부산어린이교정 키다리아저씨치과에서 시행한 앞니 반대교합 주걱턱 교정(프리올소) 치료사례
- 키다리아저씨치과

- 3월 26일
- 2분 분량
"미니스크류를 이용한 투명교정장치에 관한 논문"으로 2023년도 Angle orthodontist(미국의 교정학회지) SCI 저널에 제 1저자로 게재되었습니다.
"2023년 대한치과 교정학회에서 표창장을 수여하였습니다."
"2023년 세계 구순구개열 학회에서 포스터 발표를 하였습니다."
항상 공부하고 노력하는 키다리아저씨치과가 되겠습니다.
안녕하세요.
오늘 부산어린이교정 키다리아저씨치과에서 소개해 드릴 환자분은 앞니가 거꾸로 물리는 앵글씨 3급 부정교합(반대교합, 주걱턱)을 프리올소 장치로 개선했던 환자분입니다.
나이 : 7세
총 치료기간 : 11개월
사용한 장치 : 프리올소
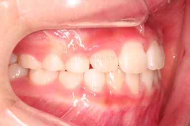
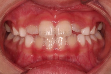
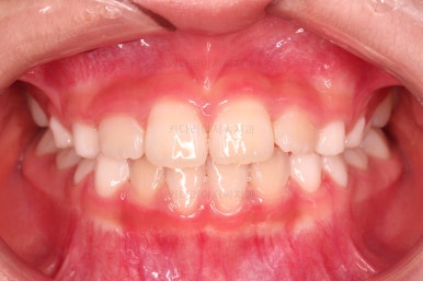
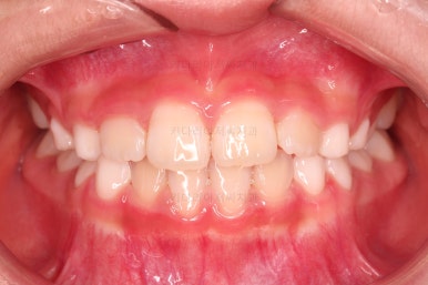
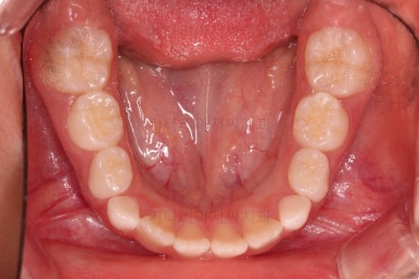
1. 초진
부산어린이교정 키다리아저씨치과에 처음 내원했을 당시의 입안의 모습입니다.
앞니가 거꾸로 물리는 전형적인 앵글씨 3급 부정교합 환아의 모습이었습니다.
아직 유치가 많이 남아 있었꼬, 아래 앞니는 4개가 영구치 맹출, 윗니는 2개가 영구치 맹출 상태였습니다.
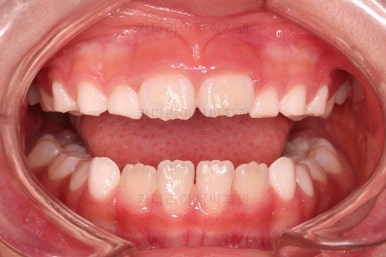
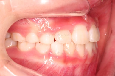
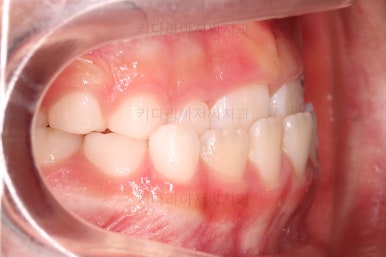
마찬가지로 초진시 얼굴 모습인데요.
웃을 때 아랫니 위주로 많이 보이고요.
(주걱턱 혹은 반대교합 환자분들이 웃거나 말할 때 아랫니가 많이 보이는 특징이 있습니다.)
다물었을 때도 아랫입술 주위가 볼록해 보여서 주걱턱의 느낌을 주고 있습니다.
2. 치료계획
✅ 어떤 장치가 좋을까? 프리올소? vs 페이스마스크(facemask)? 또는 프랑켈(FR III)?
보통 앵글씨 3급 주걱턱 반대교합 환아를 성장교정할 때 사용하는 대표적인 장치가 페이스마스크나 프리올소 인데요
기타 등등의 장치도 있지만 저 둘의 용법을 구분짓는 기준은 턱뼈 자체가 주걱턱인가? 턱뼈는 심하지 않은데 앞니가 거꾸로 물려있는가? 입니다.
