연산동치아교정 키다리아저씨치과에서 시행한 결손치아 + 과개교합 치료사례
- 키다리아저씨치과

- 1월 28일
- 2분 분량

"미니스크류를 이용한 투명교정장치에 관한 논문"으로 2023년도 Angle orthodontist(미국의 교정학회지) SCI 저널에 제 1저자로 게재되었습니다.
항상 공부하고 노력하는 키다리아저씨치과가 되겠습니다.
안녕하세요.
오늘 연산동치아교정 키다리아저씨치과에서 소개해 드릴 환자분은 아래 앞니가 2개 선천 결손이여서 교합이 맞지 않았던 환자분입니다.
나이 : 14세
총 치료기간: 2년 6개월(총 30개월)
사용한 장치 : 자가결찰 세라믹(엠파워 클리어, Empower clear) + 미니스크류
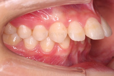
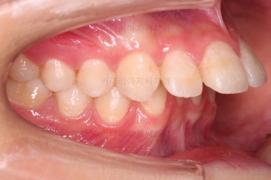
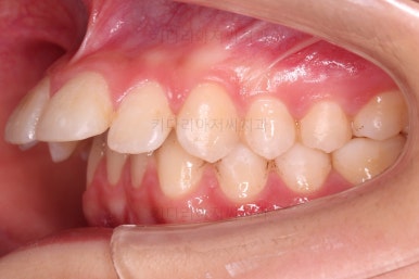
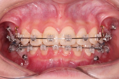
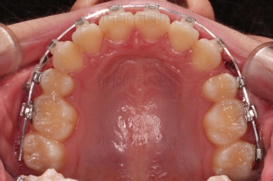
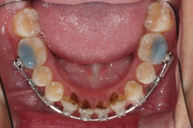
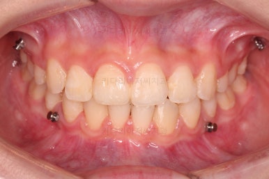
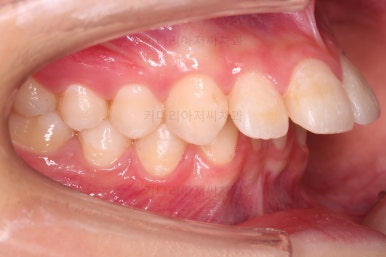
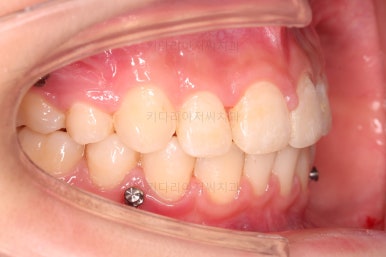
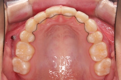
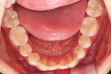
초진 시 입안의 모습입니다.
위아랫니가 많이 삐뚤진 않는데 뭔가 이상하죠?
어금니 맞물림은 지그재그로 잘 맞물려 있는데 위아래 앞니는 서로 앞뒤로 매우 멀죠.
단추 구멍에 단추 맞추듯이 순서대로 맞아들어 있으면 억므니가 맞물림이 양호하다면 앞니도 자연스레 잘 맞아야죠?
비밀은 매우 자연스러워 보이지만 아래 앞니 2개가 선천 결손인 상태였습니다.
그래서 마치 단추 갯수와 단추구멍 갯수가 맞지 않아 단추가 남아버린 상황과 같았습니다.
앞니가 매우 튀어나와 보이고요.
당연히 앞니 기능은 못하게 됩니다.
앞니끼리 맞물리지 않다보니 아래 앞니는 점점 솟구쳐 과개교합(깊게 맞물려 아래 앞니가 거의 보이지 않는 현상)이 되게 됩니다.
마찬가지로 초진 시 얼굴 모습인데요.
웃을 때 윗니는 매우 튀어나오고 뻗쳐 보이고요.
매우 특징적인 패턴이 아랫입술 ~ 턱끝까지 이어지는 부위가 움푹 들어가 있죠.
과개교합이신 분들은 아랫입술이 해당 부위로 말려들어가면서 저렇게 아랫입술 아래가 움푹 들어가는데요.
심한 경우에는 영구적으로 주름이 잡혀 버리는 상황도 생깁니다.
심미적으로 좋지 못하죠.
영구치 결손 = 임플란트?
치아가 결손인 상황은 꼭 임플란트를 해야 할까요?
꼭 그렇지 않습니다.
여러 가지 이유로 발치교정하시는 분들도 많은데, 교정적인 이유로 발치했다고 치면 되거든요.
물론 임플란트를 하는게 훨씬 효율적이고 구강건강에도 좋은 경우가 많지만 임플란트 vs 치아교정으로 공간을 모으는 것을 동일선상에서 고민해 보고 결정하는 것이 합리적입니다.
이번 환자분은 나이가 어려 여러 가지 교정적인 움직임이 더 잘될 수 있는 가능성도 있었고 임플란트 없이도 교합을 맞출 수 있을 것으로 평가 되었기 때문에 교정으로만 진행하기로 했습니다.
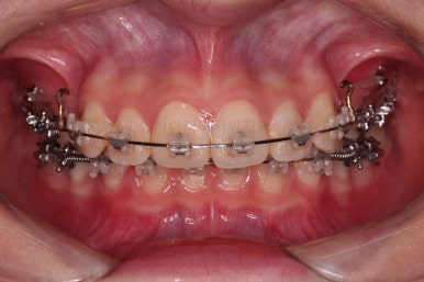
