부산어린이반대교합 키다리아저씨치과의 치료사례(feat. 치아 공간유지장치)
- 키다리아저씨치과

- 2025년 10월 17일
- 3분 분량
키다리아저씨치과는 치과교정과 전문의(부산대 외래교수)와 통합치의학과 전문의 원장님이 상주하며 협진하는 치과입니다. 부분교정에서부터 난이도 높은 교정진료는 교정과 원장님이 진료를 하며, 임플란트, 사랑니발치, 충치치료, 틀니 등 일반진료는 통합치의학과 전문의 원장님이 진료합니다.
교정과 일반진료의 협진으로 자기치아를 최대한 아끼고 오래 쓰는 방법을 고심하며 수준 높은 진료를 제공합니다.
안녕하세요.
오늘 부산어린이반대교합 키다리아저씨치과에서 소개해 드릴 환자분은 앞니가 거꾸로 물려서 교정치료를 원하셨던 환자분입니다.
나이 : 9세
총 치료기간 : 4개월
사용한 장치 : 메탈브라켓, 2x4교정(투 바이 포), 공간유지장치(band & loop)
초진 시 얼굴 모습이에요.
앞니가 거꾸로 물린다는 반대교합을 이유로 내원하셨는데 반대교합이라는 증상이 나타나는 이유를 찾아봐야 합니다.
위턱-아래턱뼈 자체의 문제인가? 주걱턱인가?
턱뼈는 양호한데 치아만의 문제인가?
뼈와 치아 둘 다의 복합 문제인가?
셋 중 정확한 원인을 찾아내야 적절한 치료가 가능합니다.