골격 자체를 적극적으로 성장 시켜주기에는 페이스마스크가 여전히 첫 번째 선택지입니다.
심지어는 아주 간단한 방법으로(영업비밀 ㅎㅎ) 한 달 이내로 개선해 주기도 합니다.
이번 환자분은 그렇게 간단한 케이스는 아니었고, 그렇다고 페이스마스크를 할 정도의 복잡한 골격의 문제도 없었으므로 프리올소를 통해 교정하기로 했습니다.
✅ 프리올소는 어떤 효과가 있나?
다양한 골격분석 뿐만 아니라 호흡기 구조까지 살펴보게 되는데요.
골격의 주걱턱 패턴이 심하지 않은데, 앞니가 반대교합인 경우는 반드시 호흡문제를 함께 봐야 됩니다.
원인을 알아야 치료 후에도 그 결과가 잘 유지될 수 있거든요.
이번 환자분도 호흡기 문제에 기인한 혀의 위치 불량으로 아래 앞니가 자꾸 밀려나는 상태였습니다.
프리올소를 사용하게 되면 입술 다무는 힘/혀의 위치 등 근육 기능의 훈련을 동반 할 수 있어 다른 장치에서 찾기 힘든 장점을 갖고 있습니다.
3, 치료경과
장치의 모습이 운동선수들이 사용하는 마우스피스와 같이 생기긴 했으나 내부 구조나 치열을 잡아주는 부분의 기능이 다릅니다.
프리올소는 앵글씨 3급 부정교합에도 사용하지만, 오픈 바이트나 앵글씨 2급 부정교합에도 사용합니다.
치료 4개월째인데요.
열심히 모범적으로 잘 사용해 주었고, 앞니가 아슬아슬하게 앞니끼리 맞물리는 상태까지 개선이 되었네요.
치료 6개월째입니다.
반대교합은 잘 개선되었는데요.
혀/입술 근육 훈련을 위해서 더 사용하기로 했으며 마침 윗니 작은 앞니도 맹출하는 중이라 해당 치아의 맹출 경로를 안내해 주는 역할로 프리올소를 더 사용하기로 했습니다.
치료의 진전과 함께 또 다른 혹은 향후 유지에 적합한 프리올소를 하나 더 제공하고요.
부산어린이교정 치료를 마무리 합니다.
4. 마무리
부산어린이교정 키다리아저씨치과에서 앵글씨 3급 부정교합 및 반대교합이 잘 개선되었습니다.
심지어는 치열을 정교하게 맞추는 기능이 있는 장치는 아니지만, 자연스럽게 맹출 경로를 잡아줌으로써 앞니 치열도 매우 고른 양상이 되었습니다.
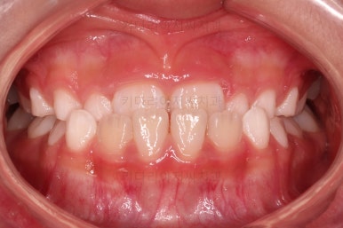
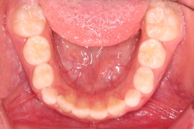
전후 비교해 보겠습니다.
옆라인도 아랫입술이 불룩해 보이던 양상에서 많이 좋아졌고요.
웃을 때 드러나는 치열도 좋아졌네요.
향후에는 호흡기 및 혀 위치로 인해 재발이 되지 않는지를 중점적으로 체크해 나가게 됩니다.
이상 앵글씨 3급 부정교합, 반대교합, 주걱턱 교정을 프리올소를 사용하여 시행했던 치료사례였습니다.
부산 연산동 교정치과 키다리아저씨치과에 오시는 길은 연제구 연산동 연산역 17번출구 바로 앞 건물 6층입니다.
치과교정과 전문의(부산대 외래교수)가 상주하며 교정치료 합니다.
<위 사진은 환자분의 동의를 구한 후 공개하는 사진자료입니다. 사진은 과장이나 조작이 없는 원본사진입니다. 교정치료로 인한 부작용으로는 치근흡수, 충치, 치아변색, 실활 등이 있을 수 있으며, 치료 전후 사진은 의료법 제 23조, 제 56조에 의거하여 게재합니다. 개인의 상태에 따라 치료결과는 달라질 수 있으므로, 교정전문의와 상의를 요합니다.>



















































































































댓글