부산치아교정 키다리아저씨치과의 주걱턱 양악수술 교정 사례
- 키다리아저씨치과

- 2025년 2월 14일
- 4분 분량
안녕하세요.
오늘 부산치아교정 키다리아저씨치과에서 소개해 드릴 환자분은 아래턱이 큰 주걱턱으로 교정치료 + 양악수술을 병행하여 치료한 사례입니다.
나이 : 19세
치료방법 : 치아교정 -> 주걱턱수술(양악수술) -> 마무리교정
총 치료기간 : 2년 2개월(총 26개월)
부산치아교정 키다리아저씨치과에 처음 내원하셨을 때의 얼굴 모습입니다.
아래턱이 앞으로 나오고 아래쪽으로도 길어 하관이 매우 길고 튀어나와 보입니다. 이런 골격을 보이는 분들은 다음과 같은 특징이 있습니다.
아랫입술이 튀어나와 흔히 말하는 돌출입과는 다른 양상으로 입이 나와보입니다.
가만히 있을 때, 입꼬리가 아래쪽으로 쳐져서 뚱한 입모양이 됩니다.
웃을 때 위쪽 앞니 위주로 보이는 것이 아니라 어금니도 아래로 내려와 있는 것처럼 보입니다.
상대적으로 코가 낮아보이고 윗입술 ~ 광대까지 볼륨감이 없어 조금 꺼져보이게 됩니다.
부산치아교정 키다리아저씨치과에 처음 내원하셨을 때의 입안 모습입니다.
마찬가지로 아래턱이 크기 때문에 생기는 여러 문제점들이 보입니다.
아래 앞니는 위 앞니보다 더 앞에 나와있습니다. 당연히 앞니로 끊어먹는 기능을 못하게 됩니다.
위에 앞니는 뻐드러지고 아래 앞니는 옥니처럼 안으로 굽게 됩니다.
어금니 교합도 좋지 못합니다.
이렇게 아래턱이 큰 주걱턱의 경우 치료방법은 크게 두 가지가 있습니다.
아래턱 자체가 크기 때문에 턱 크기를 작게 해주는 수술의 방법이 있습니다. 어떻게 보면 수술이 좀 더 이상적인 방법으로 볼 수 있습니다.
턱뼈는 그대로 둔 채, 치아만 움직여서 맞물림만 개선하는 방법이 있습니다. 비수술 주걱턱교정인데요. 턱뼈 길이는 줄어들지 않기 때문에 드라마틱한 얼굴의 개선효과는 없지만 그래도 치열의 맞물림 개선마으로도 어느 정도의 얼굴모습 개선효과도 볼 수 있습니다.
이번 환자분의 경우는 얼굴 모습까지 개선하고 싶어 하셨기에 양악수술 + 치아교정을 병행하기로 하였습니다.
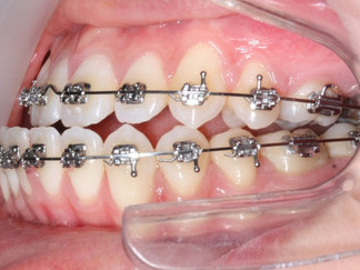
장치 부착 직후 모습입니다. 이번 환자분이 사용한 장치는 메탈장치입니다.
잠깐 여기서, 양악수술 + 치아교정의 경우 많이 하시는 질문을 몇 개 모아보겠습니다.
Q. 양악수술을 하는데도 교정을 해야 하나요?
A. 네. 양악수술을 하게 되면 턱뼈 위치가 한 번에 확 바뀌어 집니다. 현재 치열은 현재의 골격에 맞게끔 되어 있어서 수술 후에는 전혀 맞지 않는 교합이 됩니다. 따라서 치열의 맞물림을 개선하는 치아교정이 거의 대부분 필요합니다.
Q. 양악수술은 언제 하나요?
A. 대부분의 경우 수술 전에 6개월 ~ 1년 가량 수술전 교정을 합니다. 어느 정도 치열을 맞춰둔 후 수술을 하게 되면 예측성이 좋아지고 수술효과가 극대화됩니다. 수술 전 교정을 하지 않고 수술을 먼저 하는 선수술교정을 하기도 하는데 좀 더 테크닉적으로 까다롭기 때문에 전문의와의 상의하에 진행하셔야 합니다.
Q. 수술을 하게 되면 중간에 교정장치를 떼나요?
A. 수술 후에 교정치료 마무리를 좀 더 해야되기 때문에 교정장치는 그대로 달아둔 채 수술을 진행하게 됩니다.
Q. 수술을 하면 언제쯤 정상적인 일상생활이 가능한가요?
A. 양악수술 후에는 약 1주일은 입원을 하셔야 하며, 그 기간 동안은 입을 꽁꽁 묶어두고 미음이나 유동성 음식을 입 안으로 흘려서 식사하게 됩니다. 그 뒤에는 입을 스스로 뺐다꼈다 하는 고무줄을 통해 묶고 푸는 연습을 합니다. 2주까지는 죽 등 씹는 힘이 필요 없는 음식을 드셔야 합니다.
2주까지는 얼굴의 붓기도 굉장히 많기 때문에 이 시기까지는 그냥 쉬셔야 합니다.
2~4주까지는 서서히 부드러운 것 위주로 씹는 연습을 하고 4주 이후에는 일반적인 식사를 할 수 있도록 연습을 하게 됩니다. 여유있게 본다면 4주 정도는 쉬는게 좋으며 2~4주 사이에는 서서히 일상생활을 시작하셔도 됩니다.
부산치아교정 키다리아저씨치과에서 이번 양악수술을 앞두고 윗니는 2개 발치를 했습니다.
수술교정을 할 때, 위, 아래만 치아를 몇 개 뽑는 경우가 상당히 많습니다.
치료 전 - 수술직전 모습 비교
좌측 사진은 치료 전, 우측 사진은 수술직전(수술 전 교정까지 한 상태)입니다.
주걱턱이 점점 심해졌습니다. 큰 아래턱뼈에 맞게 아랫니를 제위치 시켜주는 과정이 수술 전 교정인데, 이렇게 해야 수술이 훨씬 예쁘게 잘됩니다.
이 시기까지 과정이 매우 정서적으로 힘들어 하십니다. 얼굴모습이 점점 더 원하지 않는 방향으로 가기 때문이죠. 그래도 이 시기를 잘 버티셔야 예뻐지실 수 있습니다.
동일하게 좌측 사진들이 부산치아교정 내원할 당시 치료 전 모습이고 우측 사진이 수술전 교정까지 마친 상태입니다.
얼굴 모습에서 보셨듯이 아랫니는 더 앞으로 튀어나오고 어금니 맞물림은 더 불편하게 됩니다.
수술전 교정은 어차피 수술 때 움직이게 될 각각의 뼈에 맞게 교합은 생각하지 않고 제위치로 움직이는 과정이라고 생각하시면 되겠습니다.
드디어 수술
좌측 사진은 부산치아교정 키다리아저씨치과에서 수술 전 교정까지 마친 상태의 모습이고 우측 사진은 양악수술을 진행하고 1주일이 경과한 퇴원시점에서 촬영한 사진입니다.
얼굴모습의 드라마틱한 변화가 관찰됩니다.
아직은 얼굴 주위 피부와 근육들이 갑자기 변한 뼈의 위치에 적응을 못한 상태이기 때문에 움직임이나 표정이 아직은 어색합니다.
이번 환자분은 얼굴 붓기가 거의 없어서 수술 후 2주 정도만 지나면 가벼운 집 밖 활동이 가능하겠지요.

