부산부분치아교정 키다리아저씨치과의 앞니 부분교정 치료사례
- 키다리아저씨치과

- 2025년 11월 19일
- 2분 분량
안녕하세요.
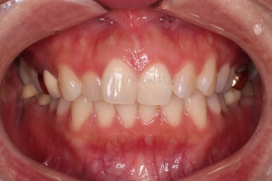
오늘 부산부분치아교정 키다리아저씨치과에서 소개해 드릴 환자분은 앞니가 삐뚤고, 토끼처럼 나와있다고 교정치료를 원하셨던 분입니다.
나이 : 29세
총 치료기간 : 6개월
사용한 장치 : 자가결찰 세라믹(엠파워 클리어, Empower clear) + 미니튜브 + 미니스크류
초진 시, 얼굴 모습입니다.
입을 다물었을 때 편안하게 다물리는 느낌이 좋고요. 입술선이 약간 경사진 비대칭이 있지만 골격의 구조적인 문제가 아니라 넘어갑니다.
옆 라인도 입술이 약간 볼록하긴 하지만 좋은 라이니고, 어떻게 보면 요즘 선호하는 트랜디한 라인이에요. 굳이 입매를 바꿀 이유가 없겠네요.
웃을 때 모습에서 앞니가 조금 삐뚤어 미적으로 좋지 못하고, 특히나 대문니가 더 튀어나와 강조되어 보이고 유달리 커보이는 효과까지 주네요.
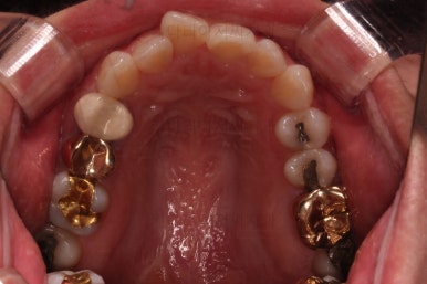
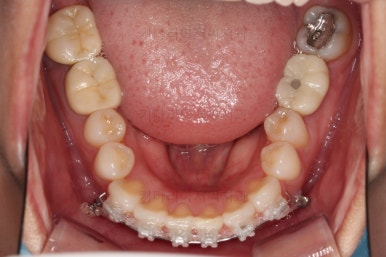
어금니의 맞물린은 100점은 아니지만 생활하기에 크게 나빠보이지 않고요.
특히 임플란트도 있는 상황이었기 때문에 굳이 어금니까지 교정할 필요는 없어보였어요.
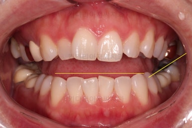
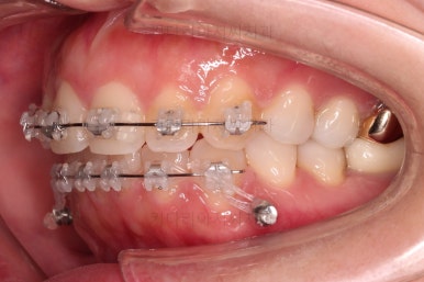
앞니 부분교정으로 치료계획을 세웠는데 다른 분들에 비해 난이도가 높은 치료가 예상되었던 이유는 우측 상단의 사진에 선 그어놓은 부분을 보시면 어금니에 비해 아래앞니가 약간 솟구쳐 높이가 맞지 않다는 점이었어요.
이 부분을 개선하기 위해 일반적인 부분교정 외에 추가적인 장치가 필요했었습니다.

