연산동치아교정 키다리아저씨치과에서 시행한 교정 + 임플란트 + 매복치 + 결손치 + 유치잔존 복합 케이스 치료사례
- 키다리아저씨치과

- 1월 7일
- 2분 분량

"미니스크류를 이용한 투명교정장치에 관한 논문"으로 2023년도 Angle orthodontist(미국의 교정학회지) SCI 저널에 제 1저자로 게재되었습니다.
항상 공부하고 노력하는 키다리아저씨치과가 되겠습니다.
안녕하세요.
오늘 연산동치아교정 키다리아저씨치과에서 소개해 드릴 환자분은 치아결손, 유치잔존, 매복치아 환자분을 교정치료한 뒤 임플란트까지 마무리를 한 환자분입니다.
나이 : 23세
총 치료기간 : 1년 7개월(총 19개월, 임플란트 완료까지)
사용한 장치 : 자가결찰 세라믹(엠파워 클리어, Empower clear)
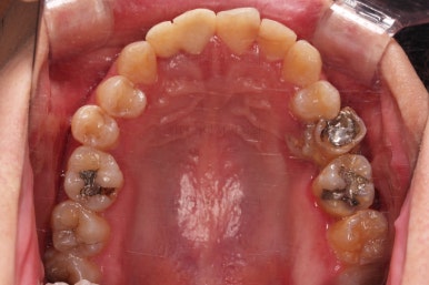
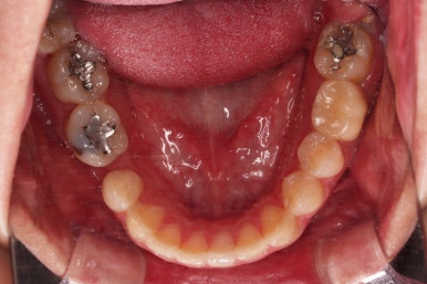
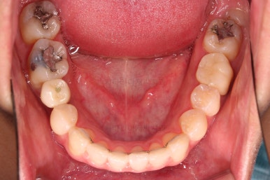
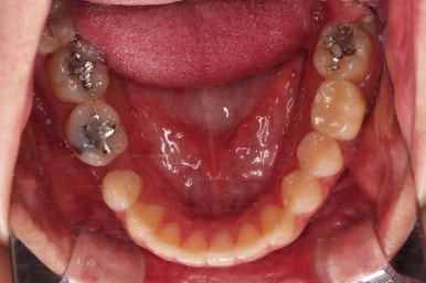
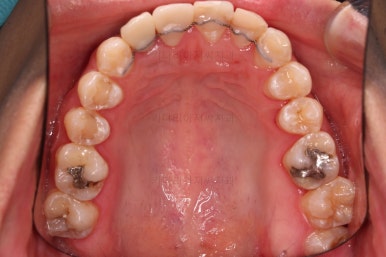
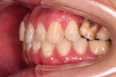
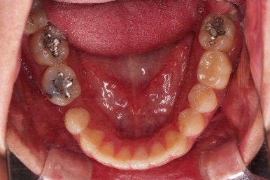
초진 시 입안의 모습입니다.
화살표는 결손 부위, 동그라기믄 유치잔존과 매복치아 부위입니다.
앞니도 결손이라고요?
네, 이번 환자분은 앞니 2개가 사고로 동시에 부러지면서 하나는 신경치료를 해서 살렸고, 나머지 하나는 아예 뽑혀버렸답니다.
그래서 가짜치아로 적당히 임플란트 하기 전까지만 매달아 놓은 상태였어요.
아무래도 앞니다 보니 비워두기가 심미적으로 부담스러웠던거죠.
아래 어금니쪽은 선천결손이었고요.
동그라미는 유치가 있는 상황이었는데요. 잇몸도 많이 파괴되어 있었고, 유치 자체의 상태도 좋지 못했어요.

