부산인비절라인 키다리아저씨치과에서 시행한 비발치 덧니교정 치료사례
- 키다리아저씨치과

- 2월 13일
- 2분 분량
"미니스크류를 이용한 투명교정장치에 관한 논문"으로 2023년도 Angle orthodontist(미국의 교정학회지) SCI 저널에 제 1저자로 게재되었습니다.
"2023년 대한치과 교정학회에서 표창장을 수여하였습니다."
"2023년 섹 구순국개열 학회에서 포스터 발표를 하였습니다."
항상 공부하고 노력하는 키다리아저씨치과가 되겠습니다.
안녕하세요.
오늘 부산인비절라인 키다리아저씨치과에서 소개해 드릴 환자분은 덧니로 교정을 하는데 인비절라인 장치를 원하셨던 분입니다.
나이 : 32세
총 치료기간 : 1년 9개월(총 21개월)
사용한 장치 : 인비절라인(Invisalign)
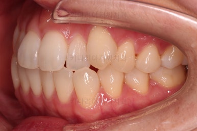
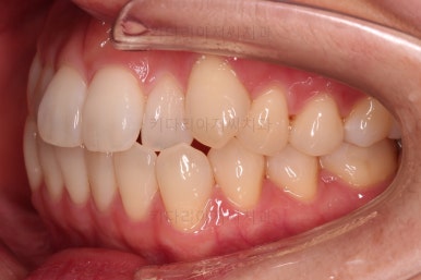
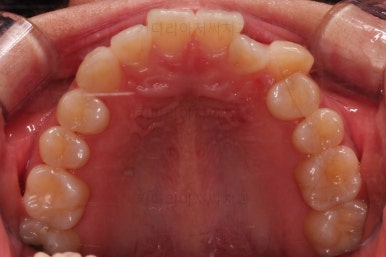
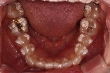
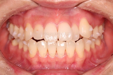
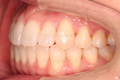
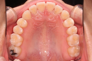
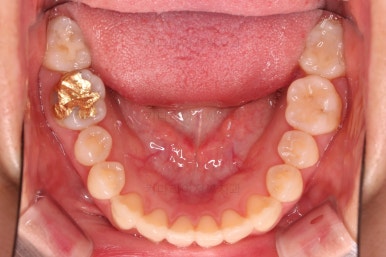
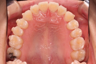
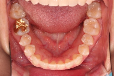
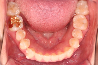
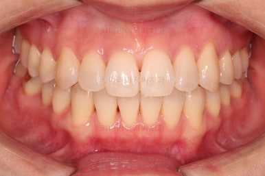
1. 초진
초진 시 입안의 모습입니다.
덧니가 눈에 띄고요.
맞물림이 긴밀하지 못한 상태였습니다.
전반적으로 약간 삐뚤지만 많이 심하다고 보긴 힘들었습니다.
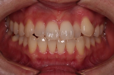
마찬가지로 초진 시 얼굴 모습인데요.
옆라인 나쁘지 않고요. 환자분 스스로도 입이 나왔다거나 하는 불만은 없는 상태였습니다.
입을 다문 느낌도 편안하고 좋네요.
다만 웃을 때 덧니가 강조되어 보이고요.
덧니가 있는 방향으로 치열들이 쏠리고 틀어져 중앙선이 맞지 않는 양상이었습니다.
2. 치료계획
비발치 교정.
고민의 여지 없이 당연히 비발치 교정입니다.
이정도의 삐뚤한 정도는 발치 없이도 공간을 마련할 방법은 충분합니다.
장치는 보이지 않는 장치를 원하셨기 때문에 부산인비절라인으로 진행하기로 했습니다.
3. 치료 경과
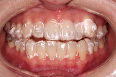
장치를 착용한 사진입니다.
투명한 플라스틱 시트가 치아를 감싸면서 미세하게 움직이는 힘을 주는 장치인데요.
조금 더 투명하게 보이는 팁을 드리자면 내면을 물로 적셔서 착용하게 되면 장치와 치아 사이가 더 밀착하는 느낌을 주며 굉장히 더 투명해 보입니다.
장치를 착용한 얼굴모습인데요.
흐닣 상상하는 교정장치의 느낌과는 다르죠?
장치를 착용했음에도 거의 눈에 띄지 않고요.
(물론 자세히 보면 자연치아와 다른 약간의 이질감은 있긴 있습니다.)
그리고 중요한 사회생활을 할 때는 잠깐 빼둘 수 있어 더 심미적이죠.
플라스틱 시트가 부피감이 거의 없기 때문에 장치를 착용했다고 입이 더 나와보이는 것도 아닙니다.
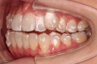
삐뚤한 덧니를 가지런하게 하기 위해서 필요한 부분의 어금니를 순차적으로 뒤로 밀어줍니다.
자세히 보면 치아 사이사이에 틈새가 생기는게 보이죠?
틈새를 일부러 만들어 해당 공간으로 덧니를 가지런하게 하는 원리입니다.
