부산보철잘하는곳 충치치료를 같이 병행하여 보철치료를 진행한 치료사례
- 키다리아저씨치과

- 2025년 9월 1일
- 2분 분량
안녕하세요.
오늘 부산보철잘하는곳 키다리아저씨치과에서 소개해 드릴 환자분은 교정 시작 전, 검진을 통해 충치가 발견이 되어 충치치료도 같이 병행을 하였고 하이브리드 인레이(부분보철), 레진치료를 진행하신 환자분입니다.
나이 : 24세
치료 시작 날짜 : 2025년 6월 9일
치료 종료 날짜 : 2025년 6월 20일
총 치료 기간 : 3주
사용한 보철재료 : 하이브리드 인레이, 레진

부산보철잘하는곳 초진 시 파노라마 및 위쪽 씹는면 구내사진과 X-ray 입니다.
인접면과 교합면에 충치가 의심되는 부위들이 있어 정확한 진단을 위해 X-ray를 촬영하였습니다.
맨 뒤 사랑니도 깊게 썩어 있어 발치를 권유드렸습니다.
왼쪽 위 소구치 치료 전후 사진입니다.
치료하는 동안 신경이 가까워 신겨치료 가능성까지 있는 치아였고 충치의 범위가 넓기 때문에 레진으로는 치료를 할 수가 없었어요.
그래서 부산보철잘하는곳 하이브리드 인레이(부분 보철)로 진행하였습니다.
치료 후 완벽하게 수복하여 치아 내부를 보호하고 있는 모습을 볼 수 있습니다.
왼쪽 위 인레이(부분보철) 치료를 하였는데요.
충치를 제거하니 붙어 있는 옆 소구치 인접면에도 충치가 생긴 것을 확인하였고 치아 사이로 충치가 생기는 경우는 치료하는 치아 옆의 치아들고 같이 충치가 생겨있는 경우가 많습니다.
그래서 꼼꼼하게 체크를 해주시는 것이 좋으며 초기 우식이 있는 치아라 레진치료를 하였습니다.
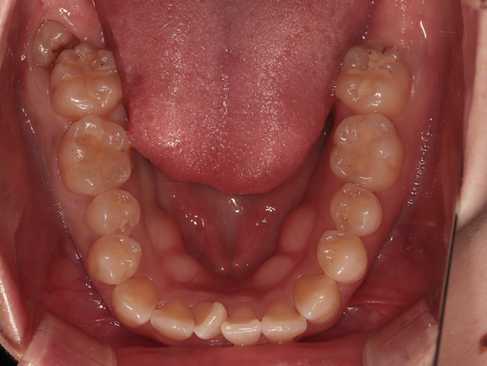
위 사진은 초진 시 아랫니 씹는면 구내사진입니다.
교정을 진행하지 않는 치아라면 위 정도의 초기우식은 정기검진하며 지켜볼 수는 있으나 교정장치를 붙이고 나면 안쪽에서 충치가 얼마나 진행되는지 등 정기검진을 하 수 없기에 레진으로 간단하게 치료를 하였습니다.
이상 충치로 인해 인레이 및 레진치료를 진행한 부산보철잘하는곳 환자의 치료사례였습니다.
키다리아저씨치과에 오시는 길은 연제구 연산동 연산역 17번출구 바로 앞 건물 5, 6층입니다.
치과교정과 전문의(부산대 외래교수)와 통합치의학과 전문의(서울대학교 졸업) 2명이 상주하며 교정치료와 일반치과치료를 협진하여 진료합니다.
<위 사진은 환자분의 동의를 구한 후 공개하는 사진자료입니다. 사진은 과장이나 조작이 없는 원본사진입니다. 교정치료로 인한 부작용으로는 치근흡수, 충치, 치아변색, 실활 등이 있을 수 있으며, 치료 전후 사진은 의료법 제 23조, 제 56조에 의거하여 게재합니다. 개인의 상태에 따라 치료결과는 달라질 수 있으므로, 교정전문의와 상의를 요합니다.>



















댓글