연산동덧니교정 키다리아저씨치과의 비발치 덧니 케이스
- 키다리아저씨치과

- 2025년 2월 5일
- 3분 분량
안녕하세요.
오늘 연산동덧니교정 키다리아저씨과에서 소개해 드릴 케이스는 볼록하게 송곳니가 나와 덧니처럼 보여 개선을 원하셨던 분입니다.
나이 : 11세
총 교정기간 : 1년 8개월 (총 20개월)
교정장치 : 헤드기어 + 메탈 브라켓
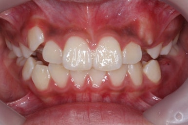
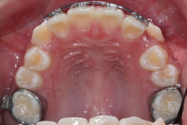
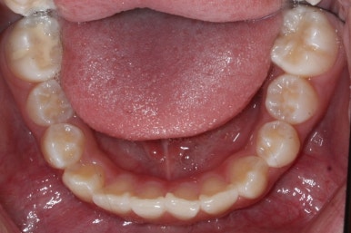
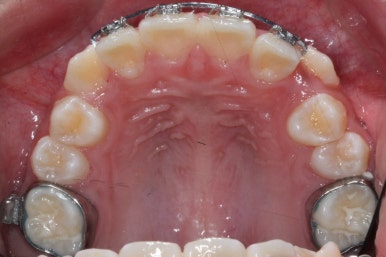
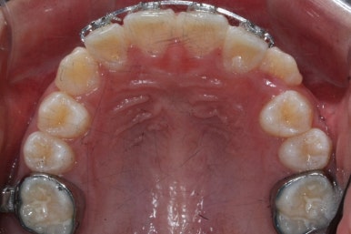
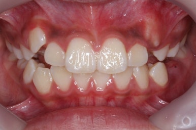
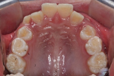
초진 시의 모습입니다.
11살의 어린이였기에 몇 군데 아직 유치가 남아있었습니다. 영구치가 모두 나오지 않았죠. 덧니가 있고 치열이 고르지 못하더라도 일반적으로 영구치가 더 나온 후에 연산동덧니교정 하는 것을 권해드립니다.
치아교정의 적기.
영구치가 거의 다 맹출이 되었을 때 : 상하 각 14개씩 치아가 거의 나왔을 때
성장 가능성이 아직 남았을 때 : 청소년기가 적정.
여자 어린이는 초등학교 5~6학년, 남자 어린이는 초등학교 6학년 ~ 중학교 1학년 정도가 됩니다.
단, 골격적인 문제는 없어야 하며 어린이 주걱턱이나 무턱은 시기가 더 빨라질 수 있습니다.
골격 문제가 보이지 않는다고 하더라도 앞니가 반대로 물린다면 발견을 한 즉시 교정을 해주는 것이 좋습니다.
해당 환자분은 영구치가 아직 모두 나오지 않았지만 서둘려 교정을 시작한 이유는 2급 부정교합에 약간 가까웠기 때문입니다.
키다리아저씨치과에 연산동덧니교정을 하기 위해 내원한 얼굴 초진입니다.
덧니 때문에 입다문 모습이 어색하고 턱끝에 힘이 들어가 복숭아씨치럼 쭈글쭈글한 모습을 보이고 있습니다.
덧니로 인해 웃을 때도 예쁜 모습은 아니네요.
옆못브은 아래턱이 약간 작은 무턱 느낌이 드는데요.
2급 부정교합은 아래턱이 작아 위치가 뒤에 있다거나 위턱이 반대로 커서 앞에 있는 경우로 상대적으로 입이 튀어나와 보이게 하며 아래턱은 무턱처럼 보이게 합니다.
골격분석과 X-ray 등으로 확인했을 때, 이번 환자분은 위턱이 약간 상대적으로 나와있다고 판단이 되었습니다. 위쪽 치열은 아래쪽 보다 앞으로 나와있으며 특히 어금니가 앞쪽으로 나와있었어요.
따라서 교정계획은 헤드기어를 사용해 위쪽 어금니는 뒤로 밀고 영구치가 추후 맹출이 될 때 까지 시간을 주자는 것이였어요.
최대한 비발치로 연산동덧니교정을 하자는 판단이며 성장기에는 공간만 충분하다면 삐뚤했던 치아도 자리를 어느정도 잡기 때문입니다.
위쪽 어금니를 뒤로 밀어주기 위해 헤드기어라는 장치를 사용했습니다.
어금니쪽은 둘러 싸고 앞니는 별도로 가지런하게 해주는 작업이죠.
