부산치아교정잘하는곳 키다리아저씨치과의 비발치 덧니교정 치료사례
- 키다리아저씨치과

- 2025년 12월 8일
- 2분 분량

"미니스크류를 이용한 투명교정장치에 관한 논문"으로 2023년도 Angle orthodontist(미국의 교정학회지) SCI 저널에 제 1저자로 게재되었습니다.
항상 공부하고 노력하는 키다리아저씨치과가 되겠습니다.
안녕하세요.
오늘 부산치아교정잘하는곳 키다리아저씨치과에서 소개해 드릴 환자분은 덧니로 교정치료를 하고싶어 하셨던 환자분입니다.
나이 : 30세
총 치료기간 : 1년 2개월(총 14개월)
사용한 장치 : 자가결찰 세라믹(엠파워 클리어, Empower clear)
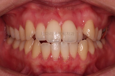
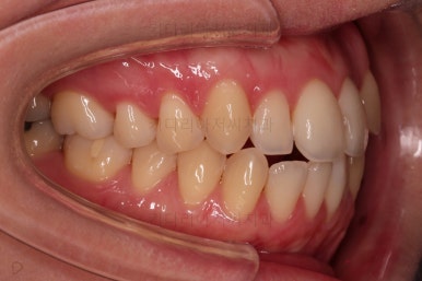
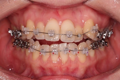
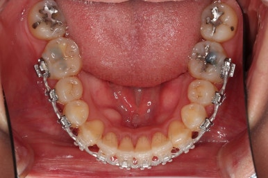
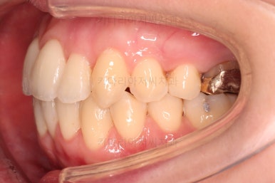
초진 시, 입안의 모습입니다.
좌측 송곳니가 덧니처럼 튀어나가 있고, 송곳니 옆의 작은 억므니가 안으로 쏙 들어가서 덧니 느낌이 더 강조되어 보이네요.
위아래 앞니가 긴밀하게 겹침이 없는 약간의 개방교합(오픈바이트, Openbite) 경향이 보입니다.
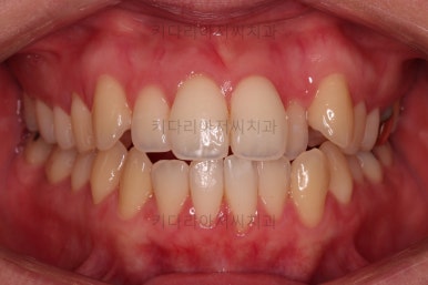
웃거나 말할 때 드러나는 치열이 삐뚤어서 심미적으로 좋지 못하고요.
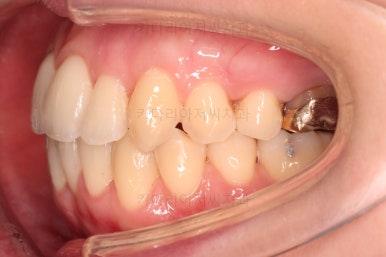
옆모습에서 약간의 돌출감이 있으나 힘을 줘서 다물만큼 부자연스러운 양상은 아니여서 돌출에 관해서는 환자분의 취향에 맡기기로 했습니다.
비발치 덧니교정
돌출입에 대해 크게 신경쓰지 않으셨기 때문에 치료계획은 우선 비발치로 하기로 했고요.
비발치임에도 입을 넣어 볼 것인지 말 것인지는 일단 치열을 가지런하게 해본 뒤 재판단하기로 여지를 남겨두었습니다.
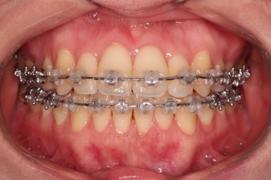
이번에 선택하신 장치는 자가결찰 세라믹 중에 엠파워 클리어라는 장치인데요.
흔히들 아시는 클리피씨도 같은 분류의 장치입니다.
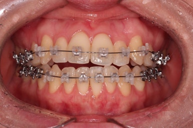
철사가 들어가니 삐뚤한 치열이 더 강조되어 보이네요.
장치가 들어간 직후의 얼굴모습인데요.
이번 환자분은 장치 때문에 입이 거의 안나오는 타입이셨고요.
세라믹이다 보니 웃을 때 보이는 느낌도 비교적 심미적입니다.
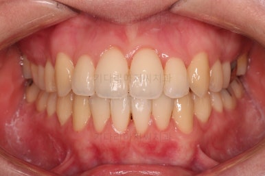
가지런하게 하는 것은 수월하기 때문에 이정도 모습까지는 6개월 이내로 걸리고요.
