부산보험임플란트 키다리아저씨치과의 보험임플란트 + 보험틀니 사례
- 키다리아저씨치과

- 2025년 3월 13일
- 3분 분량
안녕하세요.
오늘 부산보험임플란트 키다리아저씨치과에서 소개해 드릴 환자분은 틀니상담으로 내원을 하여 보험틀니와 보험임플란트로 치료를 진행한 분입니다.
나이 : 73세
총 치료기간 : 2023년 10월 24일 ~ 2024년 8월 26일(총 10개월)
사용한 재료 : 임플란트
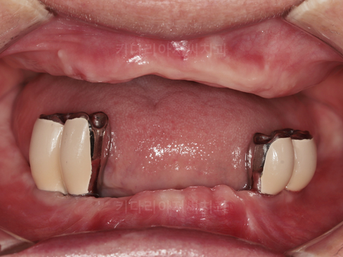
부산보험임플란트 키다리아저씨치과에 처음 오셨을 때의 입안 사진입니다.
전체적으로 치석이 많이 침착되어 있으며 잇몸이 부어있고, 어금니 결손으로 씹는 기능이 안되다 보니 전체적으로 치아들이 많이 정출되어 있습니다.
또한 앞니 보철과 치아 뿌리가 분리되어 보철이 흔들리는 상태였습니다.

부산보험임플란트 키다리아저씨치과 초진 시 X-ray 사진 입니다.
전체적으로 잇몸뼈가 많이 녹아있으며, 잔존뿌리 뿐만 아니라 부분적으로 보철한 치아들도 뿌리쪽에 염증이 있음을 확인할 수 있습니다. 전체적으로 상태가 좋지 않아 아래쪽 앞니 보철한 치아를 제외하고 모두 발치 후 상악은 보험 틀니, 하악은 보험 임플란트 + 부분틀니를 진행하기로 하였스빈다.
아래쪽은 예후가 안좋은 앞니로만 틀니 힘을 받으면 치아에 무리가 많이 갈 수 있어, 작은 어금니 양ㅉ고으로 임플란트 식립하여 보험 부분틀니로 진해앟기로 하였습니다.
전체적으로 발치 후 심미/기능성을 위해 상하 임시틀니를 사용하여 치료를 하났기 진행할 예정입니다. 아래 앞니도 예후가 좋은 편은 아니나 치료할 부분이 많아 최대한 살려서 진행해보기로 환자분과 상의하였습니다.
현재 혈압약 복용 중이라 내과 먼저 다녀오신 후에 안전하게 발치하여 치료를 시작하였습니다.
혈압약 복용 발치 시 고려할 점
발치를 하는 과정에서 국소마취제를 사용하여 마취를 시행하며 국소마취제 성분에는 혈관수축제가 들어있다 보니 마취제로 인해 혈압상승을 야기시킬 수 있으며, 지혈이 안되는 문제점이 발생할 수 있기 때문에 혈압약을 복용중인 분들이라면 꼭 다니시는 병원에 내과전문의와 상의 후 진행 하는게 좋습니다.
부산보험임플란트 키다리아저씨치과 초진시 얼굴사진입니다.
잇몸경계부위 보철이 흔들리고 빠져있어 활짝 웃는게 어색하고 부자연스러운 느낌이 있습니다.

염증이 있는 치아와 잔존 뿌리를 모두 발치하여 정리된 사진입니다. 발치 후에도 바로 임플란트를 식립하는 것이 아니라 3개월정도 기다리며 어느 정도 뼈가 차오르면 식립하게 됩니다.
보험임플란트, 보험틀니 혜택
보험임플란트는 만 65세이상 건강보험가입자 또는 피부양자라면 1인당 평생 2개, 본인부담금 30%의 금액으로 혜택을 받을 수 있고, 유지관리는 보철수복 후 3개월 이내라면 횟수 제한 없이 진찰료만 산정됩니다.
보험 틀니도 마찬가지로 만 65세이상 건강보험가입자 또는 피부양자라면 레진상 완전틀니, 부분들니 및 클라스프 부분틀니를 본인부담금 30%의 금액으로 혜택을 받을 수 있습니다. 유지관리의 경우는 첨상,개상 등 틀니 수리,조정 11개의 유지관리항목의 연간 인정횟수(1~4개)가 정해져 있습니다.
임플란트란?
결손된 치아를 대신하여 치조골(치아뼈)에 임플란트(나사) 식립 후 보철(크라운)을 연결하는 방식입니다.

