동래임플란트교정 키다리아저씨치과에서 시행한 교정 + 임플란트 치료사례
- 키다리아저씨치과

- 1월 8일
- 2분 분량

"미니스크류를 이용한 투명교정장치에 관한 논문"으로 2023년도 Angle orthodontist(미국의 교정학회지) SCI 저널에 제 1저자로 게재되었습니다.
항상 공부하고 노력하는 키다리아저씨치과가 되겠습니다.
안녕하세요.
오늘 동래임플란트교정 키다리아저씨치과에서 소개해 드릴 환자분은 돌출입과 삐뚤어진 치열을 가지런하게 하고 싶었던 분이며 입 안에는 이미 임플란트가 되어있었고, 해당 임플란트 상부 보철물을 수정해야 했던 환자분입니다.
나이 : 46세
총 치료기간 : 2년 7개월(총 31개월)
사용한 장치 : 자가결찰 세라믹(데이몬 클리어, Damon clear) + 미니스크류
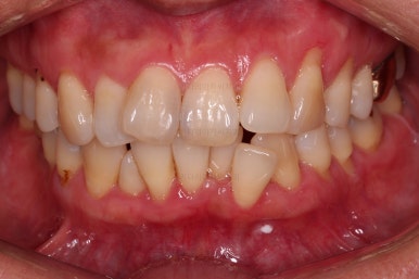
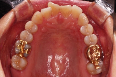
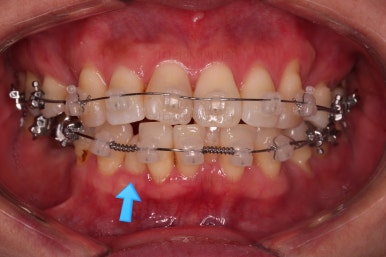
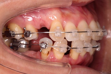
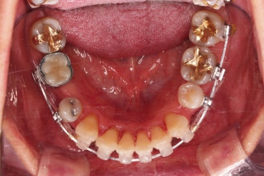
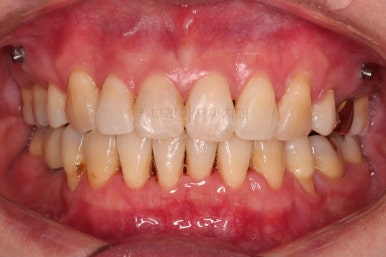
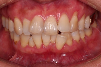
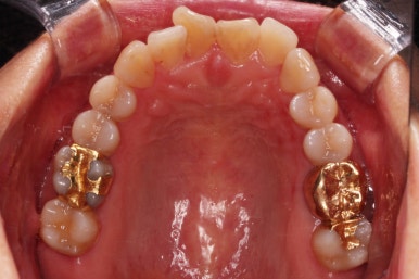
동래임플란트교정 초진 시 입안의 모습입니다.
치열이 전반적으로 삐뚤어져 있는 양상이고요.
아랫니가 윗니보다 더 많이 삐뚤어 있는데요.
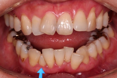
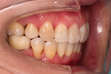
비밀은 바로 화살표에 있습니다.
유치 잔존
말그대로 어릴 때 빠져야 할 유치가 남아있다는 뜻인데요.
앞니 사이에 뾰족하게 남아있다 보니 자리만 많이 차지하고 있는 모습이었고 다른 영구치를 더 삐뚤게 만들었어요.
딱히 영구치가 모자라진 않는데 유치가 잔존하는 굉장히 드물고 독특한 상황이었습니다.
당연히 유치는 뽑기로 했고요.
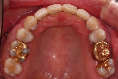
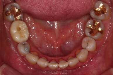
임플란트가 이미 있을 경우
임플란트는 교정이 되지 않습니다.
뼈에 단단히 붙어 있기 때문에 힘을 줘도 원하는 위치로 이동되지 않습니다.
이번 환자분의 경우 임플란트가 어금니 크기보다 작게 제작이 되어 있어서 추후에 교합을 맞추기도 곤란한 상황이었어요.
그래서 교정 후에 임플란트 뿌리 부분은 그대로 사용하고 머리 부분만 재제작 하기로 했습니다.
