연산동부분교정 키다리아저씨치과에서 시행한 어금니 부분교정 + 임플란트 치료사례
- 키다리아저씨치과

- 2025년 11월 20일
- 2분 분량
안녕하세요.
오늘 연산동부분교정 소개해 드릴 환자분은 어금니가 없어서 임플란트가 필요했으나 교정치료 없이는 임플란트가 불가능하여 교정치료와 임플란트를 병행해서 치료하신 환자분입니다.
나이 : 40세
총 치료기간 : 교정 9개월 + 임플란트 5개월
사용한 장치 : 브라켓 + 미니스크류 + 오스템 임플란트
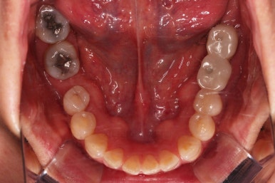
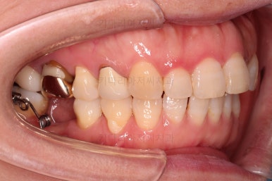
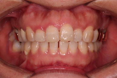
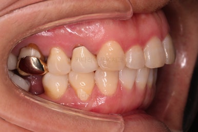
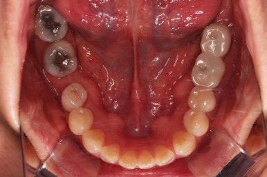
초진 시 입안의 모습입니다.
아랫니 큰 어금니 하나가 없어서 임플란트를 원하셨던 환자분이셨어요.
앞니가 조금 삐뚤고, 아랫니는 사이사이에 틈새가 있었지만 전체적인 교정은 원치 않으셨어요.
임플란트는 불가능합니다.
이가 없는데 왜 임플란트를 못할까요? 왜그런지는 조금있다 알려드릴게요.
치아가 하나 없게되면 어떤 문제가 생기는지를 알아야 됩니다.
해당 치아의 양 옆 치아가 빈공간으로 쓰러진다.
해당 치아와 맞물리던 치아(이번의 경우에는 윗니)가 아래로 쳐지게 된다.
해당 치아의 잇몸뼈가 시간이 갈수록 녹아내린다.(치조골은 치아가 있어야 유지가 되는데, 치아가 없으면 그 순간부터 치조골은 퇴축되기 시작해요.)
치아가 빠졌을 때는 거의 즉시 임플란트를 해주는 것이 좋습니다.
이번 환자분은 왜 임플란트가 불가능했을까요?
치아가 빠진지 오래되어 앞뒤 치아가 모두 반자리로 쓰러진 상태였어요.
그래서 큰 어금니 사이즈의 임플란트가 식립되지 못하는 상황이었어요.

초진 시 X-ray 사진인데요.
이가 없는 뒤쪽 치아가 앞으로 쓰러져있고요. 맨 뒤에 사랑니까지 앞으로 쓰러져있네요.
이대로 임플란트도 못할 뿐더러 이대로 계속 지낸다면 쓰러진 치아에 계속 힘이 가해지니 치아 수명에 굉장히 안좋아요.
이럴 때는 어떤 치료계획이 가능할까요?
선택 1. 사랑니를 뽑고 쓰러진 어금니를 바로 세운 뒤 임플란트를 한다.
가장 정석적인 방법인데요.
쓰러진 어금니를 뒤로 세우려면 사랑니 발치도 필요하고요.
부분교정치료로 치아 각도를 세워준 뒤 임플란트로 마무리 합니다.
선택 2. 어금니와 사랑니까지 앞으로 당겨와서 사용한다.
1번 옵셔보다는 좀 더 광범위하게 어려운 치료이긴 한데요.
임플란트 없이 마무리를 할 수 있다는 장점이 있지요.
대신 기간이 오래 걸리고, 앞으로 당겨온 치아들이 아무래도 이동거리가 많다보니 뿌리와 잇몸이 약해질 수 있다는 단점이 있어요.
선택 3. 현 상태로 브릿지
어금니가 더 쓰러지지 말라고 붙잡아두는 역할 + 빈공간을 적당히 채우는 정도의 치료계획이며 쓰러진 채로 덮어 씌워야 하기 때문에 여전히 잇몸건강에 좋지 못하고, 빈자리 양옆의 치아를 깎아야 하기 때문에 신경치료까지도 필요할 수 있어요.
기타. 사랑니, 쓰러진 어금니까지 뽑고 임플란트 2개?? 등등 매우 다양한 치료계획도 나올 수 있습니다.
환자분과 충분히 장단점을 상의한 끝에 옵션 1번. 사랑니 발치 + 어금니 부분교정 + 임플란트로 마무리를 하기로 했답니다.
다른 치아는 전혀 건드리지 않고 해당 치아만 타겟으로 하기 위해서 미니스크류 장치를 사용했고요.
사랑니도 발치를 했습니다.
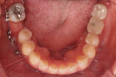
점점 공간이 어금니 크기로 회복되고 있는 것이 보일거에요.
단순히 쓰러진 어금니를 뒤로 밀기만 하는 것이 아니라 안밖의 위치, 회전 양상, 높낮이 등도 정교하게 조절을 합니다.

X-ray 사진으로 중간평가 해주고요.
적절한 자리가 마련되었다고 판단되면 임플란트 식립 가능성을 평가하게 됩니다.
연산동부분교정 9개월 걸렸고요.
이 후에 임플란트 식립부터 치아 머리 완성까지 5개월 가량 걸렸네요.
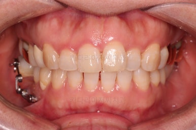
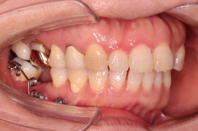
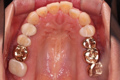
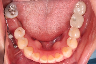
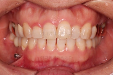
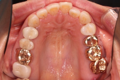
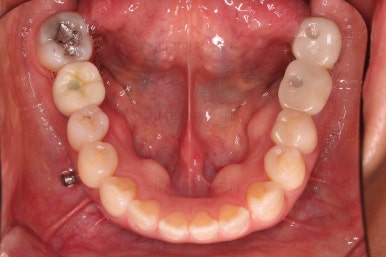
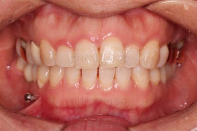
최종 사진을 보여드리겠습니다.
깔끔하게 마무리가 되었네요.
전후 비교입니다.
환자분도 치료에 만족하시어 미적으로 보기싫은 다른 금니들도 하나씩 교체하고 계신 중입니다.
이상 미니스크류를 이용하여 쓰러진 어금니를 연산동부분교정하고, 임플란트를 식립한 치료사례였습니다.
키다리아저씨치과에 오시는 길은 연제구 연산동 연산역 17번출구 바로 앞 건물 5, 6층입니다.
치과교정과 전문의(부산대 외래교수)가 상주하며 교정치료 합니다.
<위 사진은 환자분의 동의를 구한 후 공개하는 사진자료입니다. 사진은 과장이나 조작이 없는 원본사진입니다. 교정치료로 인한 부작용으로는 치근흡수, 충치, 치아변색, 실활 등이 있을 수 있으며, 치료 전후 사진은 의료법 제 23조, 제 56조에 의거하여 게재합니다. 개인의 상태에 따라 치료결과는 달라질 수 있으므로, 교정전문의와 상의를 요합니다.>























































댓글