연산동부분교정 키다리아저씨치과의 앞니치료 부분교정 vs 심미보철 치료사례
- 키다리아저씨치과

- 1월 20일
- 2분 분량

"미니스크류를 이용한 투명교정장치에 관한 논문"으로 2023년도 Angle orthodontist(미국의 교정학회지) SCI 저널에 제 1저자로 게재되었습니다.
항상 공부하고 노력하는 키다리아저씨치과가 되겠습니다.
안녕하세요.
오늘 연산동부분교정 키다리아저씨치과에서 소개해 드릴 환자분은 앞니 하나가 튀어나와서 심미적으로 개선을 원하셨던 환자분입니다.
나이 : 43세
총 치료기간 : 3개월
사용한 장치 : 자가결찰 세라믹(앞니 부분교정)
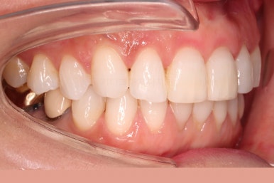
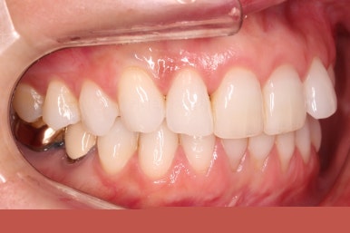
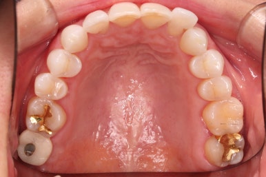
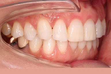
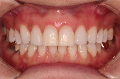
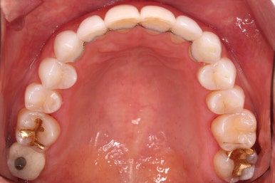
초진 시 입안의 모습입니다.
환자분이 원하셨던 부분은 윗니 작은 앞니가 하나 튀어나와서 개선하고 싶어하셨습니다.
부가적으로 아랫니 앞니가 마모가 심하여 높낮이가 달라보이는 점이었는데요.
부분교정 vs 앞니 심미보철
교정만 하는 치과에 간다면 부분교정을 더 비중있게 설명 들으실 수 밖에 없고요. 교정을 안하는 치과에 간다면 심미보철에 대해서 더 비중있게 설명을 들을 수 밖에 없지 않겠습니까.
두 치료를 동일 선상에서 비교 분석해 드립니다.
교정과 보철의 장단점을 다음과 같이 대략 설명드렸습니다.
부분교정 | 심미보철 | |
장점 | 치아의 삭제가 거의 없음 주기적으로 교체 해야 한다는 부담이 덜함 | 빠른 시일 내에 마무리 가능 치아의 형태도 수정 가능 다른 치아의 이동 없음 |
단점 | 심미보철 보다는 오래 걸림 치아의 형태는 수정하기 힘듬 주위 치아도 일정 부분 움직여야 함. 그래서 위아래 앞니의 맞물림이 약간 바뀜. | 치아 삭제가 필요 (신경치료까지도 필요) 영구적이라기 보다 교체가 필요할 수 있음 |
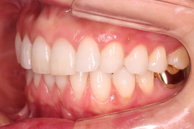
초진 시 얼굴 모습입니다.
전반적으로 모두 양호합니다. 입이 편안하게 다물어지는 느낌, 옆라인, 심지어는 중앙선까지 양호합니다.
단 하나, 작은 앞니 하나가 톡 튀어나와 있는 부분이 미적으로 좋지 못한데요.
이번 환자분은 교정이냐 심미보철이냐를 놓고 고민하시다가 우선적으로 심미보철 상담을 진행했습니다.
가상으로 치아를 깎고, 모양이 들어간 모습까지도 보여드리며 상담을 진행하셨고, 며칠을 고민하시다가 치아를 깎고 신경치료를 해야 한다는 부분때문에 연산동부분교정 치료를 선택하셨습니다.
연산동부분교정 치료에 앞서 시뮬레이션 해서 보여드렸습니다.
공간 부족으로 앞니가 튀어나간거니 해당 치아를 쏙 밀어 넣으려면 다른 치아도 약간씩 움직여 줘야 하고 위아래 앞니가 더 긴밀해지거나 중심선이 약간 트어져 보일 수 있는 점, 기타 등등 마이너스가 될 수 있는 부분들 충분히 설명 드리고 진행하게 되었습니다.
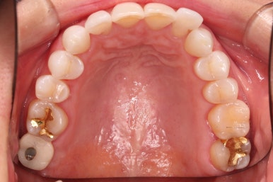
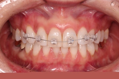
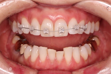
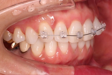
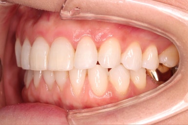
윗니에만 장치를 부착하고 부분교정을 시작했습니다.
환자분이 연산동부분교정 선택하신 장치는 엠파워 클리어라고 하는 자가결찰 세라믹 장치입니다.
장치 부착한 모습 참고해 주시고요.
적절하게 치간삭제를 일부 동반하여 빠른 시일 내에 가지런하게 해드리고 마무리를 했습니다.
연산동부분교정 치료 기간이 3개월 밖에 되지 않아 중간 자료사진이 없네요.
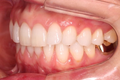
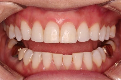
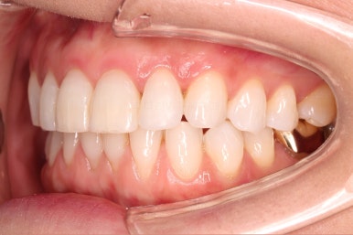
환자분이 원하시는 만큼 가지런해졌고, 부가적으로 생길 수 있는 부분들도 수용 가능한 선에서 잘 마무리가 되었습니다.
3개월이라는 빠른 기간 내에(심미보철 보다 약간만 더 긴 시간) 치아의 손상없이 마무리를 잘 했습니다.
물론 중간에 장치를 부착한 기간동안은 심미적으로 부담스러우셨겠지만요.
아래 앞니는 부분교정까지는 원하지 않으셔서 약간 다듬어 드리고 종료했습니다.
이상 부분교정과 앞니 심미보철을 고민하셨던 분을 연산동부분교정 잘 개선했던 치료사례였습니다.
부산 연산동 교정치과 키다리아저씨치과에 오시는 길은 연제구 연산동 연산역 17번출구 바로 앞 건물 6층입니다.
치과교정과 전문의(부산대 외래교수)가 상주하며 교정치료 합니다.
<위 사진은 환자분의 동의를 구한 후 공개하는 사진자료입니다. 사진은 과장이나 조작이 없는 원본사진입니다. 교정치료로 인한 부작용으로는 치근흡수, 충치, 치아변색, 실활 등이 있을 수 있으며, 치료 전후 사진은 의료법 제 23조, 제 56조에 의거하여 게재합니다. 개인의 상태에 따라 치료결과는 달라질 수 있으므로, 교정전문의와 상의를 요합니다.>







































































































댓글