부산부분교정 키다리아저씨치과에서 시행한 벌어진 앞니 부분교정 치료사례
- 키다리아저씨치과

- 3월 17일
- 3분 분량
"미니스크류를 이용한 투명교정장치에 관한 논문"으로 2023년도 Angle orthodontist(미국의 교정학회지) SCI 저널에 제 1저자로 게재되었습니다.
"2023년 대한치과 교정학회에서 표창장을 수여하였습니다."
"2023년 세계 구순구개열 학회에서 포스터 발표를 하였습니다."
항상 공부하고 노력하는 키다리아저씨치과가 되겠습니다.
안녕하세요.
오늘 부산부분교정 키다리아저씨치과에서 소개해 드릴 환자분은 앞니 사이가 벌어져서 틈새를 모으고 싶어하셨던 분이며, 앞니 부분교정으로 개선을 하고자 하셨던 청소년 환자분입니다.
나이 : 13세
총 치료기간 : 5개월
사용한 장치 : 자가결찰 세라믹(엠파워 클리어, Empower clear)
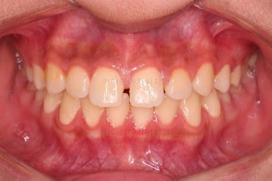
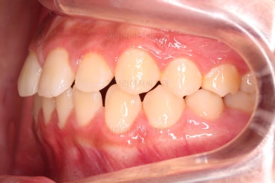
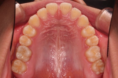
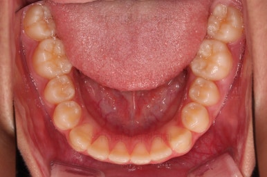
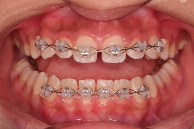
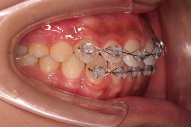
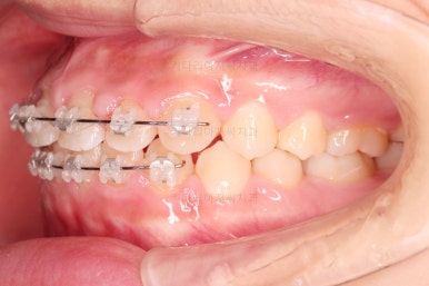
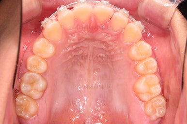
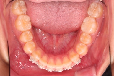
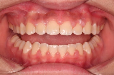
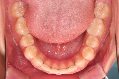
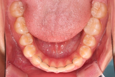
1. 초진
초진 시 입안의 모습입니다.
치아 배열 자체는 비교적 가지런한 편인데 위아래 앞니 사이사이 틈새가 있어요.
특히 윗니는 틈새가 가운데 있어서 시각적으로 눈에 더 띄는 상태이고요.
우리나라는 특히나 윗니 가운데 틈새를 별로 좋아하지 않는 양상이긴 합니다.
미세하게 과개교합이 있어서 아래 앞니가 윗니 앞니를 약간 깊숙하게 밀어 올리고 있네요.
그 때문에 윗니 앞니가 점점 더 벌어지는 상태였습니다.
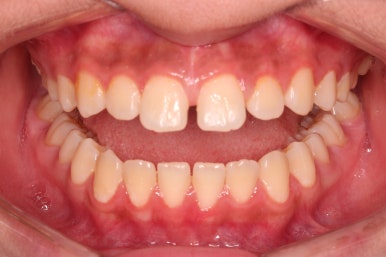
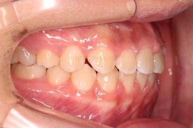
마찬가지로 초진 시 얼굴모습입니다.
약간의 돌출감, 비대칭이 있으나 적극적으로 개선해야 될만큼 나쁘지 않았고요.
다만, 웃거나 말할 때 앞니가 벌어져 있어서 미적으로 좋지 못한 모습이었습니다.
2. 치료계획
✅ 부분교정 vs 전체교정
이번 환자분께는 부분교정이냐 전체교정이냐 두 가지 치료 옵션을 제시해 드렸는데요.
부분교정이 빠르고 저렴하고 장치도 적게 붙여서 간편하고 등등 모든 면에서 마법처럼 완벽한 치료일까요?
아닙니다.
장치를 적게 부착하는 부위만 교정이 되며, 그래서 빠르고 저렴한거죠.
다르게 표현하면 포커스를 맞추는 부위만 고치고 나머지는 그냥 내버려두거나 오히려 어색해져도 감안하고 받아 들이는 치료가 부분교정입니다.
만능열쇠 같은 치료방법이 아니라는 점은 분명히 알고 시작해야 합니다.
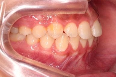
이번 환자분은 송곳니 뒤편에도 약간의 틈새가 있었는데요.
부분교정 때는 송곳니~송곳니까지를 움직이는 치료이므로 사실상 송곳니 뒷부분의 공간은 완벽하게 없애기 힘든데요. 이 부분은 충분히 설명과 이해를 하고 시작했습니다.
그리고 전체교정에 비해 부분교정은 과개교합을 개선하기 힘든데요.
이번 부산부분교정 치료에서 과개교합의 개선도 장기적인 안정성에 중요한 만큼, 최대한 부분교정이지만 과개교합 양상도 개선해 보기로 하고 시작했습니다.
물론 제3의 치료옵션인 보철치료도 방법입니다.
이번 환자분은 연령도 어리고, 보철 보다는 교정을 원하셨으며 교정 중에서도 부분교정을 원하시어 치료를 진행하였습니다.
