부산교정치과 키다리아저씨치과에서 시행한 다수 결손치아, 치아 사이 벌어짐 치료사례
- 키다리아저씨치과

- 2일 전
- 3분 분량
"미니스크류를 이용한 투명교정장치에 관한 논문"으로 2023년도 Angle orthodontist(미국의 교정학회지) SCI 저널에 제 1저자로 게재되었습니다.
"2023년 대한치과 교정학회에서 표창장을 수여하였습니다."
"2023년 세계 구순국개열 학회에서 포스터 발표를 하였습니다."
항상 공부하고 노력하는 키다리아저씨치과가 되겠습니다.
안녕하세요.
오늘 부산교정치과 키다리아저씨치과에서 소개해 드릴 환자분은 다수 치아가 썩어서 빠져 뿌리만 남은 채로 결손되어 있고, 치아 사이에 틈도 있었으며, 뻐드러지고 돌출된 복합적인 문제를 가진 환자분입니다.
나이 : 38세
총 치료기간 : 5년 1개월(총 61개월)
사용한 장치 : 자가결찰 세라믹(데이몬 클리어, Damon clear) + 미니스크류
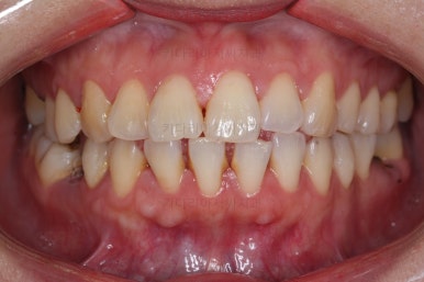
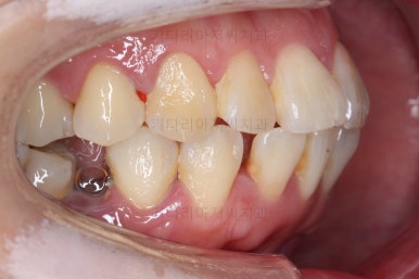
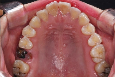
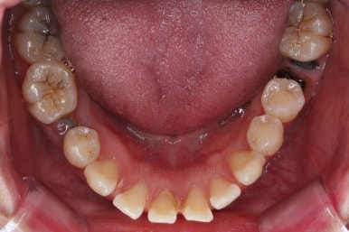
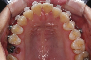
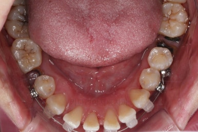
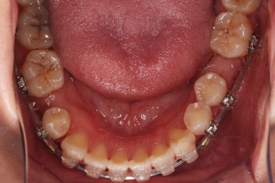
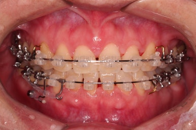
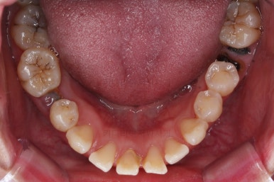
1. 초진
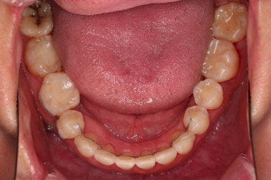
초진 시 입안의 모습입니다.
당장 눈에 띄는 부분은 아래 앞니 사이에 틈새가 있어 치석도 많이 쌓여있는 상황이고요.
윗니-아랫니를 각각 보면 치아가 썩고 부러져 뿌리만 남은 치아가 많이 보입니다.
남은 치아들도 곳곳에 충치가 보이고요.
또 전반적으로 앞니가 앞으로 밀려나와 뻐드러져 있는 모습도 관찰되네요.
초진 시 얼굴 모습인데요.
웃을 때 치아가 많이 보이지 않는 타입이신데, 약간 드러나는 치열이 삐뚤어 있고요.
입술도 원래 가진 입술 두께가 두툼하신 편이며 그걸 감안하고서도 약간 돌출입이라고 볼 수 있습니다.
2. 치료계획
발치교정.
이미 구강 내에는 총 3개의 치아가 없는 상황이었습니다.
이 때 선택할 수 있는 치료 옵션은 치아가 없는 부위를 임플란트 하는 방법도 있을 것이고요.
치아가 없는 부위만 적절히 치아를 움직여 공간을 모으는 방법도 있을 수 있습니다.
절충 안으로 특정공간은 임플란트를, 특정공간은 공간폐쇄를 하는 방법도 있을 수 있겠죠.
이번 환자분은 임플란트 없이 교정으로만 진행해 보고자 했고요.
