부산부정교합 키다리아저씨치과에서 시행한 매복치아 및 2급 부정교합 치료사례
- 키다리아저씨치과

- 2월 25일
- 3분 분량
"미니스크류를 이용한 투명교정장치에 관한 논문"으로 2023년도 Angle orthodontist(미국의 교정학회지) SCI 저널에 제 1저자로 게재되었습니다.
"2023년 대한치과 교정학회에서 표창장을 수여하였습니다."
"2023년 세계 구순구개열 학회에서 포스터 발표를 하였습니다."
항상 공부하고 노력하는 키다리아저씨치과가 되겠습니다.
안녕하세요.
오늘 부산부정교합 키다리아저씨치과에서 소개해 드릴 환자분은 매복치아가 있었고, 부정교합과 덧니와 뻐드렁니를 고치고 싶어하셨던 분입니다.
나이 : 26세
총 치료기간 : 1년 6개월(총 18개월)
사용한 장치 : 자가결찰 메탈 + 세라믹(엠파워 메탈 + 세라믹) + 미니스크류
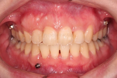
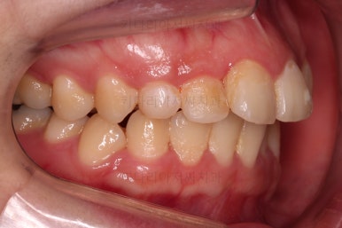
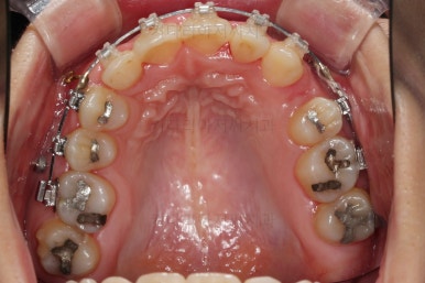
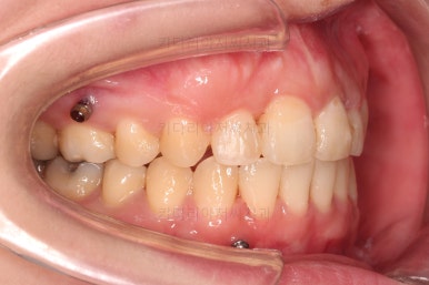
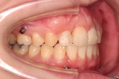
1. 초진
초진 시 입안의 모습입니다.
앞니쪽이 조금 삐뚤어 보인다는 점 이외에는 큰 문제점이 보이지 않죠?
어금니쪽을 자세히 관찰해 보면, 위아래 어금니의 맞물림(교합)이 어긋나 있는데요.
톱니바퀴처럼 물려야 되는 교합이 한 칸 씩 윗니가 아랫니보다 앞으로 나가있는 앵글씨 2급 부정교합 상태였습니다.
부정교합도 흔히 있을 수 있는 일이기 때문에 특징적으로 큰 문제는 느껴지지 않을 수 있는데요.
마찬가지로 초진 시 얼굴 모습입니다.
아래턱이 작고, 상대적으로 위턱이 나오면서 윗입술 부위의 약간의 돌출감이 있고요.
물론 심하지 않았기 때문에 무조건 개선해줘야 되는 상황은 아니었습니다.
다만, 부산부정교합을 개선하기 위해서는 윗니는 뒤로 당겨줘야 하고, 그 과정에서 입이 들어갈 수 밖에 없는 치료이긴 했습니다.
덧니 때문에 웃을 때 미적으로 좋지 못하고요
앞니는 약간 뻗친 양상이었습니다.
여기까지만 봐도 뭐가 큰 문제일까 싶죠?
2. 치료계획
초진 시 X-ray를 보면 큰 문제가 있구나 바로 알아차리실 수 있을건데요.
화살표 부분이 송곳니 입니다.
송곳니가 제 위치로 나오지 못하고 주위 치아들 방향으로 누워있는 상태로 매복되어 있는데요.
그러면 송곳니 자리에 있는 치아는 뭐냐?
바로 진작에 빠졌어야 할 유치가 남아서 자리를 대체하고 있었죠.
Q. 매복치아는 무조건 견인하여 살려 써야 하는가?
송곳니는 일반적으로 뿌리도 크고 형태적으로나 위치적으로 중요한 치아이기 때문에 왠만하면 살려 쓰는게 가장 좋습니다.
하지만 이번 환자분도 그래야 할까요?
우선은 CT를 촬영해서 정확한 위치, 송곳니의 상태, 주위 치아와의 관계 등을 파악합니다.
굉장히 이견이 많을 수 있는 치료계획이겠지만 부산부정교합 키다리아저씨치과는 이번 치료에서 매복 송곳니를 발치하기로 결정했습니다.
이유는 다음과 같습니다.
이미 위치가 좋지 못하여 앞니 2개의 뿌리 일부를 녹이고 있었던 점. 견인하기 위한 장치 구성이나 방향에서 분명 해당 앞니들에 좋지 못한 영향을 줄 수 있는 점.
기간이 매우 오래 걸린다는 점.
정상적인 송곳니 보다는 뿌리형태나 길이가 좋지 못한 점.
송곳니를 끌고 오는 경로의 잇몸이 나빠질 것으로 예상된 점.
윗니는 발치교정이 예정되어 있으므로 어차피 1개 치아는 뽑아야 되었다는 점.
등등 살려 썼을 때와 발치를 했을 때를 비교했을 때 살려 쓰는게 이점이 거의 없는 상황이었습니다.
그래서 발치를 했고요.
