부산교정 + 충치 + 사랑니 발치 통합치료가 가능한 키다리아저씨치과 치료사례
- 키다리아저씨치과

- 2025년 8월 19일
- 2분 분량
안녕하세요.
오늘 키다리아저씨치과에서 소개해 드릴 환자분은 어금니가 썩었는데 충치치료가 불가능하다는 말씀을 듣고 치열 교정과 충치를 통합치료할 방법을 찾아 내원하신 환자분입니다.
나이 : 16세
총 치료기간 : 1년 6개월(총 18개월)
사용한 교정장치 : 자가결찰 메탈(엠파워 메탈, Empower metal) + 미니스크류
충치치료 방법 : 금 인레이, GI(보험재료)
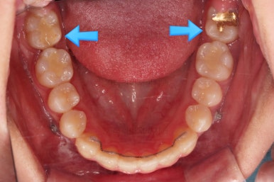
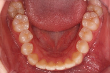
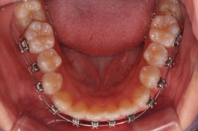
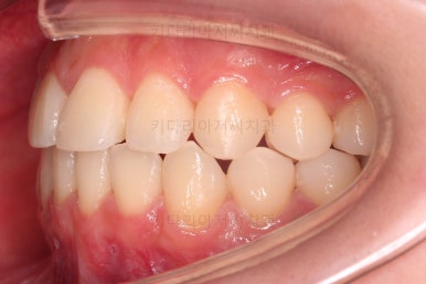
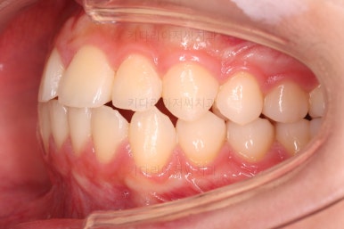
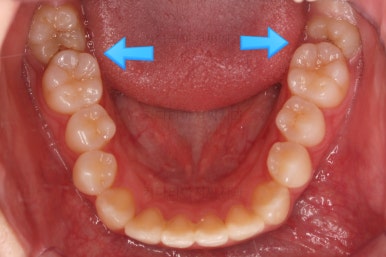
부산교정 키다리아저씨치과에 처음 내원하셨을 당시의 입안 모습과 X-ray 사진입니다.
보호자분 : "어금니가 썩었다는데, 치료가 힘들대요. 방법이 없나요?"
키다리 : "어금니가 양쪽 다 굉장히 앞으로 쓰러져 있어서 현재로서는 제대로 치료할 방법이 없습니다."
보호자분 : "저 치아들은 사랑니 아닌가요?"
키다리 : "사랑니는 더 뒤에 또 묻혀있고, 입안에 쓰러진 채로 보이는 치아는 평생 써야 할 어금니에요."
보호자분 : "그럼 어떻게 해야 하나요?"
맨 안쪽 치아가 마치 사랑니인 것처럼 누워있고 애매하게 나와있었어요.
문제는 해당 치아가 썩었다는건데, 기울어있는 치아를 제대로 치료할 방법은 사실상 없죠. 앞에 치아에 가려진 부분이 썩었으니깐요.
저대로 계속 놔두게 되면 누워있는 어금니 + 앞쪽 어금니 두 개 다 상해서 결국 뽑아야 되는 상황까지 벌어질 수 있어요. 그것도 양쪽으로 모두 다요.
치료방법은 다음과 같습니다.
누워있는 치아(+사랑니)를 뽑고 임플란트를 한다.(혹은 그냥 내버려둔다.)
사랑니를 뽑고 누워있는 치아를 바로 세운 뒤(교정치료) 충치치료를 해서 오래오래 사용한다.
간혹 어금니를 뽑고 임플란트 없이 뒤에 있는 사랑니를 당겨와서 쓰는 교정치료를 하기도 하는데요.
하지만 이번 환자분의 경우 기울어진 치아에 사랑니가 어부바하듯이 올라탄 형태라 어금니를 당겨오는 방법도 적절하지 않은 상황이었어요.
결국 치아교정을 통해 위치를 바로 잡아주기로 했습니다.
초진 시 다른 부위들 사진입니다.
약간의 주걱턱 느낌에 약간의 돌출감, 전반적인 치열의 가지런한 느낌은 나쁘지 않았지만 약간의 불량한 교합상태였어요.
다른 부분은 크게 바꾸지 말고 약간의 교합조절과 어금니 치료에 초점을 맞춰서 교정치료 계획을 잡았습니다.
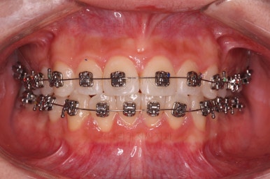
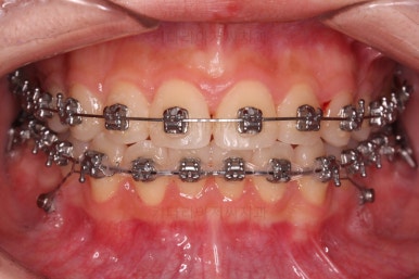
이번에 사용한 장치는 엠파워메탈이라고 하는 자가결찰(철사를 잡아주는 뚜껑이 달려있는) 메탈(금속 성분) 장치였어요.
매우 장점이 많으나 심미성과 재료제작 비용 때문에 상대적으로 저렴한(이것도 장점일 수 있죠.) 장치입니다.