헤드기어는 보통 어린이가 사용을 하며 위턱이 발달, 윗니가 앞으로 쏠린 경우 등에 사용합니다. 하루종일 하는 것은 아니며 목적 및 계획에 따라 취침을 할 때를 포함하여 일정시간만 착용을 합니다.
(우측 사진은 다른 환자분 사진으로 참고 부탁드립니다.)
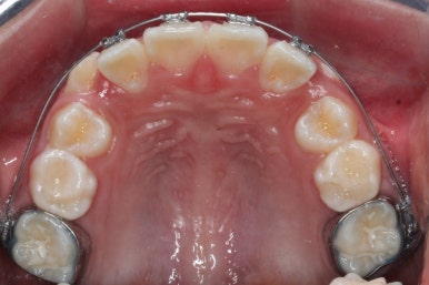
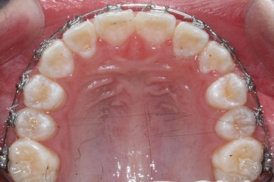
첫 장치 부착한 모습입니다.
아직 유치가 몇 개 남아있기에 장치가 전체적으로 부착되지 않습니다. 우선 앞니 4개만 먼저 치열을 맞추고 위쪽 어금니는 후방 이동을 해주면서 교합을 맞추며 덧니가 내려올 공간을 확보합니다.
연산동덧니교정 키다리아저씨치과에서는 메탈 장치를 사용했습니다.
많이 사용 되는 클리피씨 장치 등의 세라믹 보다는 아이가 양치하기 쉬운 부피가 작고 비용도 덤으로 낮은 메탈장치를 사용했습니다.
4개월이 지난 모습입니다.
송곳니가 덧니처럼 있었는데 아무것도 안해줬음에도 가지런한 느낌이 훨씬 좋아졌습니다.
공간이 생긴 송곳니는 편안한 위치로 좀 더 서서히 이동을 합니다.
4개월만에 유치가 빠지고 영구치가 조금씩 맹출이 되고 있는 것을 볼 수 있습니다.
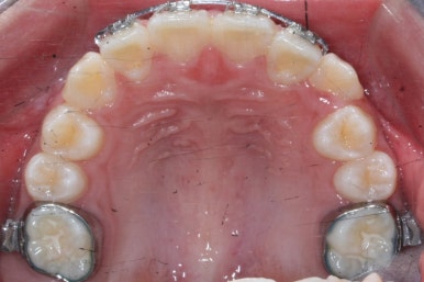
8개월이 지난 모습입니다.
장치는 앞니 4개 + 헤드기어만 사실상 했습니다. 송곳니에는 아무것도 하지 않았죠.
덧니의 변화된 모습이 느껴지시나요?
다시 한 번 말씀드리면 공간확보만 된다면 서서히 좋아지게 됩니다. 100%는 아니기 때문에 추후에 전체적으로 정리를 해줄 필요가 있는데 미리 이렇게 해두면 훨씬 추후에 작업이 간소해지죠.
덧니 = 발치교정? 이라고 고민을 하셨나요?
꼭 발치를 하는 것은 아닙니다. 분석을 정확하게 하고 장치를 적절하게 사용을 한다면 덧니도 저절로 개선이 될 수 있습니다.
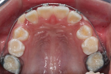
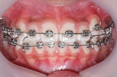
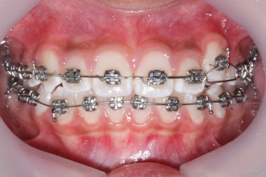
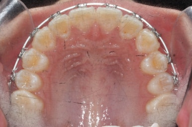
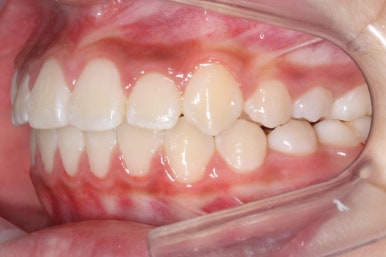
영구치도 이제 거의 다 나왔고 삐뚤한 다른 부분도 전체 메탈장치를 붙였습니다.
장치는 윗니부터 붙였습니다.
입안에 장치가 있다보니 불편할 수 있는데요. 이물감을 최소화 하고자 이동을 해야 할 양이 적은 아랫니들은 천천히 장치를 붙이기로 했습니다.