그렇다면 적절히 공간폐쇄 움직임에서 교합, 균형, 중앙선 등을 생각해야 되는데 추가로 1개를 더 발치를 하기로 했습니다.
3개가 치아가 없었지만 운이 좋게도? 각 부위별로 1개씩 없는 상황이라 모든 치아가 다 있는 왼쪽 윗부분을 추가 발치 1개 하기로 결정했습니다.
그러면 마치 위아래 좌우 1개씩을 발치 교정한 셈이 되니깐요.
더군다나 앞니도 뻗쳐있고, 입도 약간 나와있어서 함께 개선효과도 누릴 수 있는 거죠.
그리고 사랑니는 최대한 남겨서 써보기로 했습니다.
3. 치료 경과
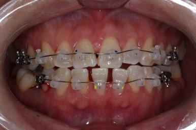
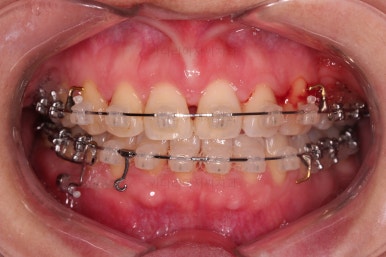
브라켓을 부착합니다.
이번 환자분이 선택하신 장치는 데이몬 클리어라고 하는 자가결찰 세라믹 장치인데요.
일반적으로 흔히 아시는 클리피씨 장치에 비해서 철사를 잡아주는 뚜껑까지 세라믹으로 되어 있어서 아마도 현존하는 세라믹 장치 중에서는 가장 심미적인 장치라고 볼 수 있습니다.
대신, 세라믹으로 되어 있다보니 강도 때문에 부피는 조금 더 커진다는 단점은 있긴 합니다.
장치 부착 직후의 웃는 모습과 입이 좀 더 나오는 양상을 참고해 주시고요.
참고로 입이 나오는 정도는 사람마다 매우 달라서 데이몬 클리어는 이정도 나온다는 기준은 딱히 없긴 합니다.
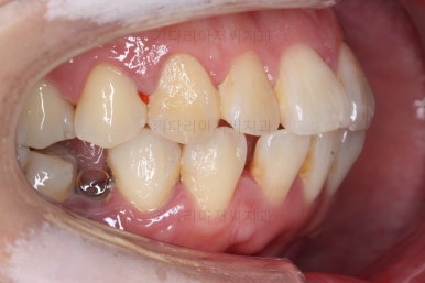
남아 있는 뿌리와 추가발치를 하고요.
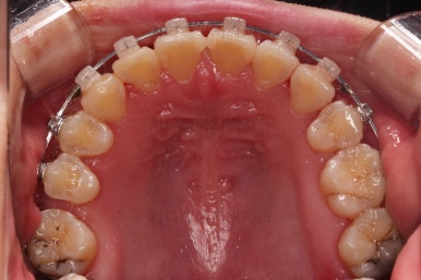
치열을 정리해 나갑니다.
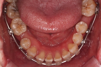
치열이 매우 가지런해졌고, 아래 앞니 사이 틈새도 점점 오므려져 가고 있습니다.
발치 공간을 적극적으로 줄여 나갑니다.
이 과정에서 입매, 앞니 각도, 정중선 등을 신경 써줍니다.
아무래도 상하좌우 비어 있는 공간의 위치가 모두 달랐기 때문에 자칫하면 중앙선이 한 쪽으로 쏠려버릴 수 있기 때문이죠.
얼굴 모습도 자연스럽게 변해가고요.
입술이 두툼하신 편이라 입이 많이 들어갈 것으로 예상은 안되었지만 그래도 만족스러운 입매를 만들어드려야 하기 때문에 부산교정치과 체크를 중간중간 하게 됩니다.
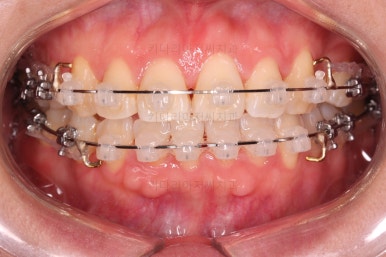
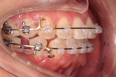
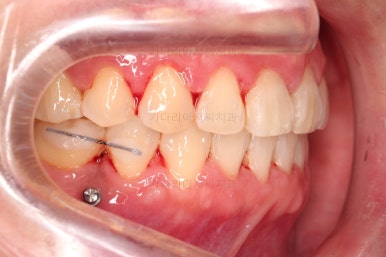
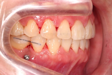
중앙선 개선을 위해 미니스크류와 다양한 장치를 활용해 주고요.
