연산동치과 키다리아저씨치과의 비발치 덧니교정 및 충치 크라운치료 사례
- 키다리아저씨치과

- 11월 12일
- 3분 분량
안녕하세요.
오늘 연산동치과 키다리아저씨치과에서 소개해 드릴 환자분은 덧니가 있어 치아를 고르게 하고 싶었으며 충치가 있어 함께 치료가 필요했던 환자분입니다.
나이 : 13세
총 치료기간 : 2년(총 24개월)
사용한 장치 : 자가결찰 메탈(엠파워 메탈, Empower metal)
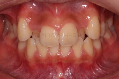
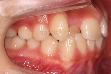
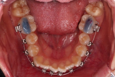
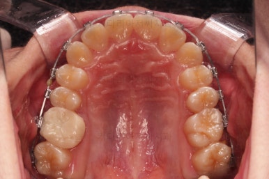
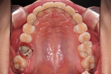
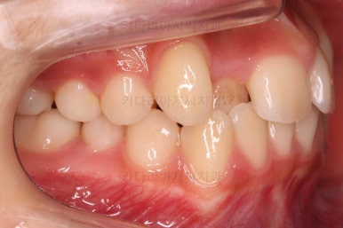
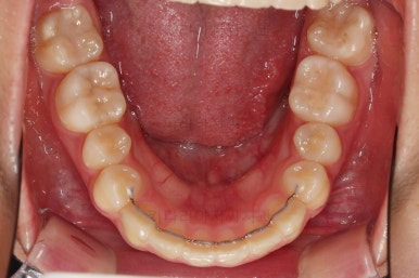
연산동치과 초진 시, 입안의 모습입니다.
보시다시피 앞니쪽이 많이 삐뚤고요. 어금니쪽이 긴밀하지 못한 부정교합이 있네요.
그리고 왼쪽 하단의 사진에 화살표를 보시면, 예전에 신경치료를 해둔 치아인데 어린 나이에 신경치료를 하다보니 크라운으로 치료를 마무리 하지 못했어요.
신경치료를 하면 꼭 크라운 치료를 해야 하나요?
크라운 치료란?
치아 머리를 깎아 둘레를 통채로 씌우는 치료인데요. 치아 머리에 모자처럼 가짜치아를 덮어 감싼다고 보면 되겠습니다. 재료에 따라 골드 크라운, 세라믹 크라운, 지르코니아 크라운 등등 나뉩니다.
그렇다면 신경치료 후에는 꼭 크라운 치료를 해야 하느냐?
꼭 그렇진 않지만 힘을 많이 받는 어금니의 경우, 신경치료를 위해(+충치를 제거하기 위해) 구멍을 뚫게 되는데 그 구멍의 크기가 커지게 되면 남아있는 자연치아의 벽이 얇아서 부러지기 쉽고 치아 수명이 떨어질 수 있어요.
그래서 큰 어금니들은 거의 필수로 신경치료를 한 후에 튼튼한 재료로 둘러 감싸줘야 하죠.
이번 환자분은 왜 크라운 치료를 안했는가?
기존에 다니시던 치과에 신경치료를 받을 당시는 나이가 훨씬 어렸고, 성장함에 따라 잇몸 밖으로 보이는 치아의 길이가 달라지는데요. 너무 어린 나이에 크라운 치료를 하면 제대로 된 치아 높이가 확보가 되지 않아 오히려 안좋은 치료가 될 수 있기 때문이에요.
그래서 기성품을 딸깍 끼워두든지, 위의 화살표 사진처럼 구멍을 떼워두게 돼요.
그러면 크라운 치료를 해야 하는가?
치아 높이가 변하지 않는 성장이 어느 정도 끝난 시점으로 판단되면 크라운치료를 하는게 좋아요.
언제 부러질지 모르는 치아인데, 이번 환자분은 떼워놓은 하방으로 2차적인 충치가 발견되어서 교정치료 마무리와 동시에 빨리 크라운 치료를 해주기로 했어요.
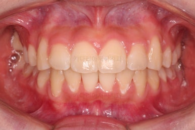
마찬가지로 초진 시 얼굴모습인데요.
덧니 때문에 활짝 웃지 못하고, 웃는 모습도 부자연스럽네요.
옆모습의 입술이 약간의 돌출된 느낌이 있지만 치아 자체가 나와서 생긴 돌출감이라기 보다 두툼한 입술에서 생긴 돌출감이라 이번 환자분은 비발치로 최대한 가지런하게 해보기로 했어요.
이번 환자분은 비발치로 최대한 가지런하게 해보기로 했어요.
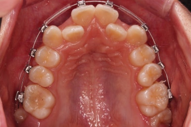
이번 환자분이 선택하신 장치는 엠파워 메탈이라고 하는 자가결찰 금속 장치에요.