얼굴 모습입니다.
치열이 삐뚤어 웃는 모습이 심미적으로 떨어지고요.
입술의 돌출감이 느껴집니다.
이번 환자분은 피부의 성향이 탄력성이 있었고 연령에 비해 팔자주름이나 쳐짐이 거의 없어서 입을 많이 넣더라도 나이들어 보인다거나 쳐지는 느낌이 들지 않을 유형이었습니다.
그래서 부담없이 발치교정으로 치료계획을 결정했습니다.
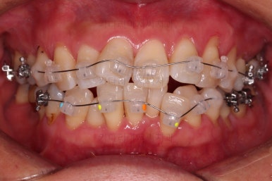
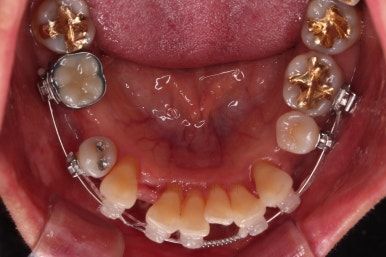
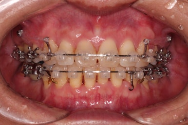
장치를 부착했습니다.
이번 환자분이 선택한 장치는 데이몬 클리어라고 하는 현존하는 자가결찰 세라믹 장치 중에 가장 심미적인 장치입니다.
사실상 멀리서 보면 철사를 제외하고는 거의 눈에 띄지 않는 모습인데요.
단점은 부피가 다른 장치들보다 약간은 더 크기 때문에 입이 약간 더 나와보일 수 있다는 점이죠.
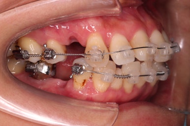
작은 어금니를 발치하고 치열을 가지런하게 해줍니다.
아직 아래 앞니에 있는 유치는 발치하지 않았는데요.
현 상태로 발치를 하게 되면 기구 접근이 되지 않아 광범위하게 뼈를 갈아내며 뽑아야 됩니다.
교정을 하면 기구 접근이 충분히 되도록 공간을 벌린 뒤 발치를 할 수 있어 기간은 더 걸릴 수 있겠지만 잇몸뼈를 보존하고 수월하게 발치를 하려면 교정만한게 또 없죠.
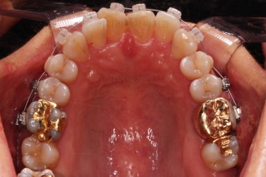
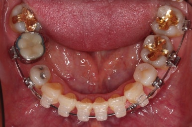
적절한 시점에 유치를 뽑아내고 남은 공간을 줄여나갑니다.
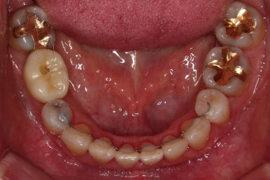
아래쪽 임플란트는 움직이지 않기 때문에 해당 치아를 기준으로 다른 치아를 모두 셋팅해야 하는 매우 난이도 높은 치료가 진행되었습니다.
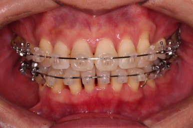
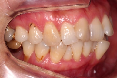
중간중간 얼굴 모습도 확인합니다.
아직 적극적으로 발치 공간을 줄여나가는 시점이 아니라 돌출은 개선된 느낌은 전혀 없네요.
대신에 치열은 매우 가지런해졌고요.
동래임플란트교정 한다고 볼살이 패이거나 쳐저보이는 증상도 없이 잘 진행이 되었어요.
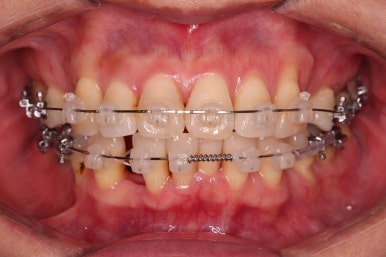
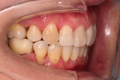
발치 공간 앞뒤 치열을 당겨주어 공간을 줄여 나갑니다.
자연스레 입은 들어가게 될 것이고요.
