동래교정치과 키다리아저씨치과의 벌어진 앞니 치아교정 치료사례
- 키다리아저씨치과

- 2025년 12월 24일
- 3분 분량

"미니스크류를 이용한 투명교정장치에 관한 논문"으로 2023년도 Angle orthodontist(미국의 교정학회지) SCI 저널에 제 1저자로 게재되었습니다.
항상 공부하고 노력하는 키다리아저씨치과가 되겠습니다.
안녕하세요.
오늘 동래교정치과 키다리아저씨치과에서 소개해 드릴 환자분은 청소년기 환자분으로 치아 사이가 벌어지고 앞니끼리 맞물리는 치아를 교정하고 싶어 하셨던 분입니다.
나이 : 14세
총 치료기간 : 1년 10개월(총 22개월)
사용한 장치 : 자가결찰 세라믹(엠파워 클리어, Empower clear) + 악궁확장장치(RPE)
동래교정치과 초진 시 얼굴 모습입니다.
아주 약간 아래턱이 큰 느낌에 약간의 돌출감 있으나 굳이 개선할 이유는 없는 얼굴모습이었고요.
대신에 치아 사이가 벌어져 있다보니 웃거나 말할 때 심미적으로 좋지 못했고 여중생이었는데 자신있게 웃지를 못하는 모습이었습니다.
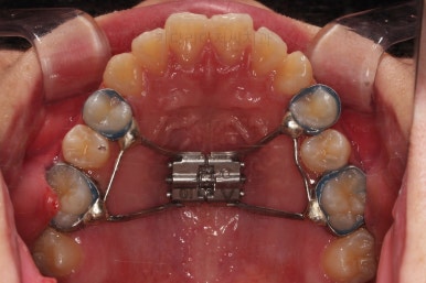
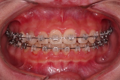
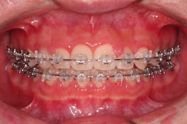
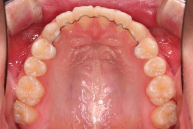
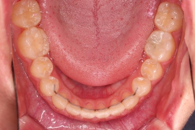
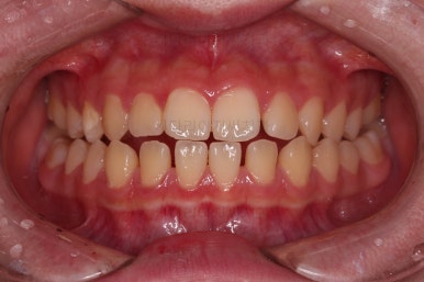
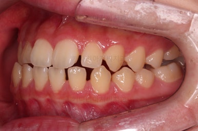
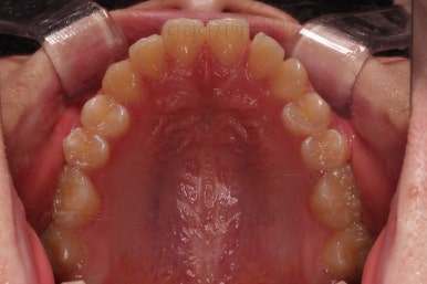
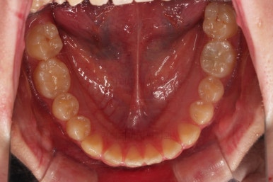
동래교정치과 초진 시 입안의 모습입니다.
치아가 벌어진 것도 벌어진 것이지만 교합이 전혀 안되고 있었어요.
틈새도 아랫니에 훨씬 많았고요.
윗니가 있는 위턱뼈가 전반적으로 아래턱에 비해 3차원으로 작은 양상이었습니다.
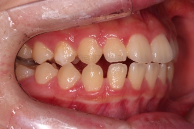
윗니가 아랫니를 감싸줘야 합니다.
앞니도 위가 아래를 덮어야 하고요.
어금니도 위가 아래를 덮어야 합니다.
마치 그릇에 뚜껑을 덮어놓은 것처럼 되어 있어야 정상적인 교합이 가능해 지는데요.
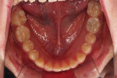
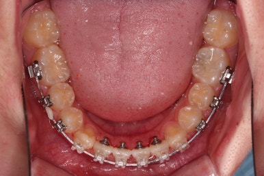
이번 환자분은 아랫니가 전반적으로 앞이든, 뒤든, 양옆으로든 넓어져 있는 양상이었고 그래서 아랫니에 틈도 많고 아래 앞니도 밀려나와 있는 양상인거죠.
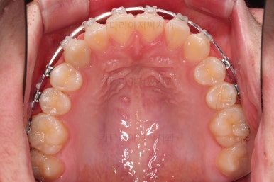
동래교정치과 첫 단계로 악궁확장 장치를 했습니다.
이미 틈새가 있는데 악궁확장이라고요?
보통 공간이 부족할 때 공간 마련 목적으로 악궁확장을 한다고 오해하고 계신 분들이 상당히 많은데요.
악궁확장을 하면 공간이 더 확보된다는 것은 분명한 사실이지만 공간마련을 위해서 악궁확장을 하는 것이 아닙니다.
위턱과 아래턱의 폭이 맞지 않을 때 위턱을 넓혀주는 것이 악궁확장인데요.
이번 환자분은 사실 아래턱이 넓은거라 아래턱을 앞뒤 좌우로 좁혀주면 가장 좋은데요.
아래턱은 사실상 크기를 넓히고 줄이는데 한계가 있어 그 형태가 거의 유지가 된다고 보시면 됩니다.
그러면 어쩔 수 없이 틈새가 있어도 넓은 아래턱과 조화가 맞게 위턱을 더 넓힐 수 밖에 없습니다.
그래야 교합이 맞아지니깐요.
다시 한 번 말씀드리지만 악궁확장의 목적은 위턱과 아래턱의 폭의 조화입니다.
공간이 더 생기는 것은 장점이 될 수도 단점이 될 수도 있는 부수적인 현상일 뿐이고요.
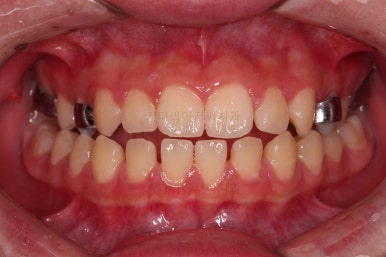
