부산교정잘하는치과 키다리아저씨치과에서 시행한 미세돌출 비발치 교정 치료사례
- 키다리아저씨치과

- 1월 26일
- 2분 분량

"미니스크류를 이용한 투명교정장치에 관한 논문"으로 2023년도 Angle orthodontist(미국의 교정학회지) SCI 저널에 제 1저자로 게재되었습니다.
항상 공부하고 노력하는 키다리아저씨치과가 되겠습니다.
안녕하세요.
오늘 부산교정잘하는치과 키다리아저씨치과에서 소개해 드릴 환자분은 앞니가 삐뚜록 덧니가 있으며, 입매가 약간 나온 미세돌출 환자분을 비발치로 교정했던 치료사례 입니다.
나이 : 28세
총 치료기간 : 2년(총 24개월)
사용한 장치 : 자가결찰 세라믹(데이몬 클리어, Damon clear) + 미니스크류
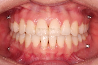
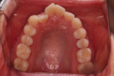
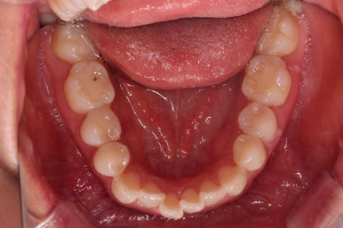
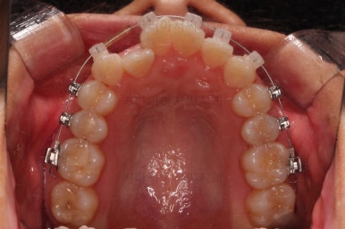
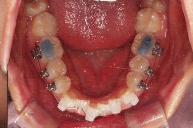
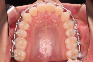
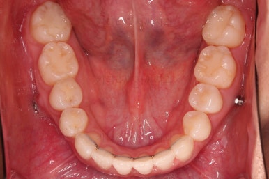
부산교정잘하는치과 초진 시 입안의 모습입ㄴ디ㅏ.
맞물림은 크게 나쁜 편은 아니었고요.
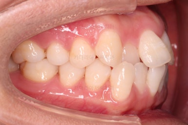
앞니 쪽이 위아래가 다 삐뚤고, 위에 작은 앞니 하나가 거꾸로 물리는 상태였습니다.
거꾸로 물리는 상황에서 특히 아래 앞니는 점점 잇몸이 꺼지는 증상이 생기면서 장기적인 치아의 수명에 영향을 주게 됩니다.
마찬가지로 부산교정잘하는치과 초진 시 얼굴 모습입니다.
웃거나 말할 때 보이는 치열이 삐뚤어서 심미성이 떨어지는데요.
특히 안으로 들어간 앞니 부분이 검게 그림자져서 마치 치아가 썩거나 빠진 듯한 느낌을 주기도 합니다.
덧니이신 분들은 오히려 덧니보다는 덧니 옆의 작은 앞니가 심미성에 더 안좋은 영향을 준답니다.
옆모습은 입이 편안하게 다물어져서 심한 돌출이라고 보기는 힘들지만, 여러 가지 평가 기준상 약간의 입술돌출이 있는 상태였습니다.(미세돌출)
따라서 최소한 입이 처음보다 나오지 않도록 혹은 처음보다 약간이나마 더 들어가도록 하는게 입매에 대한 치료계획이 되었습니다.
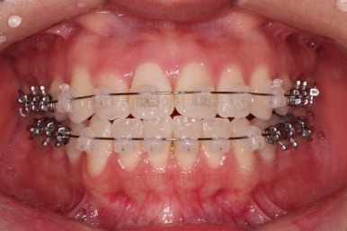
이번 환자분이 선택하신 장치는 데이몬 클리어라고 하는 자가결찰 세라믹 장치인데요.
데이몬 클리어는 현재 사용되는 세라믹 장치 중에 가장 심미성이 뛰어난 장치입니다.
흔히 세라믹 장치로 많이 아시는 클리피씨, 엠파워 클리어 등을 철사를 잡아주는 캡이 메탈로 되어 있어 유심히 관찰하면 메탈 부분이 있는 반면에 데이몬 클리어는 캡 자체도 세라믹으로 되어있어 심미성이 좋습니다.
