부산교정치과추천 키다리아저씨치과에서 미니스크류를 이용한 비발치 뻐드렁니 교정치료 사례
- 키다리아저씨치과

- 2025년 4월 24일
- 3분 분량
안녕하세요.
오늘 소개해 드릴 분은 앞니가 뻐드러지고 입이 약간 나오신 분으로 발치 없이 미니스크류를 이용해서 치료를 했던 환자분입니다.
나이 : 34세
총 치료기간 : 2년 1개월(총 25개월)
사용한 장치 : 자가결찰 세라믹(엠파워 클리어, Empower clear)
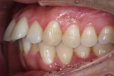
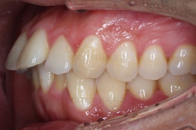
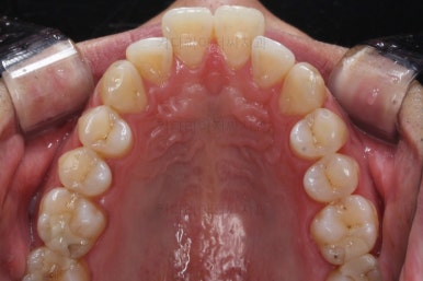
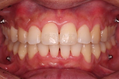
부산교정치과추천 키다리아저씨치과에서 처음 내원하셨을 당시의 입안 모습입니다.
주로 앞니쪽이 삐뚤한 부분이 있고, 특히 가운데 앞니 2개는 툭 튀어나와 토끼치아처럼 보이는 뻐드렁니였어요.
토끼치아도 문제지만 전반적으로 치아가 돌출되어 있다보니 입을 다물었을 때의 돌출감이 느껴집니다.
입을 다물었을 때의 입술 주위의 근육이 부자연스럽게 힘이 들어가고 입술 형태를 더욱 불룩하게 만드는 경향이 있네요.
웃거나 말할 때 드러나는 앞니의 모습도 미적으로 좋지 못한 상태였어요.
특히 오른쪽 맨 위 사진을 보시면 웃을 때 앞니가 어금니쪽보다 위로 들려있는데 이러면 웃는 모습이 굉장히 어색해요.
어금니가 앞니보다 위에 올라가 있는 모습이 되어야 웃는 입술 형태랑 조화롭고 미적으로 더 좋답니다.
치료계획은 앞니는 가지런하게 하고 뻐드러진 앞니를 뒤로 밀어넣어야 겠지요. 발치교정도 충분히 고려되었으나 발치 없이 진행해 보기로 했어요.
당연히 발치 없이 진행하기 위해서 미니스크류를 이용했습니다.
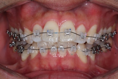
장치 부착 직후의 입안 모습입니다.
이번에 사용한 장치는 엠파워 클리어라고 하는 자가결찰 세라믹 장치입니다.
스스로 철사를 묶을 수 있는 뚜껑이 달린(자가결찰) 치아색깔이 나는(세라믹) 장치인 것이죠. 같은 계열의 장치로는 클리피씨, 데이몬 클리어 등이 있고 대부분은 클리피씨라고 알고 계신데, 같은 컨셉의 다른 회사 장치일 뿐이랍니다.
(클리피씨는 일본장치, 엠파워는 미국장치라 각자의 선호도에 따라 선택하시면 되겠습니다.)
장치 부착 직후의 얼굴 모습입니다.
아무래도 장치를 부착하고 나니 돌출감이 더 심해지는 느낌이네요.
장치 부착하고 얼마나 입이 나오는지는 사람마다 매우 매우 차이가 커요. 일단 붙여봐야 아는 경우가 많답니다.
이번 환자분의 경우는 장치 부착 후 입술이 많이 나온 편에 속하세요.
왼쪽이 장치 부착 전, 오른쪽이 장치 부착 직후의 모습입니다.
이 정도 느낌이 장치 때문에 입이 많이 나온 편이니 장치를 부착하면 얼마나 입이 나올까? 궁금해 하시는 분은 참고해 주시면 됩니다.
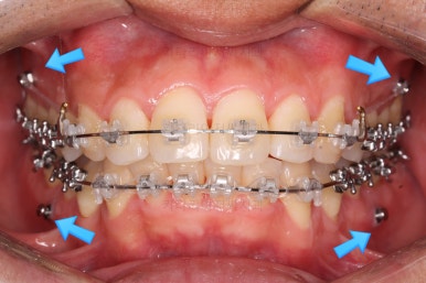
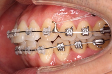
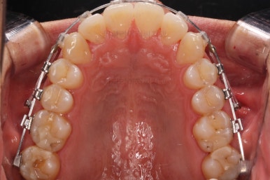
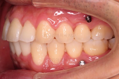
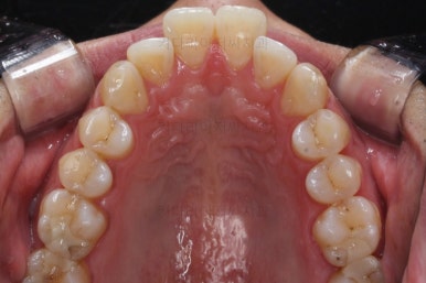
부산교정치과추천 키다리아저씨치과에서 교정 시작한 지 3개월째의 모습입니다.