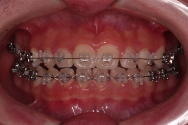
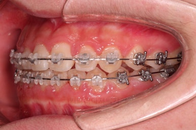
악궁확장 이 후 브라켓을 부착합니다.
이번 환자분이 선택하신 장치는 엠파워 클리어라고 하는 자가결찰 세라믹 장치인데요.
철사를 스스로(자가) 묶을 수(결찰) 있는 뚜껑이 달린 세라믹 성분의 장치입니다.
대표적인 장치가 클리피씨 장치이며 클리피는 일본회사, 동래교정치과 키다리아저씨치과가 쓰는 엠파워는 미국회사라는 차이가 있고 큰 틀에서는 동일한 계열의 장치입니다.
장치 부착 직후의 얼굴모습인데요.
장치의 느낌과 장치로 인해 입이 나오는지 등을 참고해 주세요.
이번 환자분은 장치를 부착해도 입매가 거의 안변하는 타입의 분입니다.
치료계획은 매우 심플합니다.
가지런하게 한다 -> 틈을 조여준다.
그런데 이번 치료의 핵심은 따로 있습니다.
바로 "재발" 인데요. 원래대로 돌아가려는 경향, 이번 환자분은 다시 틈새가 생기려는 경향인데요.
아주 다양한 틈새의 원인이 있으나 이번 환자분은 호흡기, 호흡기에서 비롯된 혀의 문제가 가장 큰 이유였습니다.
혀를 잡아야 한다.
혀는 사실상 성장기 때 구강구조에 매우 영향을 많이 미칩니다.
이번 환자분은 틈새가 만들어지는 방향으로 혀가 힘을 주었던 상황이었고요.
혀 내밀기라고 하죠.
그래서 교정 중에도 혀를 인지하고 연습할 수 있도록 불편한 장치를 구성했고요.
교정치료 후에도 특별한 장치를 제작해 드릴 생각입니다.
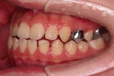
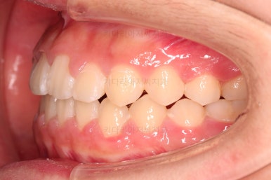
틈이 다 모였고 교합도 많이 좋아졌죠?
끝내도 될까요?
안됩니다.
간혹 교정장치를 풀자마자 유지장치를 했음에도 틈새가 다시 벌어지는 경우가 많은데요.
일부러 힘을 뺐다가 느슨하게 해보았다가 틈새가 다시 안벌어지는지를 충분히 확인한 후 치료를 종료하게 됩니다.
그래서 적극적인 치료는 진작에 끝났다 하더라도 치료 말미에 기다리는 시간이 많이 소요되는 치료가 이번 치료입니다.
안정성을 충분히 확인한 뒤 치료를 종료합니다.
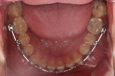
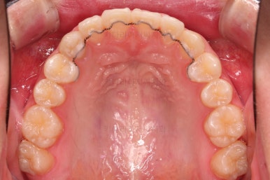
틈새가 벌어지더라도 뒤쪽에 벌어지라고 앞니쪽은 유지철사를 부착하고요.
동래교정치과 키다리아저씨치과만의 독특한 디자인의 유지장치를 추가로 드리게 됩니다.
(영업비밀입니다.😄)
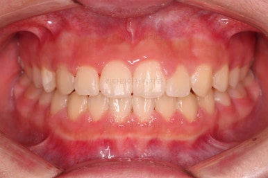
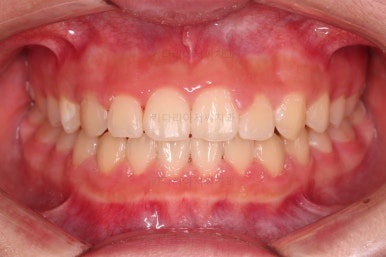
전후 사진을 비교해 볼게요.
악궁확장을 통해 위아래 악궁의 크기 조화를 맞췄고, 틈새도 모았으며 교합도 적절히 마무리를 했습니다.
웃는 모습도 훨씬 예뻐졌네요.
향후 유지관리가 다른 분들보다 훨씬 중요한 상황이라 볼 수 있겠습니다.
이상 전반적인 틈새와 부정교합이 있었던 청소년기 환자분의 동래교정치과 교정치료 사례였습니다.
부산 연산동 교정치과 키다리아저씨치과에 오시는 길은 연제구 연산동 연산역 17번출구 바로 앞 건물 6층입니다.
치과교정과 전문의(부산대 외래교수)가 상주하며 교정치료 합니다.
<위 사진은 환자분의 동의를 구한 후 공개하는 사진자료입니다. 사진은 과장이나 조작이 없는 원본사진입니다. 교정치료로 인한 부작용으로는 치근흡수, 충치, 치아변색, 실활 등이 있을 수 있으며, 치료 전후 사진은 의료법 제 23조, 제 56조에 의거하여 게재합니다. 개인의 상태에 따라 치료결과는 달라질 수 있으므로, 교정전문의와 상의를 요합니다.>



















































































































댓글