메탈 장치라고 모두 구식의 옛날 안좋은 장치라고 생각하시면 안되고, 자가결찰 인지 아닌지 여부가 훨씬 중요하다고 거듭 말씀드렸지요.
자가결찰이기만 하면 치료 효과 동일하며, 단지 성분이 메탈이냐 세라믹이냐에 따라 보이는 정도, 부피, 모양 등이 약간 차이가 있을 뿐이에요.
흔히들 많이 아시는 클리피씨, 엠파워 클리어 등의 장치가 자가결찰 세라믹 장치이고, 자가결찰 세라믹 장치 중에서도 가장 심미성이 높은 장치는 데이몬 클리어라고 하는 장치랍니다.
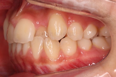
장치 부착 직후의 얼굴모습인데요.
입술이 불편해지고 약간 나오는 양상과 웃을 때 보이는 느낌 등 참고해 주세요.
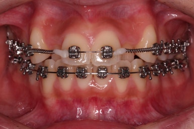
가지런하게 하면서 안으로 쏙 들어가있는 앞니를 가지런하게 할 자리 확보부터 해줍니다.
자리 확보 이 후에 가지런하게 해주는데요.
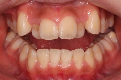
신경치료 되었던 화살표 치아는 그새 더 썩어 일부 부러지기까지 하여 교정 마무리 전까지 버티게끔 임시치아로 감싸주기로 했어요.
가지런하게 한 이후에는 자칫 비발치 교정이라 생길 수 있는 돌출입이라던지 뻐드러짐 등을 체크해 주고 원하시는 바와 연산동치과 의견을 종합하여 추후의 방향을 다시금 의논하게 됩니다.
약간의 뻗침과 아랫니에 비해 아주 약간 나와있는 앞니를 말씀하셨기 때문에 가능한 방법을 제시하고 치료를 이어갑니다.
입시로 해둔 치아는 잘 버티고 있네요.
보통 뒤로 당겨야 할 양이 많다면 미니스크류를 사용하는데, 이번 환자분은 그정도 까지는 아니어서 최대한 철사 자체에 힘을 주고 뺐다꼈다 하는 고무줄을 사용하며 치료를 마무리하기로 했어요.
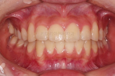
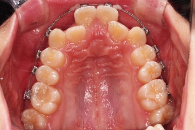
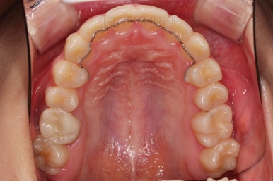
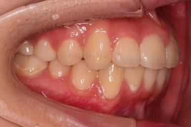
치료 마무리 사진입니다.
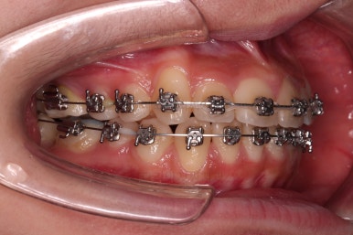
불안불안했던 임시치아가 드디어 탈이 났네요.
교정치료를 종료했기 때문에 이제 튼튼한 재료로 크라운치료를 하고 마무리 합니다.
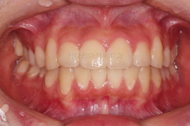
연산동치과 전후사진을 비교해 볼게요.
치열이 가지런해지고 교합도 좋아지고 웃는 모습도 매우 좋아졌네요.
비발치 덧니교정이었지만 입이 튀어나오거나 하지 않고 오히려 치아 각도나 입매가 약간 디ㅜ로 들어가면서 입매도 자연스러워졌어요.
충치치아도 깨끗한 치료가 되었고요.
이상 덧니가 있었던 환자분의 비발치 교정치료 및 신경치료된 충치치아의 크라운 치료를 병행한 연산동치과 치료사례였습니다.
키다리아저씨치과에 오시는 길은 연제구 연산동 연산역 17번출구 바로 앞 건물 5, 6층입니다.
치과교정과 전문의(부산대 외래교수)가 상주하며 교정치료 합니다.
<위 사진은 환자분의 동의를 구한 후 공개하는 사진자료입니다. 사진은 과장이나 조작이 없는 원본사진입니다. 교정치료로 인한 부작용으로는 치근흡수, 충치, 치아변색, 실활 등이 있을 수 있으며, 치료 전후 사진은 의료법 제 23조, 제 56조에 의거하여 게재합니다. 개인의 상태에 따라 치료결과는 달라질 수 있으므로, 교정전문의와 상의를 요합니다.>











































































































































댓글