우선 턱뼈에 대한 크기, 위치, 비율을 X-ray 상에서 측정을 해봐요.
이번 환자분은 턱뼈의 문제는 전혀 없이 치아만의 문제라고 판단내렸습니다.
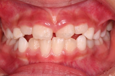
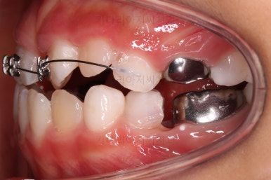
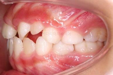
부산어린이반대교합 초진 시, 치열의 모습이에요.
우선 유치들이 많이 썩어서 치료가 필요해 보였고요.
앞니가 거꾸로 물려있고(아래 앞니가 위 앞니보다 앞으로 튀어나간 상황) 삐뚤어 있어요.
영구치 앞니가 거꾸로 물려있으면 발견 즉시 개선해줘야 합니다.
다른 치아는 삐뚤던 말던 거꾸로 물리던 말던 영구치 앞니가 거꾸로 나와있다면 무조건 서두르셔야 합니다.
거꾸로 물린 앞니가 아래턱을 앞으로 혹은 측방으로 밀어내어 없던 주걱턱도 생기고 없던 비대칭도 생긴답니다.
또 다른 문제점은 거꾸로 물린 앞니는 특히 아래앞니가 잇몸의 퇴축이 매우 심해지게 돼요.
상대저긍로 약한 아래 앞니 잇몸이 안좋은 방향으로 힘을 받으면서 잇몸이 퇴축되는데요. 장기적이 수명에 좋지 못해요.
또 다른 문제점은 잇몸 뿐만 아니라 치아 자체도 마모를 굉장히 많이 시켜요.
즉, 치아나이를 굉장히 늙게 만드는거죠.
또 다른 문제점은(또 다른 문제점이 너무 많네요....) 아래턱의 앞뒤좌우 움직임을 제한하여 씹는 기능이나 효율, 턱뼈의 성장이나 턱관절에도 좋지 못한 영향을 줘요.
환자분도 개선 필요성에 대한 충분한 공감을 하신 상태라 치료르 서둘러 진행하기로 했답니다.
보호자분 : "문제가 있어요."
키다리 : "무엇인가요??@@"
보호자분 : "6개월 뒤, 이민 가요."
키다리 : "오 마이 갓"
아무래도 전 세계에서 의료기술이나 비용, 접근성에서 압도적으로 장점이 많은 우리나라이다 보니 해외에 나가시기 전에 필요한 치과치료를 마치고 싶으셨다봐요.
교정치료를 하기에 촉박하다면 촉박한 시간적 압박을 주셨지만 최대한 해보기로 했답니다.
충치치료를 할 치아가 많았으나 교정치료도 급하기 때문에 병행해서 치료를 하기로 했어요.
교정 장치를 부착하고 치료가 필요한 치아는 소아치과와의 협진으로 치료를 해 나갔어요.
부산어린이반대교합 이번에 사용한 장치는 메탈 브라켓이며 테크닉적으로는 투 바이 포 교정이라고 합니다.(2x4)
삐뚤어진 앞니를 가지런히 하면서 아랫니 보다 뒤에 있는 윗니의 위치를 바로 잡아 주는거죠.
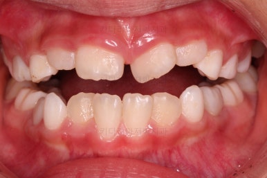
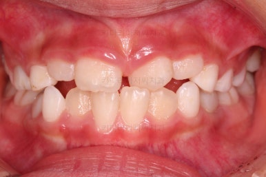
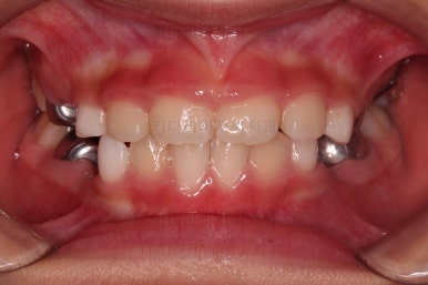
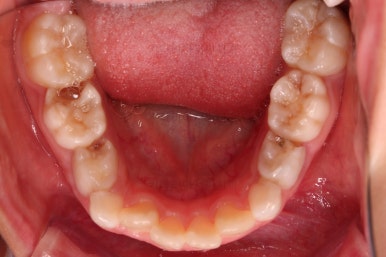
벌써 치료가 종료되었네요ㅎㅎ
총 4개월 걸렸습니다.
반대교합만 고쳐준 것이 아니라 기왕 하는김에 치열을 가지런히 해줬고요.
(아래 치열은 장치를 부착해주지도 않았는데 자연스럽게 처음보다 가지런해졌죠? ^^)
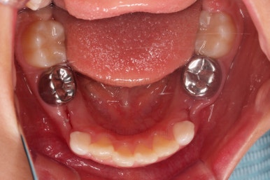
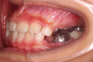
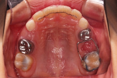
치료가 도저히 불가능한 유치는 발치를 하고, 대신 영구치가 나오기까지 매우 오래 걸릴 것으로 예상되어서 주위 치아들의 위치가 잘 유지되라고 공간유지장치를 해줬어요.
전문 용어로 band&loop라고 하는 이렇게 해줘야 추후에 또 다른 더 큰 문제가 생기지 않는답니다.
제 시기보다 한참이나 먼저 빠진 유치는 치아 공간유지장치를 꼭 염두에 두세요.
부산어린이반대교합 전후사진을 비교해 볼게요.
4개월만에 원하는 목표를 달성했고 충치도 다 치료했고 무사히 이민을 가실 수 있었답니다.
간단하지만 매우 중요한 치료를 만족스럽게 마무리 했어요.
ps. 추후에 유지장치 및 공간유지장치 관리가 중요한데 혹시나 문제가생긴다면 부산어린이반대교합 키다리아저씨치과 카카오톡 채널로 연락을 주시라고 말씀드렸었어요.
보통은 무소식이 희소식이긴 하지만, 시간이 많이 흐른 뒤에 멀리 해외에서 카톡이 왔어요.
보호자분 : "공간유지장치 부분으로 치아가 보여요!"
키다리 : "오~ 잘됐네요. 장치는 제거해도 됩니다."
장치 제거는 어떤 치과에서도 간단히 할 수 있기 때문에 장치를 제거해도 되겠다는 조언을 드렸고 다행히 유지장치 덕분에 영구치가 제대로 잘 나올 수 있었어요.
이상 기간이 촉박햇던 어린이 반대교합 치료와 일찍 빠진 유치에 대한 공간유지장치 치료사례였습니다.
키다리아저씨치과에 오시는 길은 연제구 연산동 연산역 17번출구 바로 앞 건물 5, 6층입니다.
치과교정과 전문의(부산대 외래교수)와 통합치의학과 전문의(서울대학교 졸업) 2명이 상주하며 교정치료와 일반치과치료를 협진하여 진료합니다.
<위 사진은 환자분의 동의를 구한 후 공개하는 사진자료입니다. 사진은 과장이나 조작이 없는 원본사진입니다. 교정치료로 인한 부작용으로는 치근흡수, 충치, 치아변색, 실활 등이 있을 수 있으며, 치료 전후 사진은 의료법 제 23조, 제 56조에 의거하여 게재합니다. 개인의 상태에 따라 치료결과는 달라질 수 있으므로, 교정전문의와 상의를 요합니다.>































































































댓글