발치 공간도 많이 줄었네요.
중앙선, 교합 등을 더 신경쓰고 마무리를 합니다.
마무리 전에 부산교정치과 충치치료도 깔끔히 진행하게 됩니다.
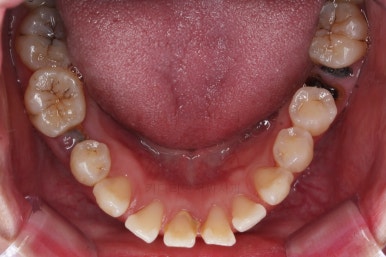
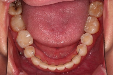
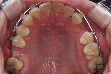
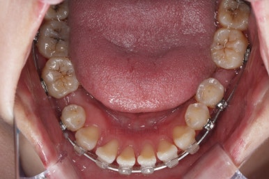
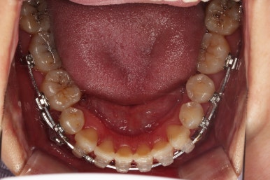
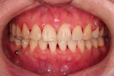
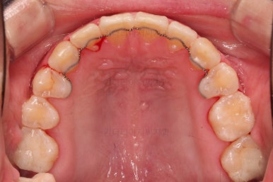
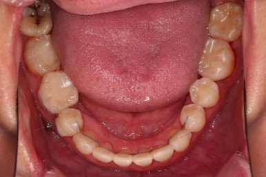
4. 마무리
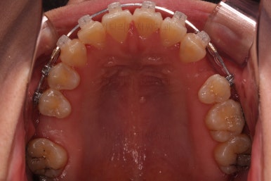
위아래 좌우 치아가 없는 위치가 모두 달랐지만 교합도 잘 구성했고요.
아무래도 좌우 치아 크기들이 다르다 보니(뽑은 치아가 다르니) 중앙선은 100% 일직선은 안맞더라도 매우 정상 범주로 마무리를 할 수 있었습니다.
특히 어금니에 보이던 충치도 깔끔하게 마무리 했고요.
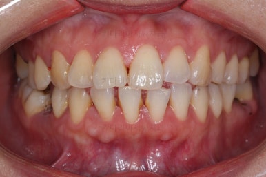
이제 부산교정치과 전후 비교해 보겠습니다.
치아배열, 틈새, 교합, 중앙선, 입매, 심지어 충치까지 깔끔히 잘 마무리 되었습니다.
아쉬운 점은 치료기간인데요.
이번 환자분은 총 5년 1개월이 걸렸습니다.
치료 자체가 힘든 치료였던 부분도 물론 있지만 워낙 바쁜 일을 하고 계신터라 1년에 총 2번만 내원한 적도 있을 정도로 내원주기가 일정치 못하고 내원 간격이 길었던 부분이 있었습니다.
그래도 다행히 양치를 잘 해주셔서 초진 시 보다 추가적으로 많이 썩어나간 치아는 없긴 하지만 총 기간에서는 아쉬운(물론 본인은 크게 신경쓰지 않으셨지만) 부분이었습니다.
그래도 치료적으로 매우 만족스러운 치료였습니다.
앞으로 다시 틈새가 벌어지지 않을지 유지 체크가 매우 중요한 상황이 되겠네요.
이상 다수 치아 결손 및 돌출, 치아 사이 틈새 등의 복합적인 문제점을 임플란트 없이 교정치료만 마무리를 한 부산교정치과 치료사례였습니다.
부산 연산동 교정치과 키다리아저씨치과에 오시는 길은 연제구 연산동 연산역 17번출구 바로 앞 건물 6층입니다.
치과교정과 전문의(부산대 외래교수)가 상주하며 교정치료 합니다.
<위 사진은 환자분의 동의를 구한 후 공개하는 사진자료입니다. 사진은 과장이나 조작이 없는 원본사진입니다. 교정치료로 인한 부작용으로는 치근흡수, 충치, 치아변색, 실활 등이 있을 수 있으며, 치료 전후 사진은 의료법 제 23조, 제 56조에 의거하여 게재합니다. 개인의 상태에 따라 치료결과는 달라질 수 있으므로, 교정전문의와 상의를 요합니다.>

















































































































































댓글