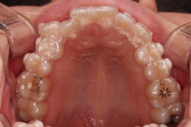
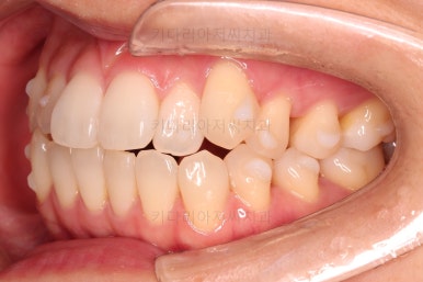
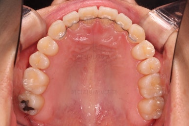
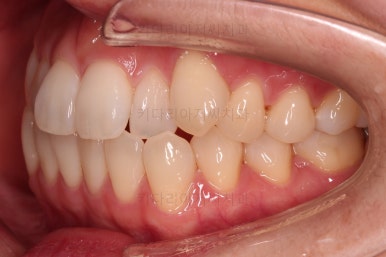
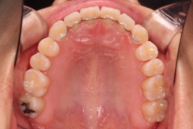
장치를 사용한지 1년 2개월째 사진입니다.
매우 가지런해졌죠.
보통 부산인비절라인은 풀세트로 3회가량 하게 되는데요.
이번 환자분은 1회로도 이 정도의 결과를 만들어 냈습니다.
이 정도의 느낌도 나쁘지는 않지만 미세하게 수정할 부분들이 보여 1회 더 제작하기로 했습니다.
추가 제작할 때마다 약 5주 가량의 제작/배송 시간이 걸리기 때문에 일반적인 철사교정 장치보다 기간은 넉넉히 보시는게 좋긴 합니다.
1회 치료를 마친 시점의 얼굴모습인데요.
입매는 그대로이며 치열도 고르고 중앙선도 많이 좋아졌습니다.
두번째 세트를 진행 중입니다.
부족한 부분을 좀 더 맞춰주고요.
마무리를 하게 됩니다.
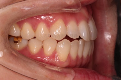
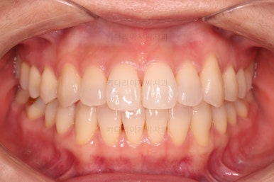
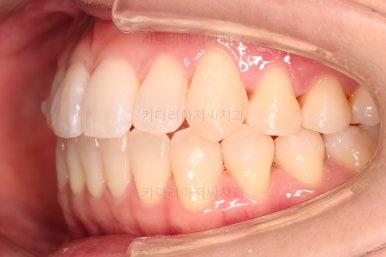
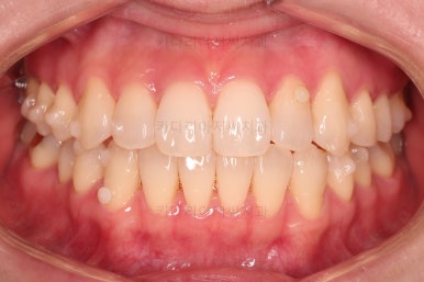
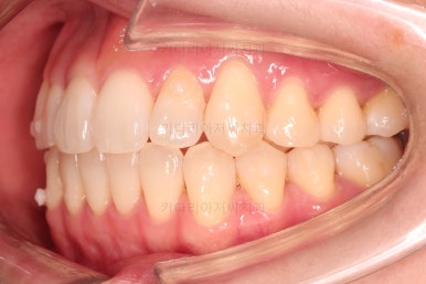
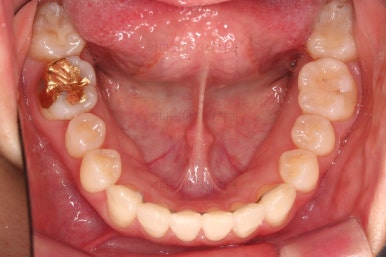
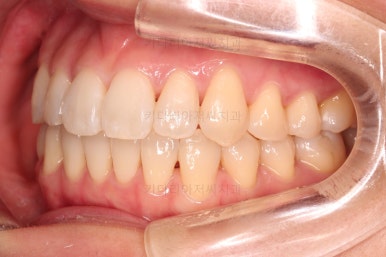
4. 마무리
철사교정과 마찬가지로 앞니쪽에 유지장치를 구성하고 치료를 종료합니다.
매우 가지런해졌고요.
맞물림도 좋아졌고, 중앙선도 잘 맞춰졌습니다.
부산인비절라인 전후 비교해 보겠습니다.
입매를 유지하면서 비발치이더라도 입이 더 나오지 않게 마무리 했고요.
가지런한 느낌 좋고, 중앙선이라던지 교합도 좋아졌습니다.
장치 제작기간 제외하면 약 19개월 정도 소요된 부산인비절라인 치료였습니다.
이상 부산인비절라인을 이용해 비발치로 덧니를 치료한 사례였습니다.
부산 연산동 교정치과 키다리아저씨치과에 오시는 길은 연제구 연산동 연산역 17번출구 바로 앞 건물 6층입니다.
치과교정과 전문의(부산대 외래교수)가 상주하며 교정치료 합니다.
<위 사진은 환자분의 동의를 구한 후 공개하는 사진자료입니다. 사진은 과장이나 조작이 없는 원본사진입니다. 교정치료로 인한 부작용으로는 치근흡수, 충치, 치아변색, 실활 등이 있을 수 있으며, 치료 전후 사진은 의료법 제 23조, 제 56조에 의거하여 게재합니다. 개인의 상태에 따라 치료결과는 달라질 수 있으므로, 교정전문의와 상의를 요합니다.>

















































































































































댓글