부산교정치과추천 키다리아저씨치과의 삐뚤한 치아교정 치료사례
- 키다리아저씨치과

- 2025년 11월 3일
- 2분 분량
키다리아저씨치과는 치과교정과 전문의(부산대 외래교수)와 통합치의학과 전문의 원장님이 상주하며 협진하는 치과입니다. 부분교정에서부터 난이도 높은 교정진료는 교정과 원장님이 진료를 하며, 임플란트, 사랑니발치, 충치치료, 틀니 등 일반진료는 통합치의학과 전문의 원장님이 진료합니다.
교정과 일반진료의 협진으로 자기치아를 최대한 아끼고 오래 쓰는 방법을 고심하며 수준 높은 진료를 제공합니다.
안녕하세요.
오늘 부산교정치과추천 소개해 드릴 환자분은 전반적으로 삐뚤한 치아를 바르게 하고 싶어서 내원하신 분입니다.
나이 : 17세
총 치료기간 : 1년 7개월(총 19개월)
사용한 장치 : 자가결찰 메탈
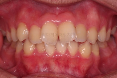
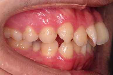
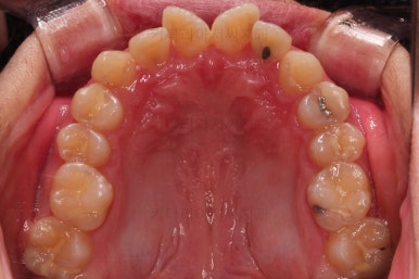
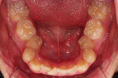
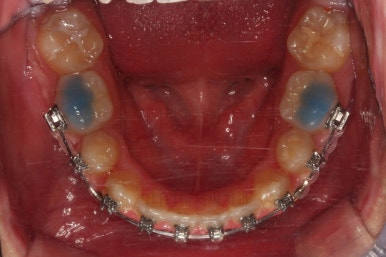
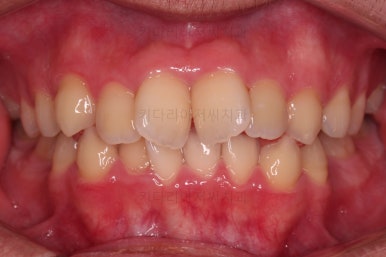
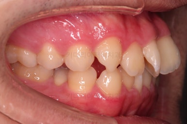
초진 시, 입안의 모습입니다.
치아를 모두 담기에 골격이 매우 작았어요.
이런 경우 치열이 ㅃ뚤어지거나 입이 튀어나오거나 뻐드렁니가 되거나 특정 치아가 묻혀버리거나 맨 뒤치아가 마치 사랑니처럼 올라오지 못한다거나 등등의 문제가 생기는데요.
이번 환자분은 전반적으로 삐뚠 상황이었어요.
앞니도 대칭적으로 삐뚤어져 흔히 나비치아라고 하는 형태로 보이고, 아랫니들은 U자 아치의 형태가 찌그러져 있네요.
당연히 교합도 맞지 않고요.
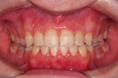
초진 시, 얼굴 모습이에요.
위턱, 아래턱이 모두 작은 형태였고 특히 아래턱이 작아 약간의 돌출된 느낌을 주지만 이런 경우 입을 무작정 많이 넣는게 답은 아닙니다.
웃거나 말할 때 드러나는 치열의 느낌은 가지런하지 못해 심미적으로 좋지 못하고요.
입을 다물었을 때 편안한 느낌은 있어요.
호두주름이라고 하는 턱끝에 힘이 들어가는 느낌은 약간 있지만 거의 없는 편이었어요.
발치교정
이번 환자분은 골격 자체가 워낙 작았고, 그 안에 모든 치아를 담기에는 역부족이었어요.
즉, 억지로 가지런하게 하면 앞니가 튀어나오거나 맨 뒤 어금니가 불편해져요.
가장 쓰임이 적은 치아를 발치를 하고, 입매는 현재를 유지하거나 약간 들어가는 정도로 맞춰주기로 했어요.
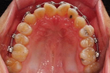
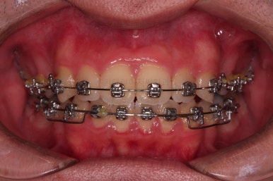
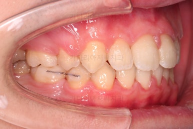
먼저 장치를 부착하고요.
환자분이 선택하신 장치는 자가결찰 메탈장치 입니다.
메탈이라고 모두 구시대적 장치는 아니에요. 자가결찰인지 아닌지가 구세대나 아니냐를 결정하는 기준이에요.
