부산교정 키다리아저씨치과의 비대칭 + 중앙선 + 반대교합 교정 치료사례
- 키다리아저씨치과

- 2025년 11월 24일
- 2분 분량
안녕하세요.
오늘 부산교정 키다리아저씨치과에서 소개해 드릴 환자분은 아래턱뼈가 오른쪽으로 틀어진 비대칭이 있었던 환자분으로 약간의 주걱턱을 동반해서 반대교합을 보였던 분입니다.
나이 : 24세
총 치료기간 : 2년 2개월(총 26개월)
사용한 장치 : 자가결찰 세라믹 + 메탈(데이몬 클리어, 엠파워 메탈) + 미니스크류 + 악궁확장장치
초진 시 얼굴모습입니다.
아주 약간의 돌출입이나 심하진 않고요.
아주 약간의 주걱턱 느낌으로 아랫입술 부위가 조금 볼록하네요.
앞에서 봤을 때, 아래턱이 우측으로 비대칭이 있어서 코~인중으로 내려오는 선과 턱끝까지의 선이 일직선이 아닌 상태에요.
웃을 때나 말할 때 아랫니가 나와있어서 부각되어 보이고요.
(전형적인 주걱턱의 느낌인데요. 이번 환자분은 심한 주걱턱은 아닌데 웃을 때의 느낌은 주걱턱의 느낌을 많이 주었습니다.)
아래 치열이 우측으로 치우친 양상이었어요.
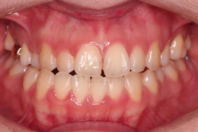
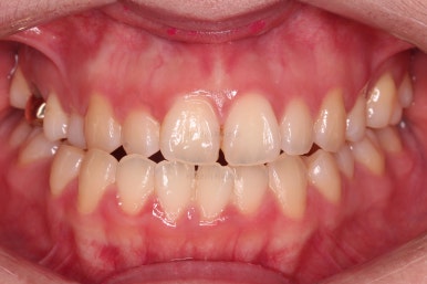
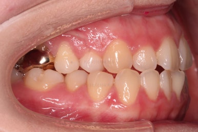
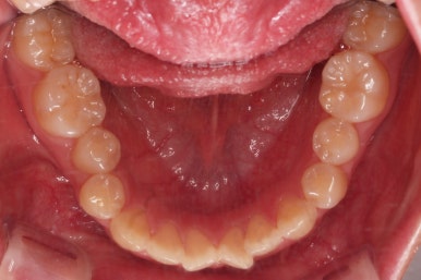
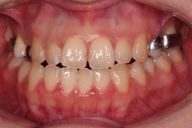
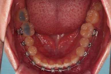
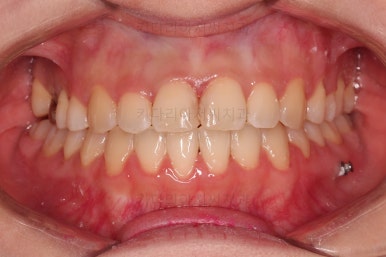
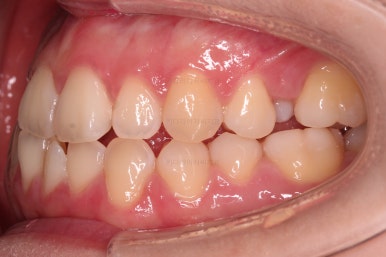
초진 시, 입안의 모습입니다.
아래 중앙선이 윗니의 정중선에 비해 우측으로 많이 쏠려있고요.
전반적으로 아래 치열이 우측으로 가 있어서 특히 송곳니 부분에서의 반대교합이 두드러졌어요.
(아래 송곳니가 위 송곳니보다 밖에 나와있는 상태)
해당 교합문제가 있을 경우, 씹는 행동을 할 때 아래턱의 움직임에 제한을 주어서 턱관절이 안좋아지는 경우가 많은데요.
이번 환자분도 턱관절에서의 통증과 소리 등 불편한 증상을 말씀해 주셨어요.
일반적으로 턱관절과 치아교정은 별개입니다.
특정 원인은 턱관절을 나쁘게 할 수도 있고 치아도 틀어지게 할 수도 있어요.
그렇지만 교정을 한다고 턱관절이 좋아진다거나 턱관절 치료를 한다고 치열이 가지런하게 되는 건 아니에요.
하지만 이번 환자분 같이 교합의 문제가 턱관절을 나쁘게 하는 하나의 원인으로 작용하는 경우에는 반드시 치아교정을 해주는게 유리해요.
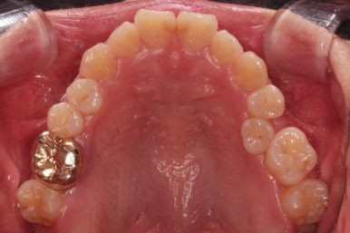
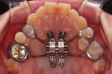
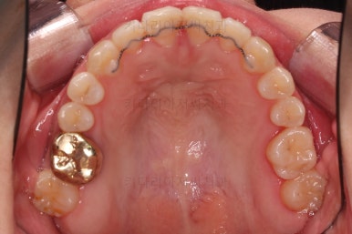
이번 부산교정 환자분은 교정치료 첫 단꼐로 악궁확장장치를 했는데요.
일반 확장 장치로는 불가하다는 판단이 되어 미니스크류를 활용한 악궁확장장치(MARPE)를 해주었어요.