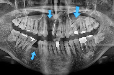
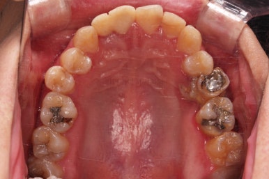
해당 모습을 X-ray로 보면요.
앞니 부러진 부위, 어금니 결손 부위가 명백히 보이죠.
동그라미 부분은 상한 유치가 보이는데, 그 하방으로 영구치가 매복되어 올라오지 못하고 있는 상태였어요.
치료계획
앞니 임플란트는 매우 어렵습니다.
기능적인 측면만 고려를 해서는 안되고 치아 모양 크기, 잇몸의 상태까지 외형적으로 심미성도 중요하기 때문인데요.
보통은 앞니는 치아가 뽑힌 그 자리에 바로 임플란트를 해주면 가장 좋긴한데요.(발치 후 즉시 식립)
이번 환자분은 교정치료를 통해 치열을 정렬하고, 임플란트 공간을 추가적으로 더 마련했어야 하는 상황이라 바로 임플란트를 하기가 힘들었어요.
교정을 하느라 소모되는 년단위의 시간만큼 치아가 없는 부분은 잇몸뼈가 퇴축될 수 밖에 없는데요.
교정기간이 길어지면 길어질수록 임플란트는 심미성이 떨어지고 난이도는 올라가는거죠.
연산동치아교정 키다리아저씨치과 입장에서는 매우 마음이 조급해질 수 밖에 없는 치료였습니다.
위아래 각 1개씩의 임플란트 공간은 충분히 마련해주고, 매복치 부분은 잔존 유치를 발치한 뒤 영구치를 당겨써보기로 했습니다.
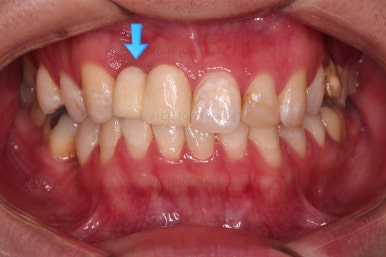
초진 시의 얼굴 모습입니다.
옆라인 양호하고, 치열도 많이 삐뚤진 않았으나 한 쪽으로 쏠려 보이는 양상이었습니다.
그래서 이번 환자분의 목표는 얼굴모습을 바꾸기 보다는 없는 치아를 해넣고 매복치아를 살리는 등의 기능적인 요소에 초점이 맞춰진 치료였습니다.
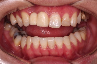
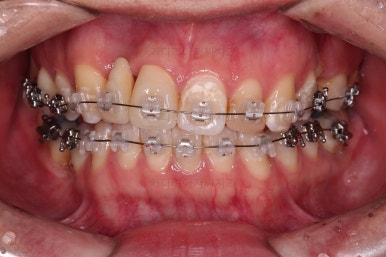
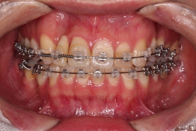
장치를 부착한 모습입니다.
이번 환자분은 자가결찰 세라믹(엠파워 클리어) 장치를 선택하셨고요.
잔존유치는 발치했고, 앞니 가짜치아는 벗겨내고 새로운 가짜치아를 와이어에 묶어주었습니다.
처음 장치 부착시의 얼굴모습인데요.
장치로 인해 어색해지는 입의 느낌과 드러나는 장치의 느낌 참고 바랍니다.
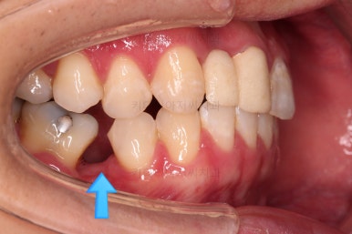
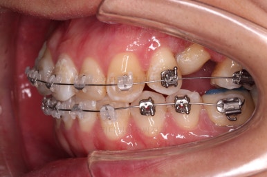
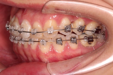
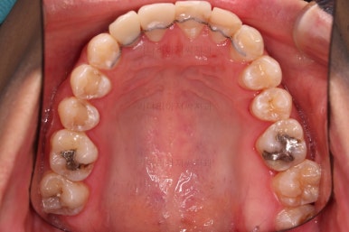
다행히 매복되었던 영구치는 잘 이동하였고요.
임플란트 자리도 적당한 크기로 점점 넓혀갑니다.
매복 영구치도 거의 다 배열되어 가고요.
임플란트 공간도 많이 확보되었습니다.
임플란트를 위한 기본 셋팅이 거의 완료되었습니다.
이 모습까지 13개월 걸렸네요.
굉장히 급한 마음으로 달려왔습니다.
지금부터는 임플란트, 보철 등을 진행하며 연산동치아교정은 보조적으로 진행하게 됩니다.