연산동치아교정 선택한 장치는 엠파워 클리어라고 하는 자가결찰 세라믹 장치입니다.
장치 부착 직후의 얼굴 모습 참고해 주시고요.
세라믹이라 비교적 눈에 많이 띄는 장치는 아닙니다.
하지만 입은 어쩔 수 없이 좀 더 볼록하게 다물어지게 됩니다.
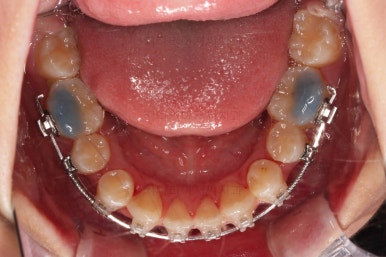
치아 갯수를 맞추고 튀어나온 앞니를 넣기 위해서 윗니 중간의 작은 어금니를 발치를 했고요.
아래는 통째로 앞으로 끌고 나오기로 했습니다.
아래턱은 아쉽게도 성장 시킬 수 있는 나이는 지났고, 대신 가능한 선에서 아랫니를 앞으로 빼보기로 했습니다.
윗니는 틈을 점점 줄여가고요.
아랫니는 중간에 오히려 틈이 생기고 있죠?
이런 효과로 위아래 앞니는 급속도로 가까워지게 됩니다.
아랫니는 이후에 어금니를 앞으로 당겨오면서 빈공간을 줄여 나갑니다.
얼굴모습도 확인해 줍니다.
아랫니와 맞추기 위해서 무리하게 윗니를 뒤로 넣다보면 입매가 망가지거든요.
아랫니도 가능한 앞으로 빼주면서 아랫입술 아래의 푹 들어간 주름을 점점 개선해 줍니다.
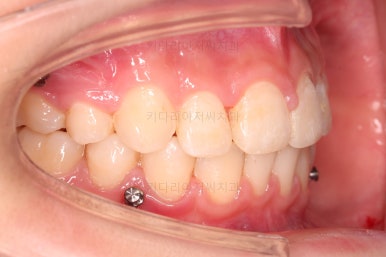
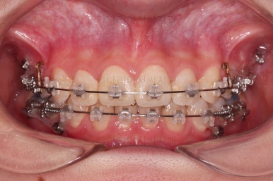
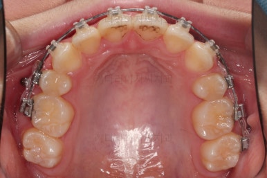
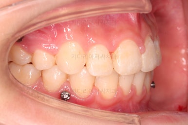
교합이 점점 맞아가네요.
윗니 뽑은 자리도 거의 다 줄었습니다.
최종적으로 입매도 다시 확인해 주고요.
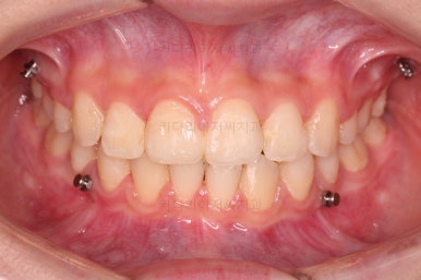
디테일을 더 맞추고 연산동치아교정 치료를 마무리 합니다.
교합이 잘 맞아졌고요.
위아래 앞니도 서로 가까워졌어요.
치열도 가지런해졌고, 과개교합도 잘 개선이 되었습니다.
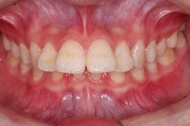
연산동치아교정 이제 전후 사진을 비교해 볼게요.
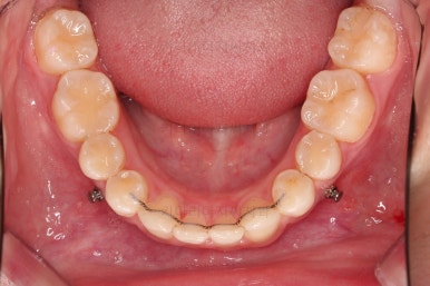
아래 앞니가 2개인 것이 표시가 안날 정도로 자연스럽게 교합이 맞아졌습니다.
얼굴모습에서도 발치교정이지 윗입술이 많이 들어가지 않게끔 아랫니를 최대한 앞으로 빼둔 상태여서 윗ㅇ입술은 양호하며, 아랫입술은 아래쪽에 깊게 패여있던 주름도 많이 퍼졌습니다.
여러 가지 제약이 많았던 상황이었지만 많은 부분들이 개선된 만족스러운 연산동치아교정 치료였습니다.
이상 아래 앞니가 2개 선천 결손인 환자분을 임플란트 없이 추가 발치로 교합을 맞춰주었던 연산동치아교정 치료사례였습니다.
부산 연산동 교정치과 키다리아저씨치과에 오시는 길은 연제구 연산동 연산역 17번출구 바로 앞 건물 6층입니다.
치과교정과 전문의(부산대 외래교수)가 상주하며 교정치료 합니다.
<위 사진은 환자분의 동의를 구한 후 공개하는 사진자료입니다. 사진은 과장이나 조작이 없는 원본사진입니다. 교정치료로 인한 부작용으로는 치근흡수, 충치, 치아변색, 실활 등이 있을 수 있으며, 치료 전후 사진은 의료법 제 23조, 제 56조에 의거하여 게재합니다. 개인의 상태에 따라 치료결과는 달라질 수 있으므로, 교정전문의와 상의를 요합니다.>















































































































































댓글