어느 정도 가지런해지고 있는 걸 알 수 있으실 거에요.
왼쪽 위 사진을 보시면 화살표 표시가 바로 "미니스크류" 혹은 "마이크로 임플란트" 라는 장치입니다.
교정하는 기간동안만 잠깐 잇몸뼈에 고정시켰다가 치료 종료 후에 빼내게 되는 장치인데(뺀 자리도 뼈로 바로 차게 됩니다.) 비발치 교정을 가능하게 하는 가장 큰 이유가 되죠.
이번에는 상하좌우 총 4개의 미니스크류를 사용했는데 간혹 윗니가 나왔으니 위에만 하면 안되나요? 하시는 분들이 계세요.
이번과 같은 경우는 총 4개를 해야 원하시는 결과를 얻으실 수 있습니다.
위에 앞니는 아래 앞니가 뒤에서 받쳐지고 있기 때문에 아래쪽도 뒤로 들어가지 않으면 윗니도 뒤로 들어가는 양이 한계가 있기 때문이죠.
어쨌거나 미니스크류를 이용해서 만족하시는 수준까지 계속 입을 당겨 넣을 예정입니다.
뒤로 당겨지면서 점점 뻐드러진 앞니가 바로 되고 있는게 보이실 거에요.
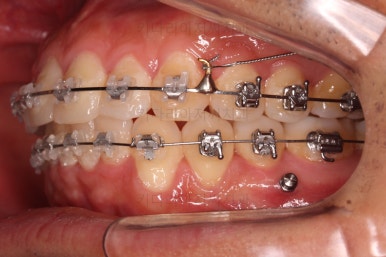
이 쯤되면 중간평가에 들어가게 됩니다.
처음보다 입술 다물기도 훨씬 편안해졌고, 불룩한 느낌도 좋아지고 있어요. 옆모습도 많이 좋아졌고 이쯤되면 저는 환자분께 치료의 결과를 맡겨요.
입이 더 들어가도 좋고 여기서 끝내도 좋고 원하시는대로 해드리겠다고 합니다.
환자분께서는 기왕 하는 김에 좀 더 넣고 끝내고 싶다고 하셨어요.
계속 뒤로 당겨줍니다.
그러면서 좌우 균형, 중앙선 등등을 고려하면서 마무리를 들어가게 됩니다.
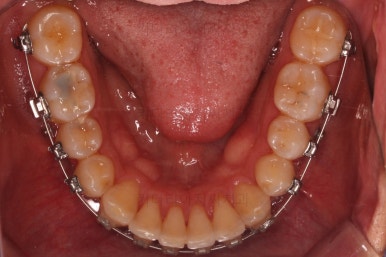
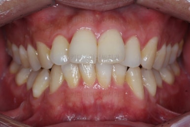
부산교정치과추천 키다리아저씨치과에서 이번 환자분의 치료를 마무리했어요.
뻐드렁니도 좋아졌고 교합이나 중앙선도 잘 맞추고 종료를 했습니다.
입술도 훨씬 편안하게 다물어지고 웃거나 말할 때 드러나는 치열의 모습도 굉장히 좋아졌습니다.
전후사진을 비교해볼게요.
왼쪽 사진이 치료 전, 오른쪽 사진이 치료 후 모습입니다.
발치 없이도 돌출감이 개선되었고 웃는 모습이나 치열의 상태도 매우 좋아졌어요.
이상 부산교정치과추천 키다리아저씨치과에서 미니스크류를 이용해서 뻐드렁니와 돌출입을 개선한 비발치 치료 사례였습니다.
키다리아저씨치과에 오시는 길은 연제구 연산동 연산역 17번출구 바로 앞 건물 5, 6층입니다.
치과교정과 전문의(부산대 외래교수)와 치과보철과/통합치의학과 전문의(부산대 외래교수) 2명이 상주하며 교정치료와 일반치과치료를 협진하여 진료합니다.
<위 사진은 환자분의 동의를 구한 후 공개하는 사진자료입니다. 사진은 과장이나 조작이 없는 원본사진입니다. 교정치료로 인한 부작용으로는 치근흡수, 충치, 치아변색, 실활 등이 있을 수 있으며, 치료 전후 사진은 의료법 제 23조, 제 56조에 의거하여 게재합니다. 개인의 상태에 따라 치료결과는 달라질 수 있으므로, 교정전문의와 상의를 요합니다.>



















































































































































댓글