아래쪽 모든 임플란트가 식립된 파노라마 사진입니다.
보통 아래쪽 같은 경우 임플란트 나사를 식립하게 되면 3개월 정도 골유착을 기다린 후 보철(크라운)을 올리게 되는데, 골질의 상태나 뼈이식량에 따라 기간은 달라질 수 있습니다.
임플란트를 식립해두고 3개월 정도의 기간이 지나면, 2차 수술을 진행하여 임플란트와 잇몸을 연결하기 위한 2차 수술과 나사뚜껑을 올리는 작업을 진행합니다.

2차수술이 완료되어 나사뚜껑이 올라간 사진입니다,
잇몸이 힐링되기까지 1~2주의 시간이 지난 후, 임플란트 식립체(나사)와 뼈가 단단하게 잘 유착되었는지 확인하기 위해, 임플란트 고정도 측정기라는 디지털 장비를 이용해 ISQ(골유착) 수치를 측정합니다.
일정수치 이상 높게 나오면 뼈와 나사가 잘 유착되었다고 보고 보철이 들어갈 준비를 하게 됩니다.
위쪽틀니와, 보철을 맞추고있는 사진입니다.
치료기간동안 아래쪽 앞니도 많이흔들리고 예후가 좋지 않아 결국 발치로 계획이 바뀌었고 발치후 부분틀니를 진행하기로 환자분과 상의하였습니다.
틀니와, 보철을 동시에 맞추고있는 사진입니다.
환자분은 보험틀니도 같이진행하기 때문에 위아래로 한번에 본을 떠서 틀니와 임플란트보철을 진행하였습니다. 틀니의 경우 제작과정이 복잡하며 4~5번 정도 거쳐서 전체적인 교합을 확인하며 조금씩 수정하면서 완성을 해나가야 하며, 처음 사용 시 불편하고 어색한 부분이 많기에 많은 시간이 소요되는 치료입니다.
제작할 때 안모, 교합, 형태 등 다방면으로 괜찮은지 확인하여 수정이 필요하다면 완성되기전 환자와 체크하여 수정이 이루어집니다. 완성 후에는 짧은 내원빈도로 체크하며 불편한 점은 없는지 주기적으로 확인하여 적응을 도와드리고 있답니다.
다행히 환자분의 경우 치료하시는 동안 위,아래쪽 임시틀니를 계속 사용하고 계셔서 적응을 빨리 하실 수 있었답니다.
틀니란?
상실된 치아의 잇몸에 인공적으로 넣었다 뺐다 하는 ‘의치’라고 하며, 임플란트보다 기간이 짧다는 장점을 가지고 있습니다.
임플란트 보철이 완료된 측면사진입니다.
초진때 사진과 다르게 남아있는 뿌리들과 안좋은 치아들은 제거된상태이고, 임플란트를 진행하여 보철이 올라간 상태입니다.

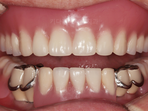
위쪽 완전틀니와 아래쪽 부분틀니+보험임플란트가 모두 완료된 사진입니다.
위쪽 완전틀니와 아래쪽부분틀니, 보험임플란트가 모두 완료된 측면사진입니다.
전보다는 안모도 개선되고, 웃는 모습도 자연스러워진 모습을 확인할 수 있습니다. 환자분도 모든 진료가 마무리되고 만족도가 더욱 높았던 치료입니다.
이상 부산보험임플란트, 보험틀니까지 진행한 사례였습니다.
키다리아저씨치과에 오시는 길은 연산역 17번출구 바로 앞 건물 5, 6층입니다.
치과교정과 전문의(부산대 외래교수)와 치과보철과/통합치의학과 전문의(부산대 외래교수) 2명이 상주하며 교정치료와 일반치과치료를 협진하여 진료합니다.
<위 사진은 환자분의 동의를 구한 후 공개하는 사진자료입니다. 사진은 과장이나 조작이 없는 원본사진입니다. 교정치료로 인한 부작용으로는 치근흡수, 충치, 치아변색, 실활 등이 있을 수 있으며, 치료 전후 사진은 의료법 제 23조, 제 56조에 의거하여 게재합니다. 개인의 상태에 따라 치료결과는 달라질 수 있으므로, 교정전문의와 상의를 요합니다.>

































댓글