부산부분교정 키다리아저씨치과의 앞니 설측(MTA) 케이스
- 키다리아저씨치과

- 2024년 12월 31일
- 2분 분량
최종 수정일: 2025년 1월 16일
키다리아저씨치과에서 소개해 드릴 케이스는 삐뚤한 앞니, 가운데 앞니(대문니)가 뻐드러지고 돌출되어 부산부분교정 교정치료를 하고 싶어 하셨던 분입니다.
나이 : 46세
총 치료기간 : 1년 2개월 (총 14개월)
장치 : 설측 부분교정(MTA)

앞니가 뻐드러졌고 위아래 앞니의 간격이 앞뒤로 멀었습니다.
아래턱이 작다 보니 따라서 아랫니들도 뒤쪽에 위치하게 되면서 앞뒤로 멀어지고 위쪽의 앞니도 삐뚤어지고 뻐드러지게 된 결과였습니다.
이상적이고 원칙적이라면 전체교정이 필요한 상태였습니다.
아래턱이 작은 경우 상대적으로 입이 돌출되어 보이기 때문에 무턱이나 돌출입 증상이 같이 따라오게 됩니다.
이번 케이스처럼 앞니까지 뻐드러졌다면 돌출입을 더 만들고 턱도 더 작아 보이게 만듭니다. 또한 구강 내에서도 아래턱이 작다 보니 교합이 불안정하게 됩니다.
이와 같은 경우 필요하면 작은 어금니를 발치해서 튀어나온 앞니를 뒤로 쭉 밀어주게 되는 발치교정을 하게 됩니다. 교합도 맞추고 돌출입도 넣는 것이죠.
그러나 연령이 46세 이시고 살아오시면서 교합에 대한 불편함이 없으셨기에 이상적으로는 전체교정을 하여 맞춰야 하지만 본인이 개선 의사가 없으신데 굳이 할 필요가 없다고 판단되었습니다.
결국 튀어 나와있는 대문니 2개만 어느정도 가지런해지면 만족하겠다고 하셔서 키다리아저씨치과에서 부산부분교정 진행하기로 했습니다.
MTA 라는 장치를 사용하였고 직업 특성상 대화를 많이 하셔야 하기 때문에 설측교정으로 했습니다.
보시는 것처럼 장치가 안쪽에 부착되는 설측교정은 겉으로 보았을 때는 교정치료를 하고 있는지의 표시가 전혀 안납니다.
바깥에 붙이는 장치와 비교를 하였을 때 장단점이 있기 때문에 상의를 하여 장치를 선택해야 합니다.
보통 부산부분교정 경우 평균 6개월 전후의 기간이 걸리지만 이번의 케이스는 대문니가 움직어여야 할 양이 좀 있는 편이라 시간이 많이 걸린 편입니다.
점점 앞니가 가지런해 지는 것이 보이시나요?
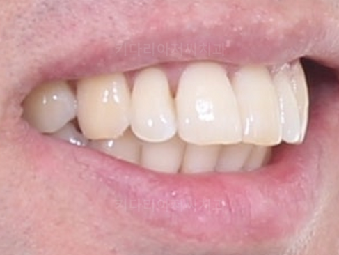
가지런해진 것 뿐만 아니라 튀어나와 있던 대문니도 뒤로 서서히 들어가고 있습니다. 아래 앞니는 교정치료 하지 않고 윗니만 부산부분교정 했기 때문에 위아래 앞니의 앞뒤 간격 차이를 보면 변화를 관찰하기 쉽습니다.
보통 부분교정을 할 때는 앞니만 컨트롤 하기 때문에 삐뚤어진 치아를 바르게 하다보면 오히려 더 튀어 나오는 경우가 많습니다.
이와 같은 부작용을 방지하기 위해 키다리아저씨치과에서는 치간삭제라는 방법을 활용하고 있습니다. 치아 사이사이를 미세하게 다듬어 크기를 미세하게 줄이는 술식으로 삐뚤어진 치아를 가지런하게 하려면 공간이 필요하고 해당 공간을 마련하기 위해서 미세한 틈새를 만드는 것입니다.
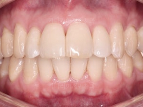
마무리 시점입니다.
치아가 원래 상태로 돌아가려는 재발현상을 막기 위해 유지철사를 안쪽에 부착하고 종료를 하였습니다.
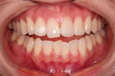
전체 전후사진을 보여드리겠습니다.
윗니들이 가지런해진 상태이며 튀어나왔던 대문니도 많이 들어갔습니다.
겹쳐져서 튀어 나온 대문니가 자연스레 뒤로 들어갔고 치간삭제를 하였음에도 치아의 크기나 비율이 어색하다거나 달라져 보이지는 않습니다.
웃을 때도 느낌이 많이 바뀐 부분을 볼 수 있습니다.
이상 부산부분교정 케이스였습니다.
환자분 사진 공개에 동의하에 사용하였습니다.
부산교정잘하는치과 키다리아저씨치과는 연산역 17번 출구 바로 앞 5, 6층입니다.
치과교정과 전문의(부산대 외래교수)와 치과보철과/통합치의학과 전문의(부산대 외래교수) 2명이 상주하며 교정치료와 일반치과치료를 협진하여 진료합니다.
<위 사진은 환자분의 동의를 구한 후 공개하는 사진 자료입니다. 사진은 과장이나 조작이 없는 원본사진입니다. 교정치료로 인한 부작용으로는 치근흡수, 충치, 치아변색, 실활 등이 있을 수 있으며, 치료 전후 사진은 의료법 제 23조, 제 56조에 의거하여 게재합니다. 개인의 상태에 따라 치료결과는 달라질 수 있으므로, 교정전문의와 상의를 요합니다.>





































댓글