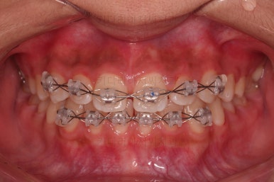
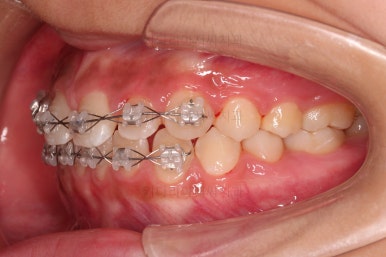
3. 치료경과
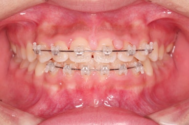
우선 위아래 앞니 6개에 장치를 부착했고요.
아주 약한 힘으로 서서히 틈새를 모아 나갑니다.
치열의 변형은 이유가 반드시 있습니다.
틈새가 생긴 이유는 교합 힘일 수도 있고 이와 연관된 과개교합일 수도 있으며 혀내밀기 습관, 손가락 빨기 등의 습관적인 이유일 수도 있습니다.
따라서 환자분마다의 변형된 치열에 맞게끔 씹는 힘부터 입술/혀 위치까지 다 익숙해져 있는 상태죠.
무리하게 빠르고 강하게 교정을 진행하다 보면, 이런 평형 상태가 깨지면서 불안정해지게 되고, 다시 틈이 생기는 재발이 굉장히 잘 일어날 수 있습니다.
이번 부산부분교정 환자분이 선택한 장치는 엠파워 클리어라고 하는 자가결찰 세라믹 장치인데요.
대표적으로는 클리피씨가 있고 지금 사용한 엠파워와는 장치 제조국이 차이가 난다는 점 이외에는 큰 차이는 없습니다.
(클리피는 일본, 엠파워는 미국장치)
보이는 모습과 옆라인이 바뀌는 모습 참고해 주시고요.
입이 얼마나 장치 때문에 튀어 나오는지는 막상 부착해봐야 정확히 알 수 있긴 합니다.
점점 틈새를 모아 나갑니다.
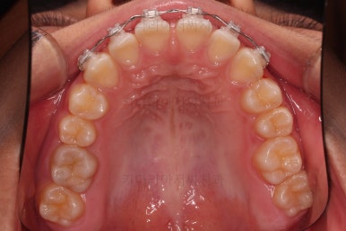
틈이 없어지면서 치아 사이에 있던 잇몸이 찌그러지면서 리모델링 되는 효과 + 부족한 양치질이 합쳐져서 잇몸 사이사이가 많이 부어 보이는데요. 시간과 양치질이 해결해 줄 것이니 큰 문제는 아닙니다.
당연히 송곳니 뒤쪽의 약간의 틈새까지 모으는 치료계획은 아닙니다.
4. 마무리
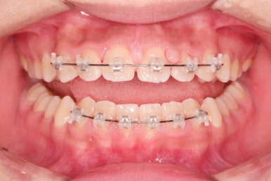
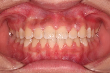
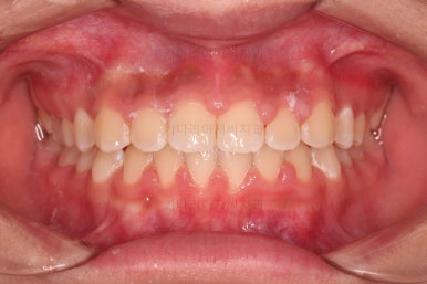
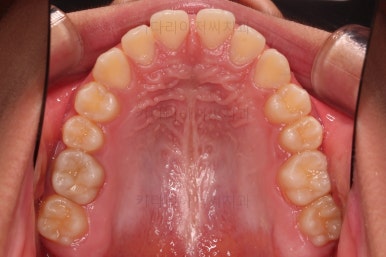
치아가 가지런히 잘 배열이 되었고요.
부었던 잇몸도 잘 가라앉고 있습니다.
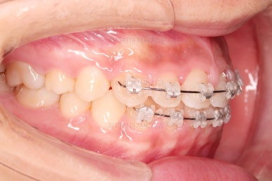
송곳니 뒤편에 틈새가 있지만 거의 표시가 안나고, 오히려 이 정도의 틈새가 장기적으로는 더 안정적이며 애초에 설명이 되고 협의된 부분이므로 수용하기로 했습니다.
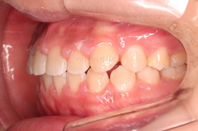
부산부분교정 전후 비교를 해볼게요.
웃을 때 보이는 치열이 참 예뻐졌네요.
중앙선도 오히려 더 맞는 방향으로 진행되었고요.
과개교합도 일부 개선이 되었습니다.
웃을 때 옆쪽의 송곳니 뒤편 틈새는 거의 눈에 띄지 않습니다.
입매도 약간 들어가면서 예뻐진 느낌이 들죠.
총 5개월이라는 비교적 빠른 기간안에 여러 가지가 잘 개선이 되었습니다.
이상 부산부분교정을 통해 치아 사이 벌어짐, 앞니 사이 틈새를 개선한 치료사례였습니다.
부산 연산동 교정치과 키다리아저씨치과에 오시는 길은 연제구 연산동 연산역 17번출구 바로 앞 건물 6층입니다.
치과교정과 전문의(부산대 외래교수)가 상주하며 교정치료 합니다.
<위 사진은 환자분의 동의를 구한 후 공개하는 사진자료입니다. 사진은 과장이나 조작이 없는 원본사진입니다. 교정치료로 인한 부작용으로는 치근흡수, 충치, 치아변색, 실활 등이 있을 수 있으며, 치료 전후 사진은 의료법 제 23조, 제 56조에 의거하여 게재합니다. 개인의 상태에 따라 치료결과는 달라질 수 있으므로, 교정전문의와 상의를 요합니다.>

























































































































댓글