물론 발치하는 과정에서도 근접하고 있는 앞니도 뿌리가 손상될 가능성이 있긴 했지만 견인 할 때도 마찬가지의 리스크는 당연히 있는거고요.
2급 부정교합도 함께 개선하기 위해서 반대편 치아도 발치를 했습니ㅏㄷ.
총 3개의 치아, 매복치, 남아있는 유치, 반대쪽 윗니 작은 어금니 1개를 발치하고 교정치료를 진행합니다.
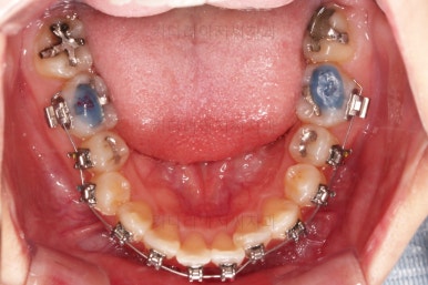
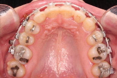
3. 치료경과
장치를 구성합니다.
이번 환자분은 윗니는 세라믹, 아랫니는 메탈 장치를 선택하셨는데요.
둘 다 물론 자가결찰 장치였고요.
동일한 제품의 장치이므로 혼용해서 쓰는게 가능합니다.
많이 보이는 부분은 세라믹, 잘 안보인다고 여겨지시는 부분은 메탈로 선택하면서 치료비 측면도 함께 고려한거죠.
장치 부착 직후의 모습인데요.
보이는 느낌과 장치 때문에 약간 더 튀어나오는 입매 참고 바랍니다.
장치 때문에 입이 나오는 정도는 사람마다 매우 다르므로 실제로 부착해 봐야 아는 경우가 많긴 합니다.
아랫니는 발치 없이 가지런하게 해주고요.
윗니는 가지런하게 한 뒤 발치공간을 서서히 닫아줍니다.
유치는 크기가 작았기 때문에 생각보다 빨리 공간이 닫히고 있고요.
반대쪽 작은 어금니 부분은 공간이 아직 많이 남은 편이죠.
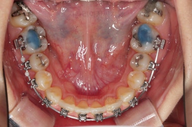
매복치아 발치 부위의 앞니도 이미 뿌리가 약간 손상된 상태였기 때문에 교정 중에도 경과 관찰을 잘 해줘야 합니다.
미니스크류를 적절히 사용해서 부정교합도 맞추고 입매도 약간 들어가게 혹은 너무 들어가지 않게 조절해 주고요.
치열의 경사 등등도 조절해 줍니다.
부산부정교합이긴 하지만 애초에 입매가 많이 나쁘진 않았기 때문에 자칫하면 입이 너무 들어갈 수 있어 중간중간 환자분과 상의하여 너무 들어가지 않게끔 조절해 줍니다.
적절하게 틈도 다 모아주고요.
디테일을 정리하고 마무리를 하게 됩니다.
4. 마무리
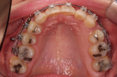
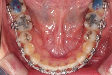
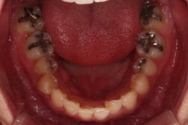
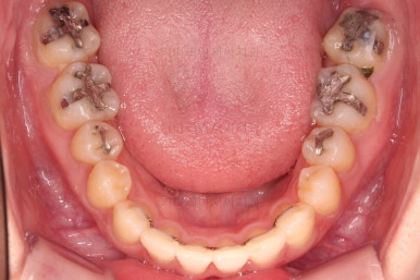
치료 종료 시 입안의 모습입니다.
윗니만 발치를 했지만 교합이 잘 맞고요.
한 쪽 송곳니가 없지만 기능적으로 전혀 문제를 못느끼실 교합을 맞춰놨고요.
위아랫니 가지런해졌고요.
대신 중앙선은 약간 틀어져 있는데요.
한 쪽은 송곳니가 없고 한 쪽은 작은 어금니를 발치했기 때문인데요.
18개월이라는 짧은 기간동안 부정교합, 덧니, 심지어 매복치아까지 개선했는데 양측 치아 사이즈 문제로 생기는 중앙선 정도는 아무 문제가 안되는거죠.
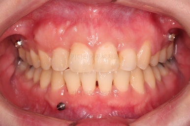
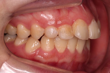
전후 비교입니다.
입매도 약간 나와있던 윗입술이 들어가면서 턱끝의 위치나 느낌도 같이 바뀌었고요.
웃을 때 보이는 치아의 가지런한 느낌과 뻗친 정도는 매우 좋아졌습니다.
이상 매복치를 발치하고 덧니와 2급 부정교합을 개선했던 치료사례였습니다.
부산 연산동 교정치과 키다리아저씨치과에 오시는 길은 연제구 연산동 연산역 17번출구 바로 앞 건물 6층입니다.
치과교정과 전문의(부산대 외래교수)가 상주하며 교정치료 합니다.
<위 사진은 환자분의 동의를 구한 후 공개하는 사진자료입니다. 사진은 과장이나 조작이 없는 원본사진입니다. 교정치료로 인한 부작용으로는 치근흡수, 충치, 치아변색, 실활 등이 있을 수 있으며, 치료 전후 사진은 의료법 제 23조, 제 56조에 의거하여 게재합니다. 개인의 상태에 따라 치료결과는 달라질 수 있으므로, 교정전문의와 상의를 요합니다.>









































































































































댓글