특히나 부분교정은 실현 가능성이 있는지에 대한 예측이 중요한데요.
눈대중으로 가능하겠거니 하고 들어갔다가는 결과물이 제대로 나오지 않아 만족도가 떨어지는 경우가 있어요.
그래서 치료계획에 따라 미리 가상을 시뮬레이션을 해보고 치료결과를 예측해본 뒤 실제 교정을 하게 됩니다.
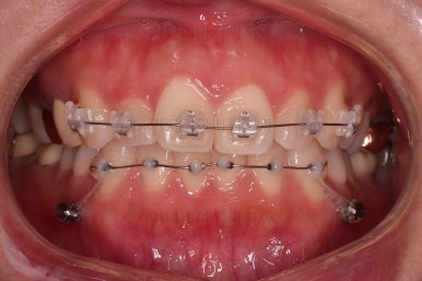
이번에 부산부분치아교정 환자분이 선택하신 장치는 엠파워 클리어라고 하는 자가결찰 세라믹인데요.
흔히들 아시는 클리피씨가 이러한 종류의 장치에요.
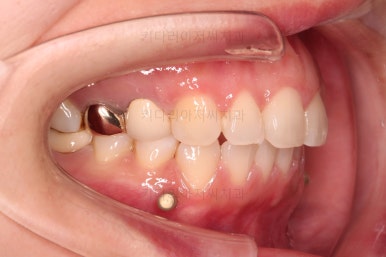
아랫니는 일반 브라켓 보다 매우 작은 장치가 들어갔는데요.
미니튜브 장치에요.
일반적으로 MTA 장치라고 많이 알려져 있는데요. MTA라는 상품명과는 다른 장치이긴한데 왜 이 장치를 사용했을까요?
보기도 덜 보이는 장점이 있지만 이번 환자분의 경우에는 아랫니가 약간 솟구쳐 오르면서 장치를 부착하게 되면 씹혀서 매우 불편감이 예상되었었어요.
그래서 초기 정렬단계에서는 미니튜브를 이용해 주고, 추후에 좀 더 정교한 조절이 필요한 상황에서는 브라켓장치(엠파워 클리어)로 재부착하기로 했어요.
그리고 아랫니 송고니 옆 잇몸에 보시면 미니스크류가 식립이 되어있는데요.
이는 솟구친 아래 앞니의 높이를 조절하기 위해 사용이 됩니다.
이부분이 해결이 되어야 좀 더 완성도 높은 부분교정이 가능해요.
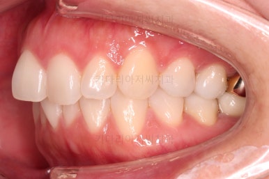
장치 부착 직후의 얼굴 모습인데요.
입이 얼마나 나오는지에, 웃을 때 보이는 브라켓의 모습은 어떤지 참고해 주세요.
이번 환자분은 브라켓을 부착했다고 해서 입이 거의 나오지 않는 경우였어요.
이처럼 입이 얼마나 나올지는 사람마다 매우 달라서 일단 붙여봐야 아는 경우가 많답니다.
일반적으로 부분교정은 6개월 전후가 소요되는데요.
더 짧게 걸리는 경우도 있고 길게 걸리는 경우도 있어요.
이번 환자분은 아래 앞니의 높낮이도 맞춰줘야해서 미니스크류까지 이용한 상황이었으나 6개월 정도 걸려서 비교적 발리 마무리 될 수 있었어요.
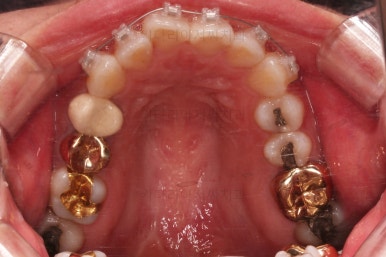
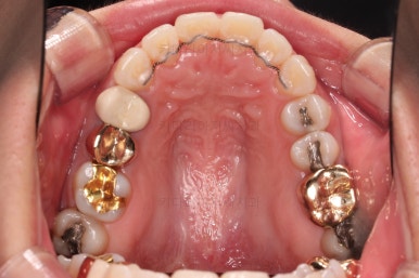
조금더 디테일을 조절하고 부산부분치아교정 마무리를 합니다.
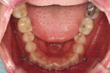
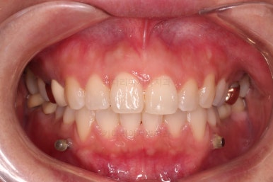
전후 사진을 비교해 볼게요.
6개월만에 부산부분치아교정 완료했어요.
치열도 가지런해졌고, 웃는 모습도 매우 좋아졌네요.
이상 미니스크류, 미니튜브 등을 이용해 앞니를 부산부분치아교정 했던 치료사례였습니다.
키다리아저씨치과에 오시는 길은 연제구 연산동 연산역 17번출구 바로 앞 건물 5, 6층입니다.
치과교정과 전문의(부산대 외래교수)가 상주하며 교정치료 합니다.
<위 사진은 환자분의 동의를 구한 후 공개하는 사진자료입니다. 사진은 과장이나 조작이 없는 원본사진입니다. 교정치료로 인한 부작용으로는 치근흡수, 충치, 치아변색, 실활 등이 있을 수 있으며, 치료 전후 사진은 의료법 제 23조, 제 56조에 의거하여 게재합니다. 개인의 상태에 따라 치료결과는 달라질 수 있으므로, 교정전문의와 상의를 요합니다.>































































































댓글