저희 부산교정 키다리아저씨치과에서는 수십가지 분석을 통해 악궁확장이 정말 필요한지 아닌지를 판단하며 더하기 해서 일반 악궁확장장치(RPE)로 가능한지, 미니스크류를 이용한 악궁확장장치(MARPE)를 써야하는지 구분하여 치료를 하고 있습니다.
간혹 나이로만 구분하여 성인은 무조건 MARPE, 청소년은 RPE 이렇게 치료를 하는 경우도 있는데 맞지 않습니다.
성인도 일반 악궁확장장치가 가능한 경우가 많아요.
이번 환자분은 일반 악궁확장장치로는 불가하다는 판단에 미니스크류를 이용한 악궁확장을 시행했고요.
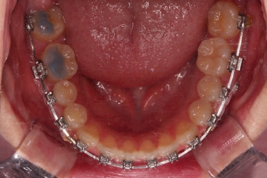
입천장에 장치를 3개월 가량 유지하는 동안 치아에 브라켓을 부착하여 가지런하게 해줍니다.
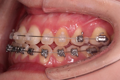
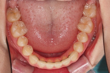
이번 환자분이 선택하신 장치는 눈에 많이 띄는 윗니는 자가결찰 세라믹(데이몬 클리어, Damon clear), 아랫니는 자가결찰 메탈(엠파워 메탈, Empower metal)을 사용했어요.
장치 부착 후의 모습은 참고해 주시고요.
이번 환자분은 장치 부착후에도 옆모습이 거의 변하지 않는 분이셨어요.
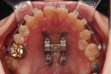
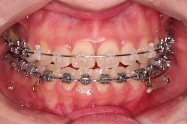
폭이 맞아지고 치아 배열을 조금 시행하니 송곳니 부분에서의 반대교합이 금새 개선된 것을 알 수 있으실거에요.
이렇게 측방으로의 반대교합만 개선이 되어도 턱관절에서의 불편감은 많이 줄어들게 됩니다.
윗니는 가지런하게 하는 동안 아랫니는 중앙선을 개선하기 위해 미니스크류를 이용해 뒤로, 뒤로 계속 당겨주게 됩니다.
힘 조절도 적절히 해가면서 아래 치열을 뒤로뒤로 옆으로 옆으로 밀어줍니다.
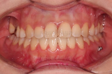
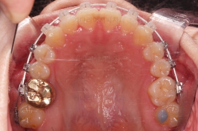
만족스러운 수준까지 정중선을 개선하고 교합도 개선한 뒤, 마무리를 해줍니다.
정중선을 개선하는게 참 오래 걸리는 치료이기는 해서 26개월이라는 부산교정 시간이 걸리긴 했는데요.
교합, 중앙선 등 모든게 많이 좋아진 만족스러운 치료였습니다.
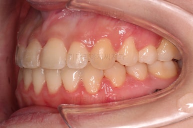
전후 비교 해볼게요.
가지런한 느낌, 교합, 중앙선, 반대교합 등 모든 면에서 개선이 되었고요.
얼굴 모습에서는 아랫니가 뒤로 들어감에 따라 웃는 모습도 윗니 위주로 보이면서 웃는 모습도 매우 좋아졌네요.
비대칭 부분은 뼈의 위치는 바뀌진 않았지만 교합을 바로 해줌으로 인해서 개선된 효과를 주고 턱관절 등 기능적으로도 개선이 되게 됩니다.
이상 미니스크류를 이용한 악궁확장장치 등을 이용해 비대칭, 중앙선, 반대교합, 주걱턱 등을 개선했던 부산교정 치료사례였습니다.
키다리아저씨치과에 오시는 길은 연제구 연산동 연산역 17번출구 바로 앞 건물 5, 6층입니다.
치과교정과 전문의(부산대 외래교수)가 상주하며 교정치료 합니다.
<위 사진은 환자분의 동의를 구한 후 공개하는 사진자료입니다. 사진은 과장이나 조작이 없는 원본사진입니다. 교정치료로 인한 부작용으로는 치근흡수, 충치, 치아변색, 실활 등이 있을 수 있으며, 치료 전후 사진은 의료법 제 23조, 제 56조에 의거하여 게재합니다. 개인의 상태에 따라 치료결과는 달라질 수 있으므로, 교정전문의와 상의를 요합니다.>


















































































































댓글