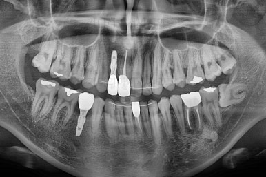
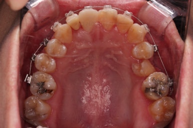
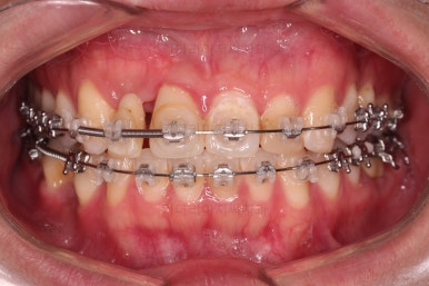
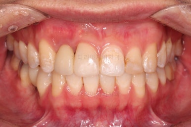
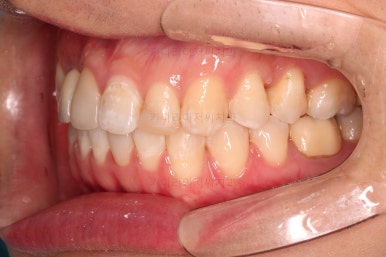
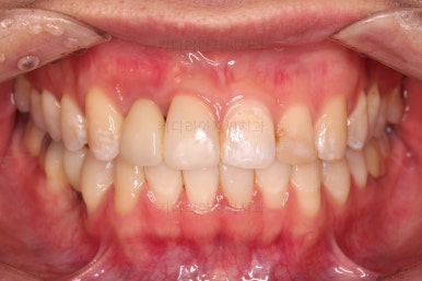
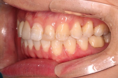
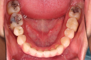
임플란트 완료시 모습인데요.
임플란트 식립부터 완료까지 시간이 걸리다보니 최종 종료까지는 총 19개월이 걸렸습니다.
교합도 잘 맞고 임플란트도 잘 완성되었네요.
매복치아도 손상 없이 잘 배열이 되었고, 교합도 좋게 마무리 되었습니다.
전후 비교입ㄴ디ㅏ.
크게 바꿀 필요가 없었던 얼굴모습은 거의 그대로 유지를 했고요. 웃을 때의 치열의 정렬된 느낌은 개선되었습니다.
매복치, 유치, 결손치 등 기능적인 부분들이 모두 잘 개선되었습니다.
이상 결손치아, 매복치아, 유치잔존 환자를 연산동치아교정 한 후 어금니 임플란트, 앞니 임플란트로 마무리를 한 치료사례였습니다.
부산 연산동 교정치과 키다리아저씨치과에 오시는 길은 연제구 연산동 연산역 17번출구 바로 앞 건물 6층입니다.
치과교정과 전문의(부산대 외래교수)가 상주하며 교정치료 합니다.
<위 사진은 환자분의 동의를 구한 후 공개하는 사진자료입니다. 사진은 과장이나 조작이 없는 원본사진입니다. 교정치료로 인한 부작용으로는 치근흡수, 충치, 치아변색, 실활 등이 있을 수 있으며, 치료 전후 사진은 의료법 제 23조, 제 56조에 의거하여 게재합니다. 개인의 상태에 따라 치료결과는 달라질 수 있으므로, 교정전문의와 상의를 요합니다.>



























































































































댓글