부산치아교정치과 키다리아저씨치과의 벌어진 치아 교정사례(이 사이 틈)
- 키다리아저씨치과

- 2025년 2월 17일
- 3분 분량
안녕하세요.
오늘 부산치아교정치과 키다리아저씨치과에서는 치아 사이에 틈이 많고 이가 벌어져 있어 교정치료를 원하셨던 환자분 사례를 소개해 드리고자 합니다.
나이 : 27세
총 교정기간 : 1년 6개월(총 18개월)
교정장치 : 자가결찰 세라믹(클리피씨) + 미니스크류
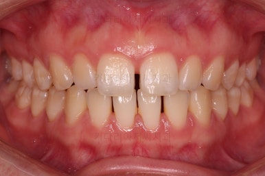
위 사진은 부산치아교정치과에 내원하셨을 대 당시의 입안 모습입니다.
치아들 사이에 전반적으로 틈이 많이 있는 상태입니다.
이 사이가 벌어지게 되면 다음과 같은 문제점이 있습니다.
심미적으로 좋지 못합니다.
음식물이 끼일 수 있습니다. 큰 덩어리의 음식물은 틈 사이에 잘 껴서 구강위생에 도움이 되지 않습니다. 충치가 생기거나 잇몸이 상할 염려도 있습니다.
발음이 샐 수가 있습니다. 특정 발음에서 새는 느낌이 날 수 있습니다.
식사를 한다거나 말할 때 이 사이로 음식물, 침 등이 나올 수 있습니다.
치료 전 얼굴 모습입니다.
이 사이가 벌어져 있다보니 웃을 때 환화게 웃지 못하는 모습이였고 웃을 때도 치아 사이 틈이 보여 미적으로 좋지 못합니다.
또한 약간 아래턱이 발달하여 주걱턱 느낌이 나지만 양악수술이 필요한 정도는 아니며 양호한 정도였습니다.
아래턱이 발달했을 때, 얼굴의 특징은 다음과 같습니다.
옆못습에서 아래턱이 발달하여 초승달 같은 옆모습이 됩니다.
입술 중 특히 아랫입술이 부자연스럽게 튀어나옵니다.
코 주위의 중간 얼굴 부위가 꺼져보이고 심술나 보입니다.
입술이 뒤집어진 U자 형태로 입꼬리가 쳐집니다.
이번 환자분의 경우는 주걱턱에 대한 개선 요구는 없었고 치아 사이 틈새만 없애달라고 햇습니다.
따라서 부산치아교정치과 통해 치아를 움직여 틈새를 모두 메우기로 했습니다.
장치 부착 모습입니다.
이번에 부산치아교정치과에서 사용한 장치는 클리피씨라는 자가결찰 세라믹입니다.
장점으로는 다음과 같습니다.
세라믹이라 눈에 잘 띄지 않습니다.
철사를 잡아주는 캡이 장치에 달려 있어서 사용도 간편하고 치료시간도 짧아집니다.
금속,세라믹, 투명교정장치 든 각각 장단점이 있기 때문에 교정전문의와의 상의 후에 기호에 맞게 선택하시면 되겠습니다.
장치 부착 모습입니다.
입술을 다문 상태에서는 크게 장치 때문에 입이 더 튀어나와 보이거나 하진 않은 것 같습니다.
치료 전과 비교해보겠습니다.
장치 부착 전후 모습입니다.
장치 부착 후 약간의 입술 돌출감이 생겼지만 크게 미적으로 해칠 정도가 아니였습니다. 다만, 장치를 붙였을 때 입이 튀어나오는 경우는 사람마다 다르기 때문에 장치 부착 직후의 옆모습은 매우 중요하다고 생각됩니다.
왜냐하면 거꾸로 장치를 제거하면 다시 입이 들어갈텐데 그 양을 역산해 볼 수 있는 하나의 기준이 될 수 있기 때문입니다.
치료과정을 보겠습니다.
전반적으로 흩어져 있던 틈새를 특정 위치로 모으기 시작합니다.
앞니 사이의 틈을 제일 보기 싫어하실 것 같으므로 앞니 부터 빠르게 틈을 보아줍니다. 대신 작은 어금니 부위로 틈을 모으는 작업을 하게 됩니다.
그냥 쭉 틈을 모아 주면 될 것을 왜 이렇게 하는지에 대해 궁금해 하실 수 있는데요. 교정치료만큼 중요한 것이 치료 후 결과의 유지단계이빈다. 유지를 잘하기 위해서는 현상이 나타난 원인을 파악하는 것이 중요한데요.
