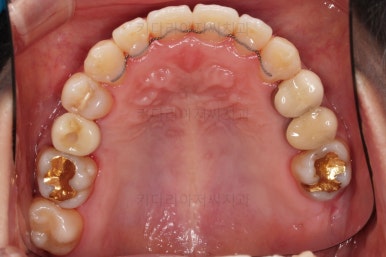
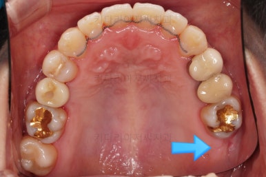
윗니 임플란트 할 자리는 적절히 계속 맞춰줍니다.
중앙선도 점점 맞아지고 있어요.
임플란트 할 공간도 여유롭게 마련이 되었네요.
임플란트는 뿌리 부분 식립 -> 3~6개월 기다림(뼈와 임플란트가 단단히 붙을 시간이 필요) -> 머리 부분을 완성하고 마무리
따라서 교정치료가 100% 끝나기 전에, 임플란트 공간만 마련되면 바로 식립을 하게 됩니다.
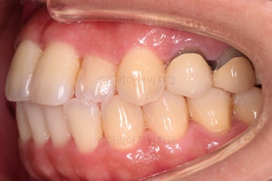
임플란트 뿌리 부분이 먼저 식립되었고요.
뼈와 잘 붙으라고 잇몸을 잘 꼬메어 줍니다.
최종 보철이 올라갈 3~6개월 기간동안 디테일한 조절을 더 해주고 교정과 임플란트를 동시에 마무리 합니다.
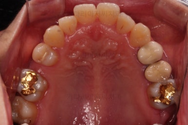
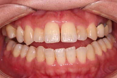
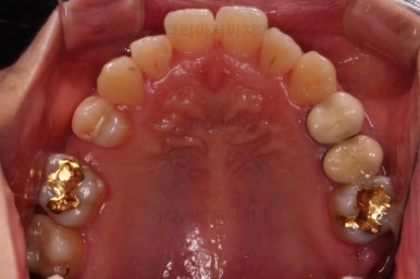
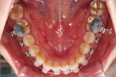
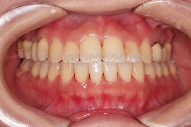
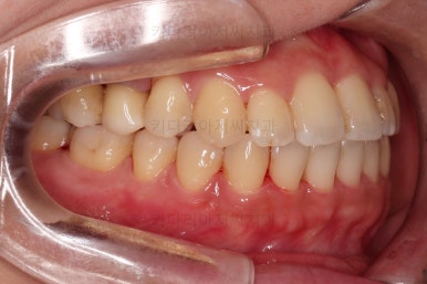
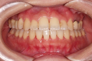
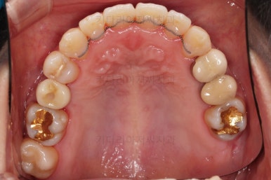
임플란트 보철이 깔끔하게 들어갔고, 교정치료도 마무리가 되었습니다.
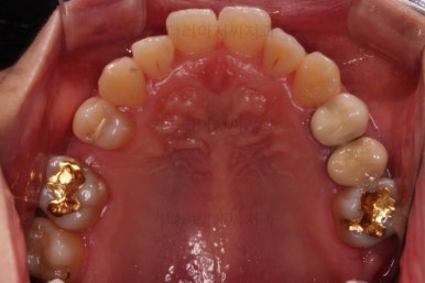
화살표 부분은 임플란트가 안들어갔는데요.
약간의 우여곡절이 있긴했었지만 엄밀히 따지면 위아래가 지그재그로 껴들어가는 교합의 특성상 윗니는 1개 모자라도 교합에는 크게 문제가 없답니다.
해당 부분을 임플란트를 해주면 좋겠지만 환자분도 충분히 고민 후에 원하실 때 식립을 하기로 마무리르 하였습니다.
부산연산동치과 전후 사진을 비교해 보겠습니다.
총 22개월 걸렸고, 임플란트는 1개로 마무리를 했습니다.
처음에 충분히 다양한 치료옵션을 제시해 드렸었고, 입을 넣느냐/마느냐 임플란트를 안하느냐/1개를 하느냐, 기간이 많이 걸리느냐/적게 걸리느냐 등 다양한 관점에서 가장 합리적이다라고 판단되는 옵션을 선택하시어 그에 부합하는 치료로 마무리가 되었습니다.
이상 부산연산동치과 치아 상실의 경우 치아교정과 임플란트를 병행 치료했던 사례였습니다.
키다리아저씨치과에 오시는 길은 연제구 연산동 연산역 17번출구 바로 앞 건물 5, 6층입니다.
치과교정과 전문의(부산대 외래교수)가 상주하며 교정치료 합니다.
<위 사진은 환자분의 동의를 구한 후 공개하는 사진자료입니다. 사진은 과장이나 조작이 없는 원본사진입니다. 교정치료로 인한 부작용으로는 치근흡수, 충치, 치아변색, 실활 등이 있을 수 있으며, 치료 전후 사진은 의료법 제 23조, 제 56조에 의거하여 게재합니다. 개인의 상태에 따라 치료결과는 달라질 수 있으므로, 교정전문의와 상의를 요합니다.>















































































































댓글