연산동교정치과 키다리아저씨치과에서 시행한 결손치아 대신 사랑니를 교정한 치료사례(feat. 임플란트 없이 마무리)
- 키다리아저씨치과

- 2월 23일
- 3분 분량
"미니스크류를 이용한 투명교정장치에 관한 논문"으로 2023년도 Angle orthodontist(미국의 교정학회지) SCI 저널에 제 1저자로 게재되었습니다.
"2023년 대한치과 교정학회에서 표창장을 수여하였습니다."
"2023년 세계 구순구개열 학회에서 포스터 발표를 하였습니다."
항상 공부하고 노력하는 키다리아저씨치과가 되겠습니다.
안녕하세요.
오늘 연산동교정치과 키다리아저씨치과에서 소개해 드릴 환자분은 어금니가 하나 없어서 임플란트 대신 사랑니를 끌고 당겨와서 교정했던 환자분입니다.
나이 : 24세
총 치료기간 : 2년 10개월(총 34개월)
사용한 장치 : 자가결찰 세라믹(엠파워 클리어 + 엠파워 메탈)+ 미니스크류
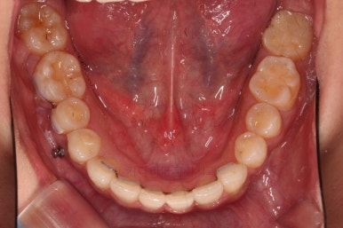
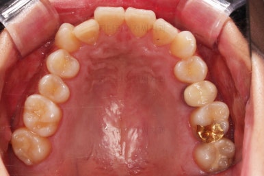
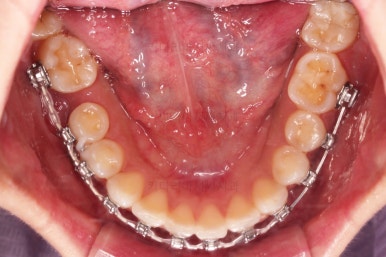
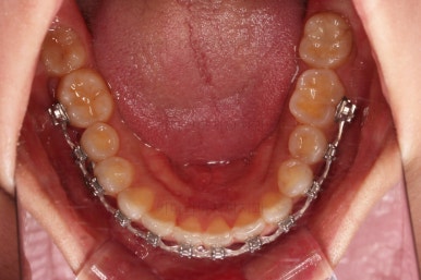
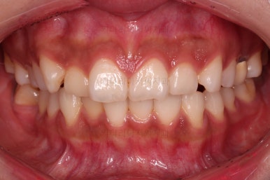
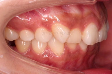
1. 초진
연산동교정치과 초진 시 입안의 모습입니다.
얼핏 앞에서 봤을 때 치열이 나쁘지 않아 보이는데요.
대신 자세히 살펴보면 윗니 양쪽 송곳니가 덧니처럼 볼록 튀어나와 있고요.
아랫니 어금니가 하나 없어서 주위 치아들이 해당 위치로 쓰러진 상태였습니다.
그리고 양쪽의 교합이 톱니바퀴처럼 맞물려 있는 것 같지만 톱니바퀴가 한 칸씩 밀려서 맞물려 있는 부정교합이 있는 상태였습니다.
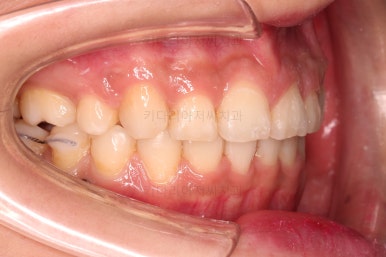
마찬가지로 초진 시 얼굴 모습인데요.
아랫입술에 비해 윗입술이 약간 튀어나온 양상이나 많이 심하지 않고 다물었을 때의 편안한 느낌도 나쁘지 않죠.
덧니이긴 하지만 웃을 때 치아가 많이 보이는 타입이 아니어서 덧니가 많이 표시나지는 않았습니다.
2. 치료계획
발치 vs 비발치
이번 환자분은 많이 삐뚤어진 편도 아니었고 입이 나온 편도 아니었습니다.
그런데 치료계획은 발치였습니다.
아랫니가 하나 없었기 때문에 균형 맞추는 관점에서 발치를 했을까요?
아닙니다.
양측의 부정교합의 정도가 심했기 때문인데요.
이처럼 보이는 모습은 굳이 발치까지? 일 수도 있지만 교합을 맞추는 관점에서는 발치가 필요했던거죠.
대신 윗니만 양쪽에 발치를 1개씩 총 2개 하기로 했습니다.
"발치하면 입이 들어가서 합죽해질까봐 걱정돼요."
대부분 발치 = 입들어간다라고 공식처럼 알고 계시네요. 그렇지가 않습니다.
이번 환자분처럼 교합을 위해서 윗니만 발치를 할 경우 입매 변화는 크게 없는 경우가 많고요.
숙련된 교정의사라면 발치를 더 많이 하더라도 입매를 원하는대로 조절이 가능합니다.
임플란트 해야 하나요?
치아가 없는 부분을 임플란트 해야 할까요?
꼭 그렇지 않습니다.