충분히 당겨준 뒤, 얼굴모습을 보고 의논을 합니다.
현재 남은 공간-어느 정도 더 들어갈지 - 지금 현재모습에 만족하시는지 등 의견교환을 하며 입을 더 넣을지 더 안넣도록 할지 결정을 합니다.
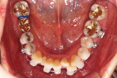
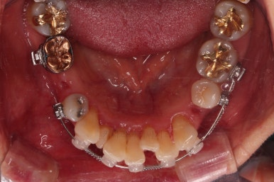
임플란트는 크기가 작았으므로 교합을 위해서는 어쩔 수 없이 해당 부위에 틈이 남을 수 밖에 없었고요.
남은 틈은 임플란트 상부 보철을 재제작하면서 조절을 하기로 했습니다.
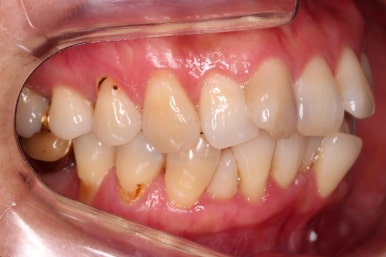
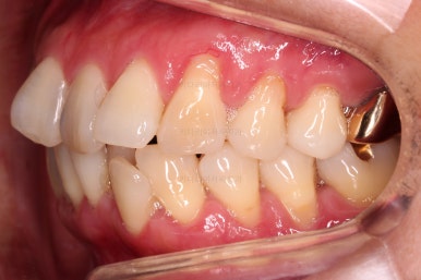
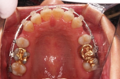
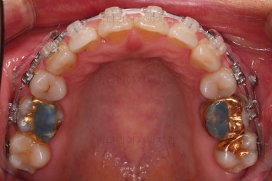
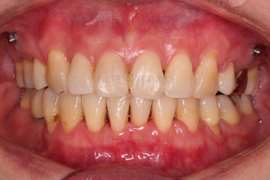
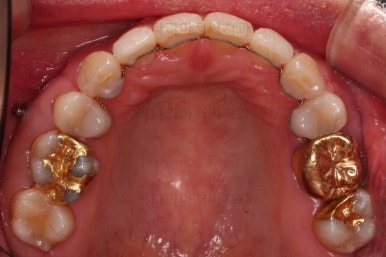
동래임플란트교정 마무리 되었습니다.
임플란트 머리도 잘 올라갔고, 치열도 가지런해졌으며 교합이나 중앙선도 적절히 마무리 되었습니다.
전후 비교를 해보겠습니다.
웃는 모습이 매우 우아해지셨어요.
미소가 굉장히 예뻐지셨습니다.
더군다나 예상한대로 발치교정으로 입을 많이 넣었음에도 팔자주름이나 피부처짐이 없이 잘 마무리 되었습니다.
이상 발치교정으로 입매를 개선하고 치열을 가지런하게 한 뒤 임플란트까지 잘 마무리를 한 동래임플란트교정 치료사례였습니다.
부산 연산동 교정치과 키다리아저씨치과에 오시는 길은 연제구 연산동 연산역 17번출구 바로 앞 건물 6층입니다.
치과교정과 전문의(부산대 외래교수)가 상주하며 교정치료 합니다.
<위 사진은 환자분의 동의를 구한 후 공개하는 사진자료입니다. 사진은 과장이나 조작이 없는 원본사진입니다. 교정치료로 인한 부작용으로는 치근흡수, 충치, 치아변색, 실활 등이 있을 수 있으며, 치료 전후 사진은 의료법 제 23조, 제 56조에 의거하여 게재합니다. 개인의 상태에 따라 치료결과는 달라질 수 있으므로, 교정전문의와 상의를 요합니다.>



















































































































































댓글