앞서 설명을 드렸듯이 수술 직후에는 이렇게 치아에 스플린트를 끼고 턱뼈의 위치를 잡아주는 고무줄을 한동안 계속 껴야 합니다.
수술 전과 직후의 입안 모습 비교입니다.
좌측 사진이 수술직전의 입안 모습, 우측 사진이 수술 직후 입안 모습입니다. 한 순간에 확 바뀌어 버립니다.
수술 전 교정을 얼마나 잘 해놓느냐에 따라 수술 이후에 시행할 교정이 매우 줄어들게 되고 수술 후 맞물림이 굉장히 좋게 됩니다.
수술 이 후 마무리 교정
수술 후, 약 1개월 반 정도가 지나면 수술 후 교정과정에 들어가게 됩니다.
앞서 부산치아교정 키다리아저씨치과에서 수술 전 교정을 잘 진행해 두었기 때문에 수술 후 마무리과정은 굉장히 짧을 것으로 예상되었습니다.
수술 후, 1달 반 경과한 모습입니다.
붓기도 빠지고 얼굴 표정이나 근육의 움직임도 점점 자리를 잡아 갑니다.
특이사항 없이 마무리를 했습니다.
부산치아교정 키다리아저씨치과에서 수술 후 교정에 5개월이 걸렸네요. 앞니는 유지철사를 붙이고 특히 윗니는 발치를 시행했기 때문에 뽑은 자리가 다시 벌어지지 말라고 뽑은 자리를 가로질러 유지철사를 붙였습니다.
전후 비교
좌측 사진은 부산치아교정 키다리아저씨치과에서 처음 내원시 사진, 가운데 사진은 수술 전 교정을 마친 수술 직전의 사진, 우측 사진은 수술 후 교정치료까지 모두 끝낸 최종 사진입니다.
주걱턱 치료를 위한 양악수술을 통해 큰 아래턱이 개선되었고 얼굴 길이도 많이 짧아졌습니다.
뚱해보이던 입술도 입꼬리의 위치가 올라가면서 좋아졌고, 웃는 모습이나 표정도 매우 자연스럽고 좋아졌습니다.
좌측 사진은 부산치아교정 키다리아저씨치과에 처음 오셨을 때 입안 사진, 가운데 사진은 수술 전 교정치료까지 마쳤을 당시의 사진, 우측 사진은 수술과 교정을 모두 마쳤을 때의 사진입니다.
수술 직전까지는 점점 악회되는 양상으로 교합이 변해가지만 수술 이후 맞물림이나 치아배열이 모두 좋아졌습니다.
이상 부산치아교정 키다리아저씨치과에서 시행한 양악수술 + 교정치료 동반한 주걱턱치료 사례였습니다.
키다리아저씨치과에 오시는 길은 연산역 17번출구 바로 앞 건물 5, 6층입니다.
치과교정과 전문의(부산대 외래교수)와 치과보철과/통합치의학과 전문의(부산대 외래교수) 2명이 상주하며 교정치료와 일반치과치료를 협진하여 진료합니다.
<위 사진은 환자분의 동의를 구한 후 공개하는 사진자료입니다. 사진은 과장이나 조작이 없는 원본사진입니다. 교정치료로 인한 부작용으로는 치근흡수, 충치, 치아변색, 실활 등이 있을 수 있으며, 치료 전후 사진은 의료법 제 23조, 제 56조에 의거하여 게재합니다. 개인의 상태에 따라 치료결과는 달라질 수 있으므로, 교정전문의와 상의를 요합니다.>














































































































































































댓글