장치를 부착했을 때 입이 나오는 느낌, 웃을 때 느낌은 참고해 주세요.
사랑니 발치는 별도의 스케줄로 진행되었습니다.
(부산교정 키다리아저씨치과는 사랑니를 잘 뽑으시는 원장님이 계십니다.)
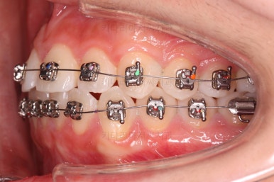
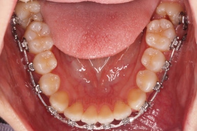
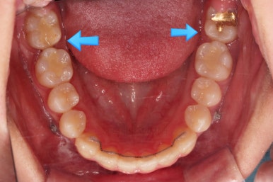
쓰러져 있던 치아도 장치를 부착하여 일으켜 세워주는 힘을 줍니다.
자칫 나머지 치열이 틀어질 수 있기 때문에 아랫니에는 미니스크류를 이용해서 반작용을 막아줍니다.
점점 뒤쪽 치아가 바로 일으켜 세워지고 있네요.
생각보다 많이 썩은 상태였어요.
앞쪽 치아 하방으로 갇혀 있으신 훨씬 심각한 상태까지 충치가 진행되었던거죠.
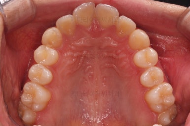
우측 상단에 보이던 어금니도 바로 세운 뒤, 치료를 했습니다.(골드 인레이)
왼쪽 상단으로 보이던 치아도 치료를 했어요.
좌우의 치아가 재료가 차이가 나는데 한 쪽은 튼튼하고 오래 쓸 수 있고, 광범위한 부위에 맞는 인레이라는 치료방법이고요.
왼쪽 치아도 인레이가 추천되는 상황이었지만 경제적인 사정을 고려해서 일단은 건강보험이 적용되는 재료인 GI(지아이)라는 재료로 치료를 했어요.
성질이 약한 단점이 있어서 주기적인 체크가 굉장히 중요합니다.
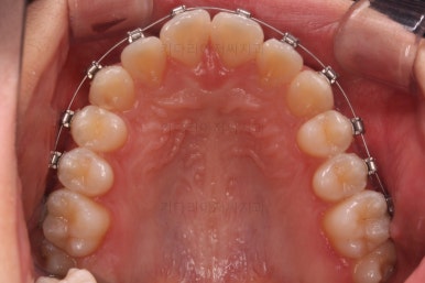
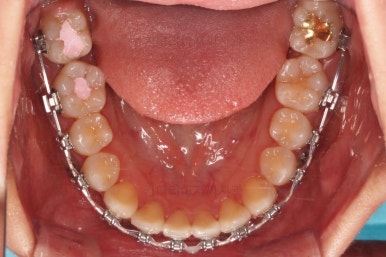
기타 부위들의 디테일을 좀 더 맞춰주고 치료를 종료합니다.
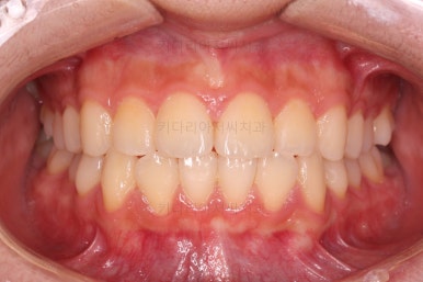
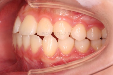
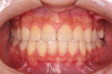
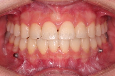
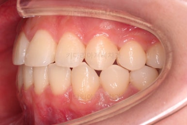
전후사진을 비교해볼게요.
약간의 주걱턱, 돌출입은 고칠 의사가 없어서 그대로 유지하였고 주걱턱 패턴으로 인한 부정교합 부분을 개선했으며 무엇보다 중요한 것은 쓰러져서 많이 썩어있던 치아를 자칫 치료 못할 뻔 했는데 교정치료와 병행하여 훌륭하게 치료하여 살려 썼다는 점이었어요.
그리고 사랑니 발치 + 충치치료 + 교정치료 모든 것이 키다리아저씨치과 한 곳에서 다 가능하다는 점이 저희 치과의 매우 큰 장점이지요.
키다리아저씨치과에 오시는 길은 연제구 연산동 연산역 17번출구 바로 앞 건물 5, 6층입니다.
치과교정과 전문의(부산대 외래교수)와 통합치의학과 전문의(서울대학교 졸업) 2명이 상주하며 교정치료와 일반치과치료를 협진하여 진료합니다.
<위 사진은 환자분의 동의를 구한 후 공개하는 사진자료입니다. 사진은 과장이나 조작이 없는 원본사진입니다. 교정치료로 인한 부작용으로는 치근흡수, 충치, 치아변색, 실활 등이 있을 수 있으며, 치료 전후 사진은 의료법 제 23조, 제 56조에 의거하여 게재합니다. 개인의 상태에 따라 치료결과는 달라질 수 있으므로, 교정전문의와 상의를 요합니다.>


















































































댓글