앞으로 어떤 치료를 하더라도 최소한 입은 더 안나오는 시점이 지금쯤이어서 얼굴모습을 보고 말씀을 나누기로 했어요.
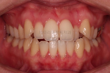
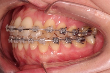
얼굴모습에 대한 중간평가인데요.
돌출입에 대해서는 고민을 조금 하셨지만 현재 모습을 만족하셨어요.
그래서 당연히 발치는 아니고, 비발치로도 입을 더 넣을 수 있는 찬스가 있긴하지만 치아배열만 원하는만큼 하고 마무리하기로 했답니다.
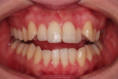
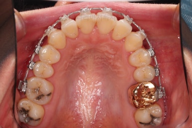
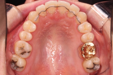
개방교합을 개선하면서 교합을 맞춰주고요.
디테일한 중앙선이라던지, 안에서 끄집어낸 치아의 각도라던지 비롯해서 환자분이 원하시는 느낌을 반영해서 마무리를 합니다.
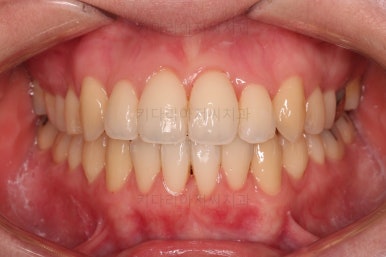
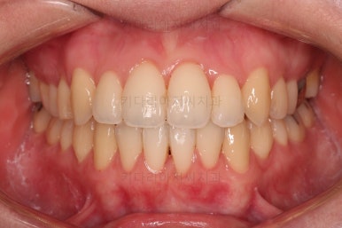
1년 2개월이라는 비교적 짧은 기간안에 원하시는 부분을 깔끔하게 개선했습니다.
전후 비교해 볼게요.
비발치는 입이 나오거나 치아가 뻗치지 않나요?
치아가 삐뚤다는 건 공간이 부족하다는 뜻이고 공간이 부족할 때 억지로 가지런하게 하면 앞니가 앞으로 튀어나오려는 경향이 있는데요.
어떤 테크닉을 사용하고 철사를 어떻게 다루느냐에 따라 결과물은 달라집니다.
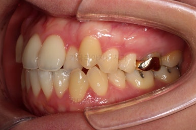
이번 환자분도 삐뚤한 치열을 비발치로,심지어 미니스크류 사용도 없었고 치간삭제도 거의 하지 않았는데요.
입이 나오거나 뻐뜨러지는 느낌 전혀 없죠?
진료 메카니즘을 잘 구성하고 철사를 잘 다뤄주면 좋은 결과를 얻을 수 있답니다.
이상 비발치로 덧니를 개선한 치료사례였습니다.
키다리아저씨치과에 오시는 길은 연제구 연산동 연산역 17번출구 바로 앞 건물 6층입니다.
치과교정과 전문의(부산대 외래교수)가 상주하며 교정치료 합니다.
<위 사진은 환자분의 동의를 구한 후 공개하는 사진자료입니다. 사진은 과장이나 조작이 없는 원본사진입니다. 교정치료로 인한 부작용으로는 치근흡수, 충치, 치아변색, 실활 등이 있을 수 있으며, 치료 전후 사진은 의료법 제 23조, 제 56조에 의거하여 게재합니다. 개인의 상태에 따라 치료결과는 달라질 수 있으므로, 교정전문의와 상의를 요합니다.>















































































































댓글