이번 환자분은 다행히 해당 부분에 사랑니까지 있었고 상태가 나쁘지 않았기 때문에 사랑니까지 앞으로 끌고 당겨와서 사용하기로 했습니다.
임플란트 없이 마무리 하겠다는 뜻이죠.
아무리 형태가 불량한 사랑니라도 임플란트 보다는 내 치아가 더 낫다는게 연산동교정치과 키다리아저씨치과의 지론이긴 합니다.
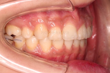
3. 치료경과
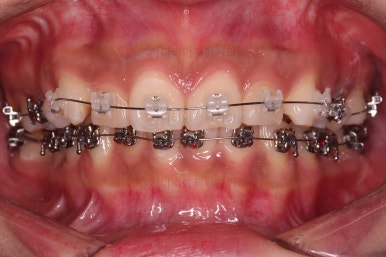
장치를 부착했고요.
이번에 환자분이 선택한 장치는 윗니는 자가결찰 세라믹, 아랫니는 자가결찰 메탈이었습니다.
이렇게 혼용해서 사용해도 되는 조합들이 있고요.
이번 환자분은 웃을 때 이가 많이 보이는 타입이 아니셔서 아랫니는 좀 더 튼튼하고 저렴하기까지한 메탈장치를 선택하셨죠.
장치 부착 느낌과 장치를 부착한 직후의 입이 튀어나오는 정도를 참고해 주시고요.
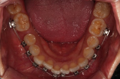
적절한 시점에 발치를 합니다.
발치는 가장 약한 치아 위주로 하게 되고요.
윗니는 이 뽑은 자리를 줄여나가고요.
아랫니는 어금니와 사랑니를 앞으로 당겨옵니다.
물론 다른 치아에 변화를 주지 않기 위해서 미니스크류를 이용합니다.
얼굴 모습 수시로 체크해 주시고요.
무난히 진행되고 있는 양상입니다.
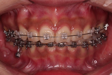
큰 틀에서는 잘 진행 중인 것 같지만 이번 경우처럼 윗니만 발치, 그리고 발치 위치가 다른 경우, 더군다나 아랫니도 어금니가 없고 사랑니를 당겨오는 경우.
미세한 치아 크기 차이로 마지막 마무리가 오래 걸리는 경우가 많습니다.
100% 중앙선이 잘 안맞는 경우가 많고 미세한 틈새가 오랫동안 잘 안닫히기도 합니다.
이번 환자분도 마찬가지로 중앙선이 100% 안맞았고, 틈새를 타이트하게 닫기 위해 시간이 좀 소요되었습니다.
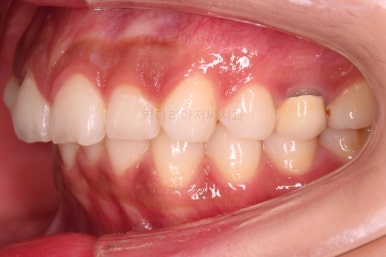
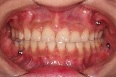
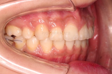
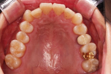
4. 마무리
할 수 있는 부분과 수용한 부분을 구분해서 환자분과 적절히 치료계획을 타협하고요. 치료를 마무리합니다.
가지런한 느낌 좋고요.
교합도 잘 맞고 이 뽑은 자리도 틈이 없으며 사랑니 당겨온 자리도 틈새 없이 잘 마무리가 되었네요.
다만 앞니가 예전에 부러져 있어서 형태저긍로 조금 부족하긴 했지만 나쁘지 않았습니다.
연산동교정치과 전후 비교해 보겠습니다.
얼굴모습도 약간 나와있던 윗입술 느낌도 완벽히 개선되었고요.
전반적으로 깔끔하게 임플란트 없이 결손치아 부분을 잘 마무리 했습니다.
이상 결손치아가 있을 때 미니스크류를 이용해 임플란트 없이 사랑니를 당겨와 치료한 연산동교정치과 치료사례였습니다.
부산 연산동 교정치과 키다리아저씨치과에 오시는 길은 연제구 연산동 연산역 17번출구 바로 앞 건물 6층입니다.
치과교정과 전문의(부산대 외래교수)가 상주하며 교정치료 합니다.
<위 사진은 환자분의 동의를 구한 후 공개하는 사진자료입니다. 사진은 과장이나 조작이 없는 원본사진입니다. 교정치료로 인한 부작용으로는 치근흡수, 충치, 치아변색, 실활 등이 있을 수 있으며, 치료 전후 사진은 의료법 제 23조, 제 56조에 의거하여 게재합니다. 개인의 상태에 따라 치료결과는 달라질 수 있으므로, 교정전문의와 상의를 요합니다.>





































































































































댓글