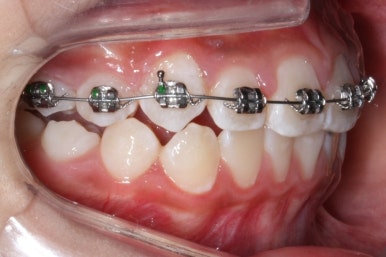
아래쪽에도 이제 장치를 전부 부착했습니다.
한 쪽의 송곳니는 제위치로 벌써 자리를 잡았네요.
장치를 부착한 후에 순차적으로 변화가 나타나는 모습입니다.
총 4장의 사진 동안 경과한 시간은 불과 6개월 입니다. 헤드기어를 통해 사전에 작업을 해뒀기 때문에 이후 연산동덧니교정 과정은 편해진 것이죠.
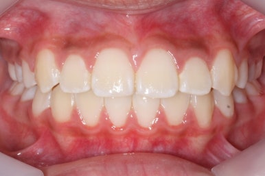
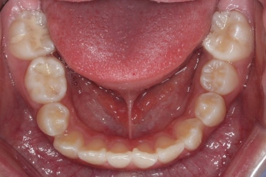
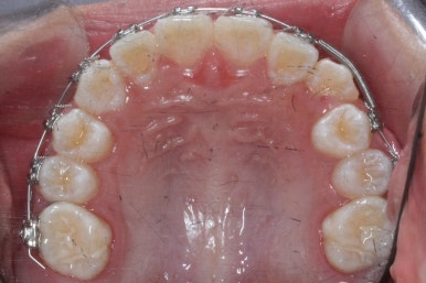
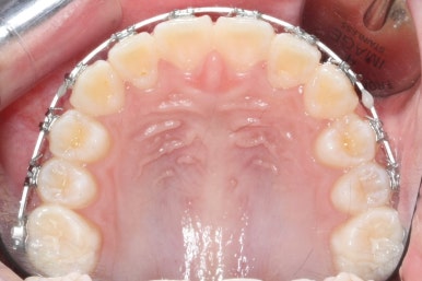
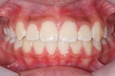
윗니만 6개월이 지난 모습입니다.
치열이 매우 가지런해졌죠. 이 후에는 특이사항 없이 종료가 되었습니다.
미소를 짓거나 웃는 모습이 확연히 좋아졌습니다.
덧니가 없어져서 그런지 입술 다문 모습도 편안함이 느껴지네요. 턱끝의 쭈글한 주름도 없어졌습니다.
헤드기어를 사용해서 옆모습의 돌출감도 개선이 되었고 무턱같아 보이던 외모도 많이 좋아졌네요.
이 정도면 비발치 연산동덧니교정으로도 충분히 좋았던 효과를 보았습니다.
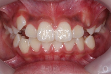
연산동덧니교정을 하고자 키다리아저씨치과에 처음 내원했을 때와 개선이 된 후의 비교 모습입니다. 영구치가 모두 나왔고 덧니가 개선이 된 후에 마무리가 되었습니다.
처음에 언급했듯이 헤드기어에서 부터 장치부착까지 총 교정 기간은 1년 8개월이였습니ㅏㄷ.
영구치가 아직 나지 않았으나 서둘러 조금 진행한 감이 있는데 크게 오래 걸리지 않았으며 헤드기어라는 장치도 써볼 찬스가 생긴 셈입니다.
이상 연산동덧니교정 키다리아저씨치과에서 비발치로 시행한 케이스였습니다.
연산동덧니교정 키다리아저씨치과에 오시는 길은 연산역 17번출구 바로 앞 건물 5, 6층입니다.
치과교정과 전문의(부산대 외래교수)와 치과보철과/통합치의학과 전문의(부산대 외래교수) 2명이 상주하며 교정치료와 일반치과치료를 협진하여 진료합니다.
<위 사진은 환자분의 동의를 구한 후 공개하는 사진자료입니다. 사진은 과장이나 조작이 없는 원본사진입니다. 교정치료로 인한 부작용으로는 치근흡수, 충치, 치아변색, 실활 등이 있을 수 있으며, 치료 전후 사진은 의료법 제 23조, 제 56조에 의거하여 게재합니다. 개인의 상태에 따라 치료결과는 달라질 수 있으므로, 교정전문의와 상의를 요합니다.>



























































































































댓글