즉, 예를들면 자가결찰 메탈은 요즘세대, 그냥 세라믹은 구세대라 할 수 있어요.
자가결찰 중에서도 메탈도 있고 세라믹도 있는거고, 자가결찰 세라믹 중 클리피씨, 데이몬 클리어, 엠파워 클리어 등이 있습니다.
메탈은 강도가 높고, 부피도 작고, 위생관리에 약간의 장점이 더 있어요.
대신 보이는 측면에서의 단점이 있기 때문에 장단점을 고려해서 입맛에 맞게 선택하시라고 말씀 드리는 편이에요.
장치 부착 직후의 얼굴모습인데요.
보이는 느낌이나 입이 나오는 느낌을 참고해 주세요.
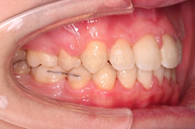
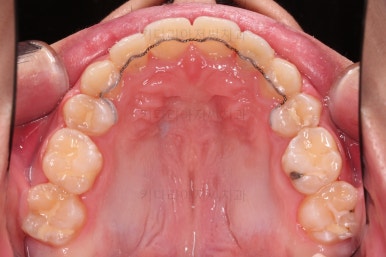
적절한 시기에 발치를 해주고요.
발치 공간을 이용해서 치열을 가지런하게 해줍니다.
가지런하게만 해도 발치공간이 거의다 없어져가요.
많이 삐뚤할수록 치료기간은 짧아지는 아이러니
보통 치열이 굉장히 많이 삐뚠 환자분은 치료기간도 매우 길 것으로 예상하시는데요.
꼭 그렇지는 않답니다.
치열을 가지런하게 하는 1단계에서 발치공간을 많이 소진 시킬 수 있는 케이스는 발치공간을 닫는 2단계가 매우 줄어들어 치료기간이 단축이 되요.
1단계아 2단계를 적절히 섞어 치료기간을 줄일 수 있도록 하는 적절한 치료계획과 메카닉스를 사용해주면 매우 효율적으로 치료가 된답니다.
즉, 시각적으로 심해보인다와 치료가 어렵다는 상관관계가 크지 않아요.
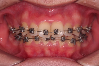
입이 많이 안들어가야 하는 케이스라 얼굴모습을 중간중간 확인을 많이 해주고요.
남은 공간을 자연ㅇ스럽게 더 닫아주고요.
마무리 하게 됩니다.
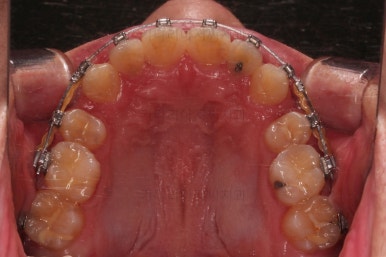
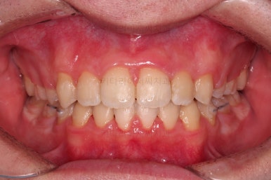
총 19개월만에 치료를 종료했습니다.
가지런한 느낌, 교합, 중앙선 등 매우 양호한 치료결과였습니다.
전후 비교입니다.
입은 약간만 들어가게끔 했고요.
웃을 때의 입매가 참 좋아졌네요.
얼굴모습에서 드러나는 치열의 느낌이 매우 좋아졌어요.
이상 부산교정치과추천 발치를 동반한 삐뚤한 치아를 가지런하게 한 치료사례였습니다.
키다리아저씨치과에 오시는 길은 연제구 연산동 연산역 17번출구 바로 앞 건물 5, 6층입니다.
치과교정과 전문의(부산대 외래교수)와 통합치의학과 전문의(서울대학교 졸업) 2명이 상주하며 교정치료와 일반치과치료를 협진하여 진료합니다.
<위 사진은 환자분의 동의를 구한 후 공개하는 사진자료입니다. 사진은 과장이나 조작이 없는 원본사진입니다. 교정치료로 인한 부작용으로는 치근흡수, 충치, 치아변색, 실활 등이 있을 수 있으며, 치료 전후 사진은 의료법 제 23조, 제 56조에 의거하여 게재합니다. 개인의 상태에 따라 치료결과는 달라질 수 있으므로, 교정전문의와 상의를 요합니다.>































































































































댓글