이번 환자분의 경우 부산치아교정치과에서는 그 원인을 "혀"로 봤습니다.
혀는 말랑말랑하지만 잘못된 혀의 위치(혀내밀기 등)가 지속될 경우 치아를 뻐드러지게 하거나 앞니를 밀어내며 치아 사이의 틈을 만들어낼 수 있습니다. 성장기에는 골격의 성장을 잘못된 방향으로 만들기도 합니다. 교정치료에서 매우매우 중요한 것이 바로 "혀" 입니다.
틈을 쭉 모으다 보면 앞니 치아들이 전반적으로 뒤로 들어가게 되고 혀위치를 침범하게 됩니다. 혀가 다시 내미는 동작을 했을 때, 치아 사이 틈이 다시 발생하게 될 우려가 매우 크게 됩니다.
따라서 이번 환자분의 경우는 앞니를 앞으로 혹은 뒤로 위치변화를 주지 않고 앞-두의 위치는 처음 그대로 유지시키고자 이런 방법을 택했습니다.
점점 앞니 사이의 틈이 없어지는 것을 볼 수 있습니다.
앞니 사이의 없어진 틈은 대신 작은 억므니 부위로 모여져 갑니다.
앞니 사이의 틈이 이제 다 모아졌습니다.
다음 단계는 작은 어금니 부위에 모아진 틈을 없애는 것입니다. 앞서도 말씀을 드렸듯이 앞니의 앞-두로의 위치는 변화 시키면 안되기 때문에 오로지 어금니를 앞으로 당겨오면서 틈을 모아줘야 합니다.
어금니를 100% 당겨주는 방법은?
바로 미니스크류 입니다. 위 사진에서 화살표 부분이 바로 미니스크류 입니다.
뼈에 단단히 고정해 놓고 어금니를 앞으로 당겨오는데 사용을 하게 됩니다. 교정치료 후에는 제거하게 되며 긍방 뼈가 차기 때문에 별로 걱정은 하지 않으셔도 됩니다.
서서히 틈이 줄어들고 있는 것이 보입니다.
벌써 몇 군데는 틈이 다 모였습니다.
이제 거의 다 끝나가고 조금 더 마무리하면 됩니다.
부산치아교정치과에서 치료한 이 사이가 벌어진 틈새교정을 마무리 했을 때의 모습을 보여드리겠습니다.
몰라보게 바뀌었습니다.
틈새가 다 모였고 다시 틈이 벌어지지 말라고 앞니 안쪽에는 유지장치를 달고 마무리를 했습니다.
전후를 비교해 보겠습니다.
부산치아교정치과 전후 모습입니다.
변화가 놀랍습니다.
얼굴 모습에도 많은 변화가 있었습니다.
턱에 대한 교정치료를 하지 않았지만 옆라인이 훨씬 좋아졌습니다.
뒤집어진 U자 형태의 입술꼬리도 개선되었습니다. 아마도 교정치료 후의 자신감 증대가 큰 원인이지 싶습니다.
웃는 모습이 다른 사람인듯 좋아졌습니다. 웃을 때의 입의 크기 부터 보이는 치아의 가지런함까지 매우 좋아졌습니다.
그동안 다이어트도 열심히 하셨습니다. 전반적인 모든 자신감이 1년 반 동안 크게 증가하여 긍정적인 에너지가 사진에서도 느껴집니다.
이상 부산치아교정치과 키다리아저씨치과에서 시행한 벌어진치아, 이사이의 틈새가 있을 때의 사례였습니다.
키다리아저씨치과에 오시는 길은 연산역 17번출구 바로 앞 건물 5, 6층입니다.
치과교정과 전문의(부산대 외래교수)와 치과보철과/통합치의학과 전문의(부산대 외래교수) 2명이 상주하며 교정치료와 일반치과치료를 협진하여 진료합니다.
<위 사진은 환자분의 동의를 구한 후 공개하는 사진자료입니다. 사진은 과장이나 조작이 없는 원본사진입니다. 교정치료로 인한 부작용으로는 치근흡수, 충치, 치아변색, 실활 등이 있을 수 있으며, 치료 전후 사진은 의료법 제 23조, 제 56조에 의거하여 게재합니다. 개인의 상태에 따라 치료결과는 달라질 수 있으므로, 교정전문의와 상의를 요합니다.>






























































































































댓글