다만, 통 바디 형태의 세라믹으로 되어있다 보니 강도 증가를 위해서 부피가 약간 더 커진 단점은 있습니다.
장치 부착 직후의 얼굴 모습인데요.
웃을 때는 매우 심미적이나 장치 부피 때문에 입매가 약간 더 나오는 모습을 볼 수 있습니다.
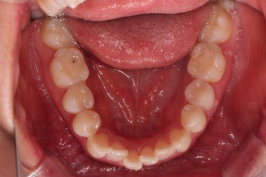
교정 시작 9개월만인데요.
벌써 치열이 가지런해졌네요.
입 안의 모습만 보면 조만간 마무리가 가능할 정도로 많은 부분들이 좋아졌는데요.
교정이라는게 단순한 교합/입 안만 보는 것이 아니라 얼굴모습과의 조화, 얼굴모습의 개선까지도 생각해야 되므로 추가적인 고려사항이 많았습니다.
이 시점의 얼굴 모습인데요.
분명 개선이 필요해 보이죠?
물론 경우에 따라서 지금 모습에서 만족하시는 분들도 있을 수 있지만 환자분과 상의하에 입을 가능한 수준까지는 만족하실만한 수준까지는 뒤로 당겨보기로 했습니다.
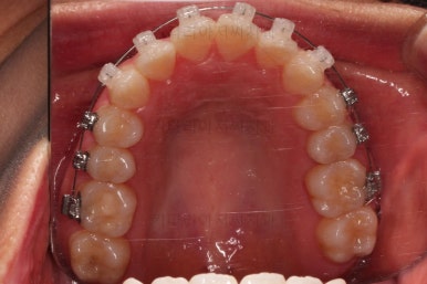
상하좌우 총 4개의 미니스크류를 이용해서 치열을 뒤로 당겨줍니다.
중간평가를 하면서 환자분과 가능한 수준/원하는 수준을 잘 조율해 가면서 입매를 정해갑니다.
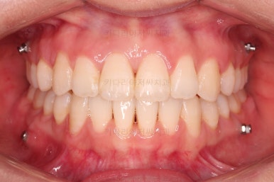
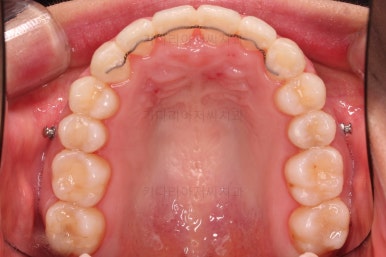
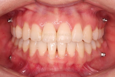
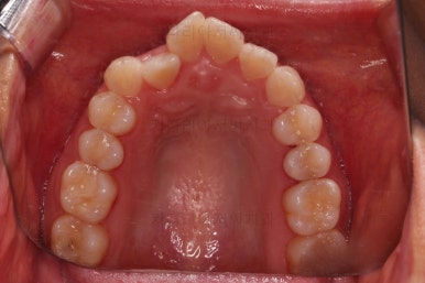
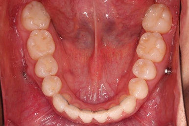
종료 시 사진입니다.
중앙선, 교합, 치아배열 모습 모두 양호해졌습니다.
부산교정잘하는치과 전후 비교해 보겠습니다.
치열도 당연히 좋아졌지만 웃을 때 보이는 치열도 매우 예뻐졌습니다.
입매도 본인이 원하는 수준으로 딱 멈춰드렸고, 적절하게 자연스럽게 약간 들어가고 마무리가 되었습니다.
전반적으로 매우 만족하신 치료가 되었습니다.
이상 미니스크류를 이용한 비발치로 덧니, 미세돌출을 개선한 부산교정잘하는치과 치료사례였습니다.
부산 연산동 교정치과 키다리아저씨치과에 오시는 길은 연제구 연산동 연산역 17번출구 바로 앞 건물 6층입니다.
치과교정과 전문의(부산대 외래교수)가 상주하며 교정치료 합니다.
<위 사진은 환자분의 동의를 구한 후 공개하는 사진자료입니다. 사진은 과장이나 조작이 없는 원본사진입니다. 교정치료로 인한 부작용으로는 치근흡수, 충치, 치아변색, 실활 등이 있을 수 있으며, 치료 전후 사진은 의료법 제 23조, 제 56조에 의거하여 게재합니다. 개인의 상태에 따라 치료결과는 달라질 수 있으므로, 교정전문의와 상의를 요합니다.>





























































































































댓글