부산교정치료 키다리아저씨치과의 청소년 비발치 덧니 치료사례
- 키다리아저씨치과

- 1월 14일
- 2분 분량

"미니스크류를 이용한 투명교정장치에 관한 논문"으로 2023년도 Angle orthodontist(미국의 교정학회지) SCI 저널에 제 1저자로 게재되었습니다.
항상 공부하고 노력하는 키다리아저씨치과가 되겠습니다.
안녕하세요.
오늘 부산교정치료 키다리아저씨치과에서 소개해 드릴 환자분은 덧니가 있고 치아가 삐뚤어 교정치료를 원하셨던 청소년 환자분입니다.
나이 : 14세
총 치료기간 : 1년 6개월(총 18개월)
사용한 장치 : 자가결찰 메탈 + 세라믹(엠파워 클리어 + 메탈)
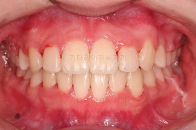
초진 시 얼굴 모습입니다.
옆라인 양호하고, 입술 다무는 느낌도 양호합니다.
대신 덧니가 있고 이가 삐뚤다 보니 웃거나 말할 때 자신감이 없고 미적으로 좋지 못했습니다.
그리고 치열이 기울어져 있는 얏앙, 즉 왼쪽 치아들이 오른쪽 치아들에 비해 올라가서 기울어 보이는 모습이었습니다.
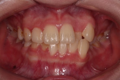
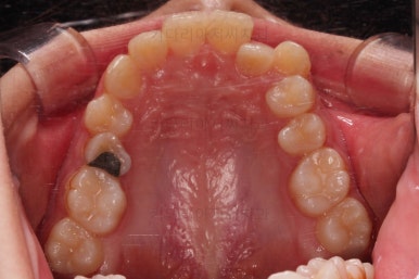
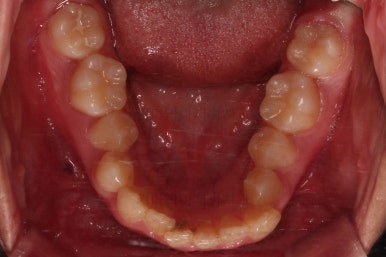
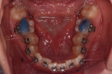
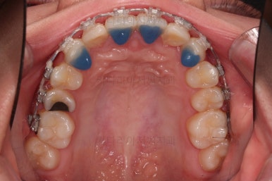
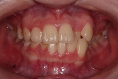
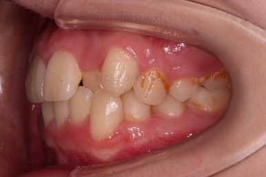
부산교정치료 초진 시 입안의 모습입니다.
치아가 전반적으로 삐뚤고, 덧니가 두드러져 보이네요.
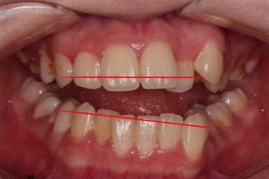
그리고 선을 그려놨는데 윗니의 라인과 아랫니의 라인이 평행이 아니죠.
기울어 있어서 양측의 교합의 강도가 다른 상황이었습니다.
비발치 교정
발치와 비발치의 결정은 자리문제에요.
자리(공간)라는 건, 삐뚤한 걸 가지런하게 하기 위해 필요한 공간, 입을 넣기 위해 필요한 양과 골격이 가용공간의 차이를 뜻하는데요.
그 차이가 너무 크다면 발치를 할 수 밖에 없습니다.
이 때는 발치 없이 무리하게 억지로 가지런하게 하면 오히려 앞니가 뻗치다가 유지가 힘들어 재발이 잘 생기기도 합니다.
이번 환자분의 경우는 입매도 양호했고, 삐뚤어진 양을 고려했을 때 발치는 필요없는 케이스여서 비발치로 진행했습니다.
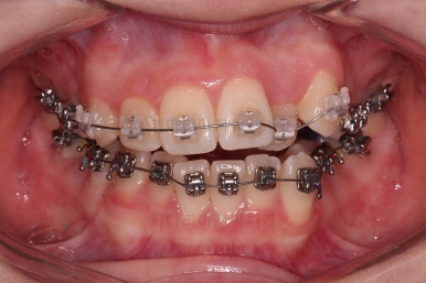
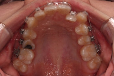
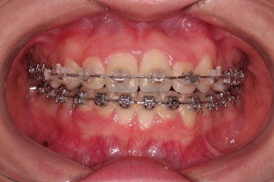
장치를 처음 부착한 사진입니다.
이번 환자분은 특징적으로 윗니의 장치와 아랫니의 장치가 다르죠.
윗니는 좀 더 심미적인 세라믹으로 선택하셨고 아랫니는 비교적 저렴하고 부피가 약간 작고 튼튼한 메탈로 진행했습니다.
그래도 됩니다.
심지어는 같은 회사 제품이 아니더라도 적절하게 세팅을 고려하면 섞어 사용하는 것도 가능하답니다.
장치 부착 직후의 얼굴모습입니다.
입 다문 모습이 약간 불편한 느낌이지만 큰 차이는 없고요.
웃는 모습에서 아랫니가 보이는 타입이라 메탈장치가 보이기는 하는데요.
확실히 윗니의 세라믹이 더 심미적이긴 하죠.
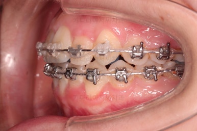
비교적 조기에 앞니는 가지런해졌고요.
대신 교합이나 기울어진 느낌 등 디테일을 맞추기 위한 작업을 추후에 계속 하게 됩니다.
얼굴 모습도 확인하고, 개선 요구사항 등을 의논해 나갑니다.
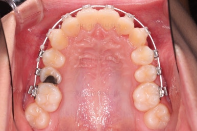
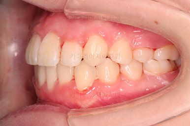
다양한 테크닉적으로 조금 더 여러 가지를 개선하고 부산교정치료 마무리를 합니다.
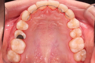
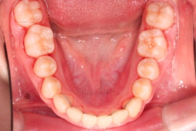
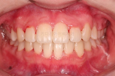
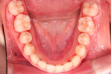
덧니도 개선되었고 가지런한 느낌도 좋네요.
교합도 좋고, 평행하지 않던 느낌도 많이 좋아졌습니다.
전후 사진을 보여드리겠습니다.
많은 부분이 좋아졌고요.
웃을 때 기울어져 보이던 치열의 모습도 좋아졌습니다.
다만 아쉬운 점은 예전에 수줍게 웃던 모습에서 좀 더 환하게 웃는 모습으로 바꼈으면 좋겠는데 습관이 되어버려 활짝 웃는게 힘든가 봅니다.
앞으로 좀 더 환하게 웃었으면 하네요.
이상 비발치로 덧니를 교정했던 청소년 교정 부산교정치료 사례였습니다.
부산 연산동 교정치과 키다리아저씨치과에 오시는 길은 연제구 연산동 연산역 17번출구 바로 앞 건물 6층입니다.
치과교정과 전문의(부산대 외래교수)가 상주하며 교정치료 합니다.
<위 사진은 환자분의 동의를 구한 후 공개하는 사진자료입니다. 사진은 과장이나 조작이 없는 원본사진입니다. 교정치료로 인한 부작용으로는 치근흡수, 충치, 치아변색, 실활 등이 있을 수 있으며, 치료 전후 사진은 의료법 제 23조, 제 56조에 의거하여 게재합니다. 개인의 상태에 따라 치료결과는 달라질 수 있으므로, 교정전문의